
探讨骶椎神经鞘瘤的侵犯特点与MRI表现特征。
观察26例骶椎神经鞘瘤的MRI表现,根据生长部位、侵犯范围及有无囊变、"足突边缘"征,进行分型、分组测量瘤体最大径。比较型间及组间瘤体最大径的差异。对照分析瘤实质T2WI信号、强化效应及HE染色组织学表现。
1型4例,2型5例,3型10例,4型7例。骶前软组织肿块出现率高于骶板后(χ2 =13.066,P=0.011)。骶椎中线与中线旁骨质破坏各5例、14例。第3型瘤体最大径大于其他型(t=2.655,P=0.014)。8例巨大侵袭性骶椎神经鞘瘤(giant invasive sacral Schwannoma,GTSS)瘤体最大径超过18例非GISS(t=3.027,P=0.006)。"足突边缘"征阳性12例与阴性14例间瘤体最大径差异无显著性(t=1.896,P=0.07)。囊变组12例的瘤体最大径、病程均长于非囊变组14例(t=2.928,P=0.007;t=-2.187,P=0.039)。Ⅰ区呈T2WI稍高信号、明显强化,对应Atoni A区;Ⅱ区呈T2WI高信号、无强化或轻微强化,对应Atoni B区。
骶椎神经鞘瘤具有偏心性破坏和骶前侵犯特性。T2WI上稍高信号与高信号及其差异性强化是该瘤的MRI表现特征。
本刊刊出的所有论文不代表本刊编委会的观点,除非特别声明
骶椎神经鞘瘤起源于骶神经根髓鞘雪旺氏细胞,约占骶椎原发肿瘤的8.5%[1],常因广泛椎骨破坏和巨大软组织肿块而引起临床症状,其影像学表现与骶椎较常见的脊索瘤、骨巨细胞瘤相似[2,3]。鉴于骶椎神经鞘瘤影像学诊断的难度,有学者坚持术前组织学活检的必要性[4,5]。手术切除为主要治疗手段,以尽可能完整切除为目标。因此,术前影像学的正确诊断及侵犯范围的准确界定有着重要临床意义。MRI是骶椎神经鞘瘤的最佳影像学诊断手段[2,4,6],目前MRI研究多为个例报道,有关该瘤对骶椎的三维侵犯及其边缘形态的研究较少。笔者分析26例骶椎神经鞘瘤的MRI资料,结合组织病理学表现,着重探讨其行为特点、边缘形态和瘤体信号与强化效应的内在关联性,以提升对骶椎神经鞘瘤临床MRI诊断特征的认识。
收集中山大学附属第一医院2007年1月至2017年12月间经手术切除和组织病理学证实的骶椎神经鞘瘤26例。入选标准:(1)瘤体主体位于骶椎或发生于紧贴骶椎前缘的骶前区;(2)瘤体上界不超过L5上终板。
3.0 T超导MR成像系统扫描,Siemens Trio和Siemens Verio,应用相控阵脊柱线圈。增强MRI均由高压注射器(Ulrich Medical)控制,按0.1 mmol/kg剂量、3 ml/s速度经肘静脉注射钆喷替酸葡甲胺(Gd-DTPA),紧接20 ml生理盐水冲刷。扫描序列包括TSE序列轴位T1WI、T2WI和矢状面T1WI、T2WI及增强后轴位、矢状与冠状扫描,于选择方向行脂肪抑制T2WI扫描。层厚5 mm,层间距0.5 mm,像素0.68 mm×0.68 mm~0.85 mm×0.85 mm。
(1)分析骶椎神经鞘瘤MRI表现:瘤体实质及瘤内囊变、出血的信号表现,瘤实质T2WI信号强度及其对应的强化效应;肿瘤分型与边缘形态;瘤体最大径与型别、囊变及边缘形态的关系,囊变与病程间的关系。骶椎神经鞘瘤的分型,借鉴郭卫的4型分法[7],分为4型:1型,肿瘤限于骶管内,骶管膨胀扩大;2型,肿瘤经骶孔向前生长,形成骶前肿块;3型,肿瘤向前后生长,形成骶前、骶后肿块;4型,肿瘤限于骶前生长,骶管内无肿瘤。巨大侵袭性骶椎神经鞘瘤(giant invasive sacral Schwannoma,GISS)的判断,根据Togral的标准:2个以上脊椎节段受累、椎体及椎后肌筋膜受侵[8],所有病例分为GISS与非GISS两型。(2)分析骶椎受侵的空间特点:比较椎前、脊椎(椎体与侧部)、椎管、椎板和椎后5区的受侵频率;观察肿瘤脊椎起源节段及各节段脊椎受累的频数;根据病灶中心点相对于骶椎中线的位置,观察各型骶椎破坏及椎前软组织肿块在轴位的分布。(3)整合术中所见、大体标本和镜下HE染色、免疫组化表现;对T2WI上瘤实质2种信号行局部切片及HE染色观察。(4)所有评阅由两名工作10年以上的放射科医师完成,不一致时由两人协商解决。
应用SPSS 17.0软件进行:(1)χ2检验统计分析。比较前后向上骶椎5个区域侵犯率,以P<0.05为差异有统计学意义。(2)t检验统计分析。病程和瘤体最大径以均数±标准差(
±s)表示,观察瘤体最大径与型别、囊变、瘤体边缘形态及囊变与病程的关系,以P<0.05为差异有统计学意义。



患者性别、年龄、症状及测量结果
患者性别、年龄、症状及测量结果
| 病例序号 | 性别 | 年龄(岁) | 症状 | 病程(月) | 分型 | GISS | 瘤体最大径(cm) | 足突边缘征 | 囊变 |
|---|---|---|---|---|---|---|---|---|---|
| 1 | 男 | 23 | 腰骶痛伴左下肢乏力 | 3 | 1 | N | 9.5 | + | - |
| 2 | 男 | 52 | 腰骶痛伴右下肢放射痛 | 36 | 1 | N | 4.9 | + | - |
| 3 | 女 | 62 | 腰骶痛 | 2 | 1 | N | 3.2 | - | - |
| 4 | 男 | 37 | 腰骶胀痛 | 24 | 1 | N | 8 | + | - |
| 5 | 女 | 22 | 腰骶痛伴右下肢放射痛 | 2 | 2 | N | 12.5 | + | + |
| 6 | 女 | 50 | 双下肢水肿 | 1 | 2 | N | 4.8 | - | - |
| 7 | 男 | 46 | 大便次数增多 | 2 | 2 | N | 9 | - | + |
| 8 | 男 | 50 | 便秘 | 24 | 2 | N | 13 | + | + |
| 9 | 女 | 21 | 肛门坠胀感 | 15 | 2 | N | 7.2 | - | - |
| 10 | 男 | 22 | 腰骶痛伴左下肢麻木 | 36 | 3 | Y | 15 | + | + |
| 11 | 男 | 27 | 腰骶痛 | 12 | 3 | Y | 13.5 | + | - |
| 12 | 男 | 51 | 双下肢麻木 | 1 | 3 | Y | 7.3 | + | + |
| 13 | 男 | 62 | 腰骶痛 | 28 | 3 | N | 8.1 | - | + |
| 14 | 女 | 48 | 腰痛并左下肢放射痛 | 36 | 3 | Y | 10 | + | + |
| 15 | 男 | 39 | 腰骶痛、排尿困难 | 36 | 3 | Y | 15 | - | + |
| 16 | 女 | 18 | 腰骶痛 | 8 | 3 | Y | 10.1 | + | - |
| 17 | 男 | 29 | 腰骶痛 | 1 | 3 | Y | 12.5 | + | + |
| 18 | 女 | 45 | 腰骶痛、排便困难 | 20 | 3 | N | 10 | - | - |
| 19 | 女 | 42 | 骶部疼痛、月经紊乱 | 34 | 3 | Y | 12 | + | + |
| 20 | 女 | 24 | 排便困难 | 9 | 4 | N | 5 | - | - |
| 21 | 女 | 53 | 下腹坠胀感、尿频 | 27 | 4 | N | 11.5 | - | + |
| 22 | 女 | 42 | 闭经、肛门坠胀感 | 2 | 4 | N | 8 | - | - |
| 23 | 男 | 28 | 双下肢水肿 | 1 | 4 | N | 11.5 | - | - |
| 24 | 男 | 50 | 排便困难 | 24 | 4 | N | 8.5 | - | + |
| 25 | 女 | 54 | 下腹部不适 | 4 | 4 | N | 9.5 | - | - |
| 26 | 女 | 15 | 左下肢疼痛 | 2 | 4 | N | 7 | - | - |
注:瘤体最大径,第3型与其他型间差异有显著性(t=2.655,P=0.014),囊变组与非囊变组间差异有显著性(t=2.928,P=0.007)。囊变组与非囊变组间病程差异有显著性(t=-2.187,P=0.039) ;"足突边缘"征阴、阳性间瘤体最大径差异无显著性(t=1.896,P=0.07)。GISS (Y)与非GISS (N)间瘤体最大径差异有显著性(t=-3.027,P=0.006)
(1)受侵脊椎节段:19例神经鞘瘤侵犯的脊椎节段范围,自L5~S5。其中限于骶椎的15例,累及1~4个节段;跨腰骶椎的4例,累及3~5个节段。总共55节段中,S1~S3集中了46个(图5)。(2)与中线关系:第1~3型均有显著骶椎骨质侵犯,其轴位分布见表2;第2~4型均见明显骶前软组织肿块,其轴位分布见表3。(3)前后向侵犯:26例神经鞘瘤5个区域软组织肿块频数,依次是椎前22、脊椎21、椎管18、椎板14、椎板后12。椎前软组织肿块出现率,高于椎板和椎板后(χ2=13.066,P=0.011)。



26例骶椎神经鞘瘤骶椎骨质侵犯在脊柱轴位的位置分布(例)
26例骶椎神经鞘瘤骶椎骨质侵犯在脊柱轴位的位置分布(例)
| 型别 | 左侧 | 中线 | 右侧 |
|---|---|---|---|
| 1 | 0 | 2 | 2 |
| 2 | 0 | 0 | 5 |
| 3 | 4 | 3 | 3 |

26例骶椎神经鞘瘤骶前软组织肿块在脊柱轴位的位置分布(例)
26例骶椎神经鞘瘤骶前软组织肿块在脊柱轴位的位置分布(例)
| 型别 | 左侧 | 中线 | 右侧 |
|---|---|---|---|
| 2 | 0 | 3 | 2 |
| 3 | 3 | 4 | 3 |
| 4 | 3 | 2 | 2 |
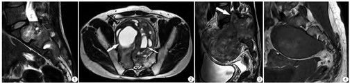
(1)瘤体呈膨胀性生长、包膜完整的软组织结节,大小不一。7例见哑铃状改变,其中2型2例、3型5例。包膜于T1WI、T2WI上均为低信号(图2)。(2)瘤体边缘光整的6例;分叶状的20例,其中12例可见足状突起,表现为分叶状边缘之外单个或数个齿轮状隆起嵌入邻近组织内,宽3~10 mm、长7~15 mm不等(图6,图7)。笔者称之为"足突边缘"征。(3)椎管外骨质改变:1例瘤体跨骶髂关节破坏一侧髂骨(图7) ;4型的2例分别见S1、S2椎前局灶性骨质压迫吸收。


(1)以臀肌为参照,瘤体实质T1WI上呈等信号、稍低信号。T2WI上信号不均,呈2区基本信号改变:Ⅰ区,以稍高信号为主,间有部分等信号;Ⅱ区,以高信号为主,间有部分稍高信号与极高信号。Ⅰ区、Ⅱ区间隔排列,排列形式具多样性。两区大小范围,在同一瘤体不同部位及不同病例间变化不一。增强后不均匀强化,Ⅰ区明显强化。Ⅱ区表现出明显差异性强化,自无强化至轻微强化不等,呈T2WI信号越高强化越弱趋势(图8)。(2)瘤内囊变多见,常同时合并出血。囊变灶呈圆形、卵圆形或不规则形液性信号,T1WI呈稍低、等或稍高信号,T2WI上以高信号为主,可单个、多个或累及大部分瘤体,多见低信号囊壁。出血灶呈特征性表现,可见黑白液平征,液平上多呈T1WI稍高、T2WI高信号改变,液平下呈T1WI、T2WI极低信号,壁呈T2WI低或极低信号环(图2)。
根据肿瘤分型,分别采用前路、后路及前后联合入路途径,整块或分块切除瘤体。术中见肿物包膜完整,黄褐色或灰白色瘤组织,瘤内可见囊变、出血。第4型的7例病灶全部起自骶神经分支。瘤体标本剖面呈灰白色、灰红色或灰黄色,实性或囊实性,可见出血灶(图9A)。镜下见梭形瘤细胞,呈细胞密集的Antoni A区与细胞稀疏的Antoni B区交替分布,前者排列成编织状、栅栏状或束装,疏松区内可见较多泡沫细胞。瘤细胞异型性不明显,核分裂象不易见。免疫组化基本表现为瘤细胞S-100、Vimentin阳性,MBP、CD99及CD34部分阳性,Ki-67 1%~5%阳性,EMA、Actin阴性。MRI-病理对照显示,Ⅰ区瘤细胞密集,Ⅱ区瘤细胞稀疏(图9B、图9C)。综合HE染色和免疫组化,26例均诊断为良性神经鞘瘤。
骶椎神经鞘瘤,包括发生于骶椎本身的和发生于骶前紧邻骶椎前缘的[9,10]。Pongsthorn等[9]根据病灶解剖位置,将其分为腹膜后、骶椎内和骶椎内外神经鞘瘤等3类,以利于手术路径的选择。Popuri等[10]将紧贴骶椎前缘的腹膜后神经鞘瘤,称为骶前神经鞘瘤,可有骶椎前缘骨质轻微侵蚀。国内郭卫等基于肿瘤生长方式,提出了骶椎区神经鞘瘤的概念并将其分为4型,其中前3型均源发于椎管并椎管前后不同程度的侵犯,而第4型限于骶前而无椎管侵犯[7]。笔者在此分型基础上,综合国内外文献及本组病例特点,将骶椎神经鞘瘤分为4型,把之前文献报告的腹膜后或骶前神经鞘瘤归为第4型,因其起源神经与本组病例一样,均为骶神经的分支,将其归为骶椎神经鞘瘤中的一型,有利于对骶椎神经鞘瘤整体性的认识。
由于骶椎神经鞘瘤发生部位的特殊性和临床表现的隐匿性,为突出某些病例的肿瘤行为特性,有学者提出了GISS的概念。Togral等在前人研究基础上提出了GISS的诊断标准[8,11,12]。本组26例中,符合GISS的有8例,均在第3型。GISS最大特征就是其侵袭性,体现在瘤体巨大和大范围的骨质破坏与软组织侵犯。本组资料中,其瘤体最大径明显高于非GISS。比较而言,笔者提出的4分型法,着眼于神经鞘瘤在骶椎的空间分布,而GISS则注重其侵袭性行为。
(1)纵向进犯:自L5~S5的6个节段脊椎均可发生神经鞘瘤,以S1~S3节段最多,占全部的84%,说明上骶椎是神经鞘瘤的好发区。本组病例中未见跨骶尾椎发生的,可能与脊神经的分布有关。在脊椎分布上,与脊索瘤的常见跨骶尾椎侵犯不同[3]。(2)偏心性骨质破坏。19例骨质破坏中,位于骶椎中线区与中线旁区之比为5∶14,说明骶椎神经鞘瘤易侵犯中线旁骨质,此与神经鞘瘤常常起源于一侧骶孔并侵入邻近组织有关[13]。此种骨质侵犯方式,与脊索瘤以椎体中线为中心的不同[3]。(3)椎前、脊椎侵犯倾向。自椎前至椎板后的5个区域,均可被神经鞘瘤侵犯,侵犯发生率自前向后递减。尽管骶椎神经鞘瘤不同型别有各自好发的侵犯部位,但这一倾向仍说明神经鞘瘤具有向前侵犯的特性,与骨巨细胞瘤的嗜椎后侵犯不同[6]。本组22例骶前软组织肿块,中线与中线旁之比为9∶13,提示不论骶前区肿块在中线与否,都要注意神经鞘瘤的可能。
鉴于肿瘤常常起源于一侧骶孔并侵入邻近组织,其哑铃形征象易被辨认,有助于术前诊断[13]。尽管此征的出现率与型别有关,总体上骶椎神经鞘瘤中哑铃形征象不如骶椎以上跨椎孔神经鞘瘤常见,可能与发生部位及病程较长有关。Chandhanayingyong等[13]、Pongsthorn等[9]报告的10例2、3型骶椎神经鞘瘤,5例可见哑铃形。本组26例中27%病例见此征,按型别的出现率为47%,与文献报告相近。
大体上瘤体呈膨胀性生长,但本组中77%的瘤体轮廓呈分叶状,提示肿瘤内部生长速度不均一。其中60%病例"足突边缘"征阳性,说明在某些方向上该瘤增殖特别活跃,表现出一定的局部侵犯倾向。本组资料显示,"足突边缘"征对瘤体最大径无影响,说明该征是骶椎神经鞘瘤的一个固有特性。尽管该瘤有完整的包膜,但包膜的存在并非无侵袭性的保证。这与骶椎脊索瘤具有类似的意义[3]。"足突边缘"征阳性者,要求术前MRI评价对肿块侵犯范围要准确,同时手术中应重点关注以尽可能完整切除。另一方面,笔者在本研究中发现瘤内囊变提示瘤灶的侵袭性。肿瘤增大导致血供不足,是产生囊变的重要原因[9],在本研究中表现为囊变发生率随病程延长、瘤体最大径增大而增加。囊变进展可继发液化坏死、出血,产生特征性的液液平征[14]。
已报道的神经鞘瘤MRI-病理对照研究显示,Atoni A区和Atoni B区分别对应T2WI上的稍高信号和高信号[15]。本研究也支持这一结果。本研究显示,瘤体内Ⅰ区、Ⅱ区的T2WI信号表现与其强化效应存在关联。MVD低的Ⅰ区较MVD高的Ⅱ区强化显著,有悖于强化效应随MVD增高而增强的一般规律,其原因在于强化效应取决于诸多因素的作用,除微血管数量外,微血管壁基膜的通透性、组织的渗透压及增强扫描的时机等,均是影响强化效果的重要环节。推测造成这种强化差异的机理在于:(1)组织结构不同,即Ⅰ区、Ⅱ区内瘤细胞与黏液含量比列的差异;(2)微血管壁通透功能不同。Ⅰ区瘤细胞密集、黏液少,产生T2WI稍高信号,但低MVD的管壁通透性高,常规增强扫描时较多对比剂经血管进入瘤细胞区,导致强化效果显著。而Ⅱ区黏液含量高、瘤细胞稀少,产生T2WI强信号,同时高MVD的管壁通透性低,常规增强扫描时较少对比剂经血管进入组织,导致强化效果弱。从组织病理学基础出发,Ⅰ区、Ⅱ区的T2WI信号表现反映了二者瘤细胞与黏液成分构成比例差异的性质,且与差异性的强化效应相对应,因此,这种T2WI双重信号与差异性强化是神经鞘瘤的特征性MRI表现。基于2区比例变化不一,因此在Ⅰ区占主导成分情况下,多层面观察以发现Ⅱ区结构,将有助于确立神经鞘瘤的诊断。
根据骶椎神经鞘瘤在骶椎的三维侵犯特点,结合T2WI上特征性的双重信号及相应的差异性强化,基本可以做出诊断。辨识T2WI双重信号区是诊断的关键,尤其是广泛囊变、出血情形下辨识相当困难,需多层面、多方位观察。与神经纤维瘤的区别是,后者是丛状生长肿瘤,多呈弥漫性分布,无包膜[6]。鉴于MRI上神经鞘瘤的良恶性很难区分[16]。其鉴别常需借助免疫组化分析[16],骶椎神经鞘瘤主要需与脊索瘤、骨巨细胞瘤鉴别。脊索瘤多位于骶椎中线区,T2WI以高信号为主,缺乏神经鞘瘤的T2WI双重信号特点,常规增强扫描上瘤体强化较弱,有别于神经鞘瘤内局部明显强化[3]。骨巨细胞瘤与神经鞘瘤相似,多偏侧生长,但前者倾向于椎后侵犯,肿瘤轮廓欠光整,T2WI多呈低信号。另一需要鉴别的少见肿瘤,是发生于骶椎的巨大破坏性粘液乳头状室管膜瘤,瘤体占据骶椎中线区,溶骨性破坏显著,且T2WI呈高低混杂信号、明显强化,但椎后侵犯相对多见[17]。发生广泛囊变、出血时,需与动脉瘤样骨囊肿鉴别[18]。第4型因其邻近盆腔器官,需注意排除浆膜下型子宫肌瘤[19]。
无。





















