
探讨钆塞酸二钠(gadolinium-ethoxybenzyl diethylenetriamine pentaacetic acid,Gd-EOB-DTPA)增强MRI肝胆期信号强度及直方图在评估肝脏储备功能中的价值。
回顾性研究2014年1月至2019年6月我院87例患者的临床资料及影像学资料,其中Child-Pugh A级58例、Child-Pugh B级15例、Child-Pugh C级1例;对照组肝功能正常者13例。使用单因素方差及两两比较的方法分析Gd-EOB-DTPA增强MRI肝胆期肝脏相对信号强化程度(relative enhancement at hepatobiliary phase,REHBP)及肝实质直方图参数在不同肝功能组之间的差异性。采用受试者工作特征(receiver operating characteristic,ROC)曲线评价REHBP及直方图参数在Child-Pugh A级与Child-Pugh B+C级间的诊断效能。使用Spearman相关分析REHBP、直方图参数与吲哚菁绿15分钟滞留率(indocyanine green retention rate at 15 min,ICG R15)的相关性。
REHBP、偏度、最小值、第5、10、15、20百分位数及第0.025分位数在各组间差异有统计学意义(P值分别为<0.001、<0.001、0.015、0.026、0.029、0.034、0.039、0.025,P<0.05);对照组与Child-Pugh A组间差异无统计学意义(P值分别为0.610、0.400、0.410、0.550、0.610、0.620、0.660、0.550,P>0.05),对照组与Child-Pugh B+C组(P值分别为0.017、<0.001、0.013、0.017、0.027、0.030、0.033、0.019,P<0.05)、Child-Pugh A组与Child-Pugh B+C组间差异有统计学意义(P值分别为<0.001、<0.001、0.013、0.013、0.012、0.015、0.015、0.013,P<0.05)。REHBP、偏度、最小值、第5、10、15、20百分位数及第0.025分位数诊断Child-Pugh B+C级的ROC曲线下面积(area under curve,AUC)分别为0.778、0.816、0.713、0.713、0.715、0.708、0.709及0.713。在所有患者中,REHBP、偏度与ICG R15无显著性相关(P>0.05),最小值、第5、10、15、20百分位数及第0.025分位数与ICG R15呈负相关(r=-0.274~-0.300,P<0.05);在ICG R15≥10%组中:REHBP、偏度、第5、10百分位数及第0.025分位数与ICG R15呈负相关(r=-0.390~-0.594,P<0.05);在ICG R15<10%组中:所有参数与ICG R15均无显著性相关(r=-0.027~0.153,P>0.05)。
Gd-EOB-DTPA 增强MRI肝胆期REHBP及直方图参数在一定程度上能反映肝脏储备功能,直方图参数比REHBP与ICG R15具有更高的相关性。
我国肝病患者众多,肝癌发病率高,早期、定量、准确地评估肝脏储备功能对慢性肝病患者临床治疗和肝癌患者术前评估至关重要。各种原因导致肝硬化是肝癌发生的主要危险因素,我国主要是以慢性乙型肝炎病毒感染为主[1]。2011版肝切除术前肝脏储备功能评估的专家共识指出肝切除的适应证应选择Child-Pugh A级患者,Child-Pugh B级患者只允许行小量切除,Child-Pugh C级患者是肝切除的禁忌证;吲哚菁绿15 min滞留率(indocyanine green retention rate at 15 min,ICG R15)<10%可行4个肝段的大范围肝切除[2],因此本研究将其作为分组标准。研究表明钆塞酸二钠(gadolinium-ethoxybenzyl diethylenetriamine pentaacetic acid,Gd-EOB-DTPA)增强MRI信号强度可用于评估肝储备功能[3],肝实质纹理分析定量评估肝纤维化和肝硬化有一定价值[4],肝胆期直方图分析尚少。本研究旨在探讨Gd-EOB-DTPA增强MRI肝胆期肝脏相对信号强化程度(relative enhancement at hepatobiliary phase,REHBP)及直方图参数在评估肝脏储备功能中的价值。
回顾性研究我院2014年1月至2019年6月行Gd-EOB-DTPA增强MRI符合纳入和排除标准的87例患者纳入本研究。本研究经浙江大学医学院附属第一医院临床研究伦理委员会批准(批准文号:2020IIT快审第601号),免除受试者知情同意书。纳入标准:(1)患者行Gd-EOB-DTPA增强MRI检查序列完整,图像清晰。(2)在MRI检查前后2周内进行ICG清除实验、肝生化、凝血功能常规等实验室检查。排除标准:(1)既往肝脏外科手术或介入手术;(2)胆道狭窄、梗阻或者肝门脉及主要分支栓塞;(3)肝脏弥漫性病变或肝脏巨大肿块(最大直径>3 cm);(4)肝脏铁沉积。
87例纳入者中74例肝硬化患者,男64例,女10例,年龄30~75 (53.53±11.11)岁,其中乙肝肝硬化72例,2例隐源性肝硬化;肝细胞肝癌40例,肝内胆管细胞腺癌1例,肝血管肉瘤1例,肝海绵状血管瘤1例,错构瘤1例,肝囊腺瘤1例。根据患者有无腹水、肝性脑病及实验室检查,完成Child-Pugh评分及分组:Child-Pugh A级58例,Child-Pugh B级15例,Child-Pugh C级1例;由于Child-Pugh C级只有1例,故只能与Child-Pugh B合并。无慢性肝病史肝功能正常者13例患者纳入对照组,其中男4例,女9例,年龄26~64 (48.31±12.07)岁。各组之间患者性别和年龄差异无统计学意义(P>0.05)。
采用美国GE Signa HDXT 3.0 T MR扫描仪,8通道相控阵体部线圈,从隔顶到肝脏下缘行全肝扫描。所有患者均行轴面3D肝脏容积加速采集成像(liver acquisition with volume acceleration-extended volume,LAVA—XV)预扫描及Gd-EOB-DTPA多期动态增强扫描,扫描参数:TR 3.6 ms,TE 1.5 ms,反转时间 5.0 ms,翻转角 15°,矩阵 320×256,层厚 5 mm,无间距扫描,FOV 40 cm×32 cm。预扫描后经外周静脉团注对比剂,以0.025 mmol/kg剂量1.5 mL/s的流率,以相同流率加注生理盐水20 mL,注射对比剂后行增强动脉期(25~30 s)、门静脉期(55~65 s)、平衡期(150~180 s),延迟约15 min 39 s行肝胆期扫描(由于本研究为回顾性研究,肝胆特异期扫描延迟时间范围9 min 14 s~28 min 49 s,平均为15 min 39 s)。
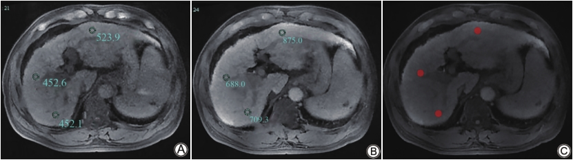
所有病例肝胆期的图像以DICOM格式从PACS (picture archiving and communication systems,PACS)导出、存储,并导入ITK-SNAP软件(http://www.itksnap.org,版本3.7.2)。两名医生分别在PACS和在ITK-SNAP软件上同时行肝胆期感兴趣区(region of interest,ROI)设置,在肝门层面分别选择左肝、右肝前叶、右肝后叶肝实质内设置面积约100±5 mm2的ROI,注意避开血管、胆管、病灶等,保持不同时相的ROI大小、位置尽量一致,以ITK-SNAP软件上肝胆期ROI为参考设置预描期ROI,在相同层面上下各加一层进行三维的勾画(如图1所示)。以左肝、右肝前叶及右肝后叶信号强度(signal intensity,SI)的均值作为全肝平均信号强度SI。肝脏增强前信号强度以SIpre表示、肝脏肝胆期信号强度以SIpost表示,根据公式REHBP=(SIpost–SIpre)/ SIpre,计算出每位患者的REHBP值。


在ITK-SNAP软件上手动勾画的ROI,由GE AK平台提取组学特征,本研究仅选择常用的纹理分析一阶直方图,如最大值、最小值,偏度、峰度,百分位数,千分位数等42个纹理特征参数进行分析。
在PACS计算肝胆期延迟时间,肝胆期显示时间减动脉期时间,加25 s注射对比剂到采集动脉期图像的时间。
使用R软件(3.3.2版本,http://www.R-project.org)统计建模。首先筛选REHBP及大量直方图参数,对筛选出的REHBP及直方图参数进行正态性检验(Shapiro检验)及方差齐性检验(Bartlett检验)。符合正态分布且方差齐性的采用单因素方差分析比较不同肝功能组间各参数的差异,并采用最小显著性差异(least significant difference,LSD)法进行组间两两比较。采用受试者工作特征(receiver operating characteristic,ROC)曲线评估REHBP及直方图参数诊断Child-Pugh A组与Child-Pugh B+C组的效能。分析REHBP及直方图参数与ICG R15的相关性,服从正态分布采用Pearson检验,不服从正态分布数据采用Spearman检验。P<0.05表示差异具有统计学意义。
对照组、Child-Pugh A组与Child-Pugh B+C组间REHBP、直方图参数偏度、最小值、第5、10、15、20百分位数值及第0.025分位数差异有统计学意义(P<0.05),随Child-Pugh分级增高呈减低趋势;两两组间比较:对照组与Child-Pugh A组间差异无统计学意义(P>0.05),对照组与Child-Pugh B+C组、Child-Pugh A与Child-Pugh B+C组间,差异有统计学意义(P<0.05) (表1)。

不同肝功能组间REHBP及直方图参数比较
Comparison of REHBP and histogram parameters among different liver function groups
不同肝功能组间REHBP及直方图参数比较
Comparison of REHBP and histogram parameters among different liver function groups
| 组别 | NLF | CPA | CPB+C | P | |||
|---|---|---|---|---|---|---|---|
| 三组间 | NLF与CPA | NLF与CPB+C | CPA与CPB+C | ||||
| REHBP | 1.05±0.35 | 1.02±0.32 | 0.72±0.21 | <0.001** | 0.610 | 0.017* | <0.001** |
| 偏度 | 0.45±0.46 | 0.31±0.34 | -0.01±0.25 | <0.001** | 0.400 | <0.001** | <0.001** |
| 最小值 | 628.38±162.54 | 604.50±121.62 | 501.13±120.04 | 0.015* | 0.410 | 0.013* | 0.013* |
| 第5百分位数 | 659.61±135.34 | 684.26±135.34 | 580.50±111.07 | 0.026* | 0.550 | 0.017* | 0.013* |
| 第10百分位数 | 713.80±137.90 | 706.48±107.46 | 602.63±107.46 | 0.029* | 0.610 | 0.027* | 0.012* |
| 第15百分位数 | 728.86±168.00 | 723.65±139.31 | 621.08±104.73 | 0.034* | 0.620 | 0.030* | 0.015* |
| 第20百分位数 | 742.62±167.98 | 739.32±140.43 | 638.40±102.09 | 0.039* | 0.660 | 0.033* | 0.015* |
| 第0.025分位数 | 681.02±164.97 | 667.16±133.05 | 564.91±113.31 | 0.025* | 0.550 | 0.019* | 0.013* |
注:NLF为对照组;CPA为Child-Pugh A组;CPB+C为Child-Pugh B+C组。REHBP为肝胆期肝脏相对强化程度。三组间采用单因素方差分析,采用最小显著性差异(least significant difference,LSD)法进行两两比较。P<0.05表示差异具有统计学意义。*:P<0.05,**:P<0.001。
REHBP、偏度、最小值、第5、10、15、20百分位数及第0.025分位数诊断Child-Pugh B+C级的ROC曲线下面积(area under curve,AUC)分别为0.778、0.816、0.713、0.713、0.715、0.708、0.709、0.713,偏度的AUC最大(表2)。

REHBP及直方图参数在Child-Pugh B+C级的诊断效能
Diagnostic performance of REHBP and histogram parameters in Child-Pugh B+C
REHBP及直方图参数在Child-Pugh B+C级的诊断效能
Diagnostic performance of REHBP and histogram parameters in Child-Pugh B+C
| 效能指标 | Child-Pugh B+C级 | ||||
|---|---|---|---|---|---|
| ROC曲线下面积(95%可信区间) | 阈值 | 准确度(%) | 特异度(%) | 敏感度(%) | |
| REHBP | 0.778 (0.652~0.905) | 0.657 | 83.8 | 50.0 | 93.1 |
| 偏度 | 0.816 (0.716~0.916) | 0.213 | 72.6 | 87.5 | 68.4 |
| 最小值 | 0.713 (0.579~0.847) | 590.500 | 60.8 | 81.3 | 55.2 |
| 第5百分位数 | 0.713 (0.586~0.839) | 699.990 | 59.5 | 93.8 | 50.0 |
| 第10百分位数 | 0.715 (0.588~0.842) | 721.980 | 58.1 | 93.8 | 48.3 |
| 第15百分位数 | 0.708 (0.581~0.836) | 702.990 | 66.2 | 81.3 | 62.1 |
| 第20百分位数 | 0.709 (0.582~0.837) | 717.920 | 66.2 | 81.3 | 62.1 |
| 第0.025分位数 | 0.713 (0.586~0.839) | 690.480 | 58.1 | 93.8 | 48.3 |
注:REHBP为肝胆期肝脏相对强化程度。
所有患者REHBP、偏度与ICG R15无显著性相关(P>0.05),最小值、第5、10、15、20百分位数及第0.025分位数与ICG R15呈弱负相关(r=-0.274~-0.300,P<0.05);以ICG R15=10%分组后,在ICG R15≥10%组26例:REHBP、偏度、第5、10百分位数及第0.025分位数与ICG R15呈负相关(r=-0.390~-0.594,P<0.05),在ICG R15<10%组,所有参数与ICG R15均无相关性(r=-0.027~0.153,P>0.05) (表3)。

REHBP及直方图参数与ICG R15相关性
Correlation between REHBP and histogram parameters and ICG R15
REHBP及直方图参数与ICG R15相关性
Correlation between REHBP and histogram parameters and ICG R15
| ICG R15分组 | 所有患者 | ICG R15<10% | ICG R15≥10% | |||
|---|---|---|---|---|---|---|
| n=87 Spearman | n=61 Spearman | n=26 Spearman | ||||
| r | P | r | P | r | P | |
| REHBP | -0.154 | 0.155 | 0.153 | 0.236 | -0.390 | 0.049 |
| 偏度 | -0.159 | 0.140 | 0.050 | 0.701 | -0.594 | 0.020 |
| 最小值 | -0.300 | 0.005 | -0.061 | 0.635 | -0.361 | 0.070 |
| 第5百分位数 | -0.282 | 0.008 | -0.036 | 0.780 | -0.414 | 0.035 |
| 第10百分位数 | -0.283 | 0.008 | -0.040 | 0.755 | -0.399 | 0.043 |
| 第15百分位数 | -0.279 | 0.009 | -0.045 | 0.727 | -0.386 | 0.051 |
| 第20百分位数 | -0.274 | 0.010 | -0.048 | 0.713 | -0.386 | 0.051 |
| 第0.025分位数 | -0.278 | 0.009 | -0.027 | 0.836 | -0.398 | 0.044 |
注:REHBP为肝胆期肝脏相对强化程度。P<0.05表示差异具有统计学意义。
目前,临床常用评估肝脏储备功能的方法有Child-Pugh评分、ICG清除实验及肝脏体积测量等[2], 但以上方法均存在一定局限性,对于慢性肝病患者及肝脏肿瘤患者术前评估,临床医生需要精准量化的数据。Gd-EOB-DTPA增强MRI肝胆期肝细胞对对比剂的特异性摄取,可以测量肝实质、胆道信号、T1值或纹理参数用于评估肝脏储备功能。信号强度测量简单易行,但受射频放大器、接收器线圈等技术参数的影响[5],且与钆对比剂浓度之间并非线性关系[6],因此信号强度可信度有待进一步验证。
Lambin等[7]提出基于数据分析方法提取有用价值特征来指导临床决策的影像组学概念。灰度直方图为纹理分析的一级特征,描述医学图像中每个灰度级出现的频率,无直接生理意义,但这种描述性特征将组织结构和功能特征可视化。Park等[8]利用Gd-EOB-DTPA增强MRI肝胆期图像建模分析肝纤维化患者纹理特征评估肝纤维化程度有较高的价值。Ippolito等[9]研究结果显示肝胆期肝肌比率与Child-Pugh评分和MELD评分相关性显著。刘茂童等[10]认为细胞分数能有效地评估慢性乙肝患者肝脏储备功能。研究结果显示REHBP、偏度、最小值、第5、10、15、20百分位数值及第0.025分位数差异有统计学意义。偏度表示变量分布的不对称程度,偏度的绝对值越大表示越不对称,反之越对称。百分位数表示低于该值所观察对象的百分比,反映ROI内微小的变化,百分位数越高表示病变异质性大,反之差异小。对照组与Child-Pugh A组间,差异无统计学意义,可能在肝硬化期早期,患者肝功能储备尚充足,肝脏Gd-EOB-DTPA摄取量尚未显著下降及肝纤维化病理变化轻微,故REHBP及直方图参数差异较小,与以往研究结果一致[11]。
本研究中REHBP、偏度、最小值、第5、10、15、20百分位数值及第0.025分位数诊断Child-Pugh B+C级的AUC分别为0.778、0.816、0.713、0.713、0.715、0.708、0.709、0.713;特异度分别为50.0%、87.5%、81.3%、93.8%、93.8%、81.3%、81.3%、93.8%。周纬[12]等利用列线图预测模型预测Child-Pugh B+C级肝脏储备功能的诊断效能在训练集和测试集AUC分别为0.88和0.86,本研究结果与之相近。既往研究表明肝脏MR图像纹理分析可有效的用于肝脏纤维化分期的评估[4,13, 14, 15],本研究与之具有较好一致性。Wu[14]等对慢性丙型肝炎患者MR纹理进行研究,结果显示Gd-EOB-DTPA肝胆期具有一定的优势。朱祖辉等[16]兔肝纤维化实验显示钆塞酸二钠T120 min鉴别诊断≥F1、≥F2、≥F3、≥F4的AUC值分别为0.90、0.93、0.93、0.92,进一步证实钆塞酸二钠增强MRI能定量有效地评估HF分期。
Gd-EOB-DTPA与ICG具有相同的转运路径[17,18]。本研究显示所有患者REHBP、偏度与ICG R15无显著性相关(P>0.05),最小值、第5、10、15、20百分位数及第0.025分位数与ICG R15呈负相关(P<0.001;r=-0.274~-0.300)。Haimerl[3]的研究显示肝胆期肝脏相对信号强化程度与ICG血浆消失率显著性相关(P<0.001;r=0.702)。虽然本研究结果与文献报道一致,但相关性较弱,原因分析如下:本研究为回顾性研究,纳入样本较少,可能存在患者选择性偏倚;肝胆期延迟时间范围较大,对结果可能有影响;由于SI强度是一个相对的数值,受射频放大器使用接收的线圈等技术的影响,重复性差[5],易受到操作者的影响。既往研究表明不同的肝胆期延迟时间、不同肝功能肝实质信噪比峰值的时间点并不一样[19]。肝胆期以肝实质信号高于肝脏血管信号,观察到Gd-EOB-DTPA排泄至胆道系统为特征[20],本研究肝胆期图像均满足要求。国内专家共识[2]建议Child-Pugh A级患者ICG R15<10%可行4个肝段的大范围肝切除,因此本研究以ICG R15=10%为界进行分组。ICG R15≥10%组26例包括Child-Pugh B+C级16例和10例Child-Pugh A级,由于Child-Pugh评分系统腹水、肝性脑病等主观性较强,肝性脑病早期较隐匿等原因存在偏差。ICG R15≥10%组26例,REHBP、偏度、第5、10百分位数及第0.025分位数与ICGR 15呈负相关(r=-0.390~-0.594,P<0.05),相关性显著性提高,其中偏度与ICG R15的相关性达到-0.594,ICG R15分组后相关性显著提高的原因可能与下列因素有关:本研究实验组中病例大部分患有乙型肝炎及不同程度的肝纤维化、细胞外基质过度沉积、异常分布,进一步引起肝小叶结构紊乱,结节再生,假小叶形成,从而导致肝硬化,进一步引起肝功能不全[21]。肝脏结构的变化与肝脏储备功能高度相关,本研究所应用的Gd-EOB-DTPA 增强MRI REHBP及直方图参数,尤其是偏度参数,可以一定程度反映肝脏结构的异质性或不对称性,因此,可以用来反映肝脏的储备功能。
此外本研究尚存在以下不足:(1) Child-Pugh C级患者只有一例,故只能与Child-Pugh B合并;(2)本研究应用肝实质局部ROI的信号强度及直方图参数进行全肝功能的评估,结果可能有一定偏差。
综上所述,Gd-EOB-DTPA 增强MRI肝胆期REHBP及直方图参数在一定程度上能反映肝脏储备功能,直方图参数比REHBP与ICG R15具有更高的相关性。
Public Fundamental Welfare Projects of Zhejiang Province (No.LSD19H180003).
全部作者均声明无利益冲突。





















