
探讨大脑中动脉(middle cerebral artery,MCA)供血区急性缺血性脑卒中(acute ischemic stroke,AIS)患者液体衰减反转恢复(fluid attenuated inversion recovery,FLAIR)序列血管高信号征(vascular hyperintensity,FVH)出现的相关因素及与临床预后的关系。
回顾性分析276例(2016年9月至2019年3月) MCA区域AIS患者的临床及影像资料。分为FVH阳性组和阴性组,阳性组又依据FVH的分布情况分为3个级别。此外,阳性组血管狭窄程度3级的22例患者7 d后复查(根据MRA表现分为血管再通组和未再通组),并进行了90 d随访改良Rankin量表(modified Rankin Scale,mRS)评估(根据90 d mRS评分分为预后良好组(mRS≤2)和不良组(mRS> 2)。采用χ2检验和Fisher精确检验分析影响FVH出现及级别的因素。血管再通组和未再通组之间FVH消失的情况及预后良好组和不良组的基线FVH级别、治疗后FVH消失、血管再通情况采用Fisher精确检验。预后良好组和不良组基线NIHSS评分采用t检验。
FVH阳性组和阴性组两组之间患者年龄、性别、卒中危险因素及Willis环类型差异无统计学意义。出现症状-MRI检查时间、血管狭窄部位、程度及梗死面积差异具有统计学意义(P值分别为0.011、0.011、0.000、0.000)。阳性组不同级别间仅梗死面积差异具有统计学意义(χ2=7.026,P=0.030)。复查血管再通组和未再通组之间FVH的消失情况差异具有统计学意义(P=0.000)。预后良好组和不良组之间基线NIHSS评分及治疗后FVH消失情况差异有统计学意义(P=0.000,P=0.002),基线FVH级别及治疗后血管再通情况差异无统计学意义(P=0.290,P=0.080)。
患者症状-MRI检查时间、血管狭窄部位及程度、梗死面积是影响FVH出现的重要因素。治疗后FVH的消失可以预测闭塞血管再通,且患者预后与基线NIHSS评分、治疗后FVH消失情况有关,基线NIHSS评分低、治疗后FVH消失提示预后良好。
本刊刊出的所有论文不代表本刊编委会的观点,除非特别声明
液体衰减反转恢复序列血管高信号征(fluid attenuated inversion recovery vascular hyperintensity,FVH)是急性缺血性脑卒中(acute ischemic stroke,AIS)患者沿患侧大脑半球的脑沟及外侧裂,呈点状、线状或蛇纹状分布的高信号[1],也有文献称之为高信号血管征(hyperintense vessel sign,HVS)[2]。研究普遍认为近端FVH是大血管狭窄部位正向通过的缓慢血流,远端FVH是大血管重度狭窄或闭塞后远端侧支循环的缓慢逆向血流[3]。FVH与数字减影血管造影(digital subtraction angiography,DSA)的对比研究,结果证实远端FVH是评估AIS患者侧支循环的一种简单、快速且方便的有效手段。目前,对于FVH出现的影响因素,各研究中均有报道,但并不全面。本研究纳入276例AIS患者,探讨FVH的相关因素及预后分析。
回顾性收集兰州大学第二医院2016年9月至2019年3月的AIS患者,纳入标准:(1)患者有完整的颅脑MRI资料,包括DWI、FLAIR及MRA序列,且扫描参数统一;(2)脑卒中类型为单侧MCA供血区脑梗死。排除标准:(1)出血性脑梗死;(2)合并有颅脑其他疾病如肿瘤、外伤、其他脑血管病等;(3)图像质量差而影响观察。最终纳入276例患者,所有患者在行MR检查前均签署了知情同意书。
采用德国西门子Verio 3.0 T MR扫描仪,15通道头颅线圈。MRI检查包括T1WI、T2WI、DWI、FLAIR和3D-TOF MRA。扫描参数:(1) T1WI:TR 1800 ms,TE 9 ms,FOV 230 mm×227 mm;(2) T2WI:TR 4500 ms,TE 91 ms,FOV 220 mm×220 mm;(3) DWI:TR 4300 ms,TE 100 ms,b值为0,1000 s/mm2,FOV 230 mm×208 mm;(4) FLAIR:TR 7000 ms,TE 94 ms,TI 2215.2 ms,FOV 230 mm×208 mm;以上各序列层厚均为4.5 mm,层间距1.0 mm。(5) 3D-TOF MRA:TR 21 ms,TE 3.6 ms,层厚0.7 mm,FOV 230 mm×227 mm。
收集276例患者的年龄、性别、卒中危险因素(高血脂、高血压、高血糖、房颤、既往卒中史)、出现症状-MRI检查时间、基线美国国立卫生研究院卒中量表(National Institutes of Health Stroke Scale,NIHSS)评分及90 d改良Rankin量表(modifed Rankin Scale,mRS)评分。影像评估:(1) FLAIR,判断基线FVH是否阳性并分级、治疗后FVH消失情况;(2) MRA,血管狭窄部位、程度、Willis的完整性及分型、闭塞血管治疗后再通情况;(3) DWI,勾画、测量梗死面积。
按是否存在FVH分为FVH阳性组和阴性组,FVH阳性组根据FVH的分布情况分为3个级别。根据治疗后MRA图分为血管再通组与未再通组。根据90 d mRS评分分为预后良好组(mRS≤2)和不良组(mRS> 2)。
FVH阳性的判断根据其定义,FLAIR序列≥2个连续层面上或同一层面≥2处患侧大脑半球脑沟、裂内存在点状、线状或蛇纹状高信号[4]。分级参照Liu等[5]提出的标准,根据MCA供血区FVH分布情况:Ⅰ级,FVH局限于外侧裂;Ⅱ级,在Ⅰ级基础上扩展到颞枕叶区;Ⅲ级,在Ⅱ级基础上扩展到额顶叶脑沟内。
依据MRA图像判断,狭窄部位根据大脑中动脉解剖学的分段M1~ M4-5。狭窄程度根据北美症状性颈动脉内膜切除试验狭窄分级法(NASCET)[6]测量狭窄率,狭窄率=(1-最狭窄部位直径/远端正常血管直径)×100%。狭窄率再结合本研究具体情况将血管狭窄程度分为四级:0级,正常;1级,轻度狭窄,狭窄率<50%,远端血管分支显影正常或略显稀疏;2级,中度及重度狭窄,50%≤狭窄率<100%,远端血管分支明显稀疏减少;3级,闭塞,狭窄率100%,闭塞部位以远血管未见显示。
Willis环分型方法众多,本研究根据Jeong等[7]提出的解剖学分型,将MRA上显示的Willis环形态分为四种类型:Ⅰ型,完整型,指Willis环各组成血管均存在;Ⅱ型,前循环完整后循环不完整,指前循环各组成血管均存在,而后循环各组成血管至少有1支未见显示;Ⅲ型,前循环不完整后循环完整,指后循环各组成血管均存在,而前循环各组成血管至少有1支未见显示;Ⅳ型,前、后循环均不完整,指前、后循环各组成血管均至少有1支血管未见显示。
在DWI b值=1000 s/mm2图像上选择梗死灶最大层面,手动勾画梗死灶边缘,得到梗死面积。若为多发梗死灶,则分别计算每个梗死灶的面积再求和。根据梗死灶面积大小将梗死灶分为:大梗死灶(梗死面积≥ 5 cm2);小梗死灶(梗死面积<5 cm2)。
以上影像学指标由2名盲于患者临床资料的神经放射学副主任医师分别阅片后记录,若意见不一致,则与主任医师商讨达成一致,意见一致的结果作为最终统计学数据。
采用χ2检验(最小期望计数>5)和Fisher精确检验分析FVH发生及FVH级别与患者临床(年龄、性别、高血脂、高血压、高血糖、房颤、既往卒中史及症状-MRI检查时间)及影像因素(血管狭窄部位、程度、Willis环分型、梗死面积)的关系。其中患者年龄采用
±s表示,采用Mann-WhitneyU检验。采用Fisher精确检验分析血管再通组和未再通组之间FVH消失的情况及预后良好组和不良组基线FVH级别、治疗后FVH消失、血管再通情况。t检验分析预后良好组和不良组基线NIHSS评分的差异,NIHSS评分采用
±s表示。运用SPSS 25.0软件,取α=0.05水平,当P<0.05时,认为差异具有统计学意义。
276例AIS患者,FVH阳性组149例,阴性组127例,患者基本资料如(表1)。统计分析两组之间年龄、性别、高血脂、高血压、高血糖、房颤及既往卒中病史差异均无统计学意义(P>0.05)(表1)。但结果显示高血压是脑梗死最常见的危险因素(170/276,61.59%)(表1)。

FVH阳性组和阴性组临床及影像资料分析
Clinical and imaging data in FVH-positive and FVH-negative patients
FVH阳性组和阴性组临床及影像资料分析
Clinical and imaging data in FVH-positive and FVH-negative patients
| 基本资料 | FVH阳性组(149例) | FVH阴性组(127例) | P值 | |
|---|---|---|---|---|
| 年龄(岁) | 64.56±13.71 | 61.85±13.07 | 0.065 | |
| 男性 | 90 | 72 | 0.533 | |
| 高血脂 | 19 | 17 | 0.876 | |
| 高血压 | 87 | 83 | 0.236 | |
| 高血糖 | 26 | 25 | 0.633 | |
| 房颤 | 17 | 14 | 0.888 | |
| 既往卒中史 | 25 | 13 | 0.116 | |
| 血管狭窄部位 | 0.011 | |||
| ICA | 13 | 4 | ||
| M1 | 79 | 51 | ||
| M2 | 43 | 25 | ||
| M3 | 5 | 13 | ||
| M4/5 | 4 | 8 | ||
| 血管狭窄程度 | 0.000 | |||
| 0 | 5 | 26 | ||
| 1 | 7 | 56 | ||
| 2 | 56 | 30 | ||
| 3 | 81 | 15 | ||
| Willis环分型 | 0.631 | |||
| Ⅰ | 4 | 6 | ||
| Ⅱ | 63 | 59 | ||
| Ⅲ | 8 | 7 | ||
| Ⅳ | 74 | 55 | ||
| 梗死面积 | 0.000 | |||
| 小 | 36 | 77 | ||
| 大 | 113 | 50 | ||
| 症状-MRI检查时间 | 0.011 | |||
| ≤1 d | 77 | 56 | ||
| 2~4 d | 62 | 58 | ||
| >4 d | 10 | 13 | ||
276例AIS患者中,FVH总体发生率53.99% (149/276),其中症状-MRI检查时间≤1 d组FVH阳性率为51.68% (77/149),2~ 4 d组41.61% (62/149),>4 d组6.71% (10/149),可见随着患者症状-MRI检查时间的延迟,FVH的出现率减低,且差异具有统计学意义(χ2=8.950,P=0.011)(表1)。
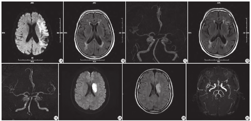
276例AIS患者中,FVH阳性者为149例,其中135例90.60% (135/149)是颈内动脉颅内段和大脑中动脉M1、M2段的狭窄,137例91.95% (137/149)血管狭窄程度呈2、3级(图1),分别显著高于FVH阴性组62.99% (80/127)、35.43% (45/127)(图2)。分析得出血管近端严重狭窄及闭塞更易出现FVH征象,且差异具有统计学意义(P=0.011,P=0.000)(表1)。FVH的出现与Willis环分型差异无统计学意义(P=0.631)(表1)。


276例AIS患者中,小面积梗死113例,大面积梗死163例。小面积梗死患者中,FVH阳性率为31.86% (36/113),显著低于大面积梗死患者69.33% (113/163),可见FVH常见于大面积梗死患者,差异具有统计学意义(χ2=37.712 ,P=0.000)(表1)。
表1得出结论,FVH的出现与患者症状-MRI检查时间、血管狭窄部位、程度及梗死面积有关。再将FVH阳性组分级研究,结果显示FVH不同级别间患者症状-MRI检查时间、血管狭窄部位及程度差异不具有统计学意义(P=0.269,P=0.108,P=0.518)(表2、表3)。而FVH不同级别间患者梗死面积差异仍具有统计学意义(χ2=7.026,P=0.030)(表2),FVH 1级大面积梗死患者65.38% (17/26),2级73.74% (73/99),3级95.83% (23/24),可见FVH级别越高,大面积梗死患者占比越大。

不同FVH级别患者出现症状-MRI检查时间及梗死面积
Symptom-MR examination time and infarct size in patients with different FVH grades
不同FVH级别患者出现症状-MRI检查时间及梗死面积
Symptom-MR examination time and infarct size in patients with different FVH grades
| FVH级别 | 症状-MRI检查时间(d) | P值 | 梗死面积 | P值 | |||
|---|---|---|---|---|---|---|---|
| ≤1 | 2~4 | >4 | 大 | 小 | |||
| 1 | 15 | 11 | 0 | 17 | 9 | ||
| 2 | 51 | 42 | 6 | 0.269 | 73 | 26 | 0.030 |
| 3 | 11 | 9 | 4 | 23 | 1 | ||

不同FVH级别患者的血管狭窄部位、程度
Vascular stenosis location and degree in patients with different FVH grades
不同FVH级别患者的血管狭窄部位、程度
Vascular stenosis location and degree in patients with different FVH grades
| FVH级别 | 血管狭窄部位 | P值 | 血管狭窄程度 | P值 | |||||||
|---|---|---|---|---|---|---|---|---|---|---|---|
| ICA | M1 | M2 | M3 | M4-5 | 0级 | 1级 | 2级 | 3级 | |||
| 1 | 1 | 14 | 7 | 3 | 1 | 0 | 3 | 8 | 15 | ||
| 2 | 8 | 50 | 33 | 2 | 2 | 0.108 | 4 | 4 | 37 | 54 | 0.518 |
| 3 | 4 | 15 | 3 | 0 | 1 | 1 | 0 | 11 | 12 | ||
FVH阳性组血管狭窄程度3级的患者共81例,59例患者复查资料不完整,无FLAIR或MRA序列,故共分析随访患者22例。血管再通组11例,其中9例FVH消失(9/11,81.82 %),未再通组11例FVH均未消失(11/11,100.00%),差异具有统计学意义(P=0.000)。
22例患者中,预后良好组13例,预后不良组9例,两组间基线FVH级别及治疗后血管再通差异无统计学意义(P=0.290,P=0.080),基线NIHSS评分和治疗后FVH消失情况差异具有统计学意义(P=0.000,P=0.002) (表4)。

两组间患者基线NIHSS评分、FVH级别、治疗后FVH消失及血管再通情况的比较
Comparison of baseline NIHSS scores, FVH grades, disappearance of FVH and vascular recanalization after treatment between better outcome group and poor outcome group
两组间患者基线NIHSS评分、FVH级别、治疗后FVH消失及血管再通情况的比较
Comparison of baseline NIHSS scores, FVH grades, disappearance of FVH and vascular recanalization after treatment between better outcome group and poor outcome group
| 分组 | 基线NIHSS评分( ±s) | 基线FVH级别 | 治疗后FVH | 治疗后血管 | ||||
|---|---|---|---|---|---|---|---|---|
| 1 | 2 | 3 | 消失 | 未消失 | 再通 | 未再通 | ||
| 预后良好(13例) | 7.62±0.42 | 5 | 8 | 0 | 9 | 4 | 9 | 4 |
| 预后不良(9例) | 11.67±0.88 | 2 | 5 | 2 | 0 | 9 | 2 | 7 |
| P值 | 0.000 | 0.290 | 0.002 | 0.080 | ||||
本研究选取单侧MCA供血区AIS患者,深入分析影响FVH出现的因素,进一步探讨FVH级别与相关因素的关系。
既往文献报道患者年龄、高血脂、高血压、吸烟史等临床因素可能影响FVH的形成[8]。推测可能是由于年龄、高血压、高血脂等危险因素影响新生小血管生成及侧支循环开放。但本研究结果显示FVH阳性组和阴性组间他们差异均无统计学意义(P>0.05),这与Kobayashi等[9]报道的结果相符,从一定程度上提示只有导致血流动力学发生重大变化的情况下,才可能出现FVH。此外,FVH的出现与患者症状-MRI检查时间的长短呈负相关,本研究≤1 d组的FVH出现率最高51.68%,虽然出现率与其他文献报道的数值略有差异,但结论是一致的,症状-MRI检查时间越短,FVH阳性率越高,随着时间的延长,阳性率逐渐下降。这可能与脑梗死不同时间供血动脉再通情况及侧支循环血流状态有关。
本研究结果显示,FVH常见于颈内动脉或大脑中动脉M1段的重度狭窄及闭塞患者。这可能与FVH形成的病理生理机制有关,颅内外血管严重狭窄或闭塞易造成局部血流缓慢及远端软脑膜侧支血管形成[10]。当血管狭窄部位是大血管远端分支的细小血管或血管狭窄程度属于轻-中度狭窄时,较短时间内不足以引起局部明显的血流动力学异常及广泛的侧支循环形成,因此,FVH的阳性率低。正因为FVH阳性患者90%以上是主干血管的重度狭窄及闭塞,而造成患侧大脑半球脑血流量明显减少,脑组织出现明显低灌注,因此FVH阳性患者通常梗死面积较大,且本研究显示FVH级别越高,大面积梗死患者占比越大,其中FVH3级患者,大面积梗死比例高达95.83%。目前国内外文献在Willis环与脑梗死相关性方面也做了较多研究,认为Willis环不完整是发生脑梗死的重要危险因素之一,本组276例AIS患者Willis环完整者仅占3.62%,而不完整的Willis环Ⅱ、Ⅲ、Ⅳ型分别为44.20%、5.43%、46.74%,支持了上述观点。近年来,有文献报道Willis环的不完整也可影响FVH的出现[11]。推测其机制可能是Willis环的不完整在一定程度上造成了来自Willis环的一级侧支代偿不足,因此,需进一步启动二级软脑膜侧支代偿。Kawashima等[12]研究发现,Ⅳ型(前后循环均不完整)比I型(完整)、Ⅱ型(仅前循环完整)、Ⅲ型(仅后循环完整)的FVH出现率明显较高(P=0.008)。笔者按Willis环是否完整也进行了分组统计分析,结果发现不完整组中FVH的出现率是高于完整组,虽然结果无统计学差异(P=0.521)。
随访结果显示患者预后与基线FVH级别、治疗后血管是否再通无关。这与荆利娜等[13]和高培毅等[14]的研究结果相同,FVH的分布范围不能预测患者90 d临床预后是否良好,分析原因可能是虽然远端FVH代表侧支循环,但未能起到代偿作用。本研究动态观察FVH的改变,发现血管再通后81.82%患者FVH消失,说明原来缓慢逆向的血流在血管再通后恢复了正常的血流状态。FVH的消失可以间接判断闭塞血管再通,同时这种动态的改变进一步说明FVH代表的侧支循环并未发挥代偿作用。而患者预后与基线NIHSS评分、治疗后FVH消失情况有关,刘振生等[15]研究发现,急性脑梗死腔内再通后FVH的消失代表该部位脑血流灌注恢复,因此此类患者往往预后良好。
首先,本研究为回顾性研究,随访影像资料完整的样本量较小;其次,本研究并非同一病例不同症状-MRI检查时间的随访,因此可能受到个体差异的影响。综上所述,患者症状-MRI检查时间、血管狭窄部位及程度、梗死面积是影响FVH出现的重要因素。症状-MRI检查时间越短、血管狭窄部位发生在颅内大动脉近端及血管狭窄程度越重,FVH出现率越高,大面积脑梗死患者FVH阳性率显著高于小面积梗死患者。治疗后随访FVH的消失可以预测闭塞血管再通,且患者预后与治疗后FVH消失情况及基线NIHSS评分有关,基线NIHSS评分低、治疗后FVH消失提示预后良好。
无。

±s)



















