
应用氢质子磁共振波谱(1H-MRS)技术,分析正常中年人双侧海马在不同年龄组、不同部位各代谢物比值变化规律,为临床早期诊断及治疗海马相关性疾病提供参考依据。
从社区健康志愿者中选取符合标准者276名,按年龄分3组,A组:壮实期(41~48岁) 90名,B组:稳健期(49~55岁)93名,C组:调整期(56~65岁) 93名,行常规颅脑MR平扫、双侧海马MRS扫描,计算双侧海马头、体、尾部NAA/Cr、Cho/Cr、NAA/(Cho+Cr)值,分析不同性别间、左右侧别间、各年龄组间及同年龄组不同部位间各参数的差异及各参数与年龄的相关性。
NAA/Cr、Cho/Cr、NAA/(Cho+Cr)值在男女之间、左右侧别间差异无统计学意义(P>0.05);各年龄组间相同部位差异有统计学意义(P<0.05),NAA/Cr、NAA/(Cho+Cr)值A、B组均高于C组(P<0.05),Cho/Cr值A组低于C组(P<0.05);NAA/Cr、Cho/Cr值在同年龄组不同部位间差异有统计学意义(P<0.05),NAA/Cr值在A、B、C组海马头、体部均高于尾部(P<0.05),Cho/Cr值A、B组海马体部均高于尾部。NAA/Cr、NAA/(Cho+Cr)值与年龄呈负相关(r值分别为-0.486、-0.653,P<0.05);Cho/Cr值与年龄呈正相关(r值为0.482,P<0.05)。
1H-MRS能反映正常中年人海马不同部位代谢物相对含量的变化,为早期临床诊断及治疗海马相关性疾病提供参考依据。
本刊刊出的所有论文不代表本刊编委会的观点,除非特别声明
磁共振波谱(magnetic resonance spectroscopy,MRS)通过利用磁共振显像和化学位移作用,对组织内的化合物进行定量分析,是目前鉴别诊断中枢神经系统疾病的重要方法之一[1]。应用氢质子磁共振波谱(1H-MRS)对正常人海马组织代谢物相对浓度的研究国内外已有相关报道[2],但有关正常海马不同部位代谢物的系统性研究较少,且以海马相关疾病与正常的对照比较为主,并且正常人样本含量较少,得出的代谢物正常值范围也不尽相同,给临床诊断海马相关疾病带来了困惑[3]。本组研究仅探讨我国正常中年人脑海马代谢物比值在不同年龄组及不同部位间的变化规律及其与年龄的相关性,为观察正常中年人海马区生理变化、早期诊断及干预治疗海马相关性疾病提供影像学参考依据。
2013年10月至2016年5月期间,从社区健康志愿者选取符合标准者276名,纳入标准:(1)无精神、神经疾病史;(2)无颅脑外伤、脑器质性疾病史及颅脑手术史;(3)无高血压、糖尿病病史;(4)常规脑电图检查阴性;(5)颅脑常规MRI显示无异常。受试者均需签署研究知情同意书。符合标准的社区健康志愿者276名中,男141名,女135名;年龄41~65岁,平均年龄(51.23±6.54)岁。根据中国最新年龄段的划分,将志愿者分3组,A组:壮实期(41~48岁) 90名,男51名,女39名,平均年龄(44.18±2.14)岁;B组:稳健期(49~55岁)93名,男42名,女51名,平均年龄(51.72±1.77)岁;C组:调整期(56~65岁) 93名,男53名,女40名,平均年龄(59.91±2.88)岁。
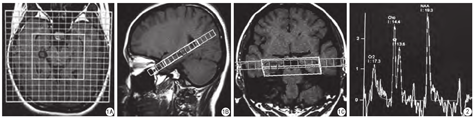
供使用德国Siemens Avanto 1.5 T超导型磁共振扫描仪,多通道相控阵头颅线圈。(1)常规MR成像:行TSE序列T1WI、T2WI及FLAIR横轴面扫描,TSE序列T1WI矢状面扫描,扫描参数如下:T1WI序列,TR 500 ms,TE 9 ms;T2WI序列,TR 4580 ms,TE 112 ms;FLAIR序列,TR 7600 ms,TE 110 ms;矢状面T1WI序列,TR 500 ms,TE 17 ms。以上序列层厚均为6.0 mm,层间隔1.8 mm,矩阵512×256,FOV 230 mm×230 mm,采集次数1。(2)1H-MRS成像:在矢状面上平行于海马长轴行横轴面扫描及垂直于海马长轴行斜冠面扫描,在海马矢状面长轴、海马轴面像及斜冠面上进行定位(图1),以海马为中心范围包含海马头、体、尾部和其外侧的颞叶皮层,MRS扫描采用自动匀场技术,为了获得高质量的波谱图像,定位时需要避开脑脊液和邻近颅骨等组织,并在ROI周围添加饱和带。采用化学位移成像(chemical shift imaging,CSI) 2D多体素(multivoxel,MV)点分辨波谱(point resolved spectroscopy,PRESS)技术进行采集,扫描参数:TR 1500 ms,TE 135 ms,层厚3 mm,间隔1 mm,FOV 230 mm×230 mm,体素大小7.5 mm×10 mm×10 mm,ROI 80 mm×80 mm,扫描时间为7 min 12 s。


将志愿者的原始图像数据传至MMWP工作站,由2名经验丰富的、具有MRS工作经验的放射科医师应用spectroscopy分析软件进行MRS后处理、基线调整、代谢物识别,获取代谢物的波谱图像(图2),测量双侧海马同源对称部位NAA/Cr、Cho/Cr、NAA/(Cho+Cr)值,比值均由计算机自动生成。测量时严格选取海马中轴线两侧同源对称的区域。连续测量三次,取其平均值为最终结果。
应用SPSS 19.0软件进行数据处理及统计分析,计数资料用(
±s)表示。各部位海马代谢物比值男女性别间比较采用两样本t检验,左右侧别比较采用配对t检验,组间及组内各部位间代谢物比值比较采用方差分析,若差异有统计学意义时,再采用SNK t检验。应用Pearson分析判断各代谢物比值变化与年龄之间的相关性。以P<0.05差异有统计学意义。
A组:海马头部NAA/Cr、Cho/Cr和NAA/(Cho+Cr)的平均值分别为(1.62±0.23)、(1.35±0.29)和(0.65±0.09),左侧头部分别为(1.65±0.22)、(1.38±0.29)和(0.66±0.09),右侧头部分别为(1.60±0.2)、(1.32±0.27)和(0.64±0.08);体部分别为(1.64±0.27)、(1.38±0.25)和(0.62±0.08),左侧体部分别为(1.68±0.27)、(1.40±0.25)和(0.64±0.08),右侧体部分别为(1.61±0.25)、(1.37±0.28)和(0.60±0.09);尾部分别为(1.40±0.22)、(1.29±0.25)和(0.58±0.07),左侧尾部分别为(1.36±0.24)、(1.28±0.25)和(0.56±0.09),右侧尾部分别为(1.45±0.22)、(1.29±0.27)和(0.59±0.10)。B组:海马头部NAA/Cr、Cho/Cr和NAA/(Cho+Cr)的平均值分别为(1.54±0.25)、(1.40±0.22)和(0.59±0.09),左侧分别为(1.57±0.25)、(1.41±0.22)和(0.60±0.09),右侧分别为(1.49±0.30)、(1.40±0.26)和(0.57±0.10);体部分别为(1.50±0.22)、(1.41±0.27)和(0.56±0.10),左侧分别为(1.50±0.23)、(1.41±0.27)和(0.49±0.10),右侧分别为(1.50±0.25)、(1.39±0.29)和(0.58±0.07);尾部分别为(1.25±0.26)、(1.31±0.21)和(0.51±0.10),左侧分别为(1.23±0.23)、(1.26±0.24)和(0.48±0.08),右侧分别为(1.30±0.27)、(1.32±0.26)和(0.53±0.10)。C组:海马头部NAA/Cr、Cho/Cr和NAA/(Cho+Cr)的平均值分别为(1.30±0.22)、(1.43±0.25)和(0.49±0.07),左侧头部分别为(1.32±0.27)、(1.40±0.25)和(0.52±0.07),右侧头部分别为(1.29±0.26)、(1.44±0.23)和(0.46±0.09);体部分别为(1.39±0.26)、(1.45±0.23)和(0.43±0.09),左侧体部分别(1.37±0.26)、(1.41±0.23)和(0.44±0.09),右侧体部分别为(1.46±0.21)、(1.46±0.29)和(0.42±0.10);尾部分别为(1.18±0.21)、(1.39±0.25)和(0.41±0.07),左侧尾部分别为(1.15±0.29)、(1.37±0.30)和(0.40±0.07),右侧(1.21±0.25)、(1.40±0.29)和(0.43±0.09)。
NAA/Cr、Cho/Cr和NAA/(Cho+Cr)值在性别之间差异无统计学意义(P>0.05)(表1)。

正常中年人海马代谢物比值不同性别间比较(
±s)
Compare with hippocampal metabolites in different genders of normal chinese middle-aged people (
±s)
正常中年人海马代谢物比值不同性别间比较(
±s)
Compare with hippocampal metabolites in different genders of normal chinese middle-aged people (
±s)
| Group | Man | Woman | t value | P value | |
|---|---|---|---|---|---|
| Hippocampal head | |||||
| NAA/Cr | 1.55±0.27 | 1.42±0.32 | 0.533 | 0.594 | |
| Cho/Cr | 1.37±0.24 | 1.36±0.27 | 0.206 | 0.837 | |
| NAA/(Cho+Cr) | 0.60±0.09 | 0.58±0.10 | 0.245 | 0.810 | |
| NAA/Cr | 1.53±0.26 | 1.52±0.28 | 0.957 | 0.340 | |
| Hippocampal body | |||||
| Cho/Cr | 1.40±0.22 | 1.39±0.27 | 0.336 | 0.718 | |
| NAA/Cho+Cr) | 0.55±0.09 | 0.53±0.10 | 0.301 | 0.785 | |
| Hippocampal tail | |||||
| NAA/Cr | 1.27±0.22 | 1.21±0.24 | 0.536 | 0.587 | |
| Cho/Cr | 1.20±0.27 | 1.22±0.23 | 1.501 | 0.134 | |
| NAA/Cho+Cr | 0.48±0.08 | 0.44±0.10 | 0.431 | 0.658 | |
NAA/Cr、Cho/Cr和NAA/(Cho+Cr)值在左右侧别之间差异无统计学意义(P>0.05)(表2)。

正常中年人左右侧别代谢物比值的比较(
±s)
Compare with hippocampal metabolites in left-right sides of normal chinese middle-aged people (
±s)
正常中年人左右侧别代谢物比值的比较(
±s)
Compare with hippocampal metabolites in left-right sides of normal chinese middle-aged people (
±s)
| Group | Left side | Right side | t value | P value | |
|---|---|---|---|---|---|
| Hippocampal head | |||||
| NAA/Cr | 1.52±0.23 | 1.44±0.27 | -1.834 | 0.525 | |
| Cho/Cr | 1.41±0.25 | 1.34±0.25 | -0.568 | 0.086 | |
| NAA/(Cho+Cr) | 0.57±0.08 | 0.54±0.09 | -1.372 | 0.171 | |
| NAA/Cr | 1.50±0.25 | 1.52±0.24 | 0.815 | 0.562 | |
| Hippocampal body | |||||
| Cho/Cr | 1.38±0.27 | 1.30±0.29 | 0.334 | 0.726 | |
| NAA/Cho+Cr) | 0.52±0.08 | 0.51±0.10 | -0.502 | 0.616 | |
| NAA/Cr | 1.24±0.27 | 1.32±0.29 | 1.964 | 0.052 | |
| Hippocampal tail | |||||
| Cho/Cr | 1.27±0.28 | 1.23±0.30 | 0.002 | 0.999 | |
| NAA/Cho+Cr | 0.48±0.09 | 0.47±0.10 | -0.505 | 0.614 | |
NAA/Cr、Cho/Cr和NAA/(Cho+Cr)值在年龄组间差异有统计学意义(P<0.05)(表3),海马头、体、尾部NAA/Cr、NAA/(Cho+Cr)值A、B组均高于C组(P<0.05),而A、B组间差异无统计学意义(P>0.05);Cho/Cr值A组均低于C组,A、B及B、C组之间差异无统计学意义(P>0.05)。

正常中年人海马代谢物比值各年龄组间相同部位的比较(
±s)
Compare with hippocampal metabolites ratio in the same parts between age groups of normal Chinese middle-aged people (
±s)
正常中年人海马代谢物比值各年龄组间相同部位的比较(
±s)
Compare with hippocampal metabolites ratio in the same parts between age groups of normal Chinese middle-aged people (
±s)
| Part | Group A | Group B | Group C | t value | P value | |
|---|---|---|---|---|---|---|
| Hippocampal head | ||||||
| NAA/Cr | 1.62±0.23a | 1.54±0.25b | 1.30±0.22 | -1.834 | 0.525 | |
| Cho/Cr | 1.35±0.29a | 1.40±0.22 | 1.43±0.25 | -0.568 | 0.086 | |
| NAA/(Cho+Cr) | 0.65±0.09a | 0.59±0.09b | 0.49±0.07 | -1.372 | 0.171 | |
| NAA/Cr | 1.64±0.27a | 1.50±0.22b | 1.39±0.26 | 0.815 | 0.562 | |
| Hippocampal body | ||||||
| Cho/Cr | 1.38±0.25a | 1.41±0.27 | 1.45±0.23 | 0.334 | 0.726 | |
| NAA/Cho+Cr) | 0.62±0.08a | 0.56±0.10b | 0.43±0.09 | -0.502 | 0.616 | |
| NAA/Cr | 1.40±0.22a | 1.25±0.26b | 1.18±0.21 | 1.964 | 0.052 | |
| Hippocampal tail | ||||||
| Cho/Cr | 1.29±0.25a | 1.31±0.21 | 1.39±0.25 | 0.002 | 0.999 | |
| NAA/Cho+Cr | 0.58±0.07a | 0.51±0.10b | 0.41±0.07 | -0.505 | 0.614 | |
Note: aOn behalf of Group A compared with Group C, P<0.05.bOn behalf of Group B compared with Group C, P<0.05.
NAA/Cr、Cho/Cr值不同部位间差异有统计学意义(P<0.05)(表4),NAA/Cr值在A、B、C组海马头、体部均高于尾部(P<0.05);Cho/Cr值A、B组海马体部均高于尾部,Cho/Cr值在C组各部位比值差异无统计学意义。NAA/(Cho+Cr)值在A、B、C组各部位间差异均无统计学意义(P>0.05)。

正常中年人海马不同部位代谢物质比较(
±s)
Compare with hippocampal metabolites in the different parts of normal chinese middle-aged people (
±s)
正常中年人海马不同部位代谢物质比较(
±s)
Compare with hippocampal metabolites in the different parts of normal chinese middle-aged people (
±s)
| Group | Hippocampal head | Hippocampal body | Hippocampal tail | t value | P value | |
|---|---|---|---|---|---|---|
| Group A | ||||||
| NAA/Cr | 1.62±0.23a | 1.64±0.27b | 1.40±0.22 | -1.834 | 0.525 | |
| Cho/Cr | 1.35±0.29 | 1.38±0.25b | 1.29±0.25 | -0.568 | 0.086 | |
| NAA/(Cho+Cr) | 0.65±0.09 | 0.62±0.08 | 0.58±0.07 | -1.372 | 0.171 | |
| NAA/Cr | 1.54±0.25a | 1.50±0.22b | 1.25±0.26 | 0.815 | 0.562 | |
| Group B | ||||||
| Cho/Cr | 1.40±0.22 | 1.41±0.27b | 1.31±0.21 | 0.334 | 0.726 | |
| NAA/Cho+Cr) | 0.59±0.09 | 0.56±0.10 | 0.51±0.10 | -0.502 | 0.616 | |
| Group B | ||||||
| NAA/Cr | 1.30±0.22a | 1.39±0.26b | 1.18±0.21 | 1.964 | 0.052 | |
| Cho/Cr | 1.43±0.25 | 1.45±0.23 | 1.39±0.25 | 0.002 | 0.999 | |
| NAA/Cho+Cr | 0.49±0.07 | 0.43±0.09 | 0.41±0.07 | -0.505 | 0.614 | |
Note: aOn behalf of head compared with tail, P<0.05.bOn behalf of body compared with tail, P<0.05.
对所有志愿者海马NAA/Cr、Cho/Cr和NAA/(Cho+Cr)比值进行年龄相关分析,结果显示NAA/Cr和NAA/(Cho+Cr)值与年龄呈负相关(相关系数r值分别为-0.585、-0.794,P<0.01);Cho/Cr与年龄呈正相关(相关系数r值为0.502,P<0.01)。
海马根据其解剖结构可分为头,体和尾三部分[4]。头部:前上界借侧脑室钩状隐窝区分杏仁体与海马头部,下界与与其紧邻的白质结构极易区分其下托及海马旁回,外界为颞角,内界借下界向上的延伸区分海马和钩。体部:上界为脉络膜裂,外界及下界划分方法同头部。尾部:外上界为穹隆脚,内上界为胼胝压部,下界为扣带回峡部及海马旁回。海马是边缘系统重要组成结构,研究提示海马具有记忆、学习,情绪管理及调节睡眠等重要功能。海马病变与颞叶癫痫、抑郁症、精神分裂症、阿尔茨海默病、帕金森综合征及亨廷顿病等密切相关[5]。
MR功能成像技术(functional magnetic resonance imaging,fMRI)具有无辐射、可重复操作、好的组织对比度以及较高的空间分辨率等优点,在神经系统领域的应用日益增多[6],尤其在颞叶海马癫痫的认知功能评价方面发挥越来越重要的作用。目前对于海马的影像学研究集中于海马体积的测量、1H-MRS等的研究[7]。海马结构复杂,与周围组织分界不清,导致海马体积测量存在不确定性,且耗时长,不利于临床的广泛应用。MRS的研究主要分为传统的代谢物相对定量研究(代谢物比值)及MRS结合LCModel的绝对定量研究,两者均有效地修正了部分容积效应、化学位移及生物体本身因素带来的影响[8],但前者操作较后者更加简便,耗时短,更适用于临床,因此笔者采用了海马1H-MRS代谢物比值研究。
Schuff等[9]应用1H-MRS测定24名36~85岁正常人海马区不同代谢物的相对含量,发现随着年龄的增长,脑组织内NAA含量降低,而Cr含量基本保持稳定。郭世萍等[10]对160名健康志愿者的海马进行MRS研究,测得海马NAA/Cr、Cho/Cr、NAA/(Cr+Cho)分别为青年组(1.67±0.29)、(1.34±0.50)和(0.72±0.11),老年组(1.39±0.39)、(1.20±0.26)和(0.64±0.19)。郝敬军等[11]对40名健康志愿者的海马进行波谱研究,测得海马NAA/Cr、Cho/Cr、NAA/(Cr+Cho)分别为青年组(1.77±0.12)、(0.97±0.10)和(0.76±0.08),中年组(1.75±0.10)、(0.94±0.08)和(0.73±0.06);左侧(1.76±0.10)、(0.95±0.07)和(0.72±0.06),右侧(1.73±0.08)、(0.97±0.09)和(0.73±0.07)。本研究中海马NAA/Cr、Cho/Cr、NAA/(Cr+Cho)值与上述结果不尽相同。其原因可能为:(1)年龄组划分范围不同,本研究年龄组的划分根据中国最新年龄段进行分组;(2)测量位置不同,本研究分别对双侧海马头、体、尾部进行测量;(3)本研究样本含量大。
本组研究发现,正常国人中年组海马各代谢物比值不存在性别、侧别差异,这与以往研究结果相符[12]。本研究发现,正常中年人各年龄组间相同部位海马各代谢物NAA/Cr、Cho/Cr和NAA/(Cho+Cr)值差异有统计学意义(P<0.05)(表3),海马头、体、尾部NAA/Cr、NAA/(Cho+Cr)值A、B组均高于C组(P<0.05),而A、B组间差异无统计学意义(P>0.05);海马头、体、尾部Cho/Cr值A组均低于C组(P<0.05),A、B及B、C组之间差异无统计学意义(P>0.05)。Kevin等[13]研究发现海马前后部各代谢物相比值存在差异性。本研究发现,正常中年人各年龄组内不同部位间海马位代谢物比值NAA/Cr、Cho/Cr差异有统计学意义(P<0.05)(表4),NAA/Cr值在A、B、C组海马头、体部均高于尾部(P<0.05);Cho/Cr值A、B组海马体部均高于尾部(P<0.05),Cho/Cr值在C组各部位比值差异无统计学意义;NAA/(Cho+Cr)值在A、B、C组各部位间差异均无统计学意义(P>0.05)。本研究所有志愿者海马代谢物比值与年龄相关性分析结果显示,NAA/Cr和NAA/(Cho+Cr)值与年龄呈负相关(相关系数r值分别为-0.585、-0.794,P<0.01);Cho/Cr与年龄呈正相关(相关系数r值为0.502,P<0.01)。这说明随着年龄的增长,NAA/Cr、NAA/(Cho+Cr)值减小,Cho/Cr值增加。该结果与黄海东等[14]关于代谢物与年龄相关性在≤50岁年龄段NAA/Cr和Cho/Cr值无明显改变不符。其原因可能为:(1)样本含量不同,本研究样本量相对较大。(2)各研究中志愿者年龄分布不均有关。
研究发现,在正常老化过程中,海马的神经细胞数量将逐渐减少约20%[15],海马各代谢物浓度随之发生变化,所以在临床应用1H-MRS诊断海马相关疾病时,我们要考虑到正常老化过程中波谱的相应变化。本组研究采用1H-MRS对正常中年人海马各侧别各部分代谢物比值进行相对定量研究,所获结果将有助于鉴别诊断海马相关性疾病及监测疾病的发生发展。





















