
肝淀粉样变性与肝窦阻塞综合征的病理发病部位同为肝窦周隙,影像学表现相似,临床表现又缺乏特异性,临床对其认识不足,容易误诊,本研究通过总结肝淀粉样变性及肝窦阻塞综合征的临床及影像特点,提高对两种疾病的诊断水平。
回顾北京佑安医院2009-2019年经病理诊断的11例肝淀粉样变性和20例肝窦阻塞综合征患者的临床及影像资料,比较其差异。
(1)肝淀粉样变性的典型临床特征是巨肝、肝功能损害轻微但碱性磷酸酶(alkaline phosphatase,ALP)和谷氨酰转肽酶(γ-glutamyl transpeptadase,GGT)显著升高,国内肝窦阻塞综合征患者多有服用土三七病史,临床多以黄疸伴肝功能受损、凝血功能障碍及糖类抗原125(carbohydrate antigen 125,CA125)增高为主要表现。(2)影像学检查:①超声肝弹性成像检查中肝淀粉样变性肝实质硬度极高(≥75 kPa),显著高于肝窦阻塞综合征患者的肝脏硬度[(44.65±19.01) kPa];②MRI上肝淀粉样变性T2WI像肝实质信号均匀、细腻,肝“纹理”减少;增强扫描肝实质强化程度减低且强化峰值延迟,静脉期肝实质呈“窗凌花”样改变,可同时伴有脾脏或肾脏的低血流灌注征象。而肝窦阻塞综合征T2WI像肝实质信号不均匀增高,可见不规则片状或呈“云絮”状稍高信号影;增强扫描门脉期肝实质可呈现地图样强化及环绕三支肝静脉的“三叶草”样强化,延迟期肝实质强化范围较门脉期进一步增大;③肝淀粉样变性肝动脉及门脉主干管径大于肝窦阻塞综合征患者(P<0.05);两者病例影像的共同点是静脉期三支肝静脉不显影或显影纤细。
肝淀粉样变性与肝窦阻塞综合征的病因、临床表现及影像学表现均存在一定的差别,可利用这些差别进行鉴别诊断。
本刊刊出的所有论文不代表本刊编委会的观点,除非特别声明
肝淀粉样变性是系统性淀粉样变的一部分,其病理上是指不溶性多纤维蛋白的异常折叠和沉积于肝窦周隙及血管壁,导致肝内循环受阻、肝细胞呈压迫性萎缩而引起的一种疾病[1, 2]。肝窦阻塞综合征是由各种原因引起的肝窦内皮细胞损害,红细胞及血液成分进入肝窦周隙,导致肝窦被挤压、变细,流出道阻塞,从而引起窦性门静脉高压的一类疾病[3, 4]。由于两者的病变部位类似,两组疾病缺乏特异性临床表现,影像学特点上也可以类似,将肝淀粉样变性与肝窦阻塞综合征区别开较为困难,容易造成误诊。本文回顾总结分析这两种疾病的临床及影像学诊断及鉴别诊断要点,以提高临床医师对本病的认识。
本研究为回顾性临床研究,收集首都医科大学附属北京佑安医院2009-2019年经病理证实的11例肝淀粉样变性患者及20例肝窦阻塞综合征患者的临床、影像及病理资料,因不涉及受试者隐私信息,经首都医科大学附属北京佑安医院伦理委员批准,免除受试者签署知情同意书。11例肝淀粉样变性患者中,男性8例,女性3例,年龄40~70岁,中位年龄为(54.4±8.4)岁。20例肝静肝窦阻塞综合征患者中,男性15例,女性5例,年龄11~75岁,平均年龄(55.5±18.5)岁。
经肝组织活检光镜下观察病理组织,(1)肝淀粉样变性的入组标准:HE染色在肝窦、中央静脉周围或汇管区可见大量均染的粉红色样物质沉积,刚果红染色为阳性、在偏振光显微镜下均染物质呈现苹果绿色,判定其为淀粉样变性。(2)肝窦阻塞综合征的入组标准:肝窦明显扩张、充血、红细胞渗出。中央静脉及汇管区小静脉内皮细胞肿胀,部分脱落,管壁纤维组织增生、变性、硬化,伴有管腔狭窄,小静脉周围毛细血管阻塞,肝细胞不同程度液化性坏死;小静脉阻塞,纤维化,相关肝索萎缩。
收集两组患者的临床资料(肝大、腹痛、腹胀、纳差、乏力、消化不良、下肢水肿、黄疸、脾大、腹水)。实验室检查指标碱性磷酸酶(alkaline phosphatase,ALP)、谷氨酰转肽酶(γ-glutamyl transpeptadase,GGT)、丙氨酸氨基转移酶(alanine aminotransfease,ALT)、谷草转氨酶(aspartate transaminase,AST)、总胆红素(total bilirubin,TBIL)、部分凝血致活酶时间(partial thromboplastin time,PTT)、肿瘤标志物、病毒标志物、自身抗体、影像学[超声、电子计算机断层扫描(computed tomography,CT)、MRI]、病理组织学以及免疫学相关资料。
对两组患者的临床资料进行两独立样本秩和检验统计学分析,对两组患者的实验室检查结果及影像学检查中的肝弹性值、肝动脉直径、门脉主干直径及脾静脉直径等进行两独立样本t检验进行统计学分析,本次试验所有数据均采用SPSS 18.0 软件进行统计分析,P<0.05表示差异有统计学意义。
11例肝淀粉样变性和20例肝窦阻塞综合征患者年龄、性别未见明显统计学差异。对两组病例的临床症状(腹痛、腹胀、纳差、乏力、消化不良、下肢水肿、黄疸、脾大)进行两独立样本秩和检验,发现除腹水以外,两种疾病的其他临床症状并无统计学差异。对两组病例的体征如:肝脏形态增大程度及是否伴有腹水进行两独立样本t检验和秩和检验统计学分析,发现两者之间差异具有统计学意义(P<0.01),肝淀粉样变性患者较肝窦阻塞综合征患者形态增大明显且多不伴有腹水。见表1。

两组患者临床资料比较
两组患者临床资料比较
| 组别 | 肝大(cm) | 腹痛(%) | 腹胀(%) | 纳差(%) | 乏力(%) | 消化不良(%) | 下肢水肿(%) | 黄疸(%) | 腹水(%) | |
|---|---|---|---|---|---|---|---|---|---|---|
| 肋下 | 剑突下 | |||||||||
| 肝淀粉样变性 | 9.18±4.49 | 8.90±5.38 | 18.2 | 72.7 | 81.8 | 81.8 | 36.4 | 18.2 | 45.5 | 36.4 |
| 肝窦阻塞综合征 | 1.25±1.68 | 1.25±1.77 | 20.0 | 95.0 | 70.0 | 55.0 | 40.0 | 25.0 | 25.0 | 95.0 |
两组患者的甲、乙、丙、戊型肝炎、HIV病毒指标、自身免疫性肝炎抗体、血清蛋白电泳、风湿免疫检测均为阴性,余指标见表2。

两组患者的实验室检查(%)
两组患者的实验室检查(%)
| 组别 | 丙氨酸转氨酶>60 U/L | 天冬氨酸转氨酶>42 U/L | 总胆红素>17.1 mol/L | 白蛋白<35 g/L | 血脂>5.7 mmol/L | 碱性磷 酸酶>115 U/L | γ-谷氨酰转肽酶升高>60 U/L | 部分凝血致活酶时间(时间延长)>13 s | 血小板(降低) <100×109 L | CA125(升高)>正常值2倍 | 尿蛋白(阳性) |
|---|---|---|---|---|---|---|---|---|---|---|---|
| 肝淀粉样变性 | 18.18 | 63.60 | 36.30 | 72.73 | 54.50 | 100.00 | 100.00 | 63.30 | 均在正常范围内 | 均在正常范围内 | 63.30 |
| 肝窦阻塞综合征 | 30.00 | 45.00 | 90.00 | 85.00 | 15.00 | 70.00 | 90.00 | 70.00 | 35.00 | 92.86 | 5.00 |
两组患者同时有肝功能异常和凝血功能的异常,包括天冬氨酸转氨酶、丙氨酸转氨酶、碱性磷酸酶、γ-谷氨酰转肽酶的升高,白蛋白的减低,总胆红素升高,PTT时间的延长及血小板的降低。所不同的是肝淀粉样变性患者的碱性磷酸酶及γ-谷氨酰转肽酶的升高程度远大于肝窦阻塞综合征患者(P<0.01),肝淀粉样变性组患者的ALP及GGT值均高出正常上限4倍多。肝淀粉样变性患者可有不同程度尿蛋白阳性(63.3%),较肝窦阻塞综合征有统计学差异(P<0.01),肝窦阻塞综合征较肝淀粉样变性患者可伴有CA125升高及PTT时间延长。
对两组病例使用两独立样本t检验对患者肝总动脉、门脉主干直径、脾静脉直径进行统计学分析,肝总动脉及门脉主干均有显著差异(P<0.01),脾静脉直径未见差异,肝淀粉样变性的肝总动脉及门脉主干直径均值大于肝窦阻塞综合征患者。肝脏顺瞬时弹性成像检查中,肝淀粉样变性患者肝实质硬度显著大于肝窦阻塞综合征患者(P<0.01)。见表3。

两种疾病的影像学特征
两种疾病的影像学特征
| 类别 | 肝淀粉样变性 | 肝窦阻塞综合征 |
|---|---|---|
| CT平扫 | 肝脏形态明显增大,大多不伴腹水,肝实质密度不均匀减低 | 肝脏形态稍增大,大多伴腹水形成,肝实质密度不均匀减低 |
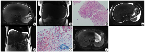
| MR T1WI/T2WI | 肝实质T1WI/T2WI信号均匀、细腻,肝“纹理”(肝实质内细小静脉等所形成的条形及同格样结构)减少(图1)。 | 肝实质T2WI信号不均匀增高,肝内见不规则片状或“云絮”状稍高信号影(图2)。另可见以第二肝门为中心环绕三支肝静脉和下腔静脉的“三叶草”样T1WI稍高T2WI稍低信号影 |
| 增强扫描 | ||
动脉期 | 肝实质未见明显异常强化,或轻度斑片状不均匀强化 | 肝实质未见明显异常强化,或轻度斑片状不均匀强化 |
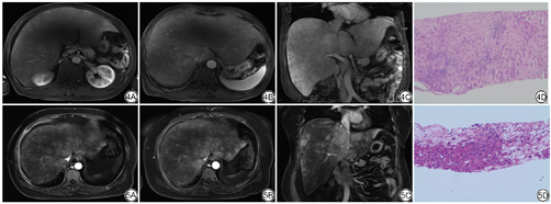
门脉期 | 肝实质强化峰值时间延迟且强化峰值减低,肝实质强化呈“窗凌花”样(图4) | 环绕三支肝静脉和下腔静脉的“三叶草”样强化,余肝实质“地图样”强化(图5) |
延迟期 | 局灶性强化减低灶,与平扫低密度区对应。肝实质强化呈“窗凌花”样 | 肝实质仍呈“地图样”或“花斑样”强化,强化范围较门脉期进一步增大 |
| 肝动脉直径(mm) | 6.00±0.39 (n=8) | 4.00±0.83 (n=20) |
| 门脉主干直径(mm) | 12.71±0.49 (n=8) | 9.73±1.93 (n=20) |
| 肝静脉显影 | 未见显影、部分显影或纤细 | 未见显影、部分显影或纤细 |
| 胆囊壁 | 增厚水肿(20/20) | 光滑(11/11) |
| 侧支循环(食管静脉曲张) | 65%,13/20 | 0,0/8 |
| 脾脏 | 血流灌注差(87.5%,7/8) | 未见异常(n=20) |
| 双肾 | 血流灌注差(37.5%,3/8) | 未见异常(n=20) |
| 肝脏超声弹性值(kPa) | ≥75 (n=5) | 44.65±19.01 (n=11) |
肝脏形态增大明显,血清碱性磷酸酶及γ-谷氨酰转肽酶升高明显而其他生化指标上升幅度相对较小可能是肝淀粉样变性的一个显著特点。本研究中90%的肝淀粉样变性患者肝脏明显增大,100%的患者ALP及γ-谷氨酰转肽酶升高显著,高出正常上限4倍多,其发生率及升高程度类似于国内报道[5, 6],高于国外报道[7]。其他的肝功能ALT、AST未见明显异常或轻微升高,总胆红素升高者占36.3%,胆红素值的进行性升高常是淀粉样变的一个恶化指标,可能是由于淀粉样物质在肝内沉积干扰了胆汁在微胆管及小胆管中的运输,出现此表现提示预后不良[8]。肝淀粉样变性属于系统性淀粉样变的一部分,系统性淀粉样变多累及多个器官,累及2个及其以上器官受累达到69%[9, 10, 11],患者除了肝脏受累之外,脾脏、肾脏、心脏受累亦十分常见,本组患者尿蛋白阳性者的比率占63.3%,提示肾脏受累可能;而肝窦阻塞综合征者一般不伴有肾功能受损,肝窦阻塞综合征是以胆红素升高伴肝功能受损、凝血功能障碍及CA125的增高为主要表现。肝窦阻塞综合征的肝功能损伤以胆红素的升高及白蛋白的降低为主,伴丙氨酸氨基转移酶、天门冬氨酸氨基转移酶、碱性磷酸酶、γ-谷氨酰转移酶也均有不同程度升高;患者PTT及APTT可正常或者轻度延长,PTA下降。与肝淀粉样变性不同的是肝窦阻塞综合征患者往往有CA125的升高,Petäjä等[12]研究发现CA125的升高是肝窦阻塞综合征的危险因素,本研究同样发现,CA125均为正常参考上限2倍以上,腹膜上皮细胞受腹水刺激生成CA125增多,同时肾脏对CA125的清除率下降,所以肝窦阻塞综合征患者CA125水平升高。但CA125升高对肝窦阻塞综合征诊断特异性不高,也常见于其他原因引起的顽固性腹水。所以CA125的增高可能为该病早期诊断和干预提供一定参考价值。




肝淀粉样变性较肝窦阻塞综合征更为罕见,影像学上肝淀粉样变性部分影像特征又与肝窦阻塞综合征影像特征相似,肝淀粉样变性容易被误诊为肝窦阻塞综合征。两种疾病的相似之处为CT平扫肝实质密度均为不均匀减低,增强扫描肝脏静脉期的不均质强化,似“地图样”改变,三支肝静脉常未见显影或显影纤细。笔者通过研究将两者的影像学鉴别总结如下:(1)肝淀粉样变性患者多表现为巨肝,大多患者不伴有腹水;而肝窦阻塞综合征患者肝脏体积则呈轻度增大,多伴有大量腹水。(2)肝淀粉样变性MRT2WI上肝实质信号均匀、质地细腻,与正常人肝脏T2WI像(图3)比较,肝“纹理”(肝实质内细小静脉等所形成的条形及同格样结构)减少;此特点的描述借鉴于国内郭勇等[13]的研究。而肝窦阻塞综合征MRT2WI信号呈不均匀增高,肝实质内可见不规则片状或呈“云絮”状稍高信号影,另可见以第二肝门为中心环绕三支肝静脉和下腔静脉的“三叶草”样T1WI稍高T2WI稍低信号影,此征象与国内外大多学者的研究也相符[14, 15, 16, 17, 18]。(3)肝淀粉样变性增强三期扫描发现肝实质强化峰值时间延迟且强化峰值减低,门脉期及延迟期强化欠均匀,门脉期及延迟期肝内可见多发的局灶性的强化稍减低灶,以门脉期为著,门脉期及延迟期的肝脏某种程度上像北方秋冬季节水蒸气遇冷后凝集在玻璃上的“窗凌花”(4A、4B、4C)。而肝窦阻塞综合征增强扫描静脉期肝实质呈“三叶草”样及“地图样”强化(5A、5B、5C)。(4)肝淀粉样变性患者肝动脉代偿性增粗,其增粗程度[6.00±0.39(n=8)]较肝窦阻塞综合征患者[4.00±0.83(n=20)]有统计学差异,产生此现象的病理生理机制尚不清晰,有待进一步研究。(5)肝淀粉样变性患者累及脾脏、肾脏亦十分常见,影像上除了肝脏的异常影像表现外,可伴有脾脏及肾脏的淀粉样物质沉积造成的脾脏或(和)肾脏的低血流灌注状态。本组8例增强患者同时伴脾脏低灌注强化差的有7例(87.5%),同时伴有肾脏灌注差的有2例(25%)。(6)肝窦阻塞综合征患者大都伴有食管胃底静脉呈轻度曲张,胆囊壁增厚水肿(>3 mm)。肝淀粉样变性患者未见此征象。
本研究中肝淀粉样变性与肝窦阻塞综合征的二维超声及肝脏瞬时弹性成像的特点与国外研究相似[19, 20, 21, 22],二维超声检查未发两组病例的明显鉴别点,肝淀粉样变性超声检查显示肝实质回声密集,不均匀减低,管道回声相对增强,类似急性肝炎的表现。肝窦阻塞综合征患者肝实质回声分布不均匀,回声增粗增密,有沿肝静脉走行的“斑片状”“豹纹状”低回声区;但肝脏顺瞬时弹性成像检查中两者出现了明显的差异,由于本院超声仪器弹性成像的阈值设在75 kPa,5例患者的硬度中位值均≥75 kPa,显著高于肝窦阻塞综合征患者的肝脏弹性。
现将肝淀粉样变性与肝窦阻塞综合征鉴别如下:(1)肝淀粉样变性患者常没有口服中药病史,多以不明原因肝脏明显肿大就诊,肝功能未见明显异常或轻微受损,但血清碱性磷酸酶及γ-谷氨酰基转移酶显著升高,影像学检查中瞬时弹性成像肝脏硬度检查明显增高(≥75 kPa),MRI上T2WI肝实质信号均匀减低,质地细腻,纹理减少;肝实质强化似“窗凌花”样改变,常同时伴有脾脏或肾脏的低血流灌注征象;(2)肝窦阻塞综合征患者多有服用土三七或吡格生物碱类药物病史,以胆红素升高伴肝功能受损、凝血功能障碍及CA125的增高为主要表现,影像检查瞬时弹性成像肝脏硬度升高但不如淀粉样变显著,MR T2WI信号不均匀增高,可见不规则片状或呈“云絮”状稍高信号影,增强肝实质呈“三叶草”样及“地图样”强化。
本研究存在以下不足之处:本研究为回顾性研究,由于肝淀粉样变性发病率低,所以样本量较少,所有资料获取均来自于病历记录,实验室检查及影像数据并不全面,存在一定的局限性,有待扩大样本量进一步研究。
全体作者均声明无利益冲突。





















