
评价MRI HASTE序列和TRUE-FISP序列对胎儿唇裂和腭裂畸形的诊断价值。
选取20例临床提示胎儿唇腭裂畸形的孕妇行MRI扫描。扫描序列采用半傅立叶单激发自旋回波(half-Fourier single-shot turbo spin echo,HASTE)序列和真性快速稳态进动(true fast imaging with steady-state precession,TRUE-FISP)序列。所有图像经2名10年以上MRI诊断经验医师进行阅片。分别对唇腭裂的有无以及图像质量进行评分。
20例胎儿产后随访结果,7例为正常胎儿,3例伴有唇裂,均发生在左侧,9例伴有唇腭裂,5例发生在右侧,4例发生在左侧,腭裂程度不明确,1例唇裂伴腭全裂。针对唇裂:医师1在HASTE和TRUE-FISP两个序列的诊断准确性分别为100%和95%;医师2诊断准确性为分别为95%和95%。针对腭裂:医师1在HASTE和TRUE-FISP序列的诊断准确性分别为85%和90%;医师2诊断准确性为分别为85%和100%。扫描失败的层面:HASTE序列中6个扫描关键层面缺失。TRUE-FISP序列中12个扫描关键层面缺失。
MRI扫描时合理运用序列可以更好地地评价胎儿唇腭裂畸形。
本刊刊出的所有论文不代表本刊编委会的观点,除非特别声明
唇裂合并或不合并腭裂是较常见的遗传性疾病。这类疾病在出生的活胎中约占1.7/1000[1]。在拉丁美洲和亚洲(中国和日本)的人群中发病率较高,在其他人群中发病率较低。唇腭裂常造成患儿的听力障碍、语言障碍以及心理问题[2],产前诊断的准确性尤为重要。超声被公认为产前诊断的第一选择,但超声技术容易受到操作者本身的技术因素、羊水过少、胎儿体位不正和孕妇的过度肥胖等因素影响。磁共振不受这些因素的影响,且有良好的空间分辨率和宽大的检查视野,相对于超声可以获得更多的解剖学信息。本研究的目的是评价MR HASTE序列和TRUE-FISP序列对胎儿唇裂和腭裂畸形的诊断价值。
回顾性选取2015年5月至2019年1月超声怀疑胎儿唇裂合并或不合并腭裂以及颜面部显示不清的孕妇20例行磁共振扫描,孕妇年龄20~36岁,平均年龄28.1 (±3.91)岁,大于34岁的孕妇有两例,孕周22周到32周,平均孕周23.45 (±2.33)周,20例胎儿中6例引产,14例足月活产。1例胎儿父亲有唇裂。所有的病例在检查前均签署知情同意书。本研究通过医院伦理委员会审核。
采用西门子公司的1.5 T的核磁共振扫描仪(Avanto,Siemens,Erlangen,Germany)。使用腹部相控阵体线圈。患者仰卧位,平静呼吸。
扫描序列采用HASTE序列(TR 1350 ms,TE 92 ms,扫描野400 mm × 400 mm,像素1.4 × 1.1 × 4.0,反转角170o,矩阵384 × 256,层厚4 mm,层间距0.8 mm,平均激励次数1,扫描时间25 s)和TRUE-FISP序列(TR 3.87 ms,TE 1.68 ms,扫描野400 mm × 400 mm,像素1.7 × 1.6 × 4.0,反转角60° ,矩阵256 × 144,层厚3~4 mm,层间距0~0.4 mm,平均激励次数1,扫描时间10 s),两个序列分别对胎儿头颅进行横断面、矢状面和冠状面扫描成像。扫描时控制SAR值在2.0 W/kg以下。
所有图像经2名10年以上MRI诊断经验医师进行阅片,分别对唇腭裂的有无进行独立评分。评分标准:0,确定无;1,可能无;2,有或无;3,可能有;4,确定有。并将所得结果与产后随访结果进行对照。先运用HASTE序列对唇裂和腭裂进行评分,一个月以后打乱病例顺序,再运用TRUE-FISP序列对唇裂和腭裂进行评分。
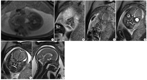
对两个序列的三个层面图像质量分别进行评分,图像质量的评分标准:0,关键层面缺失(排除运动伪影的影响);1,观察到关键层面;X,因运动伪影导致扫描失败。关键层面的成像标准:横断面,鼻中隔、鼻腔、上颌骨、下颌骨及连续的马蹄形的牙蕾,左右各5个,前面4个较清晰,第五个稍模糊;矢状面,中间层面可见上下唇、上下切牙、舌、被羊水包围的连续的继发腭;冠状面,鼻、鼻甲、鼻中隔、上下唇及舌。
采用SPSS 23.0对所得数据进行统计学分析。对2名医师对唇裂和腭裂的诊断效能进行评价。同时对2名医师对唇裂和腭裂的诊断结果进行一致性检验-Kappa分析。
本组收录20例超声怀疑唇裂合并或不合并腭裂以及颜面部显示不清的胎儿,通过随访,7例为正常胎儿,3例伴有唇裂,均发生在左侧,9例伴有唇腭裂,5例发生在右侧,4例发生在左侧,腭裂程度不明确,1例唇裂伴腭全裂。
2名放射科医师用两个序列测定唇裂和腭裂的诊断性能比较详见表1。Kappa分析2名医师的读片结果:Kappa=0.700,一致性好;P<0.001。

两名放射科医师用两个序列测定唇裂和腭裂的诊断性能比较[95%置信区间(CI)]
Diagnostic performance comparison between two radiologists in determining cleft lip or palate [95 % confidence interval (CI)] with two selected sequence
两名放射科医师用两个序列测定唇裂和腭裂的诊断性能比较[95%置信区间(CI)]
Diagnostic performance comparison between two radiologists in determining cleft lip or palate [95 % confidence interval (CI)] with two selected sequence
| 诊断序列 | N | TP | TN | FP | FN | SEN (%) | SPE (%) | PPV (%) | NPV (%) | ACC (%) | |
|---|---|---|---|---|---|---|---|---|---|---|---|
| 唇裂 | |||||||||||
| 医师1 (HASTE/TRUE-FISP) | 20/20 | 13/12 | 7/7 | 0/1 | 0/0 | 100/100 | 100/87.5 | 100/92.30 | 100/100 | 100/95 | |
| 医师2 (HASTE/TRUE-FISP) | 20/20 | 13/13 | 6/6 | 0/0 | 1/1 | 92.86/92.86 | 100/100 | 100/100 | 85.71/85.71 | 95/95 | |
| 腭裂 | |||||||||||
| 医师1 (HASTE/TRUE-FISP) | 20/20 | 7/8 | 10/10 | 3/2 | 0/0 | 100/100 | 76.92/83.33 | 70/80 | 100/100 | 85/90 | |
| 医师2 (HASTE/TRUE-FISP) | 20/20 | 8/10 | 9/10 | 2/0 | 1/0 | 88.89/100 | 81.81/100 | 80/100 | 90/100 | 85/100 | |
注:TP:真阳性;TN:真阴性;FP:假阳性;FN:假阴性;SEN:敏感性;SPE:特异性;PPV:阳性预测值;NPV:阴性预测值;ACC:准确性;N:TP+TN+FP+FN
各层面评分结果详见表2。扫描失败的层面:HASTE序列中六6个扫描平面关键层面缺失,其中包括1个横断面、2个冠状面和3个矢状面;6个扫描平面存在运动伪影导致扫描失败,其中包括3个横断面、1个冠状面和1和矢状面。TRUE-FISP序列中12个扫描平面关键层面缺失。其中包括1个横断面、4个冠状面和7个矢状面;1个扫描平面(横断面)存在运动伪影导致扫描失败。两个序列扫描成功的层面进行相互补充评价后,横矢冠三个层面均扫描成功的有15例(75%),两个层面扫描成功的有5例(25%)。两个序列联合运用可以更全面显示唇和腭的结构(图1)。



两个序列的三个扫描层面的图像质量评分
Image quality scores at three scan planes for two sequences
两个序列的三个扫描层面的图像质量评分
Image quality scores at three scan planes for two sequences
| 序号 | 年龄(岁) | 孕周 | HASTE-横段位 | HASTE-冠状位 | HASTE-矢状位 | TRUE-FISP-横断位 | TRUE-FISP-冠状位 | TRUE-FISP-矢状位 |
|---|---|---|---|---|---|---|---|---|
| 1 | 25 | 23 | 1 | 1 | 1 | 1 | 1 | 1 |
| 2 | 25 | 26 | 1 | 1 | 1 | 1 | 1 | 1 |
| 3 | 26 | 25 | 1 | 1 | 0 | 1 | 1 | 1 |
| 4 | 25 | 23 | 1 | 0 | 1 | 1 | 0 | 1 |
| 5 | 20 | 23 | 0 | 1 | 1 | 1 | 0 | 1 |
| 6 | 29 | 23 | 1 | 1 | 1 | 1 | 1 | 0 |
| 7 | 30 | 24 | X | 1 | 1 | 1 | 1 | 0 |
| 8 | 29 | 25 | 1 | X | 1 | 1 | 0 | 0 |
| 9 | 30 | 22 | 1 | 1 | 1 | 1 | 1 | 1 |
| 10 | 31 | 22 | X | 1 | 0 | 1 | 1 | 0 |
| 11 | 30 | 22 | 1 | 0 | 1 | 1 | 1 | 0 |
| 12 | 32 | 23 | 1 | 1 | X | X | 1 | 0 |
| 13 | 26 | 32 | X | 1 | 0 | 1 | 0 | 1 |
| 14 | 22 | 22 | 1 | 1 | 1 | 1 | 1 | 1 |
| 15 | 27 | 22 | 1 | 1 | 1 | 1 | 1 | 1 |
| 16 | 35 | 22 | 1 | 1 | 1 | 1 | 1 | 1 |
| 17 | 27 | 23 | 1 | 1 | 1 | 0 | 1 | 1 |
| 18 | 36 | 23 | 1 | 1 | 1 | 1 | 1 | 1 |
| 19 | 28 | 22 | 1 | 1 | 1 | 1 | 1 | 0 |
| 20 | 29 | 22 | 1 | 1 | 1 | 1 | 1 | 1 |
HASTE序列和TRUE-FISP序列是胎儿磁共振检查中比较常用的两个序列[3] ,这两个序列都是在孕妇平静呼吸下就可以进行扫描的。HASTE序列运用单次激发技术实现每层不超过1秒的扫描速度,获得高的信噪比和好的图像质量。TRUE-FISP序列是一种真正的快速成像技术,一种在重复间隔内重新聚焦所有梯度的技术。
横断面的扫描中,TRUE-FISP序列优于HASTE序列,矢状面的扫描中,TRUE-FISP序列劣于HASTE序列。在冠状面的检查中,两个序列的扫描成功率区别不明显。冠状面在评价唇裂时常能提供较为确切的证据,故两个序列在评价唇裂时的诊断效能差别不大。横断位对于上颌骨及牙蕾的连续性观察尤为关键,即评价唇裂是否合并槽突裂或腭裂时作用较大。矢状位在观察软腭裂时有辅助作用,但不及横断位敏感,故在评价腭裂时,HASTE序列的敏感性、特异性和准确性均低于TRUE-FISP序列。
从序列特征角度分析,HASTE序列拥有更高的空间分辩率,同时也拥有更长的扫描时间,对运动更加敏感。TRUE-FISP序列相对HASTE序列来说,空间分辨率较低,但拥有更小的反转角、更快的扫描时间,时间分辨率更高,更不易受到运动伪影的影响,层间距和层厚的修改不会影响图像质量,可以做薄层负间隔扫描,增加关键层面获取的几率,有助于唇裂合并腭裂的诊断,但由于其空间分辨率低,在矢状位观察结构精细的软腭时不如HASTE序列,不适合用于精确地评价软腭裂的程度。
影响扫描成功的因素主要为关键层面的缺失和运动伪影。关键层面的缺失跟以下原因有关:容积现象(胎儿手部遮挡或颜面部紧贴胎盘部位引起的容积效应容易覆盖唇裂的信息,这对单纯唇裂的诊断影响最大)、扫描层厚和层间隔的限制导致的关键层面的缺失。解决方法为:尽量减小扫描层厚,尽量缩小层间距,减少容积现象;对于机器固有扫描层厚和层间距的限制导致的关键层面缺失,可采取相同位置进行上下多中心的重复扫描的方法,增加关键层面获取的可能性。对于运动伪影的解决方法:应用HASTE序列时尽量增加层厚,减小空间分辨率,缩短扫描时间;对于运动过于频繁的胎儿,尽可能多的使用TRUE-FISP序列,重复多次扫描获取关键层面。
同时运用两种序列进行唇腭裂的评估效果大于单独运用某一种序列进行评估,两个序列的三个层面共同评价扫描效果优于单独序列的评价,参考Descamps等[4]的相关研究,他们运用GE公司的SSFSE序列(类似SIEMENS公司的HASTE序列)对唇腭裂胎儿进行扫描,所得的图像评分明显低于本研究(49例胎儿磁共振中,5例三个层面显示清楚,21例两个层面显示清楚,20例一个层面显示清楚),这也解释了他们对腭裂的初步诊断准确率只有65.3%,低于本研究的90% (医师1)和100%(医师2)。
磁共振相对于超声在诊断唇腭裂时的优势主要体现在对于继发腭(软腭)的评价[5],运用磁共振技术可以对唇腭裂胎儿进行准确的评价和分类[6];Zheng等[6]的研究拥有更大的样本量,更细致地对唇腭裂进行了分类和评价,研究中运用3D-FIESTA序列进行扫描,同时使用容积重建的方式进行颜面部重建,增加了唇裂诊断的准确率,值得学习。有一些学者运用一种或者多种序列对唇腭裂的诊断进行了研究[7,8,9],但是并没有对序列的单独评价和组合运用作过多的描述。关于序列的选择,有学者着重对于实时影像技术(real time imaging)对于单纯腭裂的诊断进行了详细的研究[10],运用实时影像技术扫描头颅正中矢状面,用于观察软腭的活动情况,及软腭与周围组织的关系,进而判断软腭裂的程度。在诊断Robin sequence相关的腭裂的应用中,磁共振也起到了非常重要的作用[11],有学者应用磁共振技术来鉴别单纯腭裂和Robin sequence引起的腭裂[12],方法值得借鉴。当然,磁共振不仅能用来诊断唇腭裂,还能用来分析胎儿颜面部其他畸形[13]。
与其他研究相比,本研究第一次详细地分析两个序列,通过对扫描失败的层面进行分析,找出原因后对扫描方式进行优化。
本研究的不足:本研究是回顾性分析,没有前瞻性使用3D序列进行扫描,在后续的研究中会加以改进。随访的结果通过电话随访所得,对于唇腭裂的分类不够详细,缺乏相关照片进行验证。样本量较小。
结论:对于唇裂的诊断,两个序列的诊断准确率差别不大。对于腭裂的诊断,TRUE-FISP序列优于HASTE序列。多序列联合运用可以更好地地评价胎儿唇腭裂畸形。
无。





















