
分析SAPHO综合征颌骨受累的磁共振表现,提高各科医师对此疾病的认识。
回顾性分析9例SAPHO综合征颌骨MRI图像,由两名放射科医师共同阅片,评估颌骨骨髓水肿、骨质肥厚、脂质沉积的范围及程度;下颌关节、周围组织的受累范围;病变的扩散受限情况;有争议处通过讨论达成一致。
本组9例SAPHO综合征,8例为儿童/青少年。磁共振表现为不同程度的下颌骨受累,主要累及单侧下颌支及下颌角,并邻近体部,上颌骨未见受累。9例均出现骨髓水肿,其中8例不对称。7例合并骨质肥厚,均为髓质部受累。5例合并周围软组织水肿,其中1例累及邻近肌群,9例均出现周围多发淋巴结。1例行扩散加权成像检查,未见明确扩散受限。
磁共振可明确显示SAPHO综合征颌骨受累病变范围,主要表现为下颌骨不对称骨质肥厚伴水肿,可累及邻近软组织,伴多发淋巴结,为临床治疗、随访提供帮助。
本刊刊出的所有论文不代表本刊编委会的观点,除非特别声明
SAPHO综合征是一组特殊的临床症候群,包括滑膜炎(synovitis)、痤疮(acne)、脓疱病(pustulosis)、骨肥厚(hyperostosis)、骨髓炎(osteitis),表现为是一组慢性复发性炎症性骨关节疾病,常伴有掌跖脓疱病和聚合型痤疮等常见的皮肤疹,其特征是骨炎和(或)骨质增生。SAPHO综合征最早由Chamot于1987年提出[1],发病率较低,病因及发病机制不清,临床表现多样,容易误诊为皮肤、关节或脊柱方面的疾病,确诊往往经历数年;全身任何部位骨质均可受累,且具有年龄依赖性[2,3],成人主要受累部位是前胸壁,儿童是长管状骨[4],而下颌骨受累相对少见,但下颌骨可作为首发且唯一受累部位[4,5,6]。近期最大样本量的一项40例颌骨骨髓炎的单中心6年回顾性报道指出,其中高达28%的患者最终确诊为SAPHO综合征,误诊时间超过3年,严重延误了治疗时机[5]。此外,现有的国内外的少数报道主要关注的是SAPHO综合征累及颌骨[1,3],然而MRI相对于CT能够更加精准地评估颌骨骨质及周围软组织的病变。因此,准确认识SAPHO综合征累及颌骨的MRI表现对于SAPHO综合征的早期诊疗具有重要的意义。本文对9例颌骨受累的磁共振表现进行阐述,提高各科医生对其影像学特征的认识。
纳入自2018年5月8日至2019年3月17日就诊于北京协和医院的9例临床诊断下颌骨受累的SAPHO综合征患者,其中男4例,女5例,年龄9~56岁,平均19岁。诊断标准依据2012年Nguyen等[7]提出的标准:①骨关节表现+聚合性痤疮和爆发性痤疮或化脓性汗腺炎;②骨关节表现+掌跖脓疱病;③骨肥厚(上胸壁、肢端骨、脊柱)伴或不伴皮肤损害;④慢性多灶性复发性骨髓炎包含中轴或外周骨,伴或不伴皮肤损害;满足4个条件之一即可确诊。排除标准:幽闭症患者,不能配合检查者。
9例患者均于首都医科大学附属北京中医医院放射科行下颌骨磁共振检查。本研究经过本单位医学伦理委员会批准(批准文号:2018BL-0-050-01),经伦理委员会批准免除受试者知情同意。嘱患者咬合牙齿,下颌骨制动,必要时咬合压舌板。磁共振型号为西门子Magnetom Skyra 3.0 T超导磁共振仪,使用头颅线圈,具体参数为:T2WI Dixon序列冠状位:TR 3300 ms,TE 88 ms,层厚3.0 mm,FOV 240 mm×240 mm;矢状位:TR 4270 ms,TE 88 ms,层厚3.0 mm,FOV 230 mm×230 mm;轴位:TR 3000 ms,TE 81 ms,层厚3.0 mm,FOV 220 mm×220 mm;轴位T1WI TSE序列:TR 986 ms,TE 9.4 ms,层厚3.0 mm,FOV 220 mm×220 mm。扫描总共用时9 min 55 s。扩散加权成像冠状位:TR 6300 ms,TE 64 ms,层厚3.0 mm,FOV 220 mm×20 mm,b值为0、1000 s/mm2。
由2名具有经验的放射科医师(工作时间分别为7年和27年)共同阅片,评估颌骨的磁共振影像学表现,包括受累的部位:上颌骨、下颌骨升支、髁突、下颌角、下颌骨体部;受累骨质形态、信号的改变:①骨髓水肿,表现为T2 Dixon水相呈高信号,而T1WI呈低信号,且至少两个层面受累,或一个层面两个部位受累;②骨质肥厚,轴位或冠状位示病变区与对侧或邻近正常骨质相比径线明显增宽,其中皮质增厚表现为T1WI、T2WI均为低信号;③脂质沉积;T2 Dixon脂相、T1WI均呈高信号;④关节受累情况:是否有积液、骨质破坏、关节融合;⑤周围软组织;扫描范围淋巴结及其他异常信号。有争议处通过讨论达成一致。
9例SAPHO综合征患者,其中4例(3例儿童/青少年,1例成人)出现皮疹,2例皮疹早于骨关节症状出现;2例皮疹晚于骨关节症状出现;其中1例的白细胞高于正常;4例的红细胞沉降率(正常为0~20 mm/h)或C反应蛋白(正常0~3 mg/L)升高,类风湿性因子(rheumatoid factor,RF)及HLA-27均呈阴性,如表1所示。

本组患者的临床和实验室指标
本组患者的临床和实验室指标
| 病例 | 性别 | 检查年龄(岁) | 首次出现皮疹年龄(岁) | 首次出现骨质症状年龄(岁) | 诊断年龄(岁) | 发病-确诊时间(年) | 其余外周关节 |
|---|---|---|---|---|---|---|---|
| 1 | 男 | 11 | — | 9 | 10 | 1 | |
| 2 | 女 | 14 | — | 11 | 13 | 2 | |
| 3 | 男 | 13 | 12 | 10 | 12 | 2 | |
| 4 | 男 | 12 | — | 10 | 12 | 2 | |
| 5 | 女 | 9 | 9 | 8 | 9 | 1 | 踝 |
| 6 | 女 | 17 | — | 14 | 17 | 3 | |
| 7 | 女 | 9 | 16 | 3 | 5 | 2 | |
| 8 | 男 | 27 | — | 18 | 26 | 10 | |
| 9 | 女 | 56 | 40 | 40 | 26 | 16 |
| 病例 | 红细胞沉降率(mm/h) | C反应蛋白(mg/L) | 手术治疗 | 寻常型银屑病 | 指甲改变 | 掌跖脓疱病 | 重度痤疮 | 抗核抗体是否阳性 |
|---|---|---|---|---|---|---|---|---|
| 1 | 7 | 6.67 | 有 | 否 | 否 | 否 | 否 | 否 |
| 2 | 18 | 3.21 | 有 | 否 | 否 | 否 | 是 | 否 |
| 3 | 1 | 2.00 | 有 | 否 | 否 | 否 | 否 | 是 |
| 4 | 4 | 0.39 | 无 | 否 | 否 | 否 | 否 | 否 |
| 5 | 5 | 2.00 | 有 | 否 | 否 | 是 | 否 | 否 |
| 6 | 7 | 0.79 | 无 | 否 | 否 | 否 | 否 | 否 |
| 7 | 4 | 0.76 | 有 | 否 | 否 | 否 | 否 | 否 |
| 8 | 23 | 20.50 | 有 | 否 | 否 | 否 | 是 | 否 |
| 9 | 46 | 5.33 | 有 | 有 | 否 | 否 | 否 | 否 |
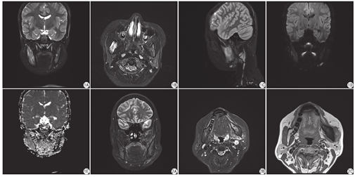
本组9例患者均有不同程度的下颌骨受累,上颌骨均未见受累。①骨髓水肿(图1A、图1B、图2A):9例均累及下颌支、下颌角,8例累及邻近下颌体部,2例髁突受累,冠突显示欠佳,但冠突区未见明显骨髓水肿,其中1例为对称性弥漫性受累,其余为非对称性;②骨质肥厚(图1A、图1B、图2B):7例累及下颌支及下颌角,6例累及下颌体部,其余6例均累及髓质,皮质线均匀完整;③4例骨髓水肿周围软组织出现少许水肿信号,仅1例颞颌关节周围肌群少许水肿,其中1例周围咬肌明显肿胀(图2B、图2C)。9例均出现多发淋巴结,表现为椭圆形、圆形,或不规则型(图1C)。1例出现上颌窦粘膜囊肿。其中1例(图1D、图1E)扩散加权成像示病变区未见明显扩散受限,ADC值为1.268×103 mm2/s,对侧正常下颌骨ADC值为1.240×103 mm2/s。


SAPHO综合征所示的颌骨慢性非细菌性炎症曾用多种术语进行描述,包括原发性慢性骨髓炎[8,9]、青少年下颌骨慢性骨髓炎[8,10]、弥漫硬化性骨髓炎[11]和慢性复发性多灶性骨髓炎[12],目前诊断主要依据为2012年Nguyen等[7]提出的诊断标准。骨关节疾病是SAPHO综合征的特征,特征性表现是前胸壁受累,1/3的患者外周骨受累[3],仅2%~10%的SAPHO患者出现颌骨病变[3,8]。本研究仅对9例SAPHO综合征颌骨有骨痛的患者纳入研究,其中8例为儿童/青少年,这与既往报道本病好发于儿童/青少年,在成人中更为罕见[5,13]相一致。本研究中男女比例为4∶5,既往报道的女性发病率较高[1,2,4],但是本组样本量少,也不具有流行病学意义。该综合征中另一特点是皮肤病变,往往与骨质病变不同步,对疾病的确诊具有提示意义[2,3],本研究中4例出现皮疹,但仅2例早于骨关节病变出现,这大大增加了诊断的难度。本研究中1例出现踝关节受累症状,表现为多灶性特点[2,3],其余至检查之日均为单病灶受累。本研究中实验室检查1例的白细胞高于正常;4例的红细胞沉降率或C反应蛋白升高,这与既往报道常规实验室检查的炎性指标通常正常或轻度升高一致[5,8,13,14]。另外,RF及HLA-27均阴性,均未合并炎症性肠炎、强直性脊柱炎,这与既往研究的10%的病例与炎症性肠炎有关,25%的病例与强直性脊柱炎有关的报道不一致,可能是样本量较少所致[15]。本组病例最终确诊经历1~16年,因此了解影像学表现可以提供重要的诊断依据。
磁共振因具有良好的软组织分辨率,能够很好地提示临床病变活动性的骨髓水肿,以及病变周围软组织的受累范围,从而为临床治疗、随访提供帮助[2],但既往仅见个案报道[13,16,17]。本研究应用Dixon技术对下颌骨病变进行统一方案扫描,其能够利用同相位和反向位一次产生单独的"水"和"脂肪"信号图像,主要表现为非对称性骨髓水肿伴骨质肥厚、硬化,其中髁突受累少见。本研究中7例呈不对称的骨质肥厚,均为髓质肥厚,这与既往研究锁骨受累的表现一致,主要是由于骨髓水肿刺激骨质肥厚,早期主要为髓质受累,随后累及皮质,后期表现为皮髓质弥漫性增厚[2]。另外,随访研究发现,即使应用部分下颌骨切除术,随着时间进展,病变依旧会进展至对侧。既往CT研究所示颌骨受累主要表现为非对称性骨质肥厚、硬化,伴有散在多发斑片状骨质破坏,而骨皮质一般相对完整[2,4,5,14,17],也有报道示病变以骨质破坏为主,而肥厚、硬化不明显,且可累及骨皮质,但很少会有颞颌关节的严重破坏和强直[8,16,17,18]。另外,CT可进行三维重建,对病变进行整体评估[4,6]。与CT比较,本研究中磁共振显示骨质硬化欠佳。既往研究表明中轴关节受累均出现脂质沉积,提示病变修复[2],但本研究中所有病变均未见脂质沉积。本研究中5例出现邻近软组织少许水肿,仅1例累及周围肌群,且仅限于咬肌肌群,未见文献报道中的颅底肌群的大范围受累[18]。周围诸牙及周围牙龈均未见明显水肿,仅1例出现上颌窦粘膜囊肿,提示病变起源于下颌骨本身,而非邻近易感部位的累及[5]。所有病例扫描范围内均可见多发淋巴结,数目虽多,部分增大短径超过1 cm,但一般呈椭圆形,且无融合倾向。1例行扩散加权成像检查,提示病变未见明显扩散受限,这与既往研究中骶髂关节受累可出现扩散受限不一致[19],下颌骨受累的扩散加权成像表现需要进一步研究。本研究也有一些局限性,如病例数相对较少,缺乏对照组,无钆增强图像等。
低毒性细菌性感染,首次以骨关节病变就诊的SAPHO综合征患者应主要与低毒性细菌性感染进行鉴别[6,8],病变可原发于血性播散,可继发于术后抗感染治疗的不完全,当处于亚急性期病变,4周后所形成的Brodies脓肿的MRI典型4层靶样改变具有特征;慢性骨髓炎的特征表现主要是死骨和包膜形成,并可伴有周围软组织脓肿或窦道形成。SAPHO综合性病变急性期主要表现为水肿,无灶性脓肿出现,慢性期表现为肥厚硬化,但无死骨及周围窦道形成。
骨纤维结构不良,多见于青少年,病变进展较慢,症状相对明显,部分可伴有内分泌症状,很少单独累及下颌骨,病变以实性成分为主,呈"磨玻璃样",病变内多有囊变,一般无出血信号,另外周围无水肿、软组织肿块可进行鉴别[20]。
佩吉特病以中老年男性多见,下颌骨受累相对罕见,血清碱性磷酸酶升高,由于所处病程阶段不同,MRI表现有较大差异,可呈海绵型、硬化性、混合型,可表现为骨质破坏,又骨质硬化,二者同时、反复进行,但患骨多有不同程度的弯曲变形,另外多无骨膜反应及软组织肿块可进行鉴别[21]。
下颌骨原发性淋巴瘤以中老年男性多见,MRI表现为T1WI呈中等或稍低信号,脂肪抑制、T2WI略高信号,特点是软组织肿物大而骨质破坏较轻,而DWI呈明显扩散受限为重要鉴别点[22]。
下颌骨原发肿瘤及转移瘤一般病史较短,转移瘤可发现原发病灶,主要鉴别点为病骨体积多无肥厚[23]。
朗格汉斯细胞组织增多症,其主要影像学表现以溶骨性骨质破坏为特征,可由单骨破坏发展为多骨破坏,由骨内发展至骨外浸透骨膜出现软组织肿块,而SAPHO综合征较少以骨质破坏为主,一般程度较轻,且伴随硬化[24]。
研究提示有临床症状超过4周,无脓、瘘等表现,原因不明的疑诊病例应积极活检[5],但是其组织病理学并无特异性,仅表现为轻度炎症细胞、淋巴细胞浸润、纤维化,但无细菌感染及肿瘤性病变的证据。因此对于SAPHO综合征的颌骨受累的诊断必须临床与影像相结合。
综上所述,磁共振可以很好地显示颌骨受累范围,不对称的下颌骨骨质肥厚合并骨髓水肿具有一定的特征,可伴有颈部多发淋巴结,这些征象有助于早期诊断,避免不必要的侵犯性的手术治疗并进行长期随访。
无。





















