
探索胸部磁共振T1加权STAR-VIBE序列与CT成像在评估肺实质疾病中的应用价值。
收集陕西中医药大学附属医院同时行胸部磁共振STAR-VIBE序列和CT成像且检出胸部疾病患者30例。观察STAR-VIBE序列及CT图像肺肿块(≥3 cm)、结节(<3 cm)、实变、斑片状影、条索状影、网状影、磨玻璃密度影、纵隔淋巴结、胸膜增厚、胸腔积液、肺气肿、肺大泡、牵引性支气管扩张征象。由具有25年工作经验的胸部影像科医师对CT图像疾病征象进行观察并作为参考标准。由另外两名具有5年以上工作经验的影像科医师对STAR-VIBE及CT图像疾病征象采用五分法进行双盲法独立评价,计算STAR-VIBE序列各种疾病征象的检出率。
STAR-VIBE序列肺肿块、实变、纵隔淋巴结和胸腔积液的检出率均为100%,STAR-VIBE与CT主观评分均大于4分,且两者间差异无统计学意义(P>0.05)。STAR-VIBE序列可以检出94.2%和92.9%的肺结节和胸膜增厚,磨玻璃密度、斑片状影、网状影、条索状影在STAR-VIBE序列的检出率依次为80.1%、85.2%、85.7%、88.0%,牵拉性支气管扩张的检出率(66.7%)高于肺气肿和肺大泡检出率,且低于其他胸部疾病征象检出率,且STAR-VIBE序列各种征象主观评分均高于3分。磁共振STAR-VIBE序列无法检出肺气肿和肺大泡,且STAR-VIBE序列主观评分低于2分。
胸部MR成像STAR-VIBE序列对于评估肺和纵隔疾病是可行的,且在无辐射剂量前提下帮助评估多种肺实质疾病的影像学表现。
本刊刊出的所有论文不代表本刊编委会的观点,除非特别声明
计算机断层成像(computed tomography,CT)作为胸部疾病最常用的检查方法,CT重复检查和后续随访所致的辐射剂量增加与辐射相关性肺癌密切相关[1]。磁共振成像具有无放射性损害、软组织对比好、较高空间分辨率、多方位及多参数成像[2],在胸部[3]、腹部及盆腔[4]中已经得到应用,但肺组织具有低质子密度,易产生心脏搏动和呼吸运动伪影[5]。磁共振STAR-VIBE (stack-of-stars volumetric interpolated breath-hold examination)序列是一种自由呼吸T1加权三位梯度回波采集序列,其可以在自由呼吸状态下进行扫描并采集数据,不仅可以消除呼吸及心脏搏动引起的伪影,还能避免CT检查带来的辐射,可对呼吸配合欠佳或呼吸节律不齐者进行数据采集[6]。因此,本研究通过对磁共振STAR-VIBE序列和CT成像上肺实质疾病征象进行观察,旨在探索胸部STAR-VIBE序列与CT成像在评估肺实质疾病中的应用价值。
收集2018年8月至2018年10月在陕西中医药大学附属医院行影像学检查的患者。纳入标准:①年龄≥18岁;②CT检查发现肺部疾病征象者;③同时行胸部CT及MR检查者。排除标准:①有磁共振禁忌证,例如心脏起搏器、金属植入物、幽闭恐惧症等;②呼吸困难导致胸部CT及胸部MR检查失败者。本研究最终纳入30例患者,男17例,女13例,年龄41~68岁,平均年龄(56.00±11.32)岁。胸部CT及MR检查前均签署知情同意书,所有检查得到医院伦理委员会批准。
采用宝石能谱CT机(GE Discovery 750HD,美国,GE公司)进行CT检查,患者均采取仰卧位,足先进,双上肢上举交叉抱头,对患者进行甲状腺及盆腔防护,扫描前进行呼吸训练。选用能谱扫描协议,范围自双肺尖至膈肌下方1 cm,吸气后屏气呼吸进行扫描,采集参数64 mm×0.625 mm,机架旋转速度1.0 s/r,螺距1.375,探测器宽度40 mm,初始重建层厚5 mm及层距5 mm;二次重建层厚1.25 mm和层距1.25 mm,窗宽1500 Hu,窗位-800 Hu。
CT检查结束后24 h内将符合纳入标准的患者进行胸部MR检查,采用3.0 T磁共振(MAGNETOM 3.0 T SKYRA,德国,西门子),患者均取仰卧位,头先进,双上肢置于身体两侧,采用体表线圈,扫描范围自双肺尖至膈肌下方1 cm,进行磁共振自由呼吸STAR-VIBE序列扫描,STAR-VIBE序列参数:TE 1.39 ms,TR 2.79 ms,层厚1.2 mm,视野380 mm×380 mm,矩阵320×320,扫描时间5 min 30 s。
数据采集完成后,在CT重建1.25 mm图像、STAR-VIBE序列1.2 mm图像上分别观察各种胸部疾病征象,包括肺肿块(≥3 cm)、结节(<3 cm)、实变、斑片状影、条索状影、网状影、磨玻璃密度影、纵隔淋巴结、胸膜增厚、胸腔积液、肺气肿、肺大泡、牵引性支气管扩张征象。
由一名具有25年工作经验的胸部影像科医师对每名患者CT重建图像上胸部疾病征象进行观察和记录,并以此作为胸部影像学征象参考标准。由另外两名均具有5年以上工作经验的影像科医师采用五分法分别对STAR-VIBE及CT图像胸部疾病征象进行独立评价,先对STAR-VIBE图像进行分析评价,然后再对CT薄层图像进行分析评价,两名医师观察结果及评分不一致时通过协商确定。具体评分标准为:5分,征象边缘锐利,无伪影;4分,征象边缘清晰,轻度伪影;3分,征象边缘模糊,中度伪影;2分,征象边缘显示不清,明显伪影;1分,征象无法显示,严重伪影。分别记录两名医师STAR-VIBE和CT图像各种胸部疾病征象显示数目并计算STAR-VIBE序列检出率,同时记录STAR-VIBE和CT图像主观评分。
采用SPSS 22.0统计学分析软件,主观评分采用均数±标准差(
±s)表示,计数资料采用百分比(%)表示。两名医师主观评分一致性采用Kappa检验,Kappa值≥0.70为一致性极好,0.40≤Kappa值<0.70为一致性中等,Kappa值<0.04为一致性差。采用Wilcoxon检验比较STAR-VIBE序列和CT显示各种胸部疾病征象的主观评分,P<0.05为差异具有统计学意义。
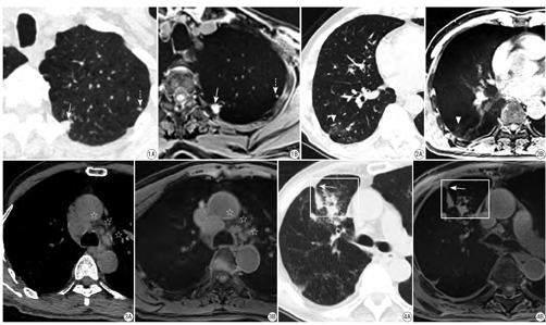
30例胸部MR及CT检查患者,CT图像共检出肺肿块(≥3 cm)16例,结节(<3 cm)137个,实变9例(范围1.3~4.2 cm),斑片状影27例(范围1.4~2.6 cm),条索状影25例(长度0.8~2.4 cm),网状影14例(范围1.5~2.6 cm),磨玻璃密度影21例(范围0.9~2.1 cm),纵隔淋巴结30例(大小5~22 mm),胸膜增厚28例(厚度3~6 mm),胸腔积液6例(少量积液),肺气肿12例,肺大泡17例,牵引性支气管扩张3例(内径7~9 mm),见图1,图2,图3,图4。


磁共振STAR-VIBE序列肺肿块、实变、纵隔淋巴结和胸腔积液的检出率均为100%,STAR-VIBE序列可以检出94.2%和92.9%的肺结节和胸膜增厚,磨玻璃密度、斑片状影、网状影、条索状影在STAR-VIBE序列的检出率依次为80.1%、85.2%、85.7%、88.0%,牵拉性支气管扩张的检出率(66.7%)高于肺气肿和肺大泡检出率,且低于其他胸部疾病征象检出率,磁共振STAR-VIBE序列无法检出肺气肿和肺大泡。详见表1、图1,图2,图3,图4。

磁共振STAR-VIBE序列显示肺疾病征象的检出率
Detection rates of STAR-VIBE for pulmonary diseases
磁共振STAR-VIBE序列显示肺疾病征象的检出率
Detection rates of STAR-VIBE for pulmonary diseases
| 征象参数 | CT (+)/STAR-VIBE (+) | CT (+)/STAR-VIBE (-) | 检出率(%) |
|---|---|---|---|
| 肿块(≥2 cm) | 16 | 0 | 100.0 |
| 结节(<2 cm) | 129 | 8 | 94.2 |
| 实变影 | 9 | 0 | 100.0 |
| 斑片状影 | 23 | 4 | 85.2 |
| 条索状影 | 22 | 3 | 88.0 |
| 网状影 | 12 | 2 | 85.7 |
| 磨玻璃密度影 | 17 | 4 | 80.1 |
| 纵隔淋巴结 | 30 | 0 | 100.0 |
| 胸膜增厚 | 26 | 2 | 92.9 |
| 胸腔积液 | 6 | 0 | 100.0 |
| 肺气肿 | 0 | 12 | 0.0 |
| 肺大泡 | 0 | 17 | 0.0 |
| 牵拉性支气管扩张 | 2 | 1 | 66.7 |
两名医师对STAR-VIBE和CT图像质量主观评分一致性极好(Kappa值>0.80,P<0.05)。STAR-VIBE与CT在检出肺肿块、实变、纵隔淋巴结和胸腔积液的主观评分均>4分,但两者间主观评分差异无统计学意义(P>0.05)。STAR-VIBE与CT在肺结节、斑片状影、条索影、网格影、磨玻璃密度影、胸膜增厚、胸腔积液及支气管扩张征象的主观评分均≥3分,但STAR-VIBE评分低于CT (P<0.05)。STAR-VIBE与CT对肺气肿和肺大泡的主观评分均<2分,且STAR-VIBE评分显著低于CT (P<0.05),见表2。

CT和STAR-VIBE显示肺疾病征象的主观评分比较
Comparison of subjective scores with CT and STAR-VIBE for pulmonary diseases
CT和STAR-VIBE显示肺疾病征象的主观评分比较
Comparison of subjective scores with CT and STAR-VIBE for pulmonary diseases
| 征象参数 | CT | STAR-VIBE | Z值 | P值 |
|---|---|---|---|---|
| 肿块(≥2 cm) | 5.00±0.00 | 4.90±0.31 | -1.732 | >0.05 |
| 结节(<2 cm) | 4.86±0.36 | 4.29±0.46 | -3.464 | <0.05* |
| 实变影 | 5.00±0.00 | 4.78±0.44 | -1.414 | >0.05 |
| 斑片状影 | 4.67±0.48 | 3.87±0.63 | -4.899 | <0.05* |
| 条索状影 | 4.56±0.51 | 3.56±0.96 | -3.852 | <0.05* |
| 网状影 | 4.30±0.44 | 3.00±0.82 | -2.970 | <0.05* |
| 磨玻璃密度影 | 4.41±0.50 | 3.27±0.55 | -3.987 | <0.05* |
| 纵隔淋巴结 | 4.93±0.25 | 4.87±0.35 | -1.314 | >0.05 |
| 胸膜增厚 | 4.76±0.44 | 3.93±0.88 | -4.062 | <0.05* |
| 胸腔积液 | 4.75±0.46 | 4.25±1.04 | -1.633 | >0.05 |
| 肺气肿 | 4.80±0.41 | 1.90±0.31 | -4.233 | <0.05* |
| 肺大泡 | 4.88±0.33 | 1.88±0.33 | -3.823 | <0.05* |
| 牵拉性支气管扩张 | 5.00±0.00 | 3.00±0.00 | -2.000 | <0.05* |
注:CT和STAR-VIBE序列评分差异具有统计学意义,*P<0.05
肺组织是随呼吸运动和心脏搏动而自由运动的器官,胸部影像学检查中较好的图像质量与呼吸运动及心脏搏动具有密切关系。CT作为胸部疾病检查的主要影像检查手段,但其在胸部疾病检查和后续随访中产生的放射性辐射问题是一直备受人们关注的话题。MR成像作为一种无辐射成像方式,在胸腹部疾病中已经开始得到运用并取得了初步成效。以往有研究报道,Schwenzer等[7]研究发现VIBE序列在吸气相与呼气相条件下肺结节的检出率无明显差异;Schaarschmidt等[8]研究发现TI-VIBE序列检出肺结节的检出率约45%;李武超等[9]对肝脏MR图像质量的研究发现无法屏气呼吸患者采用STAR-VIBE序列可以获取更佳的图像质量。
在本研究中,采用薄层1.25 mm的CT图像作为检出各种胸部疾病征象的参考标准,STAR-VIBE序列可以检出100%的肺肿块(≥3 cm)、实变、纵隔淋巴结和胸腔积液,表明STAR-VIBE序列上肺占位、实变、纵隔淋巴结及胸腔积液的检出具有很高的准确性。肺结节和胸膜增厚在STAR-VIBE序列上的检出率高达94.2%和92.9%,STAR-VIBE序列上未检出8个直径均<4 mm的结节和2例局限性轻度胸膜增厚,这表明STAR-VIBE评价肺结节及胸膜增厚检出率与结节直径大小及胸膜增厚范围程度具有密切关系。本研究STAR-VIBE检测肺结节的检出率(94.2%)高于Cieszanowski等[10]采用T1- VIBE序列显示肺结节的检出率(80.5%)。STAR-VIBE序列显示磨玻璃密度、斑片状影、网状影、条索状影的检出率依次为80.1%、85.2%、85.7%、88.0%,这与STAR-VIBE序列虽然采用自由呼吸扫描,但自由呼吸运动和自主心脏搏动可以引起小病灶和邻近膈肌的病变显示模糊来降低检出率。牵拉性支气管扩张的检出率在STAR-VIBE序列上的检出率仅为66.7%,这可能与本研究样本中支气管扩张患者较少有关。STAR-VIBE序列无法检出肺气肿和肺大泡,这与肺组织具有低质子密度、对气体信号不敏感有关。
以CT薄层图像作为各种胸部疾病征象显示情况的主观评分参考标准,STAR-VIBE序列与CT在肺肿块(≥3 cm)、实变、纵隔淋巴结和胸腔积液的主观评分均大于4分且差异无统计学意义(P>0.05),表明STAR-VIBE序列在上述4种征象检出及评价方面可以取得与CT相似的图像质量,为临床中呼吸困难且无法屏气配合和需要长期随访观察患者提供一种可供选择的成像方式。STAR-VIBE与CT在肺结节、斑片状影、条索影、网格影、磨玻璃密度影、胸膜增厚、胸腔积液及支气管扩张等8种征象的主观评分均≥3分,表明STAR-VIBE序列在检出和显示这8种征象方面是可以提供满足临床诊断的图像质量的。但STAR-VIBE序列对8种征象的评分低于CT (P<0.05),这可能与自由呼吸状态下采集胸部数据时,肺组织自由呼吸运动、膈肌运动和心脏搏动会产生轻度伪影,从而影响各种征象显示有关。STAR-VIBE与CT对肺气肿和肺大泡的主观评分均<2分且STAR-VIBE评分显著低于CT (P<0.05),这与CT具有较高的密度分辨率,而STAR-VIBE对肺气肿和肺大泡不敏感有关。
本研究尚存在一些局限性。首先,本研究中STAR-VIBE序列扫描数据采集时间较长(5 min 30 s);其次,仅对胸部疾病征象进行了研究,有待在以后的研究中针对临床疾病展开研究;最后,本研究样本量较少,有待在以后的研究中进一步扩大样本量。
综上研究,CT作为胸部疾病的主要影像检查方式,但其具有放射性辐射的特点;而MR检查具有无辐射的特点,使MR在胸部疾病的逐渐应用为临床研究开辟了新的方向。本研究通过将STAR-VIBE序列与CT图像上各种胸部疾病征象进行比较研究,结果发现胸部MR成像STAR-VIBE序列对于评估胸部疾病征象是可行的,且在无辐射前提下可以帮助临床评估多种肺实质疾病的影像学征象。
无。





















