
肛管是消化道的重要组成部分,具有复杂的解剖结构。近年来发生于肛管和肛周的疾病呈上升趋势,常见疾病包括肛瘘、肛周脓肿、痔、肛裂等,少见病包括肛管肿瘤、骶尾部藏毛窦及性疾病等,这些疾病严重影响患者的生活质量。MRI具有较高的软组织分辨率,能够全方位、多平面成像,作者着重探讨肛管和肛周疾病的MRI检查技术和表现,旨在提高对肛管和肛周疾病的诊断水平。
本刊刊出的所有论文不代表本刊编委会的观点,除非特别声明
肛管(anal canal)是消化道的终末节段,上与直肠相连,下与肛门相接,周围被内、外括约肌所环绕,呈环状收缩封闭肛门。关于直肠与肛管的分界问题仍存有争议,主要有解剖学肛管和外科学肛管两种分界方法。解剖学肛管是指从齿状线至肛门缘的一段长约2 cm的肠管;这个分法着眼于组织结构与胚胎发生。外科学肛管则是把直肠穿过盆膈之处作为肛管的上界,即从盆膈至肛门缘的一段长约4 cm并为肛提肌和肛门括约肌所包绕的一段肠管,这个分法更多从形态和功能方面考虑。目前临床上,肛管的概念通常是指外科学肛管,而针对肛管的影像学检查是指对外科学肛管所进行的影像成像;因此,在影像学上又有影像学肛管之说。肛管在控制排便中起重要作用,肛管和肛管周围区域具有独特的解剖结构和复杂的生理学特性,因此也是多种疾病容易发生的部位,有的疾病迁延不愈,常给患者带来身心的痛苦和较大的负担。
肛管的各种影像学检查中,普通内镜可以观察肛管腔内,但无法了解管壁及管壁外的情况;腔内超声可以观察管壁外的情况,但视野有限,且为侵入性检查,部分患者难于接受[1]。CT和MRI肛管检查能够直接地显示肛管及其肛周结构,然而,CT不能分辨肛管管壁内结构,例如:内括约肌与外括约肌之间的区别在CT上难于分辨。腔内线圈MRI的视野较腔内超声大,显示肛管结构非常清晰,可以直观地发现诸如肛瘘类的肛管病变[2],但是其缺点也和腔内超声相似。体表相控阵线圈MRI以其多参数、多序列、多方位成像、无辐射和软组织分辨力高等优点,可以清楚地显示肛管及肛周解剖结构,明确病变的部位、累及范围、侵犯程度以及强化方式等,为指导临床诊断与治疗后评价提供有价值的信息。目前MRI已经作为肛管和肛周病变首选的影像学检查方法[3,4]。
患者无需做任何肠道准备。不需要清洁灌肠,不需要充盈对比剂。肛瘘肛周脓肿患者,首诊时不做任何干预,如切开引流等,尽量保持瘘管及脓肿的原始形态进行检查。检查前半小时排空膀胱,避免膀胱过度充盈影响对周围病灶的显示。
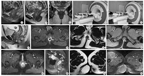
体位:(1)仰卧位:患者采取仰卧位时,足先进,身体左右居中,两手合抱置于前胸壁。束紧前后片线圈压迫小腹,可减轻呼吸运动的影响。如果病灶侵犯范围较大,可以考虑使用大范围扫描方案,扫描范围务必要将整个病灶覆盖。(2)俯卧位或折刀位:适用于骶尾部炎症病灶明显,患者因触痛难于仰卧时(图1)。


FOV及编码方向:一般选择25 cm为扫描野范围,根据不同个体的情况适当调整,以确保在完全包括肛管和肛周结构的同时,使用尽量短的时间扫描。
中心线:线圈中心对准耻骨联合,一般以正中冠状面及矢状面作为正中线,扫描时三平面定位图像上观察肛管不能偏上也不能偏下,确保肛管位于线圈的中心,定位线分别要垂直或平行于肛管正中轴线(图1)。
线圈:最常用的为多通道表面相控阵线圈,直肠肛管腔内线圈显示肛管解剖结构更优,但是由于自身的局限性,其在国内并没有得到广泛应用。
脂肪抑制技术:由于脂肪在常规T2WI上表现为高信号,常常遮盖了瘘管的高信号。因此,T2WI脂肪抑制信号(T2WI-FS)可以在消除了脂肪信号的干扰后清晰地显示瘘管。同时,脂肪抑制信号对于肛周炎症(尤其是蜂窝织炎)的显示也具有优势。
增强扫描:常用的有T1WI压脂增强、LAVA动态增强以及LAVA-FLEX动态增强;T1WI增强的应用比较广泛,通过与常规T1WI的对比可明确病灶的位置及累及范围。后两种增强方式均为多期动态增强,可显示病灶在动静脉各个增强时相的强化程度,对于肛瘘、痔、肛裂、肛管肿瘤等疾病的诊断具有非常高的价值。
笔者推荐使用的扫描序列(表1):根据GE公司产1.5 T超导型MR扫描仪(GE Optima 360 1.5 T)设计。

肛管MR扫描序列参数
Scan protocols of anal MR
肛管MR扫描序列参数
Scan protocols of anal MR
| Sequence | TR/TE | NEX | FOV (cm) | Matrix | Slice thickness/spacing | Time |
|---|---|---|---|---|---|---|
| T2WI (axis) | Intelligent selection/120 | 4 | 25 | 320/224 | 4/0.5 | 2 min 10 s |
| T2WI (cor) | Intelligent selection/120 | 4 | 25 | 320/224 | 5/0 | 2 min 30 s |
| T2WI (sag) | Intelligent selection/120 | 4 | 30 | 288/224 | 5/0 | 3 min 8 s |
| T2 Fat-suppressing | Intelligent selection/120 | 4 | 25 | 320/224 | 4/0.5 | 3 min 22 s |
| DWI (axis) | Intelligent selection/120 | 8 | 40 | 192/192 | 4/0.5 | 2 min 40 s |
| LAVA (axis) | 3.9/1.8 | 1 | 40 | 256/224 | 4/0 | 1 min 35 s |
| LAVA (cor) | 3.9/1.8 | 1 | 40 | 256/224 | 4/0 | 15 s |
| LAVA (sag) | 3.9/1.8 | 1 | 40 | 256/224 | 4/0 | 16 s |
| Total time | 15 min56 s |
肛管是消化道的终末节段,全长约4 cm,它是一个由内、外两层括约肌包围而成的圆柱腔,这两层肌肉分别是肛门内括约肌和肛门外括约肌,它们分别由平滑肌和横纹肌所构成,外括约肌近端融入呈悬吊式的耻骨直肠肌,耻骨直肠肌自身又融入盆底的肛提肌板。肛门内括约肌是肠管环形肌的远侧末端。位于肛门内外括约肌之间的是联合纵肌,它是直肠纵行平滑肌的末端,联合纵肌交织于内外括约肌之间并终止于肛门周围皮肤,联合纵肌被认为是连接固定肛管结构在一起的组织,它本身没有明显的括约肌的作用。在内外括约肌之间有一个外科剥离平面,被称为括约肌间隙,这个间隙常位于纵肌和外括约肌之间,其内充填含疏松蜂窝组织的脂肪。坐骨肛门窝位于括约肌复合体的外侧,充填脂肪及布满成纤维弹性结缔组织网,因为这个间隙位于邻近肛门(而不是直肠)和紧邻盆底肛提肌下方(而不是上方)。
肛管被覆上皮组织。其近侧区内衬直肠柱状上皮,而远侧区为鳞状上皮并与肛周皮肤鳞状上皮相融合,两者之间的交界处(即组织学上肛门-直肠交界)一般位于齿状线。齿状线(dentate line)是一个由远端纵行肛门褶皱形成的波状结构(morgagni柱),距尾端肛缘约2 cm。因为在这一区域肛腺与肛管腔沟通,是容易发生肛瘘的一个关键区域。齿状线上、下覆盖的上皮、血液供应、淋巴引流以及神经分布完全不同,这具有非常重要的临床意义。
肛管在MR常规T2WI上,矢状面上呈略前倾(约45°)的圆柱状结构,轴面上呈环状结构,冠状面呈杯状结构。肛管周围肌群在T2WI序列上均为低信号,坐骨肛门窝等富含脂肪组织的区域则在常规T1WI、T2WI序列上为较高信号。横断面上肛管内、外括约肌间的稍高信号(即括约肌间隙)将两者分隔开,在T2WI上形成了一个天然的对比。同时结合冠状面和矢状面,可清晰地显示肛提肌、耻骨直肠肌、肛门括约肌以及肛周组织器官的形态和信号。肛管的肌肉(等低信号)和含脂肪的间隙(高信号)互为参照,彼此彰显。肛管肌肉从内至外依次是肛门内括约肌(internal anal sphincter,IAS)、联合纵肌(longitudinal muscle,LM)、肛门外括约肌(external anal sphincter,EAS)。部分还可观察到肛尾韧带(anococcygeal ligament,ACL)。
IAS是直肠下端环形肌增厚形成,属平滑肌,轴面T2WI图像上呈卵圆形,是肛管最里层肌肉组织。冠状面上呈长条形,双侧基本对称,FSE-T2WI图像上其信号低于内侧黏膜下组织信号和外侧肌肉间隙内脂肪信号,但略高于EAS信号。LM位于IAS和EAS之间,为线条状低信号,与邻近肌间隙高信号形成明显对比。EAS位于肛管远端的外周,属横纹肌,可分深部、浅部及皮下部。深部与耻骨直肠肌关系密切,但通常可观察到它们之间的间隙。皮下部向内上转折,呈"鱼钩状",冠状面观察更为明显。
矢状面IAS和LM表现与冠状面类似。EAS在肛管前与会阴体分界欠佳,FSE-T2WI图像上表现为团块样低信号,肛管后方外括约肌呈小块状或长条形,各部之间可见线样高信号分隔。EAS于肛管上部层面呈"O"形,环绕于肛管最外层。在肛管中下部,EAS(浅部至皮下部)在中线位置逐渐分开,至最下部层面,肛门外括约肌皮下部呈两相对的线形肌束,相互平行。
肛瘘是肛管与皮肤之间的异常通道,有研究表明约90%是由于肛腺感染引起,青壮年男性为多发人群,这是因为其齿状线水平的肛腺较多。肛瘘可由多种原因引起,一般最常见的是化脓性感染,其他病变如克罗恩病、结核、糖尿病、外伤、手术、肛管恶性肿瘤等也可引起[5]。外科手术是治疗肛瘘及肛周脓肿的主要手段,低位肛瘘可行瘘管切除,高位肛瘘需要挂线引流,伴发脓肿时要进行引流,手术的原则是既要减少肛门括约肌的损伤以保护肛门的功能,同时又要彻底清除感染以达到根治的目的[6]。由于肛管解剖结构复杂,手术盲视野进行,术中很容易遗漏脓腔、瘘管,因此肛瘘术后复发率高,如果处理不当,还易发生肛门失禁、黏膜外翻等后遗症,反而加重患者症状,给患者带来沉重的负担[7]。因此术前了解肛瘘分型,明确瘘管与肛管括约肌之间的关系以及确定内口的位置是非常重要的。MRI具有软组织分辨力高、多方位及多参数成像的优点,能够精确地描述肛管正常解剖结构及肛周的组织形态,准确显示内口位置、瘘管分支及瘘管与肛管肌肉的位置关系。近几年来由于MRI技术的发展及人们生活水平的提高,MRI越来越多地应用于术前对肛瘘的评估[4]。
Parks等[8]根据瘘管与肛门括约肌的关系把肛瘘分为四个类型:(1)括约肌间型,内口位于齿状线附近,沿内、外括约肌间隙走行;(2)经括约肌型,内口可为高位或低位,瘘管突破肛门外括约肌进入坐骨直肠窝;(3)括约肌上型,瘘管绕过肛门外括约肌,在耻骨直肠肌的上方突破肛提肌行至坐骨直肠窝;(4)括约肌外型,瘘管沿肛周皮肤向内突破肛提肌和坐骨直肠窝,最终到达直肠处。但是Parks分型并不能解释所有的肛瘘类型,因此Morris在2000年在其基础上对肛瘘进行了新的分型[9],新分型将脓肿划入分类范畴,进一步扩大了肛瘘的涵盖范围。但是对于一些特殊类型的肛瘘,如克罗恩病肛瘘,瘘管走行非常复杂,多合并脓肿,常规的分型尚不能完全将其分类。
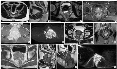
肛瘘患者检查前无需清洁肠道,可于排空小便半小时后(使膀胱适度充盈)开始扫描。常规的扫描序列包括轴面T1WI、T2WI及T2WI压脂序列,DWI,LAVA动态增强序列,矢状面T2WI及LAVA增强,冠状面T2WI及LAVA增强序列。典型的瘘管在MRI上表现为条状长T1(等)长T2信号,压脂像和DWI上表现为高或稍高信号,增强扫描见明显强化;肛周脓肿则表现为明显环形强化,其内部脓液无强化(图2)。对于术后纤维瘢痕,平扫及增强序列均为低信号。
在肛瘘的诊断报告中,需要描述其分型、内口的位置及个数、内口距离肛缘的距离、是否合并脓肿以及是否存在周围组织炎性反应等等。需要注意的是,通过对比轴面、矢状面和冠状面图像,要对瘘管的走行进行详细的描述,然后做出正确的分型诊断。有文献指出,外科医师在忽略MRI诊断的情况下进行肛瘘手术的话,术后复发率高达52%;而结合MRI后进行手术的话则可降低75%的复发率[10]。因此对于肛瘘及肛周脓肿的患者来说,MRI在术前指导及术后复查方面都具有非常重要的价值。
痔是常见病,可发生于任何年龄,男女均可发病。按发生部位可分为内痔、外痔和混合痔,内痔主要发生于齿状线以上,是肛垫的支持结构、血管丛及动静脉吻合发生的病理性改变和移位,患者主要表现为排便过程中或便后出血,也可出现肿物脱出,一般无明显疼痛;外痔是指齿状线远端皮下血管丛的扩张、增生或血栓形成,患者有疼痛及不适感;混合痔是内痔和相应部位外痔血管丛的相互融合[11]。
目前痔的诊断主要依靠临床检查,如肛门视诊、指诊、肛直肠镜检查等,结合患者临床表现多可作出明确诊断,影像学检查可明确病变的部位及范围,有效地指导临床施行合理的手术方式,避免诸多危急并发症的出现,并可起到辅助诊断及鉴别诊断的作用,主要的检查方法为MRI,其中内痔可表现为肛管中上段局部黏膜肿胀,增强扫描呈渐进性强化,强化程度高于周围正常肛管壁;较典型的外痔表现为肛门口处梭形或结节状肿物脱出,强化程度与内痔相似(图3);混合痔则兼有此二种表现。
肛裂是指齿状线以下肛管皮肤全层破裂形成的小溃疡。其方向与肛管纵轴平行,呈梭形或椭圆形,长约0.5~1.0 cm。其发病率在肛门直肠疾病中仅次于痔,位居第二位,可发生于任何年龄,但多见于青壮年,男女发病率无差别。多为单发,绝大多数发生于肛管的后正中线上。肛裂患者的典型临床表现是疼痛、便秘和便血。病因目前并不明确,主要有解剖、外伤和感染等学说。约7%位于肛管前正中,并且以女性多见,位于肛管两侧者约为2%[12]。
MRI对肛裂的诊断具有一定的价值,但是多需结合临床病史才能明确诊断,MRI多表现为黏膜下条状长T1、短T2信号,增强扫描可见裂隙状强化,伴感染时可见周边片状强化(图4)。已确诊肛裂时,一般不宜进行肛门指检及肛门镜检查,以免引起剧痛。需要注意的是,克罗恩病合并肛裂时,患者临床症状多不明显,最终的确诊需要结合临床检查和影像学检查。
表皮样囊肿是由神经管闭合期间外胚层细胞移行异常所致,多见于青年患者,好发于颅内,发生于肛周者则很罕见。肛周表皮样囊肿一般病程较长,进展缓慢,囊肿可破裂,进而继发感染或钙化等。
直肠指检简便易行、无创伤,通过指检可初步判断囊肿的位置、大小、质地、活动度、有无压痛以及与直肠的关系等。
影像学检查特别是MRI对其诊断的价值非常大,骶尾部X线可初步判断周围骨质有无破坏,超声检查可发现骶前囊性肿块,但对于了解囊性肿物与周围脏器的关系,尚有一些欠缺,因此可作为初步检查。MRI对囊肿的准确定位、大小以及与周围重要脏器、血管的关系,有非常重要的价值,高场磁共振成像(MRI)的软组织分辨率更高,能多方位显示骶前囊肿本身特点及其周围的解剖结构(图5),可以有效地指导临床下一步治疗方案的确定。
肛周表皮样囊肿在MRI上的表现具有一定的特异性,但合并炎症时可表现为边缘强化,此时应与肛周脓肿相鉴别。
骶尾部藏毛窦是指发生于骶尾部臀间裂软组织内的慢性窦道,在欧美也有"吉普车病"之称,病因尚不明确,内藏毛发是其典型特征,故称为藏毛窦。
骶尾部藏毛窦临床少见,好发于男性青壮年,病变多位于臀沟处[13]。骶尾部藏毛窦可无特殊症状,当急性脓肿形成时,多自行破溃形成一个或多个窦道,患者可有急性感染的症状,严重者可形成蜂窝织炎,邻近的皮肤可见红肿及触痛,有的可见毛发,挤压时可排出伴臭味的脓液。
MRI能够对病灶进行准确地定位,并且通过增强扫描可以初步判断病灶中脓液的量,诊断的准确性较高,有文献报道其敏感性为86%,特异性为100%[14],因此具有很高的应用价值(图6)。根据MR上环形强化的脓肿及瘘管走形特征,多能作出诊断,出现误诊的主要原因是对藏毛窦疾病的认识不足。


本病需要与肛瘘及肛周化脓性汗腺炎进行鉴别。肛瘘是肛管与皮肤之间形成的异常通道,内口多位于腺隐窝处,而藏毛窦好发于臀沟处,因此两者的发生部位不同。肛周化脓性汗腺炎(hidradenitis suppurative,HS)亦好发于青壮年男性,但是其主要位于皮下组织,且范围一般比藏毛窦更为广泛,结合临床检查多可作出鉴别诊断。
肛管癌比较少见,约占结直肠癌的1%~4%。从组织学类型上可分为鳞癌、腺癌和黏液腺癌等,其中以鳞癌最为常见。肿瘤常呈浸润性生长,括约肌易被侵犯。
典型的病灶在MRI图像上表现呈长T1、稍长T2信号,增强扫描可见明显强化或不均匀强化,结合相关病史多可做出诊断。肛管癌要综合MRI、病理及生化检查结果共同做出最终诊断,MRI的主要作用是对肿瘤进行准确的分期,以指导临床下一步的治疗措施的制定及后续的治疗后复查。
在MRI诊断的过程中,肛管癌需要与肛周脓肿及肛管黏膜炎性反应相鉴别,肛周脓肿呈典型的环周强化,而炎性反应则边界较模糊,没有肿瘤的占位效应(图7)。
上皮样肉瘤是一种罕见的软组织低度恶性肿瘤,主要发生于20~40岁的青年人,2/3发生于男性。典型的ES主要发生于四肢末端,最初的表现是皮下直径1cm左右的无痛结节,2~3个月后破溃,逐渐沿筋膜、肌腱、神经等向深部浸润。近年来发现有些ES也可发生在头颈和躯干,称为近端型或近心型ES,发生于肛周者更为罕见。本病组织来源不明,多认为其起源于具有多向分化潜能的原始间叶细胞。早期可误诊为环状肉芽肿、类风湿结节、纤维瘤、皮样囊肿等。手术切除是首选治疗方法,但有一定的复发率,有研究认为手术结合放射治疗可降低复发率。
MRI对于肿瘤的定位及浸润范围的确定有较大的价值,可明确肛门括约肌、肛提肌以及周围组织器官是否受累。肿瘤在T1WI上为稍低信号,由于内部可出现出血坏死等改变,T2WI上表现为混杂稍长T2信号,DWI为高信号,增强扫描肿块呈明显不均匀强化(图8)。
本病比较少见,可由多种因素引起,如内痔或外痔引起的肛管黏膜血栓,或者由于外伤或肛周手术操作不当引起直肠肛管黏膜血肿形成[15],等等。肛管黏膜通常表现为扩张和充血,同时也可伴发出血。
MRI上主要表现为T2WI及压脂像上黏膜层边界模糊的高信号,增强扫描可见肛管黏膜血管扩张充血(图9)。
临床上淋巴瘤可发生于人体任何部位,以颈部淋巴结多见,发生于消化道的淋巴瘤以胃和小肠为主,占70%以上,而发生于肛周的淋巴瘤则非常罕见。肛周淋巴瘤患者可有肛周肿痛,有压痛,质稍硬,确诊多需要临床病理活检,本病常误诊为肛周脓肿或肛乳头瘤等,病灶在短时间内迅速增大可有利于鉴别诊断。
MRI表现为肛周长T1(等)长T2信号,边缘多较光整,增强扫描可见轻中度强化(图10),也可呈浸润性生长,表现为与周围组织器官分界欠清晰。
尖锐湿疣又称为生殖器疣,是临床常见的性传播疾病,好发于中青年男性,由人乳头瘤病毒(HPV)感染所致。主要发病部位为外生殖器和肛周,表现为多发性乳头状、菜花状的粉红色或灰白色赘生物,常伴分泌物,患者可有瘙痒、排便困难、肛门疼痛、出血和里急后重等症状。
尖锐湿疣主要通过临床病史及相关临床检查来诊断,影像学检查的作用主要是明确病变范围以及与周围肌肉及组织器官的关系,较小的病变MRI诊断困难,当病灶较大时,MRI可表现为肛周肿物,多呈菜花样或多个融合结节影,平扫呈长T1、混杂稍长T2信号,增强扫描可见不均匀强化(图11)。本病需要与肛管癌及其他肛周恶性肿瘤相鉴别,结合临床病史及相关标志物的筛查,多可作出明确诊断。
肛管及肛周解剖结构复杂,血管及神经丰富,坐骨直肠窝、骨盆直肠间隙等富含结缔组织,是肛瘘等多种疾病易侵犯的部位。发生于肛周的病变,若侵犯肛管括约肌或肛提肌等控便肌肉时,可引起排便失禁等症状,严重影响患者的生活质量。肛提肌、耻骨直肠肌等肌肉对于控制肛门排便有非常重要的作用,邻近组织器官病变时要留意是否有控便肌肉的受累,肛周手术时亦需尽可能保持其完整性[6]。MRI的软组织对比度高,能够多平面成像,对于肛周解剖结构的显示具有明显的优势,能够准确地发现病变,并能较好地评价其位置、范围、信号改变以及周围组织的受累情况[16],同时通过多序列之间的对比,如常规T2WI和T2压脂、同反相位图像之间的对比等,可以明确病灶内软组织、水分、脂质成分、脓液及周围组织炎症的存在与否,可以有效地指导临床的下一步治疗方案的制定实施,有效地指导外科手术的顺利实施。总之,MRI在盆腔检查中已经得到越来越广泛的应用。





















