
探讨液体衰减反转恢复序列(fluid-attenuated inversion-recovery,FLAIR)部分阳性的改良扩散加权成像(diffusion-weighted imaging,DWI)-FLAIR不匹配指导醒后缺血性卒中(wake-up ischemic stroke,WUIS)静脉溶栓治疗的安全性和有效性以及预后转归的影响因素。
回顾性纳入2016年1月至2020年1月就诊的WUIS患者100例。所有患者均于治疗前行MRI检查,对改良DWI-FLAIR不匹配者行静脉溶栓治疗。多元逻辑回归分析WUIS预后转归影响因素。
改良DWI-FLAIR不匹配组(n=64)神经功能改善(NIHSS≥4分)(54.69% vs 30.56%;χ2=5.402,P=0.023)及3个月预后良好(mRS评分0~2分)(39.06% vs 19.44%;χ2=4.075,P=0.048)比例明显高于DWI-FLAIR匹配组(n=36),而改良DWI-FLAIR不匹配亚组中FLAIR阴性组和FLAIR部分阳性组神经功能改善(NIHSS≥4分)及3个月预后良好(mRS评分0~2分)比例无明显统计学差异(P>0.05)。多元逻辑回归分析显示静脉溶栓治疗(OR=1.266,95%CI:1.052~1.443,P=0.004)、改良DWI-FLAIR不匹配(OR=1.076,95% CI:0.527~1.884,P=0.013)、入院糖化血红蛋白(OR=1.190,95% CI:0.459~4.925,P=0.038)、神经功能改善(NIHSS≥4分)(OR=1.120,95% CI:0.570~2.210,P=0.021)为预测WUIS患者3个月预后的独立预测因子。
应用允许FLAIR部分阳性的改良DWI-FLAIR不匹配方法选择醒后缺血性卒中患者进行静脉溶栓治疗是安全有效的。
本刊刊出的所有论文不代表本刊编委会的观点,除非特别声明
目前急性缺血性脑卒中治疗指南一致推荐对于明确发病时间在4.5 h内的急性缺血性脑卒中给予重组组型纤维溶酶原激活剂静脉溶栓治疗,可改善卒中预后[1]。醒后卒中(wake-up ischemic stroke,WUIS)是临床常见的卒中类型,由于其真正的发病时间不确定常被排除在静脉溶栓治疗之外,增加致残致死风险[2]。多模MRI检查可被用于鉴别WUIS患者静脉溶栓治疗的候选者。既往研究表明,扩散加权成像(diffusion-weighted imaging,DWI)与液体衰减反转恢复序列(fluid-attenuated inversion-recovery,FLAIR)不匹配识别4.5 h以内的卒中患者其特异性和阳性预测值达78%和83%,可为WUIS患者建立基于MRI的溶栓指征[3]。然而,基于FLAIR阴性的溶栓分型标准将部分可能受益于静脉溶栓的FLAIR阳性患者排除在外。本研究通过应用FLAIR部分阳性的改良DWI-FLAIR不匹配回顾性分析研究探讨WUIS静脉溶栓的可行性、安全性和潜在的有效性。
回顾性纳入2016年1月至2020年1月在南京市第一医院就诊的WUIS患者。纳入标准:(1)首次急性卒中,或以前发生过卒中但没有遗留影响神经评分的后遗症;(2)患者在睡醒时发现卒中症状,或不能确定症状出现的具体时间(如失语或意识模糊);(3)距患者最后一次正常表现的时间<4.5 h。排除标准:(1)CT扫描显示脑出血或早期明显低密度改变;(2)存在大动脉闭塞需行动脉取栓治疗的患者。共纳入符合标准的患者100例,男70例,女30例,平均年龄(70.08±11.89)岁。收集患者的性别、年龄、高血压(>140/90 mmHg)、糖尿病(空腹血糖浓度≥7.0 mmol/L或口服75 g无水葡萄糖耐量试验2 h后血糖浓度≥11.1 mmol/L)、高血脂(血清总胆固醇>1.70 mmol/L或甘油三酯>5.72 mmol/L或低密度脂蛋白胆固醇>3.64 mmol/L)、高同型半胱氨酸(>15 μmol/L)、房颤、入院糖化血红蛋白(mg/dL)。本研究经南京市第一医院伦理委员会批准,所有病人或家属签署知情同意书。
采用3.0 T MR扫描设备(Ingenia,Philips Medical Systems,Netherlands)于治疗前进行检查。MRI扫描序列包括FLAIR、DWI、MRA。扫描参数如下:FLAIR (反转恢复序列,TR 7000 ms,TE 120 ms,矩阵356×151,视野230 mm×230 mm,翻转角90°,层数18,层厚6 mm,层间距1.3 mm);DWI (自旋回波序列,TR 2501 ms,TE 98 ms,矩阵152×122,3个方向,视野230 mm×230 mm,翻转角90°,层数18,层厚6 mm,层间距1.3 mm,b=0、1000 s/mm2);MRA (快速场回波序列,TR 4.9 ms,TE 1.82 ms,矩阵528×531,视野330 mm×330 mm,层厚1.2 mm)。
本研究中存在改良DWI-FLAIR不匹配的WUIS患者,若符合静脉溶栓适应证[4],经患者或家属知情同意后行静脉溶栓治疗:使用重组组织型纤溶酶激活剂(recombinant tissue plasminogen,rt-PA,勃林格英格瀚国际公司,德国),按0.9 mg/kg剂量标准给药,其中10%的rt-PA在1 min内静脉推注后,剩余90%药物持续静脉滴注1 h,最高剂量不超过90 mg。在同一研究期间接受同神经成像方案的WUIS患者,由于FLAIR阳性未接受IVT治疗,而尽早行抗血小板或抗凝治疗,作为对照组。
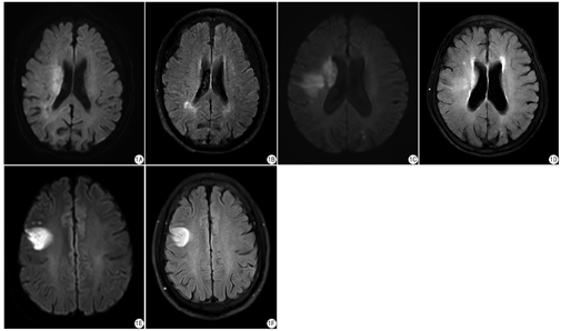
由2位有经验的神经放射学诊断医师采用双盲法对所有影像资料进行分析,结果不一致时经协商后达成一致。改良DWI-FLAIR不匹配定义为DWI高信号缺血病变区而FLAIR相同部分无高信号改变,或FLAIR信号改变区域明显小于DWI信号变化。FLAIR阴性表现为对应区域FLAIR信号无明显变化或与对侧半球信号一致。FLAIR部分阳性表现为FLAIR有信号改变,但明显小于相应的DWI病灶,且对侧FLAIR无明显信号改变。DWI梗死体积应用飞利普3.0 T MR自带的后处理工作站进行测量:在后处理工作站上对DWI图像上梗死高信号区且ADC值小于620 mm2/s区进行感兴趣区勾画,自动计算DWI梗死体积。
所有患者入院及治疗后72 h均行美国国立卫生研究院卒中量表(National Institute of Health Stroke Scale,NIHSS)评分;记录入院24 h内是否发生颅内出血转化,颅内出血转化定义为治疗后24 h内头颅CT或MRI复查存在脑实质出血或蛛网膜下腔出血。对于部分由于对比剂渗出评估较困难者,由2位有经验的诊断医师根据术前MRI及术后3~7 d随访的MRI综合评估以判断是否存在出血。当72 h内NIHSS评分降低≥4分时则认为卒中患者短期神经功能有改善。卒中患者预后用3个月的改良mRS评分(modified Rankin Scale,mRS)评分评估[5],mRS 0~2分为预后良好组,mRS 3~6分为预后不良组。
应用SPSS 19.0统计学软件进行数据处理。计量资料采用均数±标准差表示,计数资料采用例(%)表示。采用独立样本t检验或卡方检验对资料进行统计学分析。应用多元逻辑回归分析各参数在预测WUIS患者预后中的价值。P<0.05为差异有统计学意义。
共100例WUIS患者纳入研究,其中64例存在改良DWI-FLAIR不匹配,36例DWI-FLAIR匹配(图1)。两组间入院NIHSS评分(14.69±7.55 vs 13.23±8.38)、入院DWI梗死体积[(23.54±15.17) mL vs (28.04±21.72) mL]大致相仿,差异无统计学意义(t=2.116,P=0.263;t=0.547,P=0.460)。改良DWI-FLAIR不匹配组[(115.84±39.75) mg/dL]入院糖化血红蛋白低于DWI-FLAIR匹配组[(124.75±48.21) mg/dL],两组间比较差异有统计学意义(t=1.049;P=0.034)(表1)。64例改良DWI-FLAIR不匹配亚组中FLARI阴性37例,FLAIR部分阳性27例(图1)。两组间入院NIHSS评分、DWI梗死体积及其他临床指标均无统计学意义(P>0.05)(表2)。



WUIS患者改良DWI-FLAIR不匹配与DWI-FLAIR匹配间各参数比较
Comparison of parameters between modified DWI-FLAIR mismatch and DWI-FLAIR match in WUIS patients
WUIS患者改良DWI-FLAIR不匹配与DWI-FLAIR匹配间各参数比较
Comparison of parameters between modified DWI-FLAIR mismatch and DWI-FLAIR match in WUIS patients
| 组别 | 年龄(岁) | 男性(n/%) | 入院NIHSS评分 | 入院至MRI检查时间(min) | DWI梗死体积(mL) | 吸烟史(n/%) | 饮酒史(n/%) | 糖尿病(n/%) | 高血压(n/%) |
|---|---|---|---|---|---|---|---|---|---|
| 改良DWI-FLAIR不匹配(n=64) | 71.08±12.26 | 46/71.88 | 14.69±7.55 | 25.16±13.20 | 23.54±15.17 | 12/21.88 | 9/14.06 | 15/20.31 | 57/89.06 |
| DWI-FLAIR匹配组(n=36) | 69.10±11.52 | 24/66.67 | 13.23±8.38 | 23.04±12.49 | 28.04±21.72 | 5/15.49 | 5/11.27 | 10/33.80 | 28/91.55 |
| t/χ2 | -0.478 | 0.298 | 2.116 | 1.469 | 0.547 | 0.143 | 0.000 | 0.676 | 0.051 |
| P | 0.519 | 0.652 | 0.263 | 0.119 | 0.460 | 0.784 | 1.000 | 0.463 | 1.000 |
| 组别 | 房颤(n/%) | 高脂血症(n/%) | 高同型半胱氨酸症(n/%) | 入院糖化血红蛋白(mg/dL) | NIHSS≥4分 | mRS评分0~2分 |
|---|---|---|---|---|---|---|
| 改良DWI-FLAIR不匹配(n=64) | 16/25.00 | 12/9.34 | 5/7.81 | 115.84±39.75 | 35/54.69 | 25/39.06 |
| DWI-FLAIR匹配组(n=36) | 9/29.58 | 8/7.04 | 4/18.31 | 124.75±48.21 | 11/30.56 | 7/19.44 |
| t/χ2 | 0.108 | 0.174 | 0.138 | 1.049 | 5.402 | 4.075 |
| P | 0.807 | 0.795 | 0.476 | 0.034 | 0.023 | 0.048 |

WUIS患者改良DWI-FLAIR不匹配亚组中FLAIR阴性与FLAIR部分阳性患者间各参数比较
Comparison of parameters between FLAIR negative and partial FLAIR positivity of modified DWI-FLAIR mismatch subgroup in WUIS patients
WUIS患者改良DWI-FLAIR不匹配亚组中FLAIR阴性与FLAIR部分阳性患者间各参数比较
Comparison of parameters between FLAIR negative and partial FLAIR positivity of modified DWI-FLAIR mismatch subgroup in WUIS patients
| 类别 | 年龄(岁) | 男性(n/%) | 入院NIHSS评分 | 入院至MRI检查时间(min) | DWI梗死体积(mL) | 吸烟史(n/%) | 饮酒史(n/%) | 糖尿病(n/%) | 高血压(n/%) |
|---|---|---|---|---|---|---|---|---|---|
| FLAIR阴性(n=37) | 69.10±11.52 | 26/71.88 | 13.59±8.55 | 25.16±14.32 | 19.24±16.36 | 8/21.88 | 9/14.06 | 15/20.31 | 33/89.06 |
| FLAIR部分阳性(n=27) | 75.08±12.26 | 20/66.67 | 11.34±8.38 | 25.04±13.45 | 25.13±15.24 | 4/15.49 | 5/11.27 | 10/33.80 | 24/91.55 |
| t/χ2 | 0.478 | 0.112 | 1.116 | 4.469 | 0.447 | 0.475 | 0.308 | 0.080 | 0.001 |
| P | 0.419 | 0.785 | 0.163 | 0.902 | 0.561 | 0.537 | 0.761 | 0.801 | 1.000 |
| 类别 | 房颤(n/%) | 高脂血症(n/%) | 高同型半胱氨酸症(n/%) | 入院糖化血红蛋白(mg/dL) | NIHSS≥4分 | mRS评分0~2分 |
|---|---|---|---|---|---|---|
| FLAIR阴性(n=37) | 9/25.00 | 8/9.34 | 4/7.81 | 110.54±30.43 | 21/56.76 | 16/43.24 |
| FLAIR部分阳性(n=27) | 7/29.58 | 4/7.04 | 1/18.31 | 122.95±52.21 | 14/51.85 | 9/33.33 |
| t/χ2 | 0.021 | 0.475 | 0.330 | 0.049 | 0.152 | 0.644 |
| P | 1.000 | 0.537 | 0.387 | 0.849 | 0.801 | 0.450 |
改良DWI-FLAIR不匹配组静脉溶栓治疗后发生颅内出血者2例,对照组DWI-FLAIR匹配患者发生颅内出血者1例。与DWI-FLAIR匹配组相比,改良DWI-FLAIR不匹配组神经功能改善(NIHSS≥4分)(54.69% vs 30.56%)及3个月预后良好(mRS评分0~2分)(39.06% vs 19.44%)比例较高,差异具有统计学意义(χ2=5.402,P=0.023;χ2=4.075,P=0.048)。而改良DWI-FLAIR不匹配亚组FLAIR阴性组和FLAIR部分阳性组患者静脉溶栓治疗后神经功能改善(NIHSS≥4分)及3个月预后良好(mRS评分0~2分)比例无明显统计学差异(P>0.05)。
多元逻辑回归分析显示静脉溶栓治疗(OR=1.266,95%CI:1.052~1.443,P=0.004)、改良DWI-FLAIR不匹配(OR=1.076,95%CI:0.527~1.884,P=0.013)、入院糖化血红蛋白(OR=1.190,95%CI:0.459~4.925,P=0.038)、神经功能改善(NIHSS≥4分) (OR=1.120,95%CI:0.570~2.210,P=0.021)为预测WUIS患者3个月预后的独立预测因子。
由于WUIS患者的真正起病时间不确定,因此绝大部分WUIS患者被认为超出治疗时间窗而排除在静脉溶栓治疗之外。既往研究表明急性缺血性卒中可通过多模MRI指导临床治疗及预后评估[6,7]。此外,经多模MRI仔细筛选后还可对部分WUIS患者实施溶栓治疗[8,9]。而存在DWI-FLAIR不匹配的WUIS患者,超过90%的症状出现在发病3 h内[10]。因此,DWI-FLAIR不匹配是判断WUIS患者时间窗的有效指标。以往的研究严格排除了梗死区内FLAIR信号改变的患者,然而,本研究应用改良DWI-FLAIR不匹配方法评估WUIS患者静脉溶栓治疗安全性及有效性,在两组患者入院至MRI检查时间相仿的前提下,发现与DWI-FLAIR匹配患者相比,改良DWI-FLAIR不匹配患者治疗后颅内出血发生率相仿,而72 h神经功能改善及3个月预后较好,提示应用改良DWI-FLAIR不匹配选择WUIS患者进行静脉溶栓治疗是有效的。
DWI通过测量施加扩散敏感梯度场强前后组织发生的自由强度变化,从而检测组织中水分子扩散状态,可间接反映组织微观结构特点及其变化[11]。多项研究已经表明利用DWI-FLAIR不匹配可识别发病3~4.5 h以内的WUIS患者具有较高的特异性和敏感性[2,12,13]。本研究在比较改良DWI-FLAIR不匹配与DWI-FLAIR匹配间治疗效果后,进一步对改良DWI-FLAIR不匹配进行亚组分析。在FLAIR阴性及FLAIR部分阳性两组间比较,发现两组患者入院NIHSS评分、DWI梗死体积及其他临床指标均无明显差异。此外,本研究发现两组间治疗后颅内出血发生率、72 h神经功能改善及3个月预后相仿。由此可见,以往应用DWI-FLAIR不匹配选择静脉溶栓治疗可能存在过度选择,遗漏最终可能受益于静脉溶栓治疗的患者。与本研究结果类似,另一项研究表明,FLAIR图像上存在局灶性高信号的患者与症状性颅内出血或更糟糕的预后不良无明显相关性[14]。
本研究通过多元逻辑回归分析显示静脉溶栓治疗、改良DWI-FLAIR不匹配、入院糖化血红蛋白、神经功能改善NIHSS≥4分为预测WUIS患者3个月预后的独立预测因子。急性缺血性脑卒中患者目前最有效的药物治疗方法为在发病4.5 h之内给予rt-PA静脉溶栓治疗,可明显改善卒中预后[15,16]。DWI-FLAIR不匹配多出现在发病3~4.5 h以内的急性卒中患者中,经过积极有效的治疗可获得较好的预后。此外,本研究发现改良DWI-FLAIR不匹配与DWI-FLAIR匹配间糖尿病病史无明显差异,而入院糖化血红蛋白有统计学差异,且为预测WUIS患者3个月预后的独立预测因子。这可能与糖化血红蛋白和缺血性卒中密切相关而与患者有无糖尿病无关。这与以往的研究相仿,Oh等[17]发现糖化血红蛋白升高被认为是急性卒中患者神经功能预后恶化的独立预测因子。糖化血红蛋白与受体结合使更多的内皮素-1合成和激活更多的凝血因子,使血栓调节素减少,造成血管收缩和血栓形成[18]。卒中的主要恢复机制是利用残存的脑组织代偿坏死区的功能,长期暴露于高水平的糖化血红蛋白会引起血管及代谢功能异常,从而损害新生血管的形成及神经回路的可塑性[19]。
本研究存在一定的局限性,首先,本研究样本量较少且为单中心研究,以往的研究为DWI-FLAIR不匹配评估WUIS患者治疗,而本研究虽然证实改良DWI-FLAIR不匹配评估WUIS患者治疗具有较高的安全性及可行性,然而还需多中心大样本进一步证实该研究结果。其次,本研究为回顾性研究,对于存在改良DWI-FLAIR不匹配而未进行静脉溶栓治疗的患者未纳入研究,对样本的选择可能存在偏倚。
综上所述,应用允许FLAIR部分阳性的改良DWI-FLAIR不匹配方法选择醒后缺血性卒中患者进行静脉溶栓治疗是可行、安全及有效的。
无。





















