
采用静息态功能磁共振成像评价前庭康复(vestibular rehabilitation,VR)训练对前庭偏头痛(vestibular migraine,VM)患者脑部自发神经活动的影响,探索VR训练在VM治疗中的神经病理机制。
纳入首次诊断并在6个月内未经VR训练的VM患者14例,分别在VR训练1个月前后行静息态功能MRI检查,收集患者临床相关指标,包括眩晕障碍量表(Dizziness Handicap Inventory,DHI)评分,汉密尔顿抑郁量表(Hamilton Depression Scale,HAMD)评分,汉密尔顿焦虑量表(Hamilton Anxiety Scale,HAMA)评分,观察经过VR训练后,VM患者大脑自发神经活动改变,并提取差异有统计学意义的脑区低频振幅(amplitude of low-frequency fluctuation,ALFF)值,与临床相关评分进行相关性分析。
经过1个月VR训练后,VM患者右侧岛叶及额叶三角部ALFF值明显减低,差异具有统计学意义(GRF校正,P<0.05),且经过VR训练后的VM患者右侧岛叶的ALFF值与VR训练后的DHI评分呈正相关(r=0.549,P<0.05)。
经过VR训练,VM患者右侧岛叶及部分额叶神经活动减弱,这可能是其治疗患者VM偏头痛的神经病理机制。VM患者的症状减轻程度与右侧岛叶神经活动减弱具有正相关性。
前庭性偏头痛(vestibular migraine,VM)是指以眩晕和偏头痛为主要症状的一种疾病,表现为伴有偏头痛症状的自发性或位置性眩晕[1]。1999年,Dieterich等[2]首次提出使用“前庭性偏头痛”这一术语来诊断反复眩晕伴偏头痛的患者。VM是一种很常见的疾病,好发于女性,是导致眩晕的常见原因之一。有研究显示40~50岁的女性中患病率高达5%,在偏头痛患者中,VM患者比率更是高达10.3%~21%[3, 4]。同时,VM患者通常伴有焦虑、抑郁等心理问题,严重影响患者生活质量。
前庭康复(vestibular rehabilitation,VR)训练是一种物理治疗方法,采用非药物、非创伤性、具有高度专业化设计的训练对前庭疾病患者进行治疗,能够有效缓解眩晕或头痛等不适症状,对于前庭性偏头痛、梅尼埃病、良性阵发性位置性眩晕等前庭疾患均有治疗意义[5]。前庭康复训练的主要机制是前庭适应和前庭代偿[6],是一个复杂的神经化学反应过程。目前,VR训练对VM患者产生影响的脑区及其对脑区的作用机制尚不清楚。
静息态功能磁共振成像(resting state-function magnetic resonance imaging,rs-fMRI)是近年来研究脑功能常用的方法,可以检测人脑静息状态下大脑神经元局部活动强度,反映大脑静息状态下功能的异常[7]。目前关于VR训练治疗VM患者的rs-fMRI的研究较少[8],大多数是基于形态学的研究来比较VM患者与正常对照灰质体积的改变[9, 10, 11]。本研究应用rs-fMRI技术,使用低频振幅(amplitude of low-frequency fluctuation,ALFF)指标对VM患者1个月VR训练治疗后脑功能活动的变化进行研究,探索VR训练对VM患者脑功能活动变化的影响,初步揭示VR训练治疗VM的神经作用机制。
招募2017年10月至2018年10月,在陆军军医大学第一附属医院治疗的14例诊断为VM患者,VM的诊断主要依据前庭性偏头痛诊疗多学科专家共识(2019版)[12]。所有患者均为右利手,就诊时主诉为头晕或眩晕,所有患者均为首次诊断VM,没有采取任何药物治疗。所有被试均在1个月的VR训练前后行功能磁共振检查。本研究为前瞻性研究,经陆军军医大学第一附属医院伦理委员会批准(批件号:KY2021124),所有患者均签署知情同意书。
进行MRI检查前评估所有患者生命体征,包括神经系统检查。所有被试在扫描前24 h内没有眩晕发作。如果在这个时间段内发作,将重新预约时间进行扫描。VR训练是由2名治疗师进行,他们对受试者进行评估,并拍摄视频来指导患者在家里进行训练。所有被试训练期间同时记录一份训练情况表,康复师根据他们的依从情况进行适当的加练。采用标准化问卷采集患者的临床特征和人口统计学信息。临床特征包括眩晕障碍量表(Dizziness Handicap Inventory,DHI),用于评价前庭功能;汉密尔顿抑郁量表(Hamilton Depression Scale,HAMD),用来评价抑郁症状的严重程度;汉密尔顿焦虑量表(Hamilton Anxiety Scale,HAMA),用来评估焦虑症状的严重程度。VR训练过程参阅笔者之前的研究[8]。
排除标准:(1)过去6个月内参加过VR训练;(2)有脑血管病史;(3)既往有神经或精神疾病(包括癫痫、认知障碍、前庭疾病、前庭神经炎、继发性躯体眩晕等);(4) MRI检查禁忌证(如严重抑郁或幽闭恐惧症、体内金属植入物等)。所有VM训练患者允许服用预防和急性疼痛药物[13]。1个月的VR训练期间,未服用新药或进行其他物理治疗。
使用西门子3.0 T磁共振扫描仪,扫描过程中嘱咐患者保持清醒状态。扫描常规序列包括T1WI、T2WI及T2-FLAIR序列,用来排除颅内病变。全脑静息态数据采集使用梯度回波平面成像(echo planar imaging,EPI)序列,参数如下:扫描层数36,层厚4 mm,无层间距。重复时间(repetition time,TR) 2000 ms,回波时间(echo time,TE) 30 ms,翻转角(flip angle,FA) 90°,视野(field of view,FOV) 192 mm×192 mm,矩阵(matrix) 64×64,共采集240个时间点。矢状位的3D T1结构相采集使用快速梯度回波序列(gradient recalled echo,GRE)序列,参数如下:扫描层数176,层厚1 mm,无层间距。TR 1600 ms,TE 2.6 ms,FA为9°,FOV 256 mm×256 mm,矩阵256×256。
使用SPM 8.0及DPABI软件对3D-T1WI及静息态数据进行处理及统计分析。处理过程如下:去除前10个时间点,进行时间及空间校正,剔除头动较大被试(平动≥1.5 mm,角动≥1.5°),将静息态数据配准到蒙特利尔神经研究所(Montreal Neurological Institute,MNI)的标准脑空间,去除噪声,标准化到自动标记解剖(automated anatomical labeling,AAL)模板,以3 mm×3 mm×3 mm分辨率重采样,然后采用半带宽(the full width at half maximum,FWHM)为6的高斯平滑核进行平滑处理,之后进行去线性漂移(detrend)处理,最后去除头动、全脑、白质及脑脊液的平均信号等协变量,将其进行简单线性回归,以排除它们对结果的影响。上述步骤完成后进行滤波(0.01~0.08 Hz)处理得到全脑ALFF结果。使用DPABI软件对结果进行统计学分析(配对t检验,GRF校正,P<0.05),组间比较以头动作为协变量,最后显示结果。随后提取有统计学意义改变的脑区的ALFF值。
采用SPSS 22.0软件对被试者一般临床资料及相关临床量表评分进行统计学分析,计量资料用±s表示,并将临床相关量表评分分值与提取的有统计学意义改变的脑区的ALFF值进行相关性分析,P<0.05表示差异具有统计学意义。
14例被试VM患者,女9例,男5例,女性年龄(42.22±12.82)岁,男性年龄(46.80±9.63)岁。偏头痛和眩晕发病的年龄分别为(20.21±8.11)岁和(22.14±10.08)岁。有8 (57%)例患者报告眩晕发作总是与偏头痛相关,有6 (43%)例患者偶尔发生;大多数患者表现为自发性眩晕(86%),其次是头部运动引起的眩晕(29%)。眩晕发作频率为每月1~6 d [(2.86±2.18) d/月]。眩晕发作持续时间为5 min至24 h。
表1总结了受试者基线和1个月后的临床相关评分结果,包括DHI、HAMA、HAMD评分。结果表明,与VR训练治疗前比较,治疗后的DHI评分及HAMA评分显著降低,差异具有统计学意义(P<0.05)。但训练前后HAMD评分较治疗前无明显变化,差异无统计学意义(P>0.05)。

前庭性偏头痛(VM)患者前庭康复(VR)前后临床评分(14例)
The clinical assessment of VM patients before and after VR (n=14)
前庭性偏头痛(VM)患者前庭康复(VR)前后临床评分(14例)
The clinical assessment of VM patients before and after VR (n=14)
| 评分 | VR前(±s) | VR后(±s) | P值 |
|---|---|---|---|
| 眩晕障碍量表 | 33.71 ± 18.45 | 23.14 ± 16.03 | 0.003 |
| 汉密尔顿抑郁量表 | 10.43 ± 5.65 | 6.00 ± 3.80 | 0.002 |
| 汉密尔顿焦虑量表 | 9.29 ± 6.34 | 6.43 ± 5.27 | 0.064 |
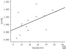
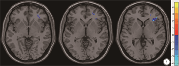
与VR治疗前比较,治疗后VM患者右侧部分额叶及岛叶ALFF值明显降低,差异具有统计学意义(GRF校正:P<0.001,表2;图1)。此外,相关性分析显示,经过VR治疗后的VM患者DHI评分与右侧岛叶ALFF值呈正相关(r=0.549,P<0.05,未校正;图2)。VM患者的其他临床特征与右侧岛叶活动无显著相关性(HAMA:r=-0.166,P>0.05;HDMD:r=-0.251,P>0.05)。

前庭性偏头痛(VM)患者前庭康复(VR)前后低频振幅(ALFF)差异显著的脑区
Brain regions with significant ALFF differences between VM patients before and after VR
前庭性偏头痛(VM)患者前庭康复(VR)前后低频振幅(ALFF)差异显著的脑区
Brain regions with significant ALFF differences between VM patients before and after VR
| 脑区 | MNI坐标 | t值 | P值 | ||
|---|---|---|---|---|---|
| x | y | z | |||
| Insula_R | 33 | 24 | 3 | -4.19 | <0.05 |
| Frontal_Inf_Tri_R | 38 | 30 | 3 | -4.14 | <0.05 |
注:MNI(Montreal Neurological Institute):蒙特利尔神经病学研究所;Insula_R :右侧岛叶;Frontal_Inf_Tri_R:右侧额下回三角部。




ALFF是研究局部大脑神经元的活动常用的指标,其可以反映局部大脑神经元的能量情况,其值越高代表局部神经元的活动越强。相较于其他脑功能分析方法,ALFF值能更直观、方便地显示局部大脑神经元的活动情况,因而广泛应用于脑功能的研究中[14]。VM发病率高,给患者带来巨大精神及身体痛苦,严重影响患者生活质量。VR能有效改善VM临床症状,根据我们的检索,本文系首次在国内报道VR训练前后VM患者有关静息态功能MRI的研究。
本研究结果显示,经过VR训练后的VM患者,右侧岛叶的ALFF值较VR训练前减低,说明经过1个月的VM训练,VM患者右侧岛叶的神经活动减低。岛叶位于颞叶内侧,是人脑第五大脑叶,具有感觉运动、嗅味觉、社会情感和认知功能[15]。先前学者研究[16]显示,岛叶主要与大脑边缘系统及顶叶及颞叶皮质相连,此外,岛叶还与内脏感觉区及内脏运动区、杏仁核、丘脑及运动联合区相连。因此,岛叶是大脑进行复杂神经活动的重要区域,为脑的广泛功能提供基础[17]。已有多个研究显示,岛叶与偏头痛有很强的相关性,被认为是偏头痛患者大脑中能转换内环境改变信号的区域,疼痛通过岛叶的调节转变为复杂行为,是偏头痛发病的“活跃中心”[18]。经过VR训练,岛叶的AFLL值明显降低,反映岛叶局部的神经元活动降低,减少了与其他各脑区的联系,从而明显改善VM患者的偏头痛症状。这可能是VR训练可以减轻VM患者偏头痛的神经病理机制之一。
在本研究中,只发现右侧岛叶ALFF值减低,表明大脑的激活/抑制可能存在不对称性。先前的多个神经影像研究[19, 20]显示,大脑神经活动具有不对称性,右侧大脑半球主要处理视觉空间和前庭系统[21]。有学者使用PET-CT研究自发性偏头痛发现,岛叶存在右侧优势激活[22]。在不同性别偏头痛患者的皮质厚度研究中,同样也发现了右侧优势[23]。可以发现,右侧大脑半球在VM的发展中起到了重要作用。本研究结果证明经过VR训练后,右侧岛叶的神经元活动可能得到不对称抑制,从而抑制VM患者右侧大脑优势激活,进而减轻偏头痛的症状。
笔者将提取到的VM患者右侧岛叶的ALFF值与经过VR治疗后的VM患者相关临床指标,包括DHI、HAMA、HAMD等指标进行相关性计算,发现DHI评分与右侧岛叶ALFF值呈正相关(P<0.05,r=0.549)。DHI量表是通过统计眩晕对患者躯体、情绪及功能等生活方面造成的负面影响及其严重程度来进行评分,帮助医生确定个性化治疗方案[24],同时可以用于评估眩晕的治疗效果及康复情况的评估[25]。DHI值越高,表示眩晕越严重。本研究结果表明,VM患者的临床症状与右侧岛叶局部神经元的激活有较强的相关性。岛叶是疼痛网络的一部分,其前部负责痛觉情绪部分的传递,与疼痛的情绪和注意力处理有关,后部则是编码疼痛强度的关键区域[26]。先前的研究也显示,岛叶是偏头痛发生发展的重要“活跃中心”[18],其广泛参与偏头痛的生理病理过程,包括心理影响、认知功能、睡眠以及自主神经功能等。因此,岛叶神经活动的减弱,有利于减轻VM患者的疼痛的程度。同时,30%~50%的偏头痛患者存在前庭症状,如恶心、呕吐等,经过VR训练后,患者的前庭功能得到很好的恢复,这也有助于提高患者的生活质量。结合本研究结果,笔者推测VR训练是通过抑制右侧岛叶的神经活动来减轻临床症状的。
除此之外,笔者还发现经VR治疗后VM患者右侧部分额叶ALFF值明显降低,说明额叶在VR康复治疗中具有一定的作用。额叶是大脑中发育最先进、最高级的部分,额叶在记忆、语言、智力及心理方面发挥重要作用。与此同时,多个研究表明,疼痛,尤其是慢性疼痛,与额叶的神经活动密切相关。De Martino等[27]的研究表明前额叶与基底神经节的连接在疼痛处理过程中起重要作用。Baliki等[28]对慢性背痛患者和健康志愿者进行了比较,结果显示持续的慢性背痛可显著激活额叶内侧部分区域,且激活的程度与慢性疼痛的强度有关。现阶段研究认为,疼痛的产生是大脑神经网络内神经元之间的相互作用的结果[29]。前额叶皮质在疼痛调控脑网络中起着重要作用[30],急性疼痛转变为持续性疼痛的受试者前额叶皮质与伏隔核的功能连接更强[31]。前额叶皮质在慢性疼痛患者中存在结构以及功能上的改变,会出现灰质体积丢失[32],而经过治疗后前额叶皮质体积可以得到恢复。这些研究都说明了前额叶在慢性疼痛的调控中起着重要作用。本研究结果显示右侧额叶三角部ALFF值在经过VR训练后显著降低,表明经过训练后VM患者右侧额叶的神经活动得到了抑制,笔者推测,正是这种抑制作用,降低了前额叶与其他脑区的功能连接和信息传递,从而改善VM患者的疼痛症状。
本研究有几个不足:(1)本研究虽为配对研究,但样本量依旧较小,可能会使结果产生一定的偏倚,今后的研究中,应增加更多的样本量纳入研究。(2)本研究虽然揭示了VM患者经过VR训练后,左侧额叶及岛叶的功能活动减弱,但VR引起其改变的具体机制及脑网络通路仍不清楚,这需要更多的研究及更多的方法(如功能连接)来阐明。(3)本研究缺乏正常对照组VR训练前后的神经活动变化的对比研究,来探索VM患者神经影像病理机制,下一步的研究可以纳入正常对照组,并在VM神经影像病理机制的基础上对VR康复的神经影像机制进行进一步探索。
综上所述,本研究通过静息态MRI的方法,发现前庭性偏头痛患者经过VR训练后,其多处ALFF值表现为降低,临床症状得到明显改善,可能是右侧岛叶及额叶的神经活动减弱的结果。此外,右侧岛叶局部神经元活动的强弱,与患者偏头痛症状严重程度相关。
National Natural Science Foundation of China (No. 81701664). National Key Research and Development Program of China (No. 2016YFC0107101).
全体作者均声明无利益冲突。





















