
采用非对称采集与迭代最小二乘估算法迭代水脂分离方法(iterative decomposition of water and fat with echo asymmetrical and least-squares estimation quantitation sequence,IDEAL-IQ)定量评价慢性下腰痛患者椎旁肌肉脂肪浸润程度与Goutallier分级的相关性,同时探讨基于IDEAL-IQ脂肪分数图像MR纹理分析评价椎旁肌肉脂肪浸润的可行性。
慢性下腰痛就诊患者97例(男50例、女47例),行腰椎常规扫描序列横断位、矢状位T2WI及轴位IDEAL-IQ序列,获取L1~S1椎间盘层面椎旁腰大肌(psoas major,PS)、竖脊肌(erector spinae,ES)及多裂肌(multifidus muscle,MF)基于T2WI序列的Goutallier脂肪浸润程度分级,IDEAL-IQ序列脂肪分数(fat fraction,FF)值、横截面积(cross sectional area,CSA)值和基于FF图像的纹理特征参数。椎旁肌肉Goutallier分级组间FF值及CSA值的差异性比较运用单因素方差分析;采用Spearman秩相关检验评价椎旁肌肉Goutallier分级与FF值及CSA值的相关性;利用ROC曲线评估纹理分析参数的诊断效能,并采用Spearman相关性分析纹理参数特征值与FF值的相关性。
不同腰椎间盘层面椎旁肌肉脂肪Goutallier分级组间CSA值及FF值的差异均有统计学意义;ES、MF和PS的Goutallier分级与CSA值均存在相关性(相关系数分别为-0.512、-0.338、-0.082,P值均小于0.001);MF、ES和PS的Goutallier分级与FF值均存在相关性(相关系数分别为0.753、0.819、0.136,P值均小于0.05);纹理特征参数对椎旁肌肉Goutallier分级的诊断效能良好,其中MeanValue、Quantile0.975、Variance与椎旁肌肉FF值呈显著相关(相关系数分别为0.887、0.777、0.776),VoxelValueSum、kurtosis、skewness、uniformity、HaralickCorrelation_angle135_offset7、HaralickCorrelation_angle90_offset4、InverseDifferenceMoment_AllDirection_offset4与椎旁肌肉FF值呈强相关(相关系数分别为0.609、-0.687、-0.569、0.601、0.633、0.714、-0.604),ClusterShade_AllDirection_offset7与椎旁肌肉FF值呈中等相关(相关系数为0.497)。
慢性下腰痛患者腰椎旁PS、ES、MF的Goutallier分级与FF值及CSA值均存在相关性,而且基于IDEAL-IQ序列脂肪分数图的纹理分析评价椎旁脂肪浸润是可行的。
慢性下腰痛是指持续时间超过12周,肋缘以下和臀部上方的肌肉紧张或疼痛,伴或不伴有下肢疼痛[1]。在肌肉退化过程中,正常肌纤维形态发生变化并被脂肪组织所替代导致肌肉的功能性下降[2],且脊柱旁肌肉功能不全与腰背痛的发生和持续有关[3],因此椎旁肌肉在维持脊柱的稳定性中起着至关重要的作用[4]。
慢性下腰痛患者伴随着椎旁肌肉退行性变,主要表现为形态上横截面积减小及结构上脂肪浸润的增加[5, 6]。研究报道椎旁肌肉脂肪浸润分级Goutallier分级与年龄及腰椎疾患有一定的相关性[7],基于非对称采集与迭代最小二乘估算法迭代水脂分离方法(axial iterative decomposition of water and fat with echo asymmetrical and least-squares estimation quantitation sequence,IDEAL-IQ)的研究发现腰椎间盘突出患者的椎旁肌肉均有不同程度的脂肪浸润[8],采用基于T2WI纹理分析的方法评价有症状腰椎管狭窄患者的椎旁肌肉脂肪浸润是可行的[9]。本研究拟采用IDEAL-IQ技术评价慢性下腰痛患者椎旁肌肉脂肪浸润程度与Goutallier分级的相关性,同时探讨基于IDEAL-IQ序列脂肪分数图像的MR纹理分析评价椎旁肌肉脂肪浸润的可行性。
本研究经过武汉大学人民医院临床研究伦理委员会批准(批准文号:WDRY2021-KS001),免除受试者知情同意。回顾性分析我院2020年8月至2021年2月97名临床以慢性下腰痛行腰椎MRI检查受检者,其中男50例,女47例,年龄20~78 (51.43±14.64)岁,BMI值23.78±4.52。纳入标准:无心脏起搏器、早孕及幽闭恐惧症;剔除标准:患者有腹部或者椎旁手术及神经系统疾病史;水肿、感染性病变、接受类固醇激素/免疫治疗、急慢性骨折、畸形和良恶性肿瘤患者;Cobb角大于10°的腰椎侧弯畸形患者。
所有腰椎扫描均在3.0 T超导MR机(GE Discovery MR 750)上完成,使用全脊柱相控阵线圈,患者取仰卧位,先行常规T2WI矢状位(TR 2500 ms,TE 142 ms,宽带62.5 kHz,NEX 2,回波链长度21,层厚4 mm,层间距0.5 mm,FOV 320 mm×320 mm,矩阵512×512,扫描时长1 min 25 s),后行T2WI横断位扫描(TR 3000 ms,TE 120 ms,宽带41.7 kHz,NEX 2,回波链长度21,层厚3.5 mm,层间距0.5 mm,FOV 180 mm×180 mm,矩阵320×320,扫描时长1 min 6 s),之后再进行IDEAL-IQ横断位扫描(翻转角4°,TR 7.8 ms,TE 1.2 ms、3.2 ms、5.2 ms、7.2 ms、9.2 ms、11.2 ms,宽带125 kHz,层厚4 mm,NEX 2,回波链长度3,FOV 300 mm×240 mm,矩阵192×224,扫描时长2 min 49 s)。
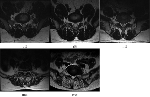
采用腰椎常规T2WI序列横断位,所有的操作均由2名3年肌骨放射诊断工作者协商一致目视评价。腰椎旁肌肉脂肪浸润分级根据Goutallier分级标准[10]:0级为无脂肪浸润,Ⅰ级为少量脂肪浸润,Ⅱ级为肌肉量大于脂肪浸润量,Ⅲ级为肌肉量等于脂肪浸润量,Ⅳ级为脂肪浸润量大于肌肉量(图1)。


应用GE AW 4.6工作站的Fat Fraction程序对扫描获得的腰椎横断位IDEAL-IQ序列中的fat fraction图像进行后处理,沿肌肉外轮廓勾画所有L1~S1椎间盘中心层面椎旁肌感兴趣区(region of interest,ROI),避开肌肉周围脂肪组织,椎旁肌ROI分别设在两侧多裂肌(multifidus muscle,MF)、竖脊肌(erector spinae,ES)和腰大肌(psoas major,PS) (图2),系统自动生成勾画区域的脂肪百分比(fat fraction,FF)及横截面积(cross sectional area,CSA),为了提高准确性,左右各测量三次取平均值。


采用Artificial intelligence kit (AK,version 3.3.0,GE Healthcare)在腰椎横断位IDEAL-IQ序列中的fat fraction图像中标注所有L1~S1椎间盘中心层面椎旁肌ROI,避开肌肉周围脂肪组织沿肌肉外轮廓标注椎旁肌ROI (图2),共获取2910个标注。每个ROI自动生成影像组学特征186个,包含直方图(histogram)特征与灰度共生矩阵(gray level cooccurrence matrix, GLCM)特征参数,为了提高特征的稳定性和可重复性,每个ROI均标注三次,提取参数三次取平均值。
所有数据按照7∶3的比例将数据随机分层抽样分为训练集2035例和测试集875例。首先对数据进行了特征预处理,用中值替代缺失值或异常值,并进行特征标准化处理;然后分别采用Spearman相关性分析(cut-off value=0.9),提取特征99个,进一步采用单因素分析(以P<0.05为差异有统计学意义),提取剩余特征98个,最后采取迭代的决策树算法(Gradient Boosting Decision Tree,GBDT)对获取的纹理分析参数进行特征选择,并最终筛选出有代表性的椎旁肌肉脂肪浸润的参数11个:MeanValue、Quantile0.975、Variance、VoxelValueSum、kurtosis、skewness、uniformity、HaralickCorrelation_angle135_offset7、HaralickCorrelation_angle90_offset4、InverseDifferenceMoment_AllDirection_offset4、ClusterShade_AllDirection_offset7。采用逻辑回归对筛选出来的特征进行建模分析,并使用曲线下面积(area under the curve,AUC)进行模型效能的评估,测试集对模型进行独立验证。
采用SPSS 24.0统计分析软件,椎旁肌肉Goutallier分级组间FF值及CSA值的差异性运用ANOVA单因素方差分析进行比较;用Spearman等级相关性分析的方法,分别计算Goutallier分级与FF值、CSA值的相关性。利用ROC曲线评估获取纹理分析特征参数的诊断效能,同时用Spearman 相关性分析纹理参数特征值与FF值的相关性,所有统计分析结果以P<0.05为差异有统计学意义。
椎旁肌肉Goutallier分级组间IDEAL-IQ序列CSA值与FF值的差异均具有统计学意义(P<0.05) (表1),且不同椎旁肌肉Goutallier分级与CSA值均存在负相关性,PS的Goutallier分级与CSA值呈弱的负相关,MF的Goutallier分级与CSA值呈中等程度的负相关;ES的Goutallier分级与CSA值呈强度的负相关(相关系数分别为-0.082、-0.338、-0.512,P值均小于0.001) (图3A~3C);

椎旁肌肉Goutallier分级组间FF (%)、CSA (mm2)差异的比较(±s)
Comparison of differences in FF (%) and CSA (mm2) between Goutallier grading groups of paravertebral muscles (x¯±s)
椎旁肌肉Goutallier分级组间FF (%)、CSA (mm2)差异的比较(±s)
Comparison of differences in FF (%) and CSA (mm2) between Goutallier grading groups of paravertebral muscles (x¯±s)
| 椎旁肌肉Goutallier分级 | 数量 | PS | ES | MF | |||
|---|---|---|---|---|---|---|---|
| FF (%) | CSA (mm2) | FF (%) | CSA (mm2) | FF (%) | CSA (mm2) | ||
| Ⅰ级 | 2375 | 10.34±3.66 | 754.54±396.85 | 12.32±4.59 | 916.82±270.93 | 13.37±4.60 | 1343.39±343.89 |
| Ⅱ级 | 350 | 24.35±1.47 | 373.97±157.74 | 29.10±3.92 | 638.85±356.14 | 28.14±4.13 | 1128.82±242.17 |
| Ⅲ级 | 48 | 36.98±1.35 | 462.18±337.02 | 35.50±3.14 | 981.11±184.36 | ||
| Ⅳ级 | 155 | 47.24±7.69 | 425.29±288.20 | 45.43±6.07 | 992.96±213.01 | ||
| F值 | 86.79 | 5.50 | 2060.74 | 132.21 | 1052.01 | 38.17 | |
| P值 | 0.019 | <0.001 | <0.001 | <0.001 | <0.001 | <0.001 | |
注:Goutallier分级:椎旁肌肉脂肪浸润程度分级;PS:腰大肌;MF:多裂肌;ES:竖脊肌;FF:脂肪含量;CSA:横截面积。


不同椎旁肌肉Goutallier分级与FF值存在正相关性,其中PS的Goutallier分级与FF呈弱的正相关,MF和ES的Goutallier分级与FF呈显著的正相关(相关系数分别为0.136、0.753、0.819,P值均小于0.05;图3D~3F)。
训练集下纹理参数特征对腰椎旁肌肉Goutallier分级Ⅰ级、Ⅱ级、Ⅲ级、Ⅳ级综合诊断的ROC曲线下面积分别为0.952、0.917、0.956、0.986,测试集下相应的ROC曲线下面积分别为0.963、0.942、0.948、0.982 (图4A~4B)。提取出纹理参数特征与椎旁肌肉FF值均具有相关性,其中MeanValue、Quantile0.975、Variance与椎旁肌肉FF呈显著相关(相关系数分别为0.887、0.777、0.776),VoxelValueSum、kurtosis、skewness、uniformity、HaralickCorrelation_angle135_offset7、HaralickCorrelation_angle90_offset4、InverseDifferenceMoment_AllDirection_offset4与椎旁肌肉FF呈强相关(相关系数分别为0.609、-0.687、-0.569、0.601、0.633、0.714、-0.604),ClusterShade_AllDirection_offset7与椎旁肌肉FF呈中等相关(相关系数为0.497)。
本研究结果显示不同椎间盘层面椎旁肌肉Goutallier分级组间FF值及CSA值差异均有统计学意义,不同腰椎旁肌肉Goutallier分级与FF值及CSA值之间均存在相关性,其间ES和MF的Goutallier分级与FF呈显著正相关,ES的Goutallier分级与CSA呈强负相关,MF的Goutallier分级与CSA呈中等程度负相关,其余均为弱相关。同时基于IDEAL-IQ脂肪分数图的纹理分析评价椎旁肌肉的脂肪浸润是可行的,且其中纹理参数特征MeanValue、Quantile0.975、Variance与FF值呈显著正相关,其余均为中等程度相关。
椎旁肌肉在维持腰椎稳定性中不可或缺,其解剖结构主要由MF、PS、ES三大肌群组成。椎旁肌肉退行性变常伴有组织形态和结构的改变,主要表现为肌肉CSA的减小和FF的增加[5, 6]。随着年龄的增长,椎间盘发生退变的同时释放出大量的炎症介质及化学物质刺激纤维环外部的神经末梢及椎旁肌肉[11],产生下腰痛的症状及对脊柱的稳定性产生影响[12]。Park等[13]的研究发现椎旁肌肉脂肪浸润与老年人矢状面轴向距离增加密切相关,会产生腰痛的症状,增加老年人的跌倒风险。本研究结果显示慢性下腰痛患者椎旁肌肉均有不同程度脂肪浸润,且不同腰椎旁肌肉Goutallier分级与FF及CSA均存在相关性。同时研究表明MF组与腰痛关系最为密切[14],özcan-Ekşi等研究发现MF脂肪浸润可能是年轻女性患者腰背痛的主要原因[15]。本研究也显示MF的Goutallier分级与FF呈显著相关,主要是因为MF位于脊柱旁间隙的深处,位于背部固有肌肉的第二层,从横突附着到2~3个椎体以上的棘突上,对控制腰椎节段性的运动及维持腰椎的稳定性有重要作用[16]。慢性腰痛患者MF逐渐被脂肪组织取代,导致肌肉萎缩、肌营养不良[5]。Urrutia等[17]的研究表明椎间盘退变程度与椎旁肌肉脂肪分数值呈正相关,Tamai等[7]研究表明Goutallier分级与腰椎前凸、重度椎间盘退变呈正相关,这些患者常常伴有慢性腰痛症状,但Tamai等只采用L4/5单层面的椎旁肌肉进行研究,而多层面的椎旁肌肉的评价更能代表整个腰椎肌肉的脂肪浸润情况[18]。
研究证实MRI通过脂肪分数及CT通过密度值能对椎旁肌肉进行定性及定量的分析[19],其中磁共振波谱及化学位移磁共振成像对椎旁肌脂肪浸润测量具有更高的准确性[20]。Burian等[21] 采用基于质子脂肪分数(proton density fat fraction,PDFF)图纹理分析的方法发现绝经后妇女腰椎椎体脂肪沉积更明显、异质性更高。Dieckmeyer等[22]基于PDFF图发现纹理分析参数方差及偏度对正常人椎旁肌力预测的准确性超过了脂肪分数,潜在地反映其量化椎旁肌肉脂肪浸润的能力。Mannil等[9]研究结果显示腰椎管狭窄患者椎旁肌肉基于T2WI直方图特征参数中的平均值与Goutallier分级相比具有更高的可信度。综上,相比于脂肪分数定量及目视化Goutallier分级,纹理分析通过提取代表性特征参数在量化椎旁肌肉脂肪浸润方面具有更高的准确性。本研究探索采用IDEAL-IQ技术的FF值评价椎旁肌肉脂肪浸润,并与Goutallier分级进行比较,同时利用纹理分析提取的相关特征与椎旁肌肉的FF值进行比较,验证了纹理分析评价椎旁肌肉脂肪浸润的可行性。本研究中椎旁肌肉多为Ⅰ级脂肪浸润,通过纹理分析量化椎旁肌肉脂肪浸润易于发现轻微的病变,这对于指导临床预防椎旁肌肉脂肪浸润而导致的腰部疾患有一定的临床意义[7,23]。
本研究的不足:(1)本试验研究队列中包括的男性受试者比女性稍多,因此在性别分布上并不均衡。(2)多项研究表明椎旁肌肉脂肪浸润程度与年龄呈明显的正相关,其中以老年人和绝经后女性为著。本试验队列中平均年龄为57岁,这也是导致本试验中Goutallier分级中Ⅲ级和Ⅳ级样本量较少的原因。(3)本试验只提取了椎间盘层面的椎旁肌肉进行分析,对于量化整个腰椎旁肌肉的脂肪浸润欠佳,对于试验结果可能有一定的影响。
综上所述,不同腰椎旁肌肉脂肪浸润Goutallier分级与PS、ES、MF组的脂肪分数与横截面积均存在相关性,基于IDEAL-IQ序列MR纹理分析评价慢性下腰痛患者椎旁脂肪浸润是可行的。
National Natural Science Foundation of China (No.81871332).
全部作者均声明无利益冲突。





















