
本刊刊出的所有论文不代表本刊编委会的观点,除非特别声明
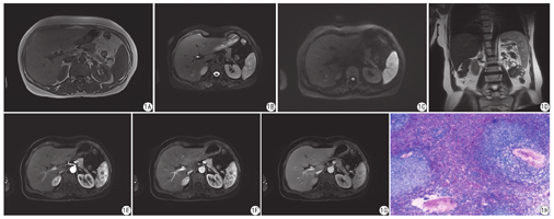
女,60岁,因体检发现脾脏占位入院。查体:腹软,无压痛、反跳痛,脾肋缘下可触及,质韧。实验室检查除血小板计数略低(115×109/L)外,其他血液检测,包括肿瘤标志物、肝肾功能和凝血功能均在正常范围内。外院超声提示脾脏实质回声不均匀,呈结节样改变。本院MR检查:脾脏内可见弥漫性多发小结节影,呈等或稍长T1信号(图1A),T2WI呈(不均匀)高信号(图1B、图1D),扩散加权成像(diffusion-weighted imaging,DWI)高b值(b=800 s/mm2)未见明显扩散受限(图1C);增强后动脉期病变强化不明确,较周围脾实质呈相对低信号,静脉期可见对比剂向内填充,延迟期呈等或低信号(图1E,图1F,图1G);大部分边界清楚,最大直径约13 mm。术前影像诊断:脾脏多发异常信号,脉管源性病变可能性大。行腹腔镜下脾脏切除术,术中见脾脏体积增大,色泽红润,脾周见少量腹水,与周围组织无粘连。游离脾脏,予以切除。术后病理显示送检脾组织内见多个大小不等的窦腔样结构,内衬单层扁平或柱状上皮,部分内皮向腔内突起形成乳头状结构,细胞无明显异型性,腔内充满淡粉红色物,并可见少量红细胞(图1H);免疫组化:CD31(+),F-Ⅷ(+),ERG(+),CD68(+),AAT (+),Lysozyme (+),CD21(-),CD34(-),CD8(-),Ki-67(约2%+)。病理诊断:脾脏窦岸细胞血管瘤(littoral cell angioma,LCA)。


血管源性肿瘤是脾脏非淋巴样肿瘤中最常见的病变,LCA虽是脾血管源性肿瘤中的一种,但极为少见。1991年,Falk等[1]在历时20年的病例收集后发现17例以红髓脾窦内的窦岸细胞为特征的肿瘤,该肿瘤细胞呈上皮与组织细胞双向分化,由此将其命名为窦岸细胞血管瘤。该病病因尚不清楚,可能和免疫系统功能失调有关。
LCA可发生于任何年龄段,中年人相对多见,无明显性别差异[1]。因为该病较为罕见,所以确切的发病率尚不清楚。LCA常无明显的临床症状,多因体检或其他原因偶然发现;部分患者可出现脾肿大、血小板减少和贫血等。本例患者即为体检偶然发现,脾脏体积稍肿大,血小板略有减少。目前将LCA归为中间型肿瘤,但大多数呈良性,预后良好,但少部分可恶变或合并其他内脏恶性肿瘤[2],故一经发现应尽早切除,并仔细检查、长期随访。
关于脾脏LCA影像表现的报道多为个案或小样本报道[3,4,5]。大体上,LCA的影像学表现可分为多发结节型和单发结节型,前者较多见,本例即为多发结节型。多发结节型LCA病灶大小不等,可呈弥漫性分布,常伴脾脏不同程度肿大。CT平扫多呈等或稍低密度。MR上,T1WI多呈等或稍低信号,边界欠清;T2WI表现为高信号,信号可不均质,部分病变内可因含铁血黄素沉积而呈低信号;增强扫描表现为由周边向中心缓慢填充的渐进性强化模式,但在动脉期因脾脏的花斑样强化LCA病变边缘的强化多被掩盖,因而呈相对低密度/信号。静脉期对比剂可向中心扩展,延迟期表现多样,可呈稍低或等密度/信号[6,7],也可高于周围正常脾实质[4]。本例患者MR表现为脾实质内多发结节样等或稍长T1压脂不均匀长T2信号,动脉期强化不明确呈相对低信号,静脉期部分可见轻度强化,延迟期大部分呈稍低信号,少部分接近等信号,推测可能是因为LCA由不规则血窦吻合构成,血窦窦隙较小强化推进缓慢或延迟扫描时间不足所致。单发结节型,较少见,结节多数较大,脾脏体积不大或仅局部增大,增强动脉期可见明显强化,门脉期强化程度减低趋于均一,延迟期密度/信号与周围正常脾实质相仿,可能因单发结节较大,结节内窦隙囊状扩张,并与周围脾血窦相贯通故而扩散速率加快所致[8]。另外,有文献报道LCA在DWI上呈扩散受限呈高信号[4,7],而本例患者的LCA病灶在DWI上并未出现明显的扩散受限,可能是因为病变由不规则血管腔组成,实性成分相对较少所致。
影像学上,LCA需与脾脏其他病变相鉴别:①血管瘤,T1WI呈低信号,T2WI呈明显高信号,且信号较为均一,边界清晰锐利;增强动脉期可见边缘强化,门脉期向中央填充,延迟期呈持续强化,但动脉期几乎不出现边缘结节样强化,而呈环形强化[9],易于鉴别;②错构瘤,脾脏错构瘤由脾脏多种组织成分异常混合形成,并伴不同程度的纤维组织增生,因此T1WI上多呈低信号,T2WI信号可高可低,主要与病灶内红髓脾窦是否扩张以及纤维组织所占比例有关;并且信号往往不均匀,主要与病灶成分的复杂性及是否合并出血、囊变、玻璃样变有关[10]。T2WI及DWI序列病变主体信号低于脾实质,较具特征性[11]。增强扫描动脉期表现为弥漫性轻度不均匀强化或明显强化,门脉期渐进性或持续强化,延迟期强化程度接近或稍高于脾实质[10];③血管肉瘤,侵袭性生长,边界不清,常伴有出血、坏死,密度/信号不均匀,病变早期即可出现肝脏及腹膜后转移;④转移瘤,表现为脾内多发、境界清楚、不同强化程度的结节样病灶,典型者表现为"牛眼征"。有原发肿瘤病史或伴腹膜后肿大淋巴结,有助诊断;⑤硬化性血管瘤样结节性转化,多为单发,少见多发,MR T1WI相对脾实质呈等或稍低信号,T2WI病变主体呈稍低信号,内信号不均,典型病变在T2WI及动脉期表现为"轮辐征",延迟期病变中心可见星芒状纤维组织的延迟强化[12]。
总之,目前有关脾窦岸细胞血管瘤的MR表现报道较少,需不断积累病例以完善对该病的认识。动态增强门脉期渐进性强化有助于脾脏LCA的诊断和鉴别诊断,确诊仍需病理及免疫组化。
无。





















