
多数颅内病变在T2WI上呈高信号,但部分颅内病变可表现为T2WI低信号,T2WI低信号是这类疾病的重要影像学特征,以此为基础,将这些疾病进行归纳、总结,可为临床工作提供诊断思路,缩小鉴别诊断范围,甚至可明确诊断部分疾病。颅内T2WI低信号病变种类繁杂,病理基础各不相同。作者按照病理基础将颅内T2WI低信号病变分为九大类,包括血红蛋白降解产物(脱氧血红蛋白、细胞内正铁血红蛋白及含铁血黄素)、含黑色素病变、富含黏液、蛋白、胆固醇结晶、富含细胞病变、矿物质沉积、流空效应、颅内积气、含纤维病变及凝固性坏死。对各大类下的具体疾病,概述其临床表现、病理和MRI特征,重点阐述具有诊断和鉴别诊断意义的临床特征(如年龄、性别、临床表现及实验室检查等)和MRI表现(包括病变位置、形态、邻近结构、周围水肿等)。但仅凭借T2WI低信号这一特征,有时仍难以确定诊断,因此,同时介绍了这些疾病在其他序列及增强T1WI的典型征象。结合临床和MRI其他序列表现,有助于T2WI低信号病变的诊断和鉴别诊断。T2WI颅内多种病变可表现为T2WI低信号,但它们各具特征,作者总结它们的影像学表现帮助诊断。
磁共振成像目前广泛应用于临床工作中,并且以多种优点成为中枢神经系统疾病诊断首选的影像学方法。但颅内疾病种类之多,“同病异影,异病同影”,在临床工作中若无丰富经验、细心和耐心,难以获得正确诊断,因而诊断思路至关重要。颅内病变在T2WI上多表现为高信号,而当病灶缩短T2弛豫时间时,则表现为低信号,但包括肿瘤、感染、代谢性/中毒性脑病及血管畸形等多种疾病均可表现如此。不同部位好发不同疾病,而每种疾病又具备其独特特征,笔者以T2WI低信号这一基本特征对这些疾病进行分析,介绍九大类常见T2WI低信号病变,并对每种疾病临床和MRI特征进行重点阐述,为诊断提供参考方向及思路,缩小鉴别诊断范围,提高对该表现疾病的认识,以期帮助临床提高诊断正确率。笔者对颅内T2WI低信号病变进行分析总结,以提高对该表现的认识。GRE T2*WI序列及颅骨病变不在本文论述范围之内。
正常颅内T2WI低信号结构包括硬脑膜、颅神经、血管、灰质核团。颅内血管因流空效应,表现为T2WI低信号,尤以大脑中动脉M1段、基底动脉、颈内动脉虹吸段明显。灰质核团包括苍白球、壳核、黑质、红核、齿状核等结构,它们均富含铁,可缩短T2弛豫时间[1],因而T2WI表现为低信号,且苍白球及壳核铁沉积随年龄增长而增加。
血液溢出血管外后,随着氧的消耗,血红蛋白转变为脱氧血红蛋白,为急性期,T1WI和T2WI均为低信号,以T2WI为明显。随着氧的进一步消耗,脱氧血红蛋白转变为高铁血红蛋白,进入亚急性早期,此时红细胞膜仍完整,高铁血红蛋白位于红细胞内,在T1WI上呈高信号,T2WI上呈明显低信号[2]。
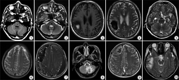
颅内出血根据部位分为脑内血肿、蛛网膜下腔出血、硬膜下血肿和硬膜外血肿。引起脑内血肿的病因有很多,包括高血压、血管畸形、凝血功能障碍、外伤、脑淀粉样血管病等,结合临床有助于病因的确定。血肿周围脑组织水肿,血肿可破入脑室,导致脑室铸形或出现血液平(图1, 2, 3, 4)。


蛛网膜下腔出血的病因包括外伤、动脉瘤破裂、动静脉畸形等(图5)。血液位于脑沟裂、脑池内和(或)脑表面,血液聚积最明显的部位多为出血处。






硬膜外血肿和硬膜下血肿多有外伤史。前者指血液积聚于硬脑膜与颅骨之间,轴位图像上呈凸透镜形,不跨越颅缝(图6)。后者指血液积聚于硬脑膜与蛛网膜之间,轴位图像上呈新月形,可跨越颅缝[3],不延伸至脑沟裂内;血肿机化后牵拉血管致其破裂再出血,则可形成液平(图7);大脑镰和小脑幕旁的血肿为硬膜下血肿。
出血性梗死指缺血性卒中后,梗死区域或梗死血管分布区出现出血灶。发病原因目前认为与卒中后血脑屏障破坏和再灌注损伤有关[4]。其影像学表现分为三型:Ⅰ型,梗死区域内可见散在小点状出血,无占位效应;Ⅱ型,多个融合的点状出血,无占位效应;Ⅲ型,血肿位于梗死组织内,体积≤30%梗死灶,并有轻微占位效应。T2WI上表现为高信号病灶内点状、斑片状低信号(图8)。
静脉性脑梗死是由于脑内静脉回流受阻引起引流区脑组织水肿、脑梗死和脑出血。临床表现主要为“雷击样”头痛、癫痫及颅内压增高症状[5]。MRI上多表现为皮层、皮层下多发或孤立性病灶,不符合动脉分布区域或大于一支动脉分布区域,可累及双侧基底节区及丘脑。静脉性出血性脑梗死T2WI上表现为高信号梗死灶内见斑片状低信号[6](图9)。发现静脉窦内血栓有助于诊断,在增强T1WI和磁共振静脉造影(magnetic resonance venography,MRV)上呈充盈缺损。
外伤可引起脑组织、软脑膜和血管撕裂,造成多发灶状出血。病灶多位于着力点及其附近,或其对冲部位[7]。早期多表现为大片状T1低信号、T2高信号水肿,其内伴有出血,信号取决于出血时期(图10)。而病变晚期由于病变区脑组织坏死、液化,瘢痕修复,软化灶形成,表现为T1低信号、T2高信号,FLAIR低信号周围可见高信号胶质增生,并伴相邻部位脑萎缩。
慢性期血肿为出血2周后的血肿,高铁血红蛋白转变为含铁血黄素,沉积于血肿的边缘,在各序列上均为低信号。大的血肿慢性期T2WI上表现为围绕高信号中心的环形低信号,可见负占位效应(图15);小的血肿可仅为条状低信号,扩散加权成像(diffusion weighted imaging,DWI)显示更清楚。
海绵状血管畸形由脑内簇状分布的异常血管组成,含铁血黄素沉积和胶质细胞变性沉积于透明变的毛细血管周围,管腔内充满血液,并伴有不同程度血栓形成。患者多无症状,或有头痛、癫痫等。多数位于幕上,幕下者常位于脑干,病变可单发或多发。MRI信号特点分为四型:Ⅰ型,亚急性出血,T1WI及T2WI均为高信号;Ⅱ型,信号混杂,典型者呈“爆米花状”;Ⅲ型,慢性出血,各序列低信号,常见于家族型海绵状血管畸形;Ⅳ型,点状微出血,仅T2*WI与SWI显示清楚。病灶一般无占位效应和灶周水肿,血管造影检查多阴性[11](图16)。
脑淀粉样血管病是由β-淀粉样蛋白在皮层动脉和软脑膜动脉壁异常沉积所引起。是老年人非外伤性及非高血压性脑出血的常见原因,随年龄增高,发病率增加,临床表现主要是脑出血、脑梗死及认知功能障碍[12]。病灶多位于皮层和皮层下,小脑、基底节区少见,MRI上可见弥漫多发微出血灶和血肿,血肿形态不规则,且病变因可反复出血,因而信号混杂[13]。SWI有助于本病的诊断(图17,18)。脑微出血(cerebral microbleeds,CMBs)目前在临床得到较多关注,CMBs主要表现为血管周围T2WI及SWI低信号。CMBs见于如阿尔兹海默病、脑淀粉样血管病、卒中等多种疾病中,对于卒中患者存在CMBs则提示可能预后较差[14]。
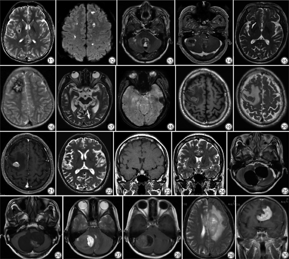
颅内含黑色素病变包括弥漫性黑色素细胞增生症、黑色素细胞瘤、脑膜黑色素瘤病和恶性黑色素瘤,其中前三者罕见,均起源于软脑膜,弥漫性黑色素细胞增生症和脑膜黑色素瘤病表现为软脑膜弥漫性增厚,后者进展迅速,T1WI呈等或高信号,T2WI呈低信号,增强后强化。恶性黑色素瘤包括原发性及转移性,转移性常见。恶性黑色素瘤和脑膜黑色素细胞瘤的MRI信号取决于肿瘤内黑色素含量和瘤内出血量,当黑色素细胞含量>10%时,才表现为典型MRI表现。其在MRI上表现可分为四型:Ⅰ型,黑色素型,表现为典型的T1WI高信号及T2WI低信号;Ⅱ型,无黑色素型,T1WI表现为等或低信号,T2WI上表现为等或高信号;Ⅲ型,混合型,此型影像表现多变;Ⅳ型,血肿型,MRI信号类似血肿[15, 16](图19, 20, 21)。
胶样囊肿几乎均位于孟氏孔处,典型者附着于第三脑室前上部。多数患者无临床症状或轻微症状,但当病灶堵塞孟氏孔处时,可引起颅高压症状。病变为球形或椭圆形,边界清楚,T1WI上多为高信号,T2WI上多为低信号,部分为等信号,主要取决于病灶内胆固醇和蛋白含量及有无顺磁性物质存在[17]。部分增强后环状强化(图22)。
起源于第四脑室顶残留的原始神经上皮组织,肿瘤镜下排列密集,核浆比高及存在促结缔组织增生成分[20]。是最常见的儿童后颅窝恶性肿瘤。超过90%的髓母细胞瘤位于小脑,其中3/4以上发生于小脑蚓部;位于小脑半球者多见于年长儿童、青年人和成人。T1WI呈等到低信号,T2WI多为等、低或高信号,信号多不均匀,囊变常见,多为小囊变,DWI上病灶呈高信号,增强后多为不均匀强化,灶周水肿不明显(图27,28)。
脑淋巴瘤镜下细胞密度高、核浆比高、纤维组织丰富[21]。任何年龄均可发病,多见于中老年人;可发生于脑内任何部位,但常发生在中线深部脑组织或邻近脑表面,容易累及胼胝体而侵犯对侧半球。病灶多为圆形或类圆形,少数为不规则形;T1WI为等或稍低信号,T2WI为等、稍低或稍高信号,囊变坏死少见;增强扫描肿瘤组织显著强化,并持续较长时间,少数呈特征性的“握拳样”强化。MRS上可见Lip峰;由于肿瘤乏血管,因而脑血容量减低,PWI上表现为低灌注[22](图29,30)。
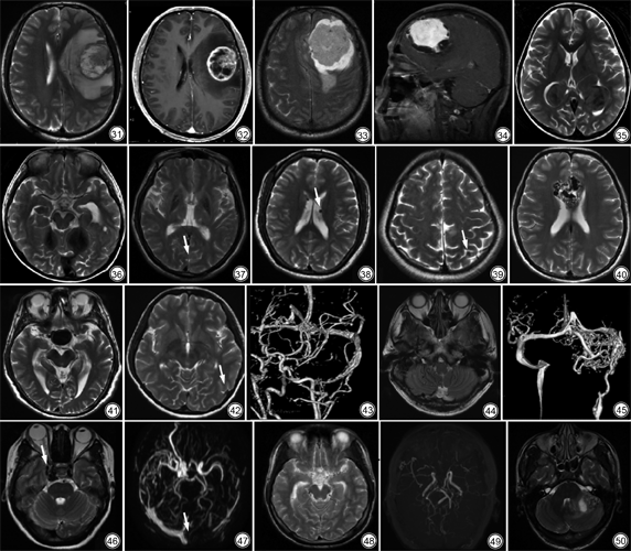
病灶多位于大脑半球皮质下白质区,发病率依次为颞叶、顶叶、额叶和枕叶。常浸润邻近皮质或通过胼胝体侵犯对侧大脑半球。肿瘤恶性程度高,生长速度快,常伴发出血、坏死、囊变。多数胶质母细胞瘤的肿瘤实质T2WI呈高信号,少数由于细胞密集[23],T2WI呈低信号。增强呈不规则厚壁花环样强化(图31,32)。MRI的作用在脑肿瘤中的应用已不止于明确诊断,术前预测、术中指导及术后预后评估均具有较大价值。依据2017年WHO中枢神经系统肿瘤最新分类,胶质瘤除传统病理类型的区分外,更是细化增加分子病理的类型,也给影像工作也提出了新的挑战。Patel等[24]研究发现T2-FLAIR不匹配可高度预测IDH突变1p/19q非共缺失胶质瘤分子亚型。MRI上除常规序列外,越来越多的序列包括常用的DWI、DCE、PWI、MRS、DTI以及不常用的IVIM、DKI、APT等加入到帮助诊断队伍中,这些序列术前分级及术后评估均具有一定价值,且可提供定量指标进行评估[25]。
脑膜瘤起源于蛛网膜粒细胞,多位于大脑凸面,好发于中年女性。T1WI上多为等信号,T2WI多为稍高信号,少数为等或低信号,信号多均匀一致,钙化明显者在T2WI上呈明显低信号。增强扫描多为均匀且明显强化,约半数见脑膜尾征;肿瘤内和(或)附近见流空信号,可使邻近颅骨增生、板障增厚,少数见颅骨破坏。部分脑膜瘤可出现囊性变,或沿颅内孔道蔓延[26]。位于鞍旁累及海绵窦时,包绕并压迫颈内动脉致其狭窄,此征象有助于与垂体腺瘤鉴别(图33,34)。人工智能除在胸部CT广泛应用外,目前国内外也有多数研究将其运用于脑膜瘤诊断,主要方面为脑膜瘤病理级别分级、鉴别诊断及瘤周水肿的评估[27]。
脂质肉芽肿病(Erdheim-Chester disease,ECD)和窦性组织细胞增生伴巨大淋巴结病(Rosai-Dorfman disease,RDD)是两种少见的组织细胞增生症。ECD多见于50~60岁的男性,95%的患者有长骨受累,半数患者具有颅内病灶。但多累及垂体柄和下丘脑,表现为漏斗增大、垂体柄强化而无形态学改变、下丘脑T2高信号。也可累及脑膜,表现为脑膜弥漫性增厚或肿块样强化[28, 29]。RDD最常见于儿童,男性略多见,最常见表现是非特异性无痛性淋巴结肿大(最常见于颈部),伴发热、血沉增快、轻度贫血。RDD累及颅内可表现为脑膜肿块样病灶,病灶内无出血及钙化,周围无水肿,罕见者累及脑室脉络丛[30]。ECD和RDD均可罕见地出现轴外肿块,类似脑膜瘤,T2WI呈低信号、骨受累、年龄和性别等有助于鉴别(图35,36)。
钙沉积出现于多种疾病中,包括甲状旁腺功能减退、假性甲状旁腺功能减退及假假性甲状腺旁腺功能减退、Fahr病、结节性硬化、颅颜面血管瘤病(Sturge-Weber综合征)、肿瘤钙化、慢性期感染等。前四种疾病,虽然其病因不同,但影像学表现类似,均表现为基底节钙沉积;CT上表现为苍白球、壳核和尾状核双侧对称粗大钙化,丘脑、皮层下白质和齿状核也可受累;T1WI高信号、T2WI低信号,T2*WI或SWI上可出现开花伪影[31](图37),确诊依赖于实验室检查。
结节性硬化几乎累及所有器官和系统,尤以脑、皮肤、肾脏、心脏表现突出,病理改变为错构瘤。典型临床表现为癫痫、智力低下、面部皮肤皮脂腺瘤三联征。中枢神经系统表现包括:皮层结节、脑白质异常、室管膜下结节、室管膜下巨细胞星形细胞瘤[32]。钙化性室管膜下结节T2WI呈侧脑室壁上类圆形低信号灶(图38)。
Sturge-Weber综合征主要特征为面部皮肤毛细血管畸形(葡萄酒痔)、软脑膜血管瘤病和青光眼[33]。软脑膜血管瘤多为单侧,好发于顶枕叶,伴不同程度脑萎缩,皮质可见不同程度曲线样钙化及脑回样脑膜强化;脑实质内静脉畸形;侧脑室脉络丛增大、强化。
颅内感染性病变慢性期出现钙盐沉积,常见于脑囊虫病吸收钙化期,T2WI呈小圆形低信号,无水肿、占位效应,无强化(图39)。
颅内多种肿瘤内可伴发钙化,包括少突胶质细胞肿瘤、节细胞胶质瘤、颅咽管瘤、脑膜瘤等。少突胶质细胞肿瘤多位于大脑皮层,可见条带状钙化,增强后无强化或轻度强化,间变者可强化明显。节细胞胶质瘤多表现为囊实性肿块,多有钙化,实性部分可见明显强化,占位效应和灶周水肿轻。颅咽管瘤多位于鞍上或鞍内鞍上,囊性或囊实性,少数可为实性,T1WI信号多变,T2WI呈高信号;囊壁和实性部分可钙化,T2WI呈弧形或片状低信号;增强后实性部分和囊壁强化。
铁在脑组织中异常代谢与沉积会引起神经细胞的损伤及死亡。帕金森病患者铁首先沉积于黑质,且随着病变进展,逐步向基底节区迁延[34]。
甲苯是工业溶剂的最重要成分,见于胶水、油漆稀释剂、墨水等,可被中枢神经系统快速吸收。长期接触甲苯可导致严重的不可逆性认知损害,在青少年和年轻的成人,这是诊断甲苯中毒的重要线索。MRI表现为广泛脑室周围白质病变,在T2WI和FLAIR上表现为高信号。以及丘脑、基底节和黑质的显著T2低信号,原因不明,可能与铁沉积有关;伴有全脑萎缩及脑室扩张和胼胝体变薄[31]。
肝豆状核变性是由铜代谢的异常所引起,可累及全身多个脏器系统,比较典型的表现是角膜K-F环、颅内基底节受累和肝硬化。最常累及豆状核,其次是脑干、尾状核、丘脑,少部分患者累及大脑皮层,部分患者出现脑萎缩。多表现为T1WI低信号T2WI高信号,少部分T2WI低信号,T2WI低信号可能是由于铜离子的过量沉积而带来的顺磁性效应所造成[35]。
血管性病变和肿瘤内异常的血管由于流空效应在T2WI上呈明显低信号。动静脉畸形位于脑实质内,由供血动脉、畸形血管团及引流静脉所组成(图40)。动脉瘤表现为与载瘤动脉相通的流空信号,较大者血流慢的部分T2WI为高信号,若瘤腔内存在血栓,多表现为混杂信号(图41)。软脑膜动静脉瘘为扩张的软脑膜动脉和静脉直接沟通,瘘口位于脑表面,脑表面的皮层静脉明显扩张,甚至可形成静脉湖(图42,43)。硬脑膜动静脉瘘为正常供应脑膜、颅骨、肌肉等的动脉与静脉窦壁内小静脉直接沟通,多发生于后颅窝,当存在皮层静脉反流时可见较多的扩张的皮层静脉(图44,45)。颈动脉海绵窦瘘是连接颈动脉与海绵窦的异常血管分流,血流可直接来源于颈内动脉海绵窦段,也可间接来源于颈内动脉或颈外动脉的硬脑膜分支[36](图46,47)。烟雾病是指一侧或双侧颈内动脉虹吸部及大脑前、中动脉起始部严重狭窄或闭塞,颅底软脑膜、穿通动脉等小血管代偿增生形成脑底异常血管网,T2WI上颈内动脉和(或)大脑中动脉流空消失,鞍上池内见多个细小紊乱的侧支血管,增强后广泛皮层血管强化呈“常春藤征”[37](图48,49)。胶质母细胞瘤、脑膜瘤、血管母细胞瘤、孤立性纤维瘤/血管外皮瘤及中枢神经细胞瘤内可见流空血管,这也成为这些肿瘤的重要鉴别点(图50)。
颅内积气常见于外伤、手术及感染。气体可积聚于脑实质、蛛网膜下腔、脑室、硬膜内外等,在各序列上均呈极低信号(图51)。
笔者总结颅内T2WI低信号的九大类常见原因以及相应的疾病,介绍了具有诊断价值的临床表现和MRI特征,其中部分疾病大部分情况下表现为低信号,而部分疾病则是在少见情况下表现为低信号,熟练掌握T2WI低信号这一基础特征,再辅以其他序列特征的联合分析,将缩小鉴别诊断范围,乃至明确诊断。
全体作者均声明无利益冲突。





















