
应用高分辨率磁共振成像(high resolution magnetic resonance imaging,HR-MRI)技术分析颅内动脉粥样硬化狭窄患者的斑块特征与发生缺血性卒中事件的关系。
回顾性分析44例HR-MRI检查的颅内动脉粥样硬化狭窄患者的斑块情况,通过三维时间飞跃法磁共振血管成像(3D-time of flight magnetic resonance angiography,3D-TOF MRA)检查,按管腔狭窄程度将患者分为轻度狭窄组、中度狭窄组和重度狭窄组,根据斑块是否导致缺血性卒中及发生缺血性卒中距HR-MRI检查时间,将斑块分为急性/亚急性期责任斑块组、慢性期责任斑块组、非责任斑块组,比较3组的动脉粥样硬化危险因素(性别、年龄、吸烟史、饮酒史、高血压、糖尿病史、血糖、总胆固醇、高密度脂蛋白、低密度脂蛋白)以及斑块特征(管腔狭窄程度、斑块强化程度)。
44例患者中急性/亚急性期责任斑块数目为29个,慢性期责任斑块数目为20个,非责任斑块数目为17个。急性/亚急性期责任斑块组、慢性期责任斑块组、非责任斑块组的管腔狭窄程度、斑块强化程度差异有统计学意义(P<0.05);而3组的动脉粥样硬化危险因素差异均无统计学意义。
颅内动脉粥样硬化狭窄患者斑块强化程度和管腔狭窄程度与是否发生缺血性卒中具有相关性;明显强化的、导致管腔严重狭窄的斑块稳定性更差,更容易发生缺血性卒中。
本刊刊出的所有论文不代表本刊编委会的观点,除非特别声明
颅内动脉粥样硬化是缺血性卒中的主要病因之一,30%~50%的缺血性卒中由颅内动脉粥样硬化所致[1]。亚洲人群中,颅内动脉粥样硬化是引起缺血性脑卒中的首位致病原因[2]。因此,分析评估我国缺血性卒中患者风险,以及对个体患者进行定制个性化治疗方案和临床管理而言,研究颅内动脉粥样硬化特征具有重要意义。
高分辨率磁共振成像(high resolution magnetic resonance imaging,HR-MRI)技术具有无创性、高分辨率及高敏感性等优势,对于颅内动脉血管壁有很好的显示和评价。HR-MRI通过显示血管狭窄程度、斑块强化程度,分析斑块特征,为提供新的缺血性卒中防治思路创造了良好的条件[3,4,5,6]。
回顾性分析2017年7月1日至2019年4月16日在新疆医科大学第二附属医院就诊的146例临床诊断为颅内动脉粥样硬化性狭窄患者的资料,通过纳入和排除标准,其中44例患者被纳入本研究。
纳入标准:18岁<年龄<80岁;临床诊断为颅内动脉粥样硬化性疾病;具有粥样硬化相关危险因素。
排除标准:年龄<18岁,或>80岁;磁共振血管成像(magnetic resonance angiography,MRA)显示颈内动脉和椎动脉颅外狭窄超过50%的患者;非动脉粥样硬化疾病,如血管炎、动脉夹层、动脉瘤或发育不良;无导致颅内动脉粥样硬化危险因素的患者;具有心源性中风危险因素,如房颤、急性心肌梗死、瓣膜性心脏病、心肌病或卵圆孔未闭;无法确定责任斑块。
本研究中吸烟史定义为患者既往或现在吸烟[7],饮酒史定义为患者既往或现在饮酒;高血压定义为收缩压≥140 mmHg (1 mmHg=0.133 kPa),舒张压≥ 90 mmHg或患者正在接受降血压治疗[8];糖尿病定义为患者既往有糖尿病史或正在服用降糖药物[9]。
本研究中所有患者均签署了书面知情同意书,研究获得了医院伦理委员会的批准。
采用飞利浦3.0 T超导磁共振扫描仪(Achieva;Philips Healthcare,Best,the netjerlands),头颈联合线圈。扫描序列包括常规头颅扫描序列:横断面T1WI、T2WI、扩散加权成像(diffusion weighted imaging,DWI)、三维时间飞跃法磁共振血管成像(3D time of flight MRA,3D-TOF MRA)和高分辨率磁共振管壁成像,包括增强前和增强后3D快速自旋回波(3D-VISTA)序列。
关键序列参数如下:(1)3D TOF MRA:TR:23 ms,TE 3.5 ms;层厚1.1 mm,层数160;翻转角:25° ;视野:160 mm × 160 mm。(2)3D T1WI VISTA:TR 2000 ms,TE 38 ms;层厚0.4 mm,层数150;平均次数:1;视野:180 mm × 180 mm。
对比剂采用钆喷替酸葡胺(Gd-DTPA,Bayer Schering Pharm AG,Berlin,Germany),使用量为0.2 mL/kg。
通过MRA检查,按斑块导致的管腔狭窄程度分为轻度狭窄组(管腔狭窄程度<50%)、中度狭窄组(管腔狭窄程度>50%,<70%)和重度狭窄组(管腔狭窄程度≥70%)。
将扫描数据传入后处理工作站,由2名具有8年工作经验的影像科医师根据斑块是否导致缺血性卒中及发生缺血性卒中至HR-MRI检查时间,将斑块分为急性/亚急性期责任斑块(缺血性卒中发生距HR-MRI检查时间在1个月内)、慢性期责任斑块(缺血性卒中发生距HR-MRI检查时间在1个月后)以及非责任斑块(未发生缺血性卒中)。
根据斑块的强化程度分为:无强化组(与增强前相比无明显强化)、轻度增强组(低于垂体柄强化程度)、明显强化组(强化程度高于或等于垂体柄强化程度)[10]。
采用SPSS 19.0软件进行统计学分析。计量资料以
±s表示,组间比较采用单因素方差分析进行检验;计数资料用数值表示,组间比较采用卡方检验;有多个因素产生影响时,采用多因素方差分析,多个均数两两比较采用SNK法检验。以上均为双侧检验,P<0.05为差异有统计学意义。
共44例符合纳入和排除标准的患者入选本研究。急性/亚急性期责任斑块组纳入患者24例(男15例,女9例),慢性期责任斑块组纳入患者10例(男6例,女4例),非责任斑块组纳入患者10例(男4例,女6例)。3组间的动脉粥样硬化危险因素差异均无统计学意义(P >0.05)( 表1)。

急性/亚急性期责任斑块组、慢性期责任斑块组、非责任斑块组间临床资料比较
Comparison of clinical data between the acute/sub-acute phase culprit plaque group, the chronic-phase culprit plaque group and the non-culprit plaque group
急性/亚急性期责任斑块组、慢性期责任斑块组、非责任斑块组间临床资料比较
Comparison of clinical data between the acute/sub-acute phase culprit plaque group, the chronic-phase culprit plaque group and the non-culprit plaque group
| 组别 | 男性(例) | 年龄(岁) | 吸烟(例) | 酗酒(例) | 高血压(例) | 糖尿病(例) | 血糖(mmol/L) | 总胆固醇(mmol/L) | 高密度脂蛋白(mmol/L) | 低密度脂蛋(mmol/L) |
|---|---|---|---|---|---|---|---|---|---|---|
| 急性/亚急性责任斑块组(n=24) | 15 | 55.67±10.34 | 13 | 16 | 17 | 15 | 6.46±1.35 | 4.39±0.75 | 1.33±0.51 | 2.63±0.37 |
| 慢性责任斑块组(n=10) | 6 | 51.30±11.84 | 5 | 6 | 9 | 5 | 6.78±1.71 | 4.46±0.67 | 1.46±0.40 | 2.71±0.32 |
| 非责任斑块组(n=10) | 4 | 50.20±8.08 | 6 | 7 | 8 | 3 | 6.10±1.19 | 4.08±0.88 | 1.50±0.55 | 2.79±0.29 |
| P值 | 0.470 | 0.288 | 0.903 | 0.889 | 0.465 | 0.221 | 0.562 | 0.479 | 0.594 | 0.474 |
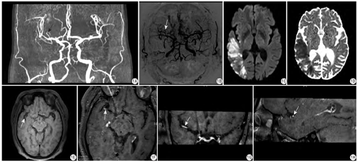
44例患者中共检出66个斑块,其中47个为明显强化,13个为轻度强化,6个为无强化(图1)。


急性/亚急性期责任斑块、慢性责任斑块、非责任斑块数量分别为29个、20个、17个;3组的斑块强化程度、管腔狭窄程度差异有统计学意义(χ2=94.990,P<0.001 ;χ2=94.802 ,P<0.001);斑块强化和管腔狭窄的共同作用在3组中差异有统计学意义(χ2=6.676,P=0.003)。见表2。

急性/亚急性期责任斑块组、慢性期责任斑块组、非责任斑块组中斑块特征比较
The plaque characteristics in the acute/sub-acute phase culprit plaque group, the chronic-phase culprit plaque group and the non-culprit plaque group
急性/亚急性期责任斑块组、慢性期责任斑块组、非责任斑块组中斑块特征比较
The plaque characteristics in the acute/sub-acute phase culprit plaque group, the chronic-phase culprit plaque group and the non-culprit plaque group
| 组别 | 强化程度(个) | 狭窄程度(个) | 强化程度×狭窄程度 | ||||
|---|---|---|---|---|---|---|---|
| 明显强化 | 轻度强化 | 无强化 | 重度狭窄 | 中度狭窄 | 轻度狭窄 | ||
| 急性/亚急性期责任斑块组 | 25 | 4 | 0 | 21 | 8 | 0 | |
| 慢性责任斑块组 | 14 | 6 | 0 | 10 | 4 | 6 | |
| 非责任斑块组 | 8 | 3 | 6 | 4 | 8 | 5 | |
| χ2 | 94.99 | 94.802 | 6.676 | ||||
| P值 | <0.001 | <0.001 | 0.003 | ||||
通过SNK法比较管腔狭窄程度与斑块强化程度,急性/亚急性期责任斑块、慢性责任斑块、非责任斑块的狭窄程度和斑块强化程度有差异;急性/亚急性期责任斑块组的管腔狭窄程度更严重(表3),斑块强化程度更明显(表4)。

狭窄程度比较
Comparison of stenosis degree
狭窄程度比较
Comparison of stenosis degree
| 组别 | N | α=0.05的子集 | ||
|---|---|---|---|---|
| 1 | 2 | 3 | ||
| 急性/亚急性期责任斑块组 | 135 | 8.01 | ||
| 慢性责任斑块组 | 164 | 8.29 | ||
| 非责任斑块组 | 253 | 8.75 | ||

斑块强化程度比较
Comparison of plaque enhancement
斑块强化程度比较
Comparison of plaque enhancement
| 组别 | N | α=0.05的子集 | ||
|---|---|---|---|---|
| 1 | 2 | 3 | ||
| 急性/亚急性期责任斑块组 | 135 | 5.16 | ||
| 慢性责任斑块组 | 164 | 5.70 | ||
| 非责任斑块组 | 253 | 5.87 | ||
既往研究已经证明,颅内动脉粥样硬化病变中,斑块强化与缺血性卒中发生相关[11]。卒中患者的病灶斑块存在炎症反应[12],反映了巨噬细胞浸润和新生血管增生[13],由于内皮渗透率和新生血管的增加,强化程度反映了颅内动脉粥样硬化患者的炎性活动水平[14]。本研究中明显强化的斑块多为急性/亚急性责任斑块,提示斑块明显强化多处于急性炎症期,该特征表明斑块稳定性差,可作为评估颅内动脉粥样硬化患者卒中风险的依据。
多项研究表明,与稳定性斑块相比,易损性斑块常常表现为斑块负荷更大、外向性重构趋势更加明显、造成的血管狭窄也更严重,并且与缺血性卒中的发生相关[15]。本研究中急性/亚急性责任斑块与慢性责任斑块、非责任斑块导致的管腔狭窄程度差异有统计学意义并且导致管腔重度狭窄的斑块多为急性/亚急性责任斑块,表明当斑块导致管腔重度狭窄时,斑块稳定性较差,发生缺血性卒中的风险较高,应给予积极治疗和干预。
本研究将斑块强化程度和管腔狭窄程度的共同作用纳入分析,发现两者共同作用在急性/亚急性责任斑块与慢性责任斑块、非责任斑块中具有显著差异,在斑块强化程度为明显强化、所导致的管腔狭窄程度为严重狭窄时,斑块多为急性/亚急性责任斑块,说明斑块强化程度和管腔狭窄程度共同决定了斑块的稳定性,斑块明显强化并导致管腔严重狭窄时,缺血性卒中风险增高,应及时制订治疗方案。
综上所述,斑块强化程度、管腔狭窄程度与颅内动脉粥样硬化狭窄对患者是否发生缺血性卒中具有相关性;明显强化的、导致管腔严重狭窄的斑块稳定性更差,更容易发生缺血性卒中。
无。





















