
分析MRI与脑脊液检查对颅内结核疗效评估中的价值。
回顾性分析2012年1月至2017年12月在本院进行MRI检查的400例颅内结核患者,均进行抗结核治疗,比较治疗前和治疗6个月后病变大小、数量、脑脊液生化指标(脑脊液蛋白、葡萄糖、脑脊液腺苷脱氨酶)、脑脊液细胞学指标(白细胞计数、单核细胞、中粒细胞计数、颅内压、淋巴细胞计数)。
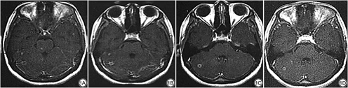
MRI影像学图片显示治疗6个月后患者的病灶数、病灶大小均减少(P<0.05),治疗6个月内病灶的消失率为71.59%(5767/8056);治疗6个月后患者的脑脊液蛋白、葡萄糖、脑脊液腺苷脱氨酶水平低于治疗前,氯化物水平高于治疗前(P<0.05);治疗6个月后患者的白细胞计数、单核细胞、中粒细胞计数、颅内压、淋巴细胞计数水平较治疗前明显降低(P<0.05);治疗6个月后MRI检查显示316例治愈,治愈率79.00%,脑脊液检查显示298例治愈,治愈率74.50%,两者检查结果比较差异无统计学意义(P>0.05), Kappa值=0.595。
抗结核治疗后患者的病灶数目和大小均降低,脑脊液各项检查指标均有所改善,颅内结核的MRI检查和脑脊液检查对患者预后情况的评估一致性较高,两者联合检测有助于医生评估治疗效果和预后。
颅内结核是结核分枝杆菌经血液循环侵入颅内引起的脑实质及脑膜的非化脓性炎症,是肺外结核中致死率、致残率最高的一种[1, 2]。当前众多临床研究证实,脑脊液蛋白定量增高,葡萄糖、氯化物水平降低是颅内结核脑脊液检查的重要特征,而颅内结核的医学影像学研究大多停留在结核病变的影像学表现、分型方面[3, 4]。随着核磁共振设备及技术的普及,MRI作为一种方便、快捷、无创的检查手段,在神经系统疾病的诊断及鉴别诊断中的应用价值已被广泛认可[5]。颅内结核患者强化抗结核治疗过程中部分出现类赫氏反应,而结核性脑膜炎患者治疗过程中部分病例脑室内出现絮状物[6]。但类赫氏反应及脑室絮状物的出现几率、发病年龄、时间、机理、MRI及临床表现、治疗原则尚待进一步研究,特别是其与脑脊液的动态变化进行相关性分析。因此充分认识颅内结核的发展、转归及其与脑脊液动态变化的相关性,对于疾病的诊断和治疗至关重要[7]。本研究通过总结分析颅内结核患者抗结核治疗过程中颅内病变的MRI演变,并将颅内结核的影像学转归与脑脊液生化、细胞学检查进行动态对照,探讨颅内结核的MRI演变与脑脊液动态变化的相互关系,旨在寻找一种便捷、无创的途径以评价临床治疗效果,并为临床治疗方案的调整提供有效的理论依据。
回顾性分析2012年1月至2017年12月本院收治的400例颅内结核患者的临床资料,对病变大小、数量对比分析,并分析、记录其同期脑脊液检查结果。纳入标准:(1)结核中毒症状;(2)活动性肺结核证据,经结合菌培养、病理发现结合感染;(3)中枢神经系统感染,颅内压>180 mmH2O (1 mmH2O≈0.0098 kPa),脑脊液白细胞数>5×106/L,葡萄糖<2.25 mmol/L,氯化物<120 mol/L,蛋白>0.5 g/L;(4)临床资料完整。排除标准:(1)脑脊液检查发现细菌、病毒、真菌、肿瘤、自身免疫性脑炎证据;(2)颅内占位性病变;(3)经抗结核治疗,临床症状无好转,颅内病灶无缩小。本研究经过本单位医学伦理委员会批准(批准文号:2020084),免除受试者知情同意。其中男279例,女121例;年龄18~63 (32.48±4.29)岁;临床表现:发热247例,盗汗189例,头痛、头晕193例,恶心呕吐145例,意识障碍34例,大小便失禁42例,视力障碍37例,偏瘫45例,抽搐28例;单纯脑实质结核247例,结核性脑膜炎139例,混合型14例。
德国西门子AVANTO 1.5 T超导核磁共振成像仪进行检查,所有患者均静脉注入钆喷酸葡胺(Gd-DTPA) 0.2 mL/kg,于注药3 min后行T1WI横断面、矢状面、冠状面扫描,设置扫描参数,T1WI序列:TR 460 ms,TE 10 ms;快速自旋回波序列T2WI:TR 4240 ms,TE 108/Ef;T1 FLAIR:TR 1769 ms,TE 19.2/Ef,TI 740 ms;T2 FLAIR:TR 8602 ms,TE 122/Ef,TI 2100 ms;扩散加权成像(diffusion-weighted imaging,DWI):TR 6000 ms,TE 98.1/FE,激励次数为2,b值为2和1000 s/mm2,扫描时间54 s,层厚5 mm,间隔1 mm。同一患者每次扫描层面尽量保持一致,以方便对颅内病变进行对比。所有MRI图像由2名副主任医师以上职称进行观察,并记录病灶数、大小、位置及形态。
在患者治疗前、治疗6个月后进行常规腰椎穿刺,取新鲜脑脊液0.5 mL,进行1000 r/min离心5 min,取上清,采用酶联免疫吸附法(Bioelisa ELX-800)检测脑脊液中的蛋白、葡萄糖、氯化物、脑脊液腺苷脱氨酶水平,所有操作均严格按照说明书进行。
在患者治疗前、治疗6个月后进行常规腰椎穿刺,取新鲜脑脊液0.5 mL,进行1000 r/min离心5 min,取上清,干燥后取出细胞学玻片进行染色,并进行光学检查,按照侯氏分类法染色,采用G92000型全自动生化分析仪(北京九强生物技术股份有限公司)检测白细胞计数、单核细胞、中粒细胞计数、颅内压、淋巴细胞计数水平,所有操作均严格按照说明书进行。
所有患者入院后均采用标准化抗结核治疗方案:异烟肼(山西云鹏制药有限公司,国药准字H14020769),剂量为10~15 mg/kg (0.6~0.9 g/d),分3次服用;利福平(郑州民众制药有限公司,国药准字H41021154),剂量为0.45 g/d (体质量小于50 kg),0.6 g/d (体质量大于50 kg);吡嗪酰胺(江苏四环生物制药有限公司,国药准字H32024174),剂量为1.5 g/d;乙胺丁醇(杭州民生药业有限公司,国药准字H33021602),剂量为15~20 mg/kg (0.75~1.00 g/d);地塞米松(天津天药药业股份有限公司,国药准字H20033553),剂量7.5~10.0 mg/d。同时给予对症支持治疗,给予降压治疗,置换脑脊液,根据病情调整激素用量,给予维生素B6辅助治疗。
以治疗满疗程停药后病情的改善程度为疗效评定标准[8],治愈:患者治疗结束2年内无复发,临床症状体征完全消失,脑脊液恢复正常;未达到治愈标准,包括病情加重或死亡。图像评判标准:MRI阴性(治愈),脑膜及脑实质平扫、增强均未见异常信号影[9]。
采用SPSS 22.0进行数据处理,计量资料采用均数±标准差表示,两组间比较采用t检验,计数资料以率表示,采用χ2检验,以P<0.05为差异有统计学意义。将治疗6个月后MRI检查的治愈结果与脑脊液检查结果进行多分类变量一致性分析,Kappa值的取值范围是k≤0.40时表明一致性很差,0.40<k≤0.60时表明中度一致性,0.60<k≤0.80时表明有较高的一致性,k>0.80时,表明有极好的一致性。
MRI影像学图片显示治疗6个月后患者的病灶数、病灶大小均减少(P<0.05),其中400例患者共检出8056个病灶,粟粒型病灶2988个,结节型病灶5068个。治疗6个月内病灶的消失率分别为96.32% (2878/2988)、57.00% (2889/5068),总的病灶消失率为71.59% (5767/8056)。见表1。

治疗前后患者的MRI影像学指标变化
治疗前后患者的MRI影像学指标变化
| 时间 | 病灶数(个) | 病灶大小(cm) |
|---|---|---|
| 治疗前 | 20.14±4.12 | 0.78±0.23 |
| 治疗后 | 13.15±2.19 | 0.26±0.11 |
| t值 | 29.962 | 40.792 |
| P值 | <0.001 | <0.001 |
治疗6个月后患者的脑脊液蛋白、葡萄糖、脑脊液腺苷脱氨酶水平低于治疗前,氯化物水平高于治疗前(P<0.05)。见表2。

治疗前后患者脑脊液生化指标的变化
治疗前后患者脑脊液生化指标的变化
| 时间 | 葡萄糖(mmol/L) | 脑脊液蛋白(g/L) | 脑脊液腺苷脱氨酶(U/L) | 氯化物(mmol/L) |
|---|---|---|---|---|
| 治疗前 | 1.73±0.45 | 1.77±0.62 | 9.65±2.12 | 105.49±5.32 |
| 治疗后 | 2.34±0.58 | 0.73±0.34 | 5.94±2.34 | 118.73±4.91 |
| t值 | 16.619 | 29.416 | 23.499 | 36.577 |
| P值 | <0.001 | <0.001 | <0.001 | <0.001 |
治疗6个月后患者的白细胞计数、单核细胞、中粒细胞计数、颅内压、淋巴细胞计数水平较治疗前明显降低(P<0.05)。见表3。

治疗前后患者脑脊液的细胞学检查的变化比较
治疗前后患者脑脊液的细胞学检查的变化比较
| 时间 | 白细胞计数(106/L) | 单核细胞 | 中粒细胞计数(106/L) | 淋巴细胞 | 颅内压(mmH2O) |
|---|---|---|---|---|---|
| 治疗前 | 413.75±75.23 | 0.03±0.00 | 0.56±0.10 | 0.73±0.13 | 258.17±46.48 |
| 治疗后 | 259.38±84.19 | 0.01±0.00 | 0.27±0.04 | 0.58±0.15 | 158.46±39.48 |
| t值 | 27.345 | 178.885 | 53.852 | 15.114 | 32.700 |
| P值 | <0.001 | <0.001 | <0.001 | <0.001 | <0.001 |


颅内结核是结核分枝杆菌通过血行播散引起的一种严重的中枢神经系统结核病,已成为威胁人类健康的结核病的重要类型之一[10]。核磁共振是一种方便、快捷、无创的检查手段,在神经系统疾病诊断、鉴别诊断中具有其他检查无法比拟的优势[11, 12]。MRI增强扫描能充分显示颅内结核病灶的大小、多少、分布情况并能显示其他影像学手段无法显示的脑膜增厚[13]。本研究利用核磁共振这一方便、快捷、无创的检查手段,将颅内结核的影像表现、病变演变进行系统分析,并将其与脑脊液生化进行对照研究,为颅内结核的治疗、转归及预后提供一种全新的评价手段,改变目前主要以脑脊液检查为指标对颅内病变情况进行判定的现状。
本研究中MRI影像学图片显示治疗6个月后患者的病灶数、病灶大小均减少,治疗6个月内病灶的消失率为71.59%(5767/8056)。当病灶直径较大时MRI表现为环形病灶,可以是规则的圆形或类圆形,也可以是不规则的环形。结节状病灶影像学表现为均质性实性结节,直径或大或小,磁共振T1加权图像呈等或略低信号,T2加权图像呈等或略高信号[14, 15]。环状病灶影像学表现为脑实质内由外周环状结构和不同信号的中心结构组成,代表病理上肉芽肿的环和干酪样坏死的中心,磁共振T1加权图像中心为低信号,肉芽肿环成等信号或略高信号,T2加权图像中心为低信号,干酪样坏死中心表现为低信号[16, 17]。提示MRI检查可清晰地显示治疗过程中病灶的类型、分布情况、大小,能够为颅内结核治疗效果的评估提供参考依据。同时研究发现,治疗6个月后患者的脑脊液蛋白、葡萄糖、脑脊液腺苷脱氨酶水平低于治疗前,白细胞计数、单核细胞、中粒细胞计数、颅内压、淋巴细胞计数、氯化物水平高于治疗前,与Wang等[18]研究一致,说明脑脊液中细胞学分析可预测结核性脑膜炎的病情进展,作为疗效评估的依据,当结核菌侵袭蛛网膜或脉络膜时,导致血管通透性增加,颅内压升高,结核菌在脑脊液中繁殖,需要消耗葡萄糖和氯化物,导致葡萄糖和氯化物减少,脑脊液中蛋白含量增加,加剧脑脊液循环通道粘连的风险[19, 20, 21, 22]。且研究还发现,治疗6个月后MRI检查显示316例治愈,占比79.00%,脑脊液检查显示298例治愈,占比74.50%,两者检查结果比较差异无统计学意义, Kappa值=0.595,提示MRI和脑脊液的动态监测对病情的评估和治疗效果的诊断一致性较好,临床治疗可以结合两种检测方式综合评估。
综上所述,MRI和脑脊液对颅内结核临床治疗效果评价一致性较高,有助于为临床治疗方法提供参考。
This work was part of Hebei Province Medical Science Research Key Project Plan (No. 20170430).
全体作者均声明无利益冲突。





















