
磁共振成像(magnetic resonance imaging ,MRI)广泛应用于膝关节损伤的影像学诊断。目前国内大多采用仰卧伸直位进行常规膝关节扫描,但膝关节不同伸屈位置时的解剖关系和运动学特点使得伸直位扫描对于膝关节病变的评价可能不准确,在判断前交叉韧带损伤及髌股关节不稳等方面尤为显著。作者主要综述了不同膝关节扫描体位对评价前交叉韧带损伤与髌股关节不稳的研究进展,旨在探讨多角度扫描对于提高膝关节损伤诊断准确性的价值。
本刊刊出的所有论文不代表本刊编委会的观点,除非特别声明
膝关节是人体最大、构成最复杂的关节,其损伤在临床上十分常见。磁共振成像(magnetic resonance imaging,MRI)具有软组织密度分辨率高、多方位、多参数成像的优势,在显示骨与骨髓、关节与关节软骨、关节内结构及软组织等方面优于X线及计算机断层扫描(computed tomography,CT),在无创性上优于关节镜,因此近年来广泛应用于多种膝关节损伤的影像学诊断。以往的膝关节MRI检查多采取患者仰卧位、膝关节伸直的体位作为膝关节的常规扫描体位。国内外文献发现,膝关节不同伸屈位置时的解剖关系和运动学特点使得仅于伸直位扫描进行的膝关节病变的评价的准确性有待提高,主要反映在前交叉韧带损伤及髌股关节不稳上。笔者将对在不同扫描体位时评价前交叉韧带损伤及髌股关节不稳这两方面的影响进行综述。
前交叉韧带(anterior cruciate ligament,ACL)可分为股骨附着区、中间段及胫骨附着区,其中股骨附着区是ACL断裂的好发部位。虽然MRI对ACL完全断裂的诊断特异性和敏感性高,但较难诊断部分断裂和陈旧损伤。这是由于大多数医院以伸直位作为常规MRI膝关节检查的体位,而此时少数患者的ACL股骨附着点不能被完全显示。一般认为,ACL由两大纤维束即前内侧束(anteromedial bundle,AMB)及后外侧束(posterolateral bundle,PLB)组成[1]。膝关节处于伸直位时,AMB松弛、PLB拉紧,随着膝关节的屈曲,AMB拉紧、PLB松弛。由于AMB较粗大而PLB细小,ACL的总体长度与AMB的测量相关性更强[2],因此屈曲时观察ACL更为完整、清晰。倾斜角(elevation angle)是指前交叉韧带纵轴与胫骨平台面之间的夹角。不少研究发现,AMB的倾斜角在伸直位较大,在膝关节屈曲0°~120°范围内逐渐显著减小[3]。伸直位时,AMB倾斜角大,矢状位上ACL的股骨附着点在少数患者中不能被完全显示,而这正是ACL断裂的好发部位。随着膝关节屈曲,AMB与髁间窝顶区逐渐分离,ACL股骨附着区总体也更朝向水平方向,因此可以有效降低ACL损伤的假阴性。
由于上述ACL独特的走行方式、纤维束结构及伸屈活动中的变化,常规MRI在显示正常ACL结构及其损伤时的异常征象上难度较大,易造成假阳性或假阴性。主要原因包括:(1)在伸直位时股骨附着部显示较宽、平,随着屈曲角度增大,前交叉韧带纤维束扭曲,股骨段在矢状面上变窄,从而能从扇形逐渐变为圆柱形的束状结构[4],显示更清晰;(2)正常前交叉韧带在伸直位时拉紧,因此股骨附着区显示不佳,而随着屈曲角度增大,股骨段与髁间顶区分离,髁间窝容积变大,股骨附着区显示更清晰;(3)伸直位时因部分容积伪影的影响,正常的前交叉韧带内可能也表现出MRI信号不均,出现类似于损伤的表现,从而造成假阳性,而屈曲位可以减少部分容积伪影[5]。
以往不少研究表明,在利用MR图像观察ACL结构时,屈曲位相比伸直位有显著优势。Niitsu等[6]最先进行了膝关节半曲位(30°~60° ,平均45° )的扫描并与常规伸直位时的MRI图像对比,对于关节镜证实为未受损的前交叉韧带,半曲位图像在呈现股骨附着区和中间段上分别以53%和36%的比例优于伸直位。Pereira等[7]发现微曲位(10°~30° ,平均17°)的MR扫描图像相比伸直位在显示全长和各个部分都更具优越性。陈旭高等[8]发现90°屈曲时ACL增粗明显,PCL、Wrisberg韧带被拉直,三者在矢状位上同时被完整成像的程度较高。Guenoun等[9]首次利用动态MRI研究正常ACL随膝关节伸屈(过伸位、中立位、屈曲45°及屈曲90°位)时的动态变化,ACL长度、近端附着角(the angle of proximal insertion)及远端附着角(the angle of distal insertion),三者皆随膝关节屈曲角度增大而增大,AMB逐渐拉伸、PLB逐渐缩短。这一结果提示了ACL的动态轨迹,亦确立了AMB在ACL伸直时的主要作用。
屈曲位所得的MR图像相比伸直位在诊断ACL断裂(尤其是部分断裂)上也具有优越性。Niitsu等[6]发现,对于关节镜证实为断裂的前交叉韧带,半曲位图像呈现了更清晰的撕裂灶(48%)和韧带残端结构(52%)。Muhle等[4]比较了屈曲30°、55°及伸直位时的MR扫描结果,发现屈曲30°和55°位相比伸直位对前交叉韧带部分撕裂的诊断更准确,而55°时则能更清晰显示胫骨附着段。对于ACL损伤继发的半月板损伤的评估则在屈曲位和伸直位上没有明显差异。Nenezic等[5]发现在诊断部分撕裂的ACL时,屈曲位及斜矢状位相比常规伸直矢状位都具有优越性,且屈曲位时更能精确提示韧带内的高信号。另外,有时斜矢状位未必能与ACL走行完全平行,而使ACL中间纤维束显示不清,股骨附着区显示不佳,因此斜矢状位也具有其局限性。另外,国内外对于评价ACL断裂合并其他结构损伤的研究仍少,现仅有少数文献发现ACL损伤继发的半月板损伤的评估在屈曲位和伸直位上没有明显差异[4,10,11,12]。目前,还尚无文献利用动态MRI比较损伤的ACL在不同屈膝角度时的轨迹,这可能是未来进一步研究的方向。
国内外许多文献尝试了多种多样的膝关节摆位方式。最初,研究者多使用表面线圈,将海绵垫、布团等放置于患膝下方以达到微曲位及半曲位[7,13],但此类方式所得的角度易随身高波动,误差较大。除柔性表面线圈外,目前国内外也常采用膝关节专用线圈进行MRI扫描,此时由于线圈本身为硬材质、有一定高度,因此病人实际上是以膝关节微曲位(约17° )[14]进行扫描,但目前尚无文献比较17°微曲位与其他屈曲体位(如30°、45°等)在显示前交叉韧带和诊断ACL损伤上的优劣。近年来常采用角度固定的非磁性支架及量角器以准确控制角度在15°、30°、45°等范围[9,15]。如果要达到较大屈曲角度,则需要使患者侧卧并处于尽量舒适的状态,帮助保持受试膝关节的静止状态。对于身材较高大、体型较肥胖的患者,大角度屈曲位的扫描仍存在一定困难,尚需进一步改进扫描方法[16],并规范多角度扫描的适应证、禁忌证等。另外,目前尚无研究表明不同体位对ACL重建术后MRI评估的影响,鉴于动态MRI对正常或病理性的ACL变化的揭示作用,这很可能为手术方式优劣的选择、预后的功能评估带来新的探讨。
目前,包括传统X线片、CT、MRI在内的多种影像学手段均可评估髌股关节的位置及其稳定性。早在1977年就有学者报道髌骨的位置异常在屈曲20°~30°之间更显著[17],这是由于股四头肌向外作用力的矢量大于向内的矢量,且髌骨在此时还未完全进入股骨滑车沟内、不能被股骨内外侧髁稳定,所以此时髌骨的稳定性完全取决于肌肉的紧张度。因此,膝关节屈曲至少30°投照的X线轴位片在评价髌股关节不稳上就存在固有的局限性,从而可能错过诊断髌股关节排列异常所需的重要临床提示信息。MRI以其无创性、多层面成像能力及良好的组织分辨率逐渐成为评价髌股关节不稳的重要影像学手段。目前,在传统X线片上采取的评价髌股关节稳定性的参数也被广泛应用在了MRI上,从而定量研究髌骨移位、倾斜、脱位等解剖和运动特征。
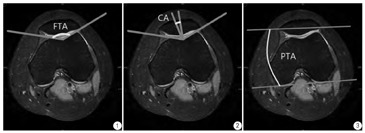
膝关节小角度屈曲位对于评价滑车发育不良更有特异性。目前常用股骨滑车角(femoral trochlear angle,FTA/sulcus angle,SA)反映股骨髁的解剖学特征。FTA是股骨滑车沟最低点分别与股骨内外侧髁最高点的连线形成的夹角(图1),越大提示股骨滑车凹越浅;随着髌骨在膝关节屈曲过程中逐渐进入滑车凹并由浅凹向深凹移动,FTA逐渐减小[18]。文献发现,髌股关节排列异常的患者与对照组的FTA在小角度(即<30° ,亦有文献显示男性0°~20° ,女性0°~10°[19])屈曲时相比伸直时的差异更明显,说明小角度屈曲时通过测量FTA诊断滑车发育不良的特异性更高。


膝关节屈曲15°~30°位相比伸直位评价髌骨脱位/半脱位更准确,主要有两方面的原因:(1)小角度屈曲位所得MR图像对评价髌骨脱位及半脱位更为敏感;(2)可减少由于患者股四头肌紧张造成的误差。
运动医学研究发现,正常人屈膝初期髌骨从起始位置向远端滑移的同时也开始向膝关节内侧移动,屈膝至15°~30°时,髌骨内移逐渐达到最大,然后转向外侧移动,至屈膝40°时,髌骨又回到中位线上[20]。而髌股关节不稳的患者在膝关节屈曲15°~45°时髌骨中心从初始外移位置持续向外侧移动[21,22],因此30°时正常人与患者的差异可能更显著,这种运动轨迹的差异同样体现MR图像上[23]。评估髌骨脱位/半脱位时常用适合角(congruence angle,CA),即股骨滑车沟最低点和髌骨中央脊的连线与FTA的平分线所形成的夹角(图2),此角在平分线的外侧为正值,正值越大说明髌骨越向外移,>16°可以诊断半脱位[24]。多数文献表明,髌股关节不稳的患者与对照组的CA在屈膝<30°时差异较明显[25],且屈曲30°时髌骨半脱位的发现率高于0°及45°[26],因为此时髌骨的运动受滑车凹及伸膝装置的影响尚小,髌骨最不稳定;而屈膝>30°时,伸膝装置紧张度增加、滑车凹骨性突起等因素会减轻髌骨移位,因此轻微的髌骨脱位不能被确切反映出来。
另外,Laugharne等[27]发现正常人在膝关节伸直位且股四头肌紧张时测量的髌骨移动率(bisect offset,BSO)可超过正常参考值,而在屈曲30°时无论股四头肌紧张与否均处于正常区间内。由于病人在进行MRI检查时心情紧张,可能会不自觉地收缩股四头肌,这就导致伸直位BSO测量值升高的假阳性,高估了髌骨外移程度而进行不必要的手术。因此屈曲位可以有效防止股四头肌收缩或松弛对测量BSO造成的误差。
国内外文献发现,在10°~30°时评价髌骨倾斜较为准确。广泛应用于评估髌骨倾斜的参数是髌骨倾斜角(patellar tilt angle,PTA/lateral patellar tilt,LPT)。PTA指的是髌骨内外侧最突出点与股骨髁后缘软骨下骨切线的夹角(图3),此角度为正值时提示髌骨外倾,角度越大提示外倾程度越大,从膝关节伸直位到屈曲30°时PTA逐渐减小。有学者发现,45°时髌股关节不稳患者与正常人十分接近[23],提示在45°时测量PTA对诊断髌骨倾斜几乎没有临床意义。另外,类似BSO,正常人在伸直位且股四头肌紧张时测量的PTA可以达到正常值高限,在伸直位时测得的PTA可能影响临床判断[27]。因此,选择在10°~30°时测量PTA评价髌骨倾斜可能是一个相对合适的妥协[28]。
在小角度屈曲时评价股骨和胫骨的相对位置更有优越性。目前国内外常使用胫骨结节-股骨滑车距离(tibial tuberosity-trochlear groove distance,TTTG)反映股骨和胫骨的相对位置,评估伸肌装置的外移。TTTG指选取股骨滑车凹最低点和胫骨结节的最高点并测量这两点间的水平位移,TTTG值的增大是导致髌股关节不稳的一个可能因素[29]。既往文献认为,不同角度之间的TTTG和参考值不具有可比性,在进行MRI检查时有必要将TTTG测量时的屈膝角度标明,以防对手术指征的判断造成误差。Dietrich等[30]比较了健康成年人在膝关节屈曲0°、15°、30°时横断面T1加权自旋回波图像的TTTG,发现随着角度增大,TTTG减小,这可能是由于在膝关节接近伸直位时胫骨外旋的"拧紧"机制[31]。Figueroa等[32]在膝关节屈曲20°时发现有髌股关节疼痛症状的患者与健康人的TTTG之间具有统计学差异。Becher等[23]发现髌股关节不稳的患者与正常人的TTTG在0°和15°有明显差异,而在30°、45°时不显著。因此推荐在15°时测量TTTG,因为此时病人处于比较舒适的位置并可以使运动伪影的影响最小化。
内侧髌股韧带(medial patellofemoral ligament,MPFL)提供了限制髌骨向外侧移位约53%的作用力[33],因此在限制髌骨外移上起着重要的作用,尤其在小角度屈曲位时更具意义[34]。分析MPFL的长度变化可以协助髌骨复发性脱位的诊断。Arai等[35]在体外通过开放式MRI多角度地(膝关节伸直、屈膝30°、60°、90°及120° )研究髌骨脱位病史的患者与健康成人的MPFL长度变化的差异,发现正常人的MPFL在屈膝60°时有最强的张力,在0°~60°时贡献主要的张力;而患者的MPFL在0°和30°时长度明显增加,大于30°时减小,60°时损伤的MPFL凸向髌骨关节面。这些区别表明,有髌骨脱位史的患者MPFL在0°~60°时缺乏足够的张力,特别在0°~30°时。因此30°时测量MPFL的长度更具临床意义。
目前,国内外对不同膝关节伸屈角度对于评价髌股关节不稳的影响的研究尚有不同程度的局限性。首先,多数研究集中于0°~60°屈曲时的动态变化,对于屈曲更大角度时诸测量参数的变化研究较少。近年来由于开放式MRI的出现,大角度屈曲位时髌股关节的运动轨迹或许可以得到更准确、完整的补充,也可以更便于研究负重时髌股关节的运动轨迹。其次,以上评估髌股关节不稳的测量指标参数大多是为传统X线片所设计的,随着使用MRI评价髌股关节解剖及运动特征的普及,寻找新的更适合MRI检查的测量指标或许是日后的研究方向。另外,作者发现健康人的各个参数在诸多角度时所呈现的值的差异可以较显著,因此建立并规范在不同膝关节屈曲角度时的参考区间,并在检查时标明膝关节所处的角度是很有必要的,未来将会需要更多的研究来完善MRI检查在角度和参数选择上的规范性。
通过比较国内外文献中不同膝关节伸屈角度对评价膝关节损伤的影响,发现不同扫描体位在评价不同类型损伤时各有侧重。对于前交叉韧带的观察与评价,屈曲位相比伸直位有显著优势。而对于髌股关节不稳,则推荐在小角度屈曲时评估多种病变。因此,采取不同屈曲角度的膝关节扫描体位有利于减少假阳性及假阴性,为临床诊断相关疾病提供更完善的影像学证据,未来在进一步完善MRI扫描方案上仍有较大的研究空间。





















