
本刊刊出的所有论文不代表本刊编委会的观点,除非特别声明
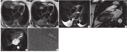
患者女,63岁,主因活动后胸闷、气短伴咳嗽2个月,加重10 d入清华大学第一附属医院。听诊:第一心音增强,各瓣膜区未及明显杂音。心电图:窦性心律,心率70次/min,AVF导联低电压,无明显ST-T改变。心脏MR平扫及增强扫描显示二尖瓣前叶左房侧附着占位病变,大小约为25 mm×13 mm×20 mm,病灶光滑,随心动周期及瓣叶运动,造成二尖瓣狭窄并中量反流,左室流出道狭窄,收缩期末内径约10 mm,病灶平扫呈等T1、长T2信号(与心肌信号比较),信号较均匀,延迟增强扫描与心血池信号一致(图1)。全麻下行二尖瓣囊肿切除术。术中所见:二尖瓣前叶左房侧可见一血性囊肿,大小为30 mm×20 mm×15 mm,与左房交通。囊液为血性。囊壁可见少量附壁血栓。病理所见:光学显微镜下观察,纤维组织囊壁多为胶原纤维,厚壁内散在少许小囊腔,腔内衬以扁平或立方细胞,囊壁内散在纤维母细胞增生,囊腔内有血栓及血块(图2)。免疫组织化学检测:CD34 (+),CD31 (+),D2-40 (-),间皮抗体(-),血内皮细胞(+),淋巴管内皮及间皮(-)。病理诊断:二尖瓣血性囊肿。


心脏血性囊肿由Elasser在1844年提出,在胎儿和儿童人群中常见,随着年龄增大而逐渐消失,故在成人群体中非常罕见[1]。血性囊肿多发生在房室间瓣膜,少数见于主动脉和肺动脉瓣[2]。目前,心脏瓣膜血性囊肿的发生最主要可能与血管内皮损伤有关[3]。其临床症状及体征不明显,因此大多数影像科医师不了解这个病变[4]。超声是诊断心脏瓣膜血性囊肿的首选方法[5],但是对于确定囊肿性质和分型有一定的难度。心血管磁共振成像(cardiovascular magnetic resonance,CMR)检查有助于了解病灶的大小、性质及周围软组织等信息。本例MRI平扫表现为:TSE T1WI呈等信号,T2WI和脂肪抑制序列呈高信号。心脏电影:在高信号的心血池衬托下呈低信号,囊肿位置和形态随心动周期没有明显改变。增强扫描:首过心肌灌注无明显强化,延迟扫描瘤体有对比剂充填与心血池信号相同。这一表现与Romano等报告的病例相符[6]。延迟增强扫描的表现与Cianciulli等[7]报道的病例表现不一致,推测本例囊肿与血管相通。鉴于此,还要与该部位好发的二尖瓣瘤、黏液瘤和乳头状纤维弹力瘤进行鉴别。二尖瓣瘤非常少见,表现为二尖瓣瓣叶突向心房的囊性病灶,但是与左心室通过瓣叶上的开口相同。因此该病变心脏电影收缩期充血扩张,舒张期排空萎缩,大小随心动周期发生变化,血性囊肿大小不随心动周期发生变化。黏液瘤有宽窄不一的蒂与二尖瓣相连,活动度大,病灶呈长或等T1、稍长T2信号,通常瘤体内信号不均匀。心脏电影显示病灶的位置形态随心动周期发生变化,增强扫描呈均匀与不均匀强化,延迟增强表现为瘤蒂和瘤壁的强化。乳头状纤维弹力瘤一般好发于主动脉瓣,其次为二尖瓣。表现为长T1、短T2信号,一般直径小于1 cm,增强扫描无强化考虑此诊断。
综上,成人二尖瓣血性囊肿临床罕见,超声定性诊断有一定难度,CMR检查有助于准确了解病灶的大小、性质及与周围组织的关系等信息。本例患者术前CMR延迟增强后见与左心房相通的囊袋状结构并与左心房的血池信号一致,其形态和位置不随心动周期变化,这一发现高度提示二尖瓣血性囊肿。
无。





















