
探讨青年性脑梗死患者是否存在脑小血管病变(cerebral small vessel disease,CSVD),并分析其临床影响因素。
回顾性收集临床确诊的新近发生青年性脑梗死患者54例(男43例,女11例;年龄39.5岁)及新近发生老年性脑梗死患者57例(男37例,女20例;年龄69岁),征募21名年龄、性别与青年梗死组相匹配的健康人(男17名,女4名;年龄41岁)作为对照组。收集青年与老年脑梗死患者入院时的临床资料,并观察脑内各种CSVD的MRI表现并进行评分,包括双侧基底节区及半卵圆中心区血管周围间隙扩大(enlarged perivacular space,EPVS)、脑室周围及深部白质高信号(white matter hyperintense,WMH)、腔隙性梗死(lacunar infarction,LI)以及微出血(cerebral microbleeds,CMBs),计算脑小血管病总体负担评分(total burden scores of CSVD,TBS)并进行分级。比较3组间CSVD差异,并通过多因素Logistic回归分析其影响因素。
与健康对照组相比,青年性脑梗死患者CSVD发生率明显增高,但比老年性梗死低(P<0.05)。多因素Logistic有序回归分析显示高血压与青年性脑梗死基底节和半卵圆中心EPVS以及总体负担评分具有独立相关性;LI与年龄密切相关;吸烟是CMBs的影响因素(P<0.05)。
青年症状性脑梗死患者常同时合并脑小血管疾病改变。高血压、吸烟及年龄可能是青年性梗死患者脑小血管疾病的影响因素。
本刊刊出的所有论文不代表本刊编委会的观点,除非特别声明
青年性脑梗死是指发病年龄在18~45岁的脑梗死,这个年龄段的患者仅约占5%[1]。然而根据相关统计数据,其发病率正逐年上升[2]。脑小血管病(cerebral small vessel disease,CSVD)是指影响脑中小血管结构或功能的一系列病理过程,包括动脉、小动脉、小静脉和毛细血管,20%~30%的脑卒中患者有此表现[3]。其主要表现为扩大的血管周围间隙(enlarged perivascular space,EPVS)、腔隙性脑梗死(lacunar infarction,LI)、脑白质高信号(white matter hyperintense ,WMH)、脑微出血(cerebral microbleeds,CMBs)和脑萎缩,被认为是老年性脑血管疾病的常见表现,并与临床症状和特征等具有明确的关联性[4]。然而,青年性脑梗死患者是否存在CSVD及其影响因素目前研究尚少。既往研究[5,6]表明,青年和老年患者脑梗死的患病率和危险因素有显著差异。青年人首次发生脑梗死更易由颈动脉夹层和血液系统疾病引起,并不太可能源于心源性栓塞[7]。因此,本研究选择首次发生梗死的青年患者作为研究对象,回顾性对照分析青年脑梗死、老年脑梗死及健康青年人脑内CSVD影像学表现,并进一步分析其临床影响因素,以进一步探求青年脑梗死的病因机制。
回顾性收集2015年1月至2018年5月于本院住院治疗的青年急性动脉闭塞型脑梗死患者54例(男43例,女11例;年龄39.5岁)。同时收集老年急性动脉闭塞型脑梗死患者57例(男37例,女20例;年龄69岁)及21名年龄、性别与青年梗死组相匹配的健康人群作为对照组,其中男性17名,女性4名;年龄41岁。
纳入标准:(1)符合全国第四届脑血管病会议所修订完善的诊断标准[8],患者存在相关临床症状并经扩散加权成像(diffusion weighted imaging,DWI)证实有明确新近发生(1周以内)的梗死灶。(2)所有患者均为首发脑梗死患者。排除标准:(1)基线检查未作DWI;(2)合并严重的肝肾功能衰竭或其他严重疾病;(3)既往有脑梗死、脑外伤、脑肿瘤史。
包括年龄、性别、糖尿病史、高血压史、心脏病、吸烟。实验室检查包括血常规、血糖、总胆固醇、甘油三酯、高密度脂蛋白、低密度脂蛋白、同型半胱氨酸。
采用GE Signa HD XT 1.5 T MR扫描仪,8通道头线圈。具体序列及参数见表1。

MRI扫描序列及参数
MRI scan sequences and parameters
MRI扫描序列及参数
MRI scan sequences and parameters
| 名称 | TR(ms) | TE(ms) | 层厚(mm) | 层间距(mm) | FOV(cm×cm) | 矩阵 | b值(s/mm2) |
|---|---|---|---|---|---|---|---|
| T1WI | 2500 | 25 | 6 | 1 | 22.0×19.8 | 320×256 | — |
| T2WI | 5000 | 118 | 6 | 1 | 22.0×19.9 | 320×256 | — |
| T2 FLAIR | 9000 | 172 | 6 | 1 | 22.0×22.0 | 256×192 | — |
| DWI | 5000 | 83 | 6 | 1 | 24.0×24.0 | 128×128 | 0、1000 |
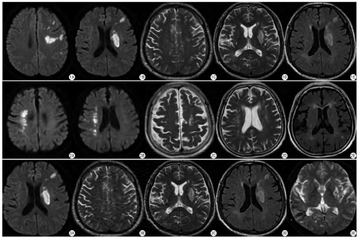
通过T1WI、T2WI及T2 FLAIR序列并根据下述标准对影像学改变进行评分。①血管周围间隙扩大:按照“中国脑小血管疾病共识”[9]中的定义来确定。对基底节及半卵圆中心区域EPVS分别计数评分[10]。0分:0个;1分:1~10个;2分:11~20个;3分:21~40个;4分:>40个。②脑白质高信号:分为侧脑室周围白质高信号(periventricular hyperintense,PVH)与深部白质高信号(deep white matter hyperintense,DWMH)。参照Fazekas等[11]的脑白质改变评分量表进行分级(0~3级)。③腔隙性脑梗死:也称腔隙灶,包括新发及陈旧性病灶。根据LI病灶的数目进行分级(0~ 3级)[12]。④微出血灶:结合DWI中b=0 s/mm2图像及T2WI像,表现为点状低信号而非连续≥2层出现视为微出血灶[13]。计数患者所有层面的微出血灶数量并分级(0~ 3级)[14]。⑤脑小血管病总体负担评分(total burden scores of CSVD,TBS):为统一评判患者CSVD的轻重程度,将同一患者的EPVS、WMH、LI及CMBs评分进行累加而获得TBS (0~ 4分)。具体评分方法如下[15]:有LI计1分;有深部微出血灶评计1分;DWMH 2~3分或PVH 3分计1分;中-重度基底节区扩大的血管周围间隙,即EPVS评分≥2分计TBS 1分。青年及老年急性脑梗死示例和CSVD相关评分见图1,图2,图3。


采用SPSS 22.0统计分析软件。计数资料采用例数/百分比、均值±标准差表示,临床资料比较采用卡方检验;CSVD各影像表现评分采用Kruskal-Wallis H检验。应用Logistic回归分析确认青年梗死组CSVD的影响因素。P<0.05为差异有统计学意义。
青年性脑梗死患者较老年性脑梗死糖尿病、心脏病发生率更低,吸烟比例明显增高。见表2。

青年性与老年性脑梗死临床特征比较(n/%)
Clinical features between young and elderly patients of cerebral infarction (n/%)
青年性与老年性脑梗死临床特征比较(n/%)
Clinical features between young and elderly patients of cerebral infarction (n/%)
| 组别 | 男性 | 高血压 | 糖尿病 | 心脏病 | 饮酒史 | 吸烟史 |
|---|---|---|---|---|---|---|
| 青年脑梗死(n=54) | 43/79.6 | 30/55.6 | 9/16.7 | 4/7.4 | 9/16.7 | 21/38.9 |
| 老年脑梗死(n=57) | 37/64.9 | 40/70.2 | 22/38.6 | 17/29.8 | 9/15.8 | 11/19.3 |
| P值 | 0.084 | 0.111 | 0.010 | 0.003 | 0.900 | 0.023 |
由两位影像科医生对青年梗死组进行评分,将两人评分结果行Kappa一致性检验:基底节区EPVS、半卵圆中心EPVS、PVH、DWMH、CMBs、TBS Kappa值分别为0.82、0.79、0.85、0.69、0.82、0.87。见表3。

组间CSVD评分两两比较情况
Comparisons between each two items
组间CSVD评分两两比较情况
Comparisons between each two items
| 类别 | 检验统计量 | 标准误 | 标准检验统计量 | P值 | 调整后P值 | |
|---|---|---|---|---|---|---|
| 青年对照组vs青年梗死组 | ||||||
| 基底节区EPVS | 28.82 | 9.14 | 3.15 | 0.007 | 0.021 | |
| 半卵圆中心EPVS | 47.05 | 9.20 | 5.11 | 0.000 | 0.000 | |
| PVH | 17.07 | 9.03 | 1.89 | 0.113 | 0.339 | |
| DWMH | 3.95 | 8.81 | 0.45 | 0.351 | 1.000 | |
| LI | 31.20 | 8.95 | 3.49 | 0.002 | 0.007 | |
| CMBs | 23.73 | 8.27 | 2.87 | 0.010 | 0.030 | |
| TBS | 36.38 | 9.30 | 3.91 | 0.000 | 0.001 | |
| 青年梗死组vs老年梗死组 | ||||||
| 基底节区EPVS | -36.74 | 7.17 | -5.12 | 0.000 | 0.000 | |
| 半卵圆中心EPVS | -5.97 | 7.22 | -0.83 | 0.400 | 1.000 | |
| PVH | -39.30 | 7.09 | -5.54 | 0.000 | 0.000 | |
| DWMH | -41.12 | 6.91 | -5.95 | 0.000 | 0.000 | |
| LI | -15.54 | 7.03 | -2.21 | 0.025 | 0.075 | |
| CMBs | -10.48 | 6.49 | -1.61 | 0.108 | 0.324 | |
| TBS | -32.52 | 7.30 | -4.45 | 0.000 | 0.000 | |
Kruskal-Wallis检验3组间CSVD各评分P<0.001 ,可以认为3组间CSVD评分差异具有统计学意义。经过两两比较,3组间患者TBS有显著差异(调整后P<0.001)。青年梗死组明显高于青年对照组,但显著低于老年组。
将各可能影响因素纳入多因素Logistic有序回归分析,结果显示:高血压是EPVS的影响因素,更是脑小血管病发生的影响因素(P<0.05);吸烟是CMBs的影响因素(P<0.05);LI与年龄密切相关(P<0.05),见表4。

影响青年脑梗死患者CSVD的多因素Logistic有序回归分析
Multivariate Logistic regression analysis of clinical factors related to CSVD of young patients
影响青年脑梗死患者CSVD的多因素Logistic有序回归分析
Multivariate Logistic regression analysis of clinical factors related to CSVD of young patients
| 评分 | 因素 | b值 | 标准误 | Wald值 | 风险比 | 95% CI | P值 |
|---|---|---|---|---|---|---|---|
| 基底节EPVS | 高血压 | -1.53 | 0.61 | 6.28 | 0.22 | -2.73,-0.33 | 0.012 |
| 半卵圆中心EPVS | 高血压 | -1.79 | 0.69 | 6.74 | 0.17 | -3.13,-0.44 | 0.009 |
| CMBs | 吸烟 | -1.60 | 0.68 | 5.56 | 0.20 | -2.93,-0.27 | 0.018 |
| LI | 年龄 | -1.64 | 0.71 | 5.37 | 0.19 | -3.03,-0.25 | 0.020 |
| TBS | 高血压 | -1.12 | 0.53 | 4.41 | 0.33 | -2.16,-0.07 | 0.036 |
脑小血管疾病通常与大动脉粥样硬化(large artery atherosclerotic ,LAA)并存,尤其是颅内动脉粥样硬化,且LAA通常与CSVD共存并与其有许多共同的危险因素[16]。近年来,预防颅内狭窄复发性卒中的支架和积极药物管理试验也已表明,严重颅内动脉粥样硬化患者的CSVD发生率较高[17]。本研究针对青年动脉狭窄或闭塞型梗死,对其CSVD进行研究,以探求其临床影响因素。
脑小血管病变影响大脑中的微小血管,常规医学成像设备难以观察到其病理变化。当这种病变被诊断出来时,患者的临床症状一般已很明显。本研究对单一CSVD的轻重程度进行累积评分获得TBS。TBS是指脑小血管病对脑组织损伤所引起的所有影像学表现,较单一的脑小血管病特征更能完整体现对大脑的整体影响。例如,WMH通常发生在白质,而腔隙灶通常发生在深部灰质中,同时包含这两个特征的指标将更好地反映总脑损伤。因此,已经提出了通过对4个MRI成像特征计数的方法来形成CSVD总负担量表[15]。
既往的一篇针对CSVD的神经影像学综述阐明,评估TBS是很有必要的[18]。Huijts等[19]首先应用此量表发现TBS与较差的认知功能相关。降钙素原水平升高[20]和门诊血压水平增高[21]也被确定与TBS呈正相关。本研究使用已建立的经过验证的量表对TBS进行分级,发现青年梗死组TBS明显高于青年对照组,但显著低于老年组,说明脑小血管病变在青年急性脑梗死患者中很常见。既往多针对单一脑小血管病特征进行研究,发现脑梗死患者多存在EPVS、LI、WMH、CMBs等[22,23],与本研究结果一致。
既往高血压被认为是CSVD最强的血管性因素。本研究结果也显示高血压是青年性脑梗死患者TBS的危险因素,但其潜在病理生理机制比较复杂,仍未完全了解。高血压发生后,血管壁重复机械应力和血管壁中弹性蛋白纤维的降解可以引发动脉硬化并将脉动负荷传递到脑。此外,高血压引起一氧化氮减少,增加血管内皮的剪切力,使其适应性受损,进而导致动脉硬化基因上调,这可能是引发小血管闭塞的重要潜在因素[24]。此外,脑梗死引发颅内血流灌注减低,而缺血性低灌注也被认为与CSVD的发病机制有关[25]。既往认为高血压是EPVS的危险因素,本研究显示青年脑梗死患者基底节及半卵圆中心区EPVS严重程度都与高血压独立相关,且与半卵圆中心区的关系更密切,这可能与高血压可同时影响深部及皮质小动脉有关。目前青年人群高血压发病率较高,与生活水平、饮食习惯、工作压力以及缺乏体育锻炼等有关。因此,要加强青年对于高血压的早期预防,减少心血管疾病的发生。
本研究在对青年与老年脑梗死患者CMBs严重程度进行分析后显示两组间差异无统计学意义。CMBs是亚临床终末期微小血管病变所致的含铁血黄素沉积,多见于老年人,与年龄、血压及心脏病等危险因素有关。Putaala等[1]对首发缺血性卒中患者CMBs和WMH的特征和危险因素进行研究,发现其与年龄增长密切相关。由于本研究两组间血压无明显差异,而高血压作为CMBs最主要的血管危险因素,故可能会对本研究结果产生一定的影响。本研究发现吸烟是CMBs的独立危险因素,可能与吸烟会影响全身血管系统及血流动力学改变,引起血管扩张性和顺应性降低,最终导致血管壁僵硬度增加有关[26]。
本研究结果表明仅LI与年龄具有相关性,原因可能是本研究选取患者样本均为≤45岁的青年患者,其发生高血压、糖尿病、心脏病的概率较老年患者明显减低,因此研究结果不显著。此外,本研究也显示青年与老年梗死组患者在是否患有糖尿病、心脏病上具有差异,也可以证实这一结果。
对于其他危险因素来说,糖尿病通常被认为是CSVD的危险因素,但许多研究发现糖尿病与任何MRI特征均无关[27],本研究同样未发现与TBS评分的关联性。
本研究应用TBS对CSVD进行总体评估,更完整地体现CSVD对大脑的影响。有些人可能认为导致这些不同CSVD特征的潜在致病机制存在差异,然而这都是由小血管疾病引起的,并且它们经常共同发生,所以TBS作为一项简单实用的视觉评估可以应用于临床。
本研究对所有患者CSVD的影像学表现均采用计数评分的方法,虽简单易行,但主观计数可能存在误差;病例数相对较少,并未针对脑梗死病因学进行分类;未考虑患者教育程度、睡眠质量、压力程度等可能影响青年脑梗死的原因,需要在后续研究中进一步完善。
无。





















