
探讨小视野扩散加权成像(reduced field of view diffusion weighted imaging,rFOV DWI)评价膝关节骨挫伤骨髓水肿的可行性。
招募60例膝关节骨挫伤患者,均行矢状位质子加权成像脂肪抑制序列(proton density-weighted imaging fat-saturated,PDWI-FS)、全视野扩散加权成像(full field of view DWI,fFOV DWI)及rFOV DWI扫描。相同层面膝关节rFOV DWI、fFOV DWI的图像质量及骨髓水肿灶ADC值的比较采用配对样本t检验。3个序列对膝关节骨髓水肿灶的检出数目的比较用χ2检验。
在PDWI、全视野及小视野DWI ADC图上检出的骨髓水肿灶分别为109个、180个及179个,在PDWI上检测到的骨髓水肿灶在两种DWI技术的ADC图上几乎都能被一致地检测到,并且额外检出70个病灶。膝关节骨挫伤rFOV DWI图像质量大于fFOV DWI (P<0.05)。rFOV DWI测量的膝关节骨髓水肿平均ADC值低于fFOV DWI,差异具有统计学意义(P<0.01)。
小视野及全视野扩散加权成像ADC图对膝关节外伤性骨髓水肿的检出能力均高于PDWI-FS,而且膝关节rFOV DWI较fFOV DWI的图像质量更高,有助于诊断信心的提升。
本刊刊出的所有论文不代表本刊编委会的观点,除非特别声明
膝关节为人体下肢的负重关节,结构较复杂[1],骨挫伤为常见的膝关节损伤,骨挫伤主要由外伤引起,可导致患者出血、骨髓水肿、骨小梁骨折等[2, 3],但骨皮质及软骨处于正常状态,属于一种隐匿性疾病[4]。对于膝关节骨挫伤,X线检查无阳性征象而局部症状明显,行MRI是最佳影像学检查手段,其中扩散加权成像(diffusion-weighted imaging,DWI)通过ADC对骨髓病变进行定量分析[5]。但常规采用的全视野扩散加权成像(full field of view DWI,fFOV DWI)因扫描视野较大,且包含骨骼、软组织、液体、气体等物质使得场强不均匀,易受到磁敏感伪影、搏动伪影的干扰,导致图像质量的下降,甚至引起严重的形变[6, 7];小视野扩散加权成像(reduced field of view DWI,rFOV DWI)则采用2D空间选择性射频脉冲(2D radio frequency,2D RF)及180°回聚脉冲技术,应用价值较高[8],克服了fFOV DWI的诸多缺点,目前国内外已证实在肾上腺结节[9]、胆囊[10]、乳腺[11]、前列腺[12]、脊柱[13]等部位的可行性与应用价值,但在关节软骨和骨髓病变中的研究甚少。本文主要比较rFOV DWI与fFOV DWI序列在膝关节骨髓水肿的成像质量及参数值差异,分析rFOV DWI评价膝关节骨挫伤骨髓水肿的可行性。
招募2018年4月至2020年2月本院收治的膝关节骨挫伤骨髓水肿并行MR检查患者60例。其中男34例,女26例;年龄19~61岁,平均(40.18±4.26)岁;外伤与MR检查间隔时间1~85 d,平均(21.6±15.5) d。其中左膝病例数25例,右膝35例,合并半月板损伤33例,合并髌骨脱位或损伤15例,合并韧带损伤12例。所有患者检查前均签署知情同意书。纳入标准:(1)近3个月内有膝关节外伤史,且伴有前后交叉韧带损伤、半月板损伤、髌骨挫伤或髌骨脱臼等病史;(2)入院时膝关节表现出不同程度肿胀、局部压痛、持续性疼痛,部分有活动障碍,其承受重力能力较差;(3)无MR检查禁忌证,能配合完成相关检查。排除标准:(1)合并恶性疾病、血液病或其他系统性疾病史;(2)合并伴有严重退行性骨关节病;(3)MRI图像有明显的运动伪影,不能满足评价要求。
采用GE Discovery MR750 Plus 3.0 T超导磁共振,采用膝关节8通道相控阵线圈,受检者取仰卧位,足先进。矢状位质子加权成像(proton density- weighted imaging,PDWI)序列参数如下:翻转角142°,TR 2000 ms,TE 3.5 ms,带宽41.67 kHZ,扫描层厚3 mm,视野24 cm×24 cm,矩阵320×160,激励次数2。
fFOV DWI序列参数:TR 3000 ms,TE 65 ms,带宽250 kHZ,扫描层厚4 mm,视野240 mm×240 mm,矩阵128×64,激励次数4,b值600 s/mm2,扫描时长34 s。rFOV DWI序列参数:视野调整为240 mm×120 mm,激励方式选择Focus,其他数与fFOV DWI一致。
主观评价:fFOV DWI及rFOV DWI图像质量由两位5年以上工作经验的骨肌放射医师在GE AW4.6影像工作站进行独立评分,并屏蔽序列及临床病史等信息。采用5分法进行评价,方法如下:①病灶显示清晰程度:1分:不可见,2分:模糊可见,3分:可见,边界模糊,4分:较清晰,5分:病灶清晰。②图像变形:以T2WI图像为参照标准,1分:髌骨不能辨认,2分:髌骨形态不清,辨认困难,3分:髌骨可辨认,4分:髌骨、股骨远端、胫骨平台轻微变形,5分:髌骨、股骨远端、胫骨平台无变形。③空间分辨力:观察股骨远端、髌骨、胫骨平台、股骨内外侧肌、髌韧带、股四头肌肌腱、脂肪间隙结构。1分:结构不能辨认,2分:结构模糊,辨别困难,3分:结构显示欠清,但可辨认,4分:结构显示尚可,5分:结构显示清晰。④诊断信心:1分:病变不能诊断,2分:病变诊断困难,3分:病变尚可诊断,4分:病变可诊断,5分:病变清晰诊断。每位放射科医生综合4项指标,评估最佳序列。
根据骨髓水肿病灶在ADC图上的形态将其分为三型[14]:I型:由斑点汇合成的网状病灶。Ⅱ型:信号强度较I型增加的汇合斑块。Ⅲ型:致密斑块。
客观评价:由另外一位有5年诊断经验的骨肌放射医师在GE AW4.6影像工作站上进行,分别于PDWI-FS、fFOV DWI、rFOV DWI计算骨髓水肿检出的数目,并选取诊断信心>3分的病灶进行ROI的手工勾画,分别测量骨髓水灶的大小及信号强度,并计算病灶信噪比(signal to noise ratio,SNR)及其与周围组织的对比噪声比(contrast to noise ratio,CNR)。ADC值采用Function tool软件进行图像后处理分析,选择直径大于15 mm,且无变形区及伪影干扰的骨髓水肿灶勾画ROI,并分别计算fFOV DWI、rFOV DWI两种技术骨髓水肿的ADC值。所有测量均在同一位置重复3次,然后取平均值。
采用SPSS 21.0软件处理数据,计量资料以(±s)表示,相同层面rFOV DWI、fFOV DWI的图像质量及骨髓水肿灶ADC值的比较采用配对样本t检验,每个序列检查骨髓水肿灶数目的比较用χ2检验,P<0.05为差异有统计学意义。
膝关节rFOV DWI骨髓水肿病灶显示清晰程度评分、图像变形评分、空间分辨力评分、诊断信心评分、SNR、CNR大于fFOV DWI(P<0.05),见表1。

外伤膝关节fFOV DWI与rFOV DWI的图像质量比较
Comparison of image quality between fFOV DWI and rFOV DWI in traumatic knee joint
外伤膝关节fFOV DWI与rFOV DWI的图像质量比较
Comparison of image quality between fFOV DWI and rFOV DWI in traumatic knee joint
| 检查方法 | 病灶显示清晰程度评分(分) | 图像变形评分(分) | 空间分辨力评分(分) | 诊断信心评分(分) | SNR | CNR |
|---|---|---|---|---|---|---|
| rFOV DWI | 4.10±0.43 | 3.24±0.36 | 3.67±0.41 | 4.31±0.43 | 2.08±0.22 | 5.57±0.56 |
| fFOV DWI | 3.87±0.39 | 3.13±0.34 | 3.29±0.35 | 3.96±0.41 | 2.01±0.23 | 5.12±0.53 |
| t值 | 4.345 | 2.434 | 7.746 | 6.455 | 2.410 | 6.396 |
| P值 | <0.010 | 0.018 | <0.010 | <0.010 | 0.019 | <0.010 |
在PDWI上检出的骨髓水肿数为109,在fFOV DWI ADC图上为180,rFOV DWI上为179。在PDWI上检测到的骨髓水肿灶在两种DWI技术的ADC图上几乎都能被一致地检测到,并且额外检出70个病灶。此外,rFOV DWI较fFOV DWI发生伪影数明显减少(表2、3)。

三种序列扫描的骨髓水肿数目及伪影情况比较
Comparison of the number and artifact of bone marrow edema in three sequences
三种序列扫描的骨髓水肿数目及伪影情况比较
Comparison of the number and artifact of bone marrow edema in three sequences
| 诊断序列 | 骨髓水肿确定病灶数 | 不确定病灶数 | 抑脂不均病灶数 | 发生伪影数 | 卡方值 | P值 |
|---|---|---|---|---|---|---|
| PDWI-FS | 109 | 13 | 28 | 3 | 103.64 | <0.0001 |
| fFOV DWI ADC图 | 180 | 21 | 0 | 38 | ||
| rFOV DWI ADC图 | 179 | 20 | 0 | 20 |

两种扩散加权技术ADC图与PDWI-FS检出骨髓水肿灶的相关性
Correlation among ADC maps and PDWI-FS in the detection of bone marrow edema
两种扩散加权技术ADC图与PDWI-FS检出骨髓水肿灶的相关性
Correlation among ADC maps and PDWI-FS in the detection of bone marrow edema
| 类别 | PDWI-FS(+) | PDWI-FS(-) | 总数 | 卡方值 | P值 |
|---|---|---|---|---|---|
| fFOV DWI | |||||
ADC图(+) | 104 | 76 | 180 | ||
ADC图(-) | 5 | 110 | 115 | 83.707 | <0.001 |
总数 | 109 | 186 | 295 | ||
| rFOV DWI | |||||
ADC图(+) | 104 | 75 | 179 | ||
ADC图(-) | 5 | 107 | 112 | 82.328 | <0.001 |
总数 | 109 | 182 | 291 |
注:(+)即检出病灶数,(-)即未检出病灶数。
基于95个直径大于15 mm骨髓水肿灶,rFOV DWI测量的膝关节骨髓水肿平均ADC值[(1.08±0.11)×10-3 mm2/s]低于fFOV DWI[(1.34±0.16)×10-3 mm2/s],差异具有统计学意义(t=7.466,P<0.01)。
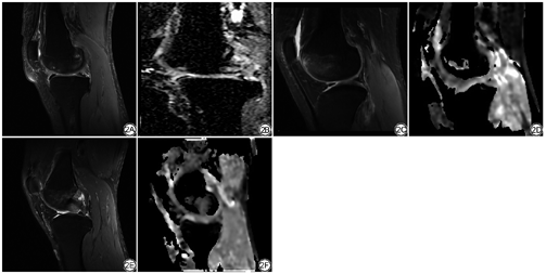
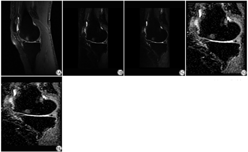
膝关节MRI示骨髓水肿灶呈絮状、小点片状、斑片状异常信号,主要为扩散性不规则或地图形,边界均不清晰,PDWI-FS、DWI均呈高信号(图1)。fFOV DWI ADC图骨髓水肿类型见图2;fFOV DWI ADC图检出的180个病灶中,Ⅰ型32个,Ⅱ型43个,Ⅲ型105个。rFOV DWI ADC图检出179个病灶中,Ⅰ型31个,Ⅱ型43个,Ⅲ型105个。




DWI经检测活体组织中水分子微观运动,可反映组织结构特点及生物学行为,ADC值则反映了局部水分子扩散能力,可对骨髓病变进行定量分析,为病变检出提供客观依据,经对受检区域ADC进行测量有一定量化性,ADC值的动态变化可提示骨髓水肿病理转归[15]。
本研究结果显示,检测膝关节外伤性骨髓水肿,ADC图较PDWI-FS更敏感,不仅能检出PDWI-FS上发现的病灶,还能检出额外病灶,ADC图上只有5个病灶因直径小于5 mm未被检出;ADC图评估也提高了髌骨等抑脂不均区域的诊断性能,与Alexis等[16]的研究结果一致。3种病灶类型分别反映了软骨下骨不同程度的冲击和创伤,Ⅰ型为轻度,Ⅱ型为中度,Ⅲ型为重度;Ⅰ型与Ⅱ型病理生理变化较小,PDWI-FS不能检出,这也可能解释了ADC图检出较多额外病灶的原因。ADC图评估能指导临床更加重视膝关节外伤后康复过程,防止创伤性骨性关节炎[17]。
rFOV DWI的膝关节骨髓水肿病灶显示清晰程度评分、图像变形评分、空间分辨力评分、诊断信心评分、SNR、CNR均大于fFOV DWI,rFOV DWI较fFOV DWI能显著提高图像质量及组织结构分辨能力,有效减少图像的变形、伪影及模糊度,达到更佳的病变显示效果,两种检查方法的差异有统计学意义。
fFOV DWI主要采用单次激发平面回波成像序列,读出时间相对较长、相位方向上带宽较窄,常导致DWI图像易受到偏振效应(磁敏感差异,B0场不均,化学位移)的影像而产生变形及伪影,也造成图像分辨率下降[18],rFOV DWI中2D RF由两个在正交方向上独立控制厚度的射频脉冲组成,分别为层面选择和相位编码方向,在这两个方向上同时选择性激发特定厚度的组织,继而缩小相位方向上FOV,减少相位编码步数,缩短EPI回波链长度及回波时间,且2D RF拥有整合B1场强信息后单独调整每个RF脉冲相位和振幅使其有更均一的反转角度优势,继而达到个体或容积特异性修正B1场的目的[12,19],因此其图像几何变形程度与磁敏感伪影减低,空间分辨率显著提高有关[20]。凌岳等[21]在小视野扩散加权成像在乳腺癌诊断中的临床应用中,rFOV DWI测得的乳腺癌腺体的ADC值低于fFOV DWI检查,说明rFOV DWI检查病灶腺体与SSEPl检查ADC值的幅度中,rFOV DWI测量更准确,图像的质量更好。本组中rFOV DWI检查外伤性骨髓水肿的ADC值为(1.08±0.11)×10-3 mm2/s,fFOV DWI的ADC值为(1.34±0.16)×10-3 mm2/s,差异有统计学意义。rFOV DWI可减少磁敏感伪影及微小血流对ADC值的影响,而血流可导致更高的ADC值,因此rFOV DWI组的ADC值稍低,Singer等[22]提出rFOV DWI可减少图像部分容积效应,提供更准确的ADC值。
本研究也存在一定不足之处,如研究样本量小;无法取得病理结果进行对照,骨髓水肿灶检出的准确性无法评估;rFOV DWI过度缩小FOV图像也可能使观察图像受限;且仅取b值=600 s/mm2进行评估,未进行b值优化的深入研究。
综上所述,小视野及全视野扩散加权成像ADC图对膝关节外伤性骨髓水肿的检出能力均高于PDWI-FS,而且膝关节rFOV DWI较fFOV DWI的图像质量更高,有助于诊断信心的提升。
This work was part of National Natural Science Foundation of China (No.81871332, 81801670).
全体作者均声明无利益冲突。





















