
对比分析钆喷酸葡胺(Gadolinium-diethylene triamine pentaacetic acids,Gd-DTPA)增强的三维液体衰减反转恢复(three-dimensional fluid-attenuated inversion recovery,3D FLAIR)与三维真实重建反转恢复(three-dimensional real inversion recovery,3D real IR)磁共振成像(magnetic resonance imaging,MRI)在梅尼埃病内耳内淋巴积水中的诊断价值。
回顾性分析29例梅尼埃病患者,男10例,女19例,年龄22~71岁,12例为双侧耳发病,17例为单侧耳发病,共患侧耳41只。29例患者均经咽鼓管向中耳鼓室内注入Gd-DTPA稀释液,24 h后行3D FLAIR序列及3D real IR序列MRI内耳造影,在两种序列图像上分别定量测量前庭最大切面及穿过窝轴的耳蜗底旋短轴切面的内淋巴间隙与总淋巴间隙面积比值R(前庭为RV,耳蜗为RC)及定性评估相应内淋巴积水分级G(前庭为GV,耳蜗为GC),比较两组扫描序列图像所测得的RV、RC、GV及GC的差异。
29例梅尼埃病患者41只患侧耳中,3D FLAIR与3D real IR两种序列所测得的RV、RC、GC及GV均具有统计学差异性(PRV=0.000 ,PRC=0.000 ,PGV=0.000 ,PGC=0.001) ,3D real IR序列测得的RV及RC值大于3D FLAIR序列测得值,GV及GC达1~2级(即发现内淋巴积水)患耳数量大于3D FLAIR序列。
相比于3D FLAIR序列,3D real IR序列内耳造影对于梅尼埃病患者内耳内淋巴积水的检测更敏感,检出率更高。
本刊刊出的所有论文不代表本刊编委会的观点,除非特别声明
梅尼埃病(Meniere's disease,MD)是一种内耳疾病,临床症状主要表现为发作性眩晕、波动性听力下降、耳鸣及耳闷胀感等。其病因不明确,以膜迷路积水为主要病理特征,发病机制是由于内耳内淋巴积聚过多而导致神经节细胞损伤[1,2,3]。在内耳磁共振成像(magnetic resonance imaging,MRI)增强扫描技术出现以前,因无法获取内耳组织进行病理检查,常规MRI检查方法无法证实内耳内淋巴积水的存在,所以MD的诊断一直以临床症状为依据,辅以功能性内耳测试(包括听力测试、前庭诱发肌电位检测、冷热试验)[1,4]。自2007年Nakashima等[5]报道了经鼓膜向鼓室内注射钆剂行内耳MRI增强扫描评估MD患者内淋巴积水以来,三维液体衰减反转恢复(three-dimensional fluid attenuated inversion recovery ,3D FLAIR) MRI在MD等内淋巴积水病变中得到广泛应用,然而该序列虽然可以区分内、外淋巴间隙,但内淋巴间隙与周围低信号骨质不能被区分,无法清晰勾画内淋巴间隙的外侧边界,导致其对耳蜗部位的内淋巴积水程度评估受到限制[6]。近些年来,随着三维真实重建反转恢复(three-dimensional real inversion recovery ,3D real IR)序列的开发,已有学者证明该序列能将内、外淋巴间隙及周围的骨质区分开,理论上该序列对于内淋巴积水的评估更加精确[6,7],但该序列在国内临床应用并不广泛。本研究分别采用定量及定性评价的方法,对比分析3D FLAIR MRI序列与的3D real IR序列在梅尼埃病患者内耳内淋巴积水中的诊断价值,旨在提高MD的MRI检测技术水平。
回顾性分析中山大学孙逸仙纪念医院2018年1月至2019年2月期间临床诊断为MD患者46例,诊断均符合中华医学会提出的MD的临床诊断标准[4],本研究所涉及的各患者临床资料及影像资料均获得中山大学孙逸仙纪念医院许可。46例均行钆喷酸葡胺(Gadoliniumdiethylene triamine pentaacetic acids,Gd-DTPA)内耳MRI造影,检查前各患者均已签署知情同意书,其中10例进行了3D FLAIR MRI序列检查,7例进行了3D real IR序列序列检查,29例(41只患侧耳)同时进行了3D FLAIR MRI序列和3D real IR序列检查,29例同时进行了两种序列技术检查的纳入分析。29例MD患者,男10例,女19例,年龄22~71岁,中位年龄53岁。患者主要症状包括眩晕、听力下降、耳鸣和耳闷等,已排除脑内及桥小脑角区的病变。其中12例患者为双侧耳发病,17例患者为单侧耳发病,共患侧耳41只,左侧耳21只,右侧耳20只。
由1名有经验的耳鼻喉科科医师在在鼻内窥镜引导下,经咽鼓管向患者双侧鼓室内注射对比剂Gd-DTPA(Magnevist,拜耳先灵公司,德国)与生理盐水以1∶7混合的稀释液0.8 ml。给药结束后,患者采取仰卧位30 min,嘱咐其尽量避免打哈欠、吞咽等可能开放咽鼓管的动作。于24 h后行MRI检查。
采用Philips 3.0 T (Ingenia,飞利浦公司,荷兰)超导型磁共振扫描仪和32通道头线圈进行仰卧位内耳扫描。扫描序列包括:(1)经过内听道平面的横断面3D T2WI DRIVE序列,扫描参数:TR 1550 ms,TE 205 ms,反转角90° ,层厚1 mm,层间距0.5 mm,体素0.55 mm×0.55 mm×1.00 mm,矩阵256×256 ,FOV 140 mm×140 mm,激励次数2,扫描时间4 min;(2)横断面3D FLAIR序列,扫描参数:TR 6000 ms,TI 2000 ms ,TE 140 ms,反转角90° ,层厚1.6 mm,层间距0.8 mm,体素0.8 mm×0.8 mm×1.6 mm,矩阵252×250 ,FOV 200 mm×200 mm,激励次数2,扫描时间4 min 54 s ;(3)横断面3D real IR序列,扫描参数:TR 7000 ms,TI 1650 ms,TE 300 ms,反转角90° ,层厚1.3 mm,层间距0.65 mm,体素0.8 mm×0.8 mm×1.3 mm,矩阵252×252 ,FOV 200 mm×200 mm,激励次数2,扫描时间7 min 14 s。
采用双盲法由2名三年以上放射诊断工作经验住院医师进行图像分析,经讨论达成一致性意见。利用GE Healthcare Centricity PACS 4.0附带的AW Suit图像三维后处理工具,分别在3D FLAIR序列和3D real IR序列图像上多曲面重建方式重建出前庭面积最大切面及穿过窝轴的耳蜗底旋短轴位切面(图1)[8,9],在这两个切面分别测量29例受检者双侧前庭及耳蜗底旋内淋巴间隙占总淋巴间隙面积比值R(前庭为RV,耳蜗为RC) ,将2名医师分别测量的同一受检者每侧耳的RV、RC值(组内相关系数,ICC=0.891),取平均值得到最终的该受检者该侧耳的RV及RC值。由于3D FLAIR序列耳蜗区内淋巴间隙与骨壁结构分界不清,无法清晰勾画内淋巴间隙与骨壁的边界从而无法准确计算内淋巴间隙面积,因此需借助3D T2WI DRIVE序列测得相应切面内外淋巴间隙总面积(内外淋巴间隙均呈高信号),用该总面积减去3D FLAIR序列所测得耳蜗外淋巴间隙面积即为内淋巴间隙面积,从而测得3D FLAIR序列耳蜗底旋内淋巴间隙与总淋巴间隙比值RC。而3D FLAIR序列前庭区、3D real IR序列耳蜗及前庭区内、外淋巴间隙边界均可清晰勾画,可直接在3D FLAIR序列和3D real IR序列图上测得相应的RV及RC值。参照2009年Nakashima等[10]提出的标准:前庭区内淋巴积水程度分为3级,0级(无内淋巴积水,R≤1/3),1级(轻度积水,1/3<R≤1/2),2级(严重积水,R>1/2) ;耳蜗区内淋巴积水程度亦分为3级,0级(无内淋巴积水,无前庭膜移位),1级(轻度积水,前庭膜移位但内淋巴间隙面积不超过前庭阶面积),2级(严重积水,前庭膜移位且内淋巴间隙面积超过前庭阶面积)。按照该标准评估前庭及耳蜗区内淋巴积水程度分级值G(前庭为GV,耳蜗为GC)。根据临床诊断,提取29位受检者共计41只患侧耳在3D FLAIR序列和3D real IR序列图像分别获得的RV、RC、GV、GC值,并纳入统计分析。3D T2WI DRIVE序列除了辅助3D FLAIR序列测量耳蜗区RC值外,还用以排除脑内、桥小脑角区的病变。


采用SPSS 17.0 for Windows (IBM,美国)统计软件,对3D FLAIR序列和3D real IR序列所测得的两组定量资料RV、RC进行正态性检验,对于服从正态分布的资料采用配对样本t检验,不服从正态分布的采用非参数配对样本Wilcoxon符号秩检验进行统计学分析,对于两组定性资料GV、GC采用非参数配对样本Wilcoxon符号秩检验进行统计学分析。P<0.05为差异具有统计学意义。
3D FLAIR序列测得的41只患侧耳前庭及耳蜗区内淋巴间隙比值分别为:RV=0.441±0.144 ,RC=0.184±0.114,3D real IR序列测得的41只患侧耳前庭及耳蜗区内淋巴间隙比值分别为RV=0.507±0.140 ,RC=0.262±0.116,3D real IR序列测得的RV及RC值均大于3D FLAIR序列测得值(PRV=0.000 ,PRC=0.000) (表1)。

3D FLAIR序列及3D real IR序列所测得的41只患侧耳前庭及耳蜗区内淋巴间隙比值R (100%)及统计学参数(
±s)
The ratio of the area of the endolymphatic space to the sum of the endolymphatic and perilymphatic space in the vestibular and cochlear of 41 sick ears measured by 3D FLAIR and 3D real IR sequence and its statistical parameters (
±s)
3D FLAIR序列及3D real IR序列所测得的41只患侧耳前庭及耳蜗区内淋巴间隙比值R (100%)及统计学参数(
±s)
The ratio of the area of the endolymphatic space to the sum of the endolymphatic and perilymphatic space in the vestibular and cochlear of 41 sick ears measured by 3D FLAIR and 3D real IR sequence and its statistical parameters (
±s)
| 部位 | 3D FLAIR | 3D real IR | P值 | t/Z值 |
|---|---|---|---|---|
| 前庭(RV) | 0.441±0.144 | 0.507±0.140 | 0.000 | -6.291 |
| 耳蜗(RC) | 0.184±0.114 | 0.262±0.116 | 0.000 | -5.293 |
注:PRV对应的为t值,PRC对应的为Z值
3D FLAIR序列及3D real IR序列所测得的41只患侧耳前庭及耳蜗区内淋巴积水程度频数分布见表2,3D FLAIR序列测得的GV≥1级的患耳占比约73% (30/41) ,GC≥1级的患耳占比约12% (5/41);3D real IR序列测得的GV≥1级的患耳占比约93% (38/41),GC≥1级的患耳占比约39% (16/41);3D real IR序列诊断出前庭、耳蜗区内淋巴积水的患耳数均多于3D FLAIR序列(PGV=0.000 ,PGC=0.001)。

3D FLAIR序列及3D real IR序列所测得的41只患侧耳前庭及耳蜗区内淋巴积水程度G的频数分布及统计学参数[%(只)]
The frequency of EH grading in the vestibular and cochlear of 41 sick ears assessed by 3D FLAIR and 3D real IR sequence and its statistical parameters [%(n)]
3D FLAIR序列及3D real IR序列所测得的41只患侧耳前庭及耳蜗区内淋巴积水程度G的频数分布及统计学参数[%(只)]
The frequency of EH grading in the vestibular and cochlear of 41 sick ears assessed by 3D FLAIR and 3D real IR sequence and its statistical parameters [%(n)]
| 部位 | 3D FLAIR | 3D real IR | P值 | Z值 | ||||
|---|---|---|---|---|---|---|---|---|
| 0级 | 1级 | 2级 | 0级 | 1级 | 2级 | |||
| 前庭(GV) | 27(11/41) | 41(17/41) | 32(13/41) | 7(3/41) | 42(17/41) | 51(21/41) | 0.000 | -3.771 |
| 耳蜗(GC) | 88(36/41) | 10(4/41) | 2(1/41) | 61(25/41) | 37(15/41) | 2(1/41) | 0.001 | -3.317 |
在以往,内耳疾病的影像学检查手段主要依靠颞骨高分辨计算机断层扫描(computer tomography ,CT)、常规MRI扫描(含内耳MRI水成像)等检查方法,但这些技术局限于诊断一些内耳骨迷路疾病(如耳硬化症、内耳发育不良)和一些病变严重的膜迷路疾病(如晚期迷路炎),但对于早期或者轻微的膜迷路病变却无法做出诊断。随着MRI技术的改进,图像分辨率、信噪比、对比度及扫描时间均得到改善,优化过的MRI技术可直接显示耳蜗、前庭和半规管等内耳的微小结构,尤其是结合经鼓室内注射Gd-DTPA行内耳增强扫描的3D FLAIR序列及3D real IR序列可不同程度区分内耳内、外淋巴间隙,用于评估MD患者内耳内淋巴积水程度,对于MD的诊断及鉴别诊断具有重要临床意义[1,11,12]。由于MD患者内淋巴积水主要发生于耳蜗和前庭区球囊,很少累及椭圆囊和半规管[13],且根据以前研究[14,15],对比剂经中耳进入内耳后主要分布于耳蜗和前庭,多集中于耳蜗基底部和前庭球囊区,并非半规管、椭圆囊、耳蜗上部,故本研究选取耳蜗底旋和前庭作为感兴趣区进行测量评估。
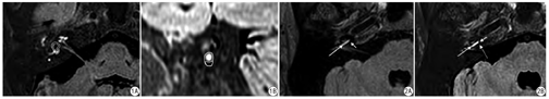
本研究结果中,3D real IR序列测得的患侧内耳前庭及耳蜗底旋区RV及RC值均大于3D FLAIR序列测得值,这表明在客观的定量分析方面,3D real IR序列更容易发现内耳的内淋巴积水。其次,3D real IR序列测得的GV、GC≥1级的患耳占比高于3D FLAIR序列,表明在相对主观的定性分析方面,3D real IR序列对于MD内淋巴积水的发现率高于3D FLAIR序列,尤其是耳蜗区3D real IR序列诊断出内淋巴积水的患耳占比约39%(16/41),而3D FLAIR序列却只有12% (5/41),提高了MRI内耳淋巴造影对耳蜗区内淋巴积水的诊断能力。此结果的呈现主要是因为3D real IR序列具有更好的组织分辨率,它采用"real"重建模式的反转恢复TSE序列,此重建模式能够使IR序列反映组织的真实正负信号值而非绝对值,选择合适的TI (1650 ms)值可使图像上内淋巴间隙显示为低信号(负值),外淋巴间隙显示为高信号(正值),周围骨质显示为等信号(接近0),因此能够通过一次扫描将内、外淋巴间隙及周围的骨质区分开;而3D FLAIR序列中只能区分内耳内淋巴间隙(呈低信号)与外淋巴间隙(呈高信号),但不能区分内淋巴间隙与周围骨质边界(两者均呈低信号),尤其是耳蜗区(图2)[6,7]。然而,3D real IR序列虽然拥有更高的组织分辨率,在显示内淋巴积水时有较大的优势,但在国内临床工作中一直未得到普及,主要因为既往文献[6,7]报道的3D real IR序列的扫描时间较长,一般在14~15 min,而国内人口多,相应患者多,单个患者检查时间不能过长,否则不利于临床工作的开展。在本研究中,在保证图像诊断质量的前提下,通过对该序列参数的优化,本研究中3D real IR序列扫描时间缩短至7 min 14 s,可以作为常规应用于临床MD的诊断。相信随着MRI技术的发展,其3D real IR的扫描速度将会得到更进一步提升,更加有利于作为MD的常规影像学检查技术加以推广。
总而言之,因3D real IR序列相对于3D FLAIR序列具有更好的组织分辨率,能提高MD的内耳内淋巴积水的显示率和检测率,有利于提高MD患者的诊断准确率,3D real IR序列扫描时间已缩短至临床检查可接受范围,该技术在MD的内耳淋巴造影中值得进一步推广。
然而本研究同样存在着不足:由于是回顾性研究,在中山大学孙逸仙纪念医院已行内耳MRI造影的病例内少有非MD的受检者,样本量有限,因此本研究是在已确诊患病MD的患者群进行分析的,有相对较大的局限性。但接下来,我们将力争采取前瞻性研究方法,将更大样本量的非MD受检者和MD患者内耳MRI造影资料进行对比分析,进一步证实3D real IR序列诊断MD的优势。
无。





















