
通过静息态功能磁共振成像(resting-state functional MRI,rs-fMRI)技术探讨首发轻中度抑郁症患者异常脑区的功能状态,为抑郁症病因的探索及临床治疗提供新的思路。
对14例首发轻中度抑郁症患者(符合汉密尔顿抑郁量表评分17~24分)和14名相匹配的健康被试行rs-fMRI扫描。基于局部一致性(regional homogeneity,ReHo)方法计算体素的肯德尔和谐系数(Kendall's coefficient of concordance,KCC),得出全脑每个体素的ReHo值。统计分析采用SPM8软件包完成。
患者组双侧梭状回、双侧扣带回及右侧小脑脚2区、右侧丘脑、右侧颞中回及左侧丘脑内侧背核等脑区的ReHo显著高于对照组,而在双侧内侧额上回及左侧额中回、左侧额内侧回、左侧枕中回、左侧枕下回及左侧中央旁小叶等脑区ReHo显著减低(P<0.05,K>10)。
抑郁症患者局部脑区血氧水平依赖信号的改变,可以间接反映功能相关脑区内神经元时间同步性的变化,有助于对抑郁症患者早期有效的筛选以及情绪异常活动性脑区的定位检测。
本刊刊出的所有论文不代表本刊编委会的观点,除非特别声明
抑郁症是一种以心境障碍和焦虑障碍为主的精神心理疾病,临床表现为持续的心境低落、思维迟缓、躯体不适症状等,严重者伴有自杀倾向[1]。2017年4月7日世界卫生日,国家卫生计生委公布了我国首次大规模精神障碍疾病流行情况的调查结果。结果显示,我国抑郁症患病率达到2.1%,而首次发作人群越来越年轻化。抑郁症防治与治疗已成为我国人口与健康领域亟待解决的重大问题。目前临床诊断尚没有客观有效的标准,主要依赖于临床医师的自身诊断能力,存在很大的主观性,尤其对于首发轻中度抑郁症患者容易造成误诊,延误患者病情并增加了复发率。对首发轻中度抑郁症患者早期准确的诊断及积极有效的临床治疗,对控制复发改善患者生存率具有重要意义。
随着功能性磁共振成像(functional magnetic resonance imaging,fMRI)技术在临床研究中的不断深入应用,为抑郁症的病因及发病机制提供了有效的研究途径。血氧水平依赖(blood oxygen level dependent,BOLD)功能磁共振成像是通过自身氧合血红蛋白与去氧血红蛋白比例的变化,计算局部脑区在T2加权像上的改变,从而检测抑郁情绪造成脑功能改变脑区与抑郁症发病机制的关系[2],局部一致性(regional homogeneity,ReHo)代表了静息态血氧水平依赖的大脑信号,反映了功能相关脑区内神经元时间同步性活动。目前对抑郁症发病机制的研究结果尚存在争议,并且对于首发轻中度抑郁症患者的研究报道较少。因此,本次研究以首发轻中度抑郁症患者为研究对象,利用局部一致性方法分析抑郁症患者静息态相应脑功能区激活特征,为解析抑郁症的病理生理基础、早期客观诊断提供客观有效的影像学依据。
患者组为2017年2月至7月来滨州医学院烟台附属医院就诊的首发轻中度抑郁症患者14例,无性别要求(男性5例,女性9例),年龄20~60岁,平均年龄(51.42±1.08)岁,受教育程度5~12年,平均(9.30±1.34)年。对照组为14名年龄、体重、教育程度相匹配的健康志愿者,无性别要求(男性6例,女性8例),年龄20~60岁,平均年龄(48.44±1.82)岁,受教育程度5~12年,平均(8.60±1.45)年。
患者组纳入标准:(1)轻中度抑郁程度符合汉密尔顿抑郁量表(Hamilton Depression Scale,HAMD)-17评分为17~24分;(2)首次未治疗的抑郁发作;(3)符合中国精神疾病分类与诊断标准第3版及美国精神障碍诊断与统计手册第4版抑郁症诊断标准;(4)右利手。排除标准:(1)颅脑原发器质性病变或外伤性病变引起的继发性抑郁症;(2)有一级亲属患病史及其他精神病史;(3)有长期药物服用史、酒精依赖史的;(4)再次发作的抑郁症;(5)磁共振检查禁忌证如心脏起搏器、幽闭恐惧症等。为保证抑郁症纳入标准的一致性及准确性,抑郁症的量表评定均由2名经验丰富的心理科医生共同完成,当意见不统一时,均请示上级主任医师。
对照组纳入标准:(1)心理状况良好;(2)右利手;(3) HAMD-17<7分;(4)无家族性精神病史;(5)无颅脑外伤性及原发器质性病变;(6)无酒精依赖、药物服用史;(7)无磁共振检查禁忌证如心脏起搏器、幽闭恐惧症等。
以上所有志愿者均自愿参与并签署知情同意书及被试检查书,并在每次试验后认真并真实填写核磁实验后受试感受问卷。本试验得到滨州医学院医学伦理委员会的批准。
使用西门子公司3.0 T磁共振采集数据,所有受试者均行薄层高分辨率结构像及静息态BOLD扫描。检查时受试者头部固定不动,保持清醒、闭眼、平静呼吸的状态。
成像参数:静息态fMRI扫描采用梯度回波-回波平面成像(gradient-recalled echo-planar imaging,GRE-EPI)序列,平行于AC-PC进行静息态全脑横轴位扫描,参数为:TR=2000 ms,TE=30 ms,层厚=4 mm,层数=32层,FOV=240 mm×240 mm,从下向上采集200个时间点。结构像扫描采用T1WI序列,平行于AC-PC进行扫描,参数为:TR=1900 ms,TE=3.82 ms,层厚=1 mm,层数=32层,FOV=250 mm×250 mm。
为了排除磁场不均匀性的干扰,得到更好的数据,删除前10个时间点的图像,对剩余的190个时间点进行分析。本试验所有原始数据均采用SPM8软件包进行预处理,包括时间、头动校正、回归干扰信号[3]。利用DPABI_V2.1软件对预处理后的图像进行滤波,排除低频生理信号(比如呼吸和心跳)和高频随机噪声的影响[4],以及空间配准。用DPABI_V2.1软件继续做ReHo处理。基于ReHo方法计算肯德尔和谐系数(Kendall's coefficient of concordance,KCC),得出全脑每个体素的ReHo值[5],再将所得ReHo数据进行空间平滑后进一步统计分析。
利用SPM8软件进行双样本t检验统计分析,设定P<0.05FDR校正,体素范围(K值)>10为差异有统计学意义。
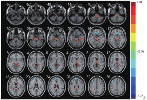
患者组与对照组局部一致性差异脑区见图1。


患者组双侧梭状回、双侧扣带回及右侧小脑脚2区、右侧丘脑、右侧颞中回及左侧丘脑内侧背核等脑区的ReHo显著高于对照组(P<0.05FDR校正,cluster size>10)。见表1。

患者组较对照组ReHo值增高的脑区
Compared with the control group, the depression group shows increased ReHo value in these brain regions
患者组较对照组ReHo值增高的脑区
Compared with the control group, the depression group shows increased ReHo value in these brain regions
| 脑区 | L/R | 最大统计点坐标(MNI) | t值 | 体素大小 | ||
|---|---|---|---|---|---|---|
| x | y | z | ||||
| 小脑脚2区 | R | 54 | -57 | -42 | 4.6416 | 28 |
| 梭状回 | R | 36 | -24 | -21 | 5.1520 | 24 |
| 丘脑 | R | 15 | -30 | 0 | 8.0026 | 20 |
| 扣带回 | R | 15 | 3 | 30 | 4.4086 | 13 |
| 颞中回 | R | 69 | -12 | -12 | 3.8438 | 13 |
| 梭状回 | L | -33 | -6 | -27 | 5.2901 | 20 |
| 丘脑内侧背核 | L | -6 | -12 | 9 | 5.2669 | 36 |
| 扣带回 | L | -21 | -36 | 18 | 5.4622 | 11 |
注:Peak点是差异最显著点,P<0.05,FDR校正;cluster size>10
患者组双侧内侧额上回及左侧额中回、左侧额内侧回、左侧枕中回、左侧枕下回及左侧中央旁小叶等脑区ReHo显著减低(P<0.05FDR校正,cluster size>10)。见表2。

患者组较对照组ReHo值降低的脑区
Compared with the control group, the depression group shows reduced ReHo value in these brain regions
患者组较对照组ReHo值降低的脑区
Compared with the control group, the depression group shows reduced ReHo value in these brain regions
| 脑区 | L/R | 最大统计点坐标(MNI) | t值 | 体素大小 | ||
|---|---|---|---|---|---|---|
| x | y | z | ||||
| 额内侧回 | L | -3 | 30 | -15 | -5.0849 | 43 |
| 枕下回 | L | -24 | -84 | -3 | -4.0802 | 15 |
| 枕中回 | L | -27 | -81 | 15 | -4.6247 | 11 |
| 内侧额上回 | L | -3 | 57 | 24 | -5.5716 | 59 |
| 额中回 | L | -36 | 36 | 36 | -6.2705 | 35 |
| 中央旁小叶 | L | -12 | -36 | 69 | -4.6618 | 13 |
| 内侧额上回 | R | 12 | 60 | 9 | -4.5833 | 17 |
注:Peak点是差异最显著点,P<0.05,FDR校正;cluster size>10
本研究严格选取首次发作、未接受任何治疗的轻中度抑郁症患者,通过计算KCC得到全脑ReHo的方法,间接反映功能相关脑区内神经元时间同步性活动的变化,进而检测抑郁情绪造成脑功能改变脑区与抑郁症发病机制的关系。以往的研究采用的研究方法与本研究相似[2,3,4,5,6,7],但本研究选取首发未治疗的轻中度抑郁症患者,为抑郁症早期发现及后期治疗提供新的研究方向。
有研究表明[8],抑郁症患者静息态下脑功能连接网络异常是形成抑郁的主要因素,而皮质-边缘系统是目前最被普遍接受的参与抑郁的形成及发展的主要理论基础。本研究发现首发轻中度抑郁症患者丘脑内侧背核及双侧扣带回的ReHo值显著高于对照组,孟月兰等[9]、房俊芳等[10]发现重度抑郁症患者前岛叶皮质和扣带回皮层存在异常的功能连接,Sundermann等[11]发现单相性抑郁症患者丘脑ReHo值也存在异常,均与本研究结果一致,进一步证实扣带回皮质作为边缘系统的重要脑区,参与管理奖励、情感等大脑认知功能的整合并调节大脑的情绪反应,而内侧丘脑在神经反应的刺激中亦起着重要作用。根据本研究及以往研究结果,证实皮质-边缘系统的异常可以导致情绪的失调。
额叶与大脑其他多个脑区存在广泛功能连接,被认为在情绪执行与认知处理中起着关键作用[12]。本研究发现首发轻中度抑郁症患者双侧内侧额上回及左侧额中回、额内侧回等脑区ReHo值显著降低,额叶ReHo值的改变可能导致与情绪处理脑区之间功能连接的减弱,这与抑郁症患者认知、情绪处理、奖励整合等功能障碍的临床表现相吻合,这种功能相关脑区之间ReHo的差异性变化也许是参与抑郁症发病的病理基础之一,这与宋玉璐等[13]的研究结果相一致。但也有研究发现双相性情感障碍的抑郁症患者左侧前额内侧回ReHo值显著增加[14],与本研究结果相反。造成上述研究结果相反的原因可能在于研究对象选取标准不同。额叶神经元时间同步性活动异常可作为诊断首发轻中度抑郁症影像学依据之一。
颞叶的前部分是精神皮层,与额叶、枕叶之间有神经纤维束相连接,因此颞叶在情绪、记忆及精神活动的处理过程中具有重要作用。本研究发现首发轻中度抑郁症患者右侧颞中回、双侧梭状回ReHo激活显著增强。颞中回与语言的理解有关,而梭状回与面部情绪的识别有关[15],当这些异常脑区与神经纤维束连接紊乱区域一致时,与抑郁症患者认知障碍、记忆缺损及情绪紊乱的临床表现一致,提示颞叶参与了抑郁症患者发病时认知障碍、记忆缺损及情绪紊乱的病理生理机制。
本研究也具有一定局限性,如采集样本数量较少;抑郁症患者均是轻中度,未对比重度等,均影响了数据结果,因此在未来的研究中需要扩大样本数量,建立一个有效的抑郁模型,进行更深入的研究。
综上所述,本研究通过局部一致性方法分析静息态功能磁共振数据,证实患者组较对照组多个脑区的ReHo值发生显著变化,这种ReHo值的差异变化能更直观地反映功能相关脑区间的激活状态,进而达到对抑郁症患者早期有效的筛选以及情绪异常活动性脑区的定位检测。随着研究的不断深入,ReHo方法将有效地用于抑郁症的基础和临床研究,为抑郁症病因的探索及临床治疗提供新的思路。





















