
探讨儿童中枢神经系统非典型畸胎样/横纹肌样瘤(atypical teratoid/rhabdoid tumor,AT/RT)的影像表现,提高对该肿瘤的诊断水平。
回顾性分析2017年6月~2021年1月经病理证实的9例(男4例,女5例) AT/RT患儿的临床和影像资料。
患儿中位年龄19个月,年龄范围5个月~39个月,原发灶位于幕下5例,幕上1例,幕上、幕下同时受累3例。瘤体最大径49.9±18.3 mm,伴有偏心囊变7例,瘤体出血6例,脑转移3例,脑、脊髓同时转移1例;瘤体实性成分在CT上以等或高密度为主,MRI T2WI信号混杂,DWI上瘤体实性成分呈高信号,ADC图为低信号,瘤体强化模式多样。
小儿中枢神经系统AT/RT具有一定特征性影像表现,有助于诊断。
非典型畸胎样/横纹肌样肿瘤(atypical teratoid/rhabdoid tumor,AT/RT)是一种罕见的中枢神经系统高度侵袭性肿瘤,好发于3岁以下的儿童。组织学上含有横纹肌样肿瘤细胞以及原始神经外胚层、间叶和上皮成分,类似畸胎瘤,但缺乏生殖细胞标记而被命名为AT/RT。其存在特征性的遗传学改变,荧光原位杂交(fluorescence in situ hybridization,FISH)法检测INI1 (integrase interactor 1)基因或BRG1 (Brahma-related gene 1)基因的突变或缺失是诊断AT/RT的敏感且高度特异方法。2016年WHO中枢神经系统肿瘤分类中,将其列为中枢神经系统胚胎性肿瘤独立亚型之一。其症状性前驱期短、肿瘤生长迅速、体积大、容易沿脑脊液播散、患儿预后极差。回顾性分析9例经病理证实AT/RT的临床及影像表现,提高对此类疾病认识。
本研究通过首都医科大学附属北京儿童医院医学伦理委员会批准,免除受试者知情同意,伦理批文编号:[2021]-E-095-R。
本文为回顾性研究,收集2017年6月至2021年1月期间就诊于我院的9例中枢神经系统AT/RT患儿临床及影像资料,所有患儿均经手术切除并术后病理确诊。其中男4例,女5例,年龄5~39个月,中位年龄19个月,首次就诊时主要临床症状为呕吐、嗜睡、走路不稳、眼球运动障碍、肢体肌力下降等。
9例患儿均行头颅CT平扫检查。CT检查采用 GE Discovery CT750 HD螺旋CT机,管电压120 kV,采用Z轴自动管电流调节技术,螺距为1.735;噪声指数设定为14;采集层厚5 mm,层间距5 mm,重建间隔0.625 mm。
6例患儿行头颅MRI常规平扫+增强检查,2例患儿行头颅MRI常规平扫+增强+SWI检查;1例患儿因病程重,手术时间紧急仅行头颅MRI常规平扫检查。所有患者均在口服水合氯醛(0.5 mL/kg)镇静状态下,采用Philips 3 T TX磁共振扫描仪,32通道头线圈进行扫描。常规头颅扫描:矢状位T1WI:TR 2358 ms,TE 13 ms;横轴位T1WI:TR 2473 ms,TE 13 ms;T2WI:TR 3000 ms,TE 100 ms;T2 FLAIR:TR 7000 ms,TE 120 ms,矩阵350×220;DWI:TR 7000 ms,TE 120 ms,矩阵148×113;同时计算出表观扩散系数ADC图(apparent diffusion coefficient,ADC)和指数表观扩散系数eADC图(exponential apparent diffusion coefficient,eADC),层厚5 mm,层间距1 mm,FOV 200 mm×170 mm,横轴位扫描平行前后连合间线;磁敏感加权成像(susceptibility weighted imaging,SWI)采用Vein-Bold 3D-FFE序列,TR 8 ms,TE 25 ms,翻转角15°,激励次数1,通过Philips工作站SWI后处理软件得到校正的相位图和强度图,再对强度图进行最小密度投影(minimum intensity projection,Min IP),层厚与层间距之和为6 mm,共获得24层Min IP图像。MRI增强扫描均采用T1WI增强扫描,包括轴位,矢状位和冠状位,采用钆喷酸葡胺注射液(Magnevist)对比剂,高压注射器以0.8~2.0 mL/s推注,剂量0.1 mmol/kg。
所有CT、MRI影像资料由2名工作10年以上放射科医师独立评估,确定肿瘤的部位、大小、形态、密度及信号特点、瘤周水肿、强化方式、占位效应及侵犯和转移情况,最终达成一致诊断意见。绘制感兴趣区(region of interest,ROI)对肿瘤进行平均ADC值测量。ROI选择对应MRI增强图像强化最显著的肿瘤实性部分,测量范围(30~40) mm2,选取3个ROI分别测量其ADC值并记录平均值。测量时注意避开瘤内囊变坏死、出血及钙化区域。
5例幕下肿瘤位于左桥臂1例,小脑蚓4例,其中1例小脑蚓肿瘤伴有右颞枕叶及脊髓转移;1例幕上肿瘤位于右额颞叶脑实质内;3例幕上幕下同时受累肿瘤:1例沿中脑导水管、第四脑室铸型生长并伴蛛网膜下腔、小脑半球多发转移结节,1例沿四叠体池和第三脑室生长同时伴有左侧脑室转移,1例位于第四脑室和第三脑室后部同时伴有左颞叶单发转移结节。9例肿瘤原发灶最大径30~90 (49.9±18.3) mm。
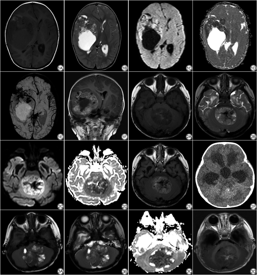
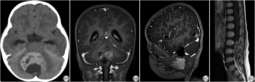
8例患儿头颅CT平扫示肿瘤实性成分呈等密度1例,高密度4例(图2F,4A),混杂密度3例,5 (5/8)例可见点状钙化(图2F);1例患儿初就诊时头颅CT平扫未见明确病灶,7个月后头颅MR平扫+增强发现右额颞叶巨大囊实性占位性病变(图1A~F)。




肿瘤实性为主7例、囊实性2例;8例有明确囊变,囊变分布于外周6例(图1B,2B,3B,4A)、分布于中央1例、弥漫分布小囊变1例;6例伴有瘤内出血(图1E,2B,3A),其中1例相应SWI幅值图表现为多发斑片状明显低信号(图1E);伴有脑转移3例,同时伴有脑、脊髓转移1例(图4C,4D);病变在T1WI上呈等信号3例,稍低信号1例(图2A),混杂信号5例(图1A,3A),T2WI上呈等信号3例,混杂信号6例(图1B,2B,3B);高b值DWI上,瘤体实性成分呈中等高信号2例,明显高信号7例(图1C,2C),9例ADC图均表现为明显低信号(图1D,2D,3C),对应平均ADC值(ADCmean)范围为(0.42~0.60)×10-3 mm2/s;伴有明显瘤周水肿1例(幕上脑实质病变),伴轻中度瘤周水肿5例,无明确瘤周水肿3例;伴有幕上脑室扩张6例,其中5例同时伴有不同程度室旁水肿;增强扫描肿瘤实性成分不均匀强化,其中轻中度强化4例(强化区域分布:沿实性区域弥漫分布2例,条片状分布1例,环形曲带样分布1例),明显强化5例[中央放射状分布1例(图3D),多结节堆积状分布2例,环形曲带样分布2例(图1F,2E)]。
术中病理示瘤体血供不丰富1例,血供中等1例,血供丰富5例,血供极丰富2例。8例患儿INI-1蛋白均表达缺失,1例患儿免疫组化结果不详。9例患儿肿瘤细胞增殖指数Ki-67 (+) 40%~90%,平均Ki-67 (+)达60%。
AT/RT是一种罕见的中枢神经系统胚胎性肿瘤[1]。位于染色体22q11.2的SMARCB1 (又称hSNF5/INI1)基因或位于染色体19p13.2的SMARCA4 (又称BRG1基因)发生突变或缺失为其特征性的遗传学改变[2,3],INI1基因的缺失或突变发生在大约75%到98%的AT/RT患儿中[2,4],本组8例患儿INI1检测均为(-)。该肿瘤具有高度侵袭性生物学行为,易播散转移、总体预后极差,中位生存期不到一年[5]。AT/RT主要见于3岁以下儿童,约占1岁以内儿童脑肿瘤发病率的第三位[6],占3岁以下儿童中枢神经系统肿瘤的6.7%[7],本组8例(8/9)患儿初次就诊年龄小于3岁。Tekautz等学者通过对31例AT/RT患儿进行回顾性分析发现年龄越小患儿越容易发生脑脊液转移、预后也更差[8],本组病例确诊时伴有转移的4例患儿年龄分别为5个月、13个月、14个月、32个月,与Tekautz所述小年龄患儿更易发生脑脊液转移一致。多项研究发现患儿首次确诊年龄、初次确诊时是否发生脑脊液转移、肿瘤的切除范围以及术后早期放疗与预后密切相关[9, 10, 11, 12]。本组1例32个月女性患儿初次就诊时伴有脑和脊髓转移,手术切除原发灶后进行化疗,术后6个月复查时部分脊髓播散灶较前明显,术后7个月时患儿因头痛再次就诊并预约头颅核磁检查,但因患儿不配合家长取消检查,此后患儿失访。虽然文献曾报道1例24月龄AT/RT患儿肿瘤切除术后辅助化疗,肿瘤无复发生存超过12年,提示术后化疗有助于提高AT/RT患儿预后[13],但患儿预后受多方面因素影响,AT/RT患儿整体预后仍较差。有学者认为AT/RT在男性患儿的发病率略高于女性,本组病例男患儿4例、女患儿5例,男女比例4∶5,与文献报道略有差异,可能为病例较少所致。
此外,近年来研究发现AT/RT存在ATRT-TYR、ATRT-MYC、ATRT-SHH三种不同的分子亚型,且ATRT-TYR好发于幕下,ATRT-MYC好发于幕上,ATRT-SHH幕上和幕下分布无明显差异[14,15],不同分子亚型对放、化疗的敏感性不同,预后亦不同,ATRT-SHH对化疗敏感,而ATRT-TYR对放疗敏感[15]。
AT/RT患儿临床表现无特异性,与大多数颅内肿瘤相似,其临床表现与肿瘤大小、位置、病变周围组织受累情况以及患儿年龄等多种因素有关,病变位于幕上时,常表现为头痛、激惹、嗜睡以及肢体肌力下降等局灶性神经功能缺失症状,病变位于幕下时,多以共济失调,头痛、呕吐等颅内高压症状为主。
本组病例术前CT诊断正确0 (0/8)例,因CT软组织分辨率有限,且所有患儿均只有CT平扫检查,无肿瘤强化程度及强化方式信息,对定性诊断价值有限,CT检查目的主要在于明确瘤体是否含钙化。MRI术前诊断正确3例(3/9),1例误诊为胶质瘤,1例误诊为生殖细胞瘤,4例误诊为髓母细胞瘤。误诊原因分析如下:(1)术前诊断为胶质瘤病例因病变位于左桥臂,该部位胶质瘤发病率高,且高级别胶质瘤影像表现可以多样,该病例影像表现可以符合胶质瘤,而AT/RT发生于该位置非常少见,故术前首先考虑为胶质瘤。(2)术前诊断为生殖细胞瘤病例病变位于第三脑室、左侧脑室和四叠体后方,因生殖细胞瘤好发于中线,较AT/RT相比,颅内生殖细胞瘤更易表现为多发病病灶;此外,生殖细胞瘤与AR/RT影像表现有较多重叠之处,如二者均常见出血、囊变、坏死,DWI都可以表现为明显扩散受限加重,增强扫描都可以表现为不均匀明显强化,都可以沿脑脊液种植播散等,鉴别诊断有一定难度,本例误诊主要原因为中线附近多发病灶,既往认为更符合生殖细胞瘤的发病特点。该病例提示我们AT/RT亦可以表现为中线附近多发病变,在以后的工作中,遇到类似病例,也应该考虑到AT/RT的可能性。(3)术前诊断为髓母细胞瘤病例主要误诊原因有以下几点:首先髓母细胞瘤为儿童幕下最常见恶性肿瘤,尤其是后颅窝中线肿瘤,伴有扩散受限加重时,首先考虑髓母细胞瘤;其次,髓母细胞瘤CT密度多较高,与AT/RT相似;其中一例位于小脑蚓部误诊病例表现为多发微小囊变,而非AT/RT更常见的偏心分布囊变,符合髓母细胞瘤常见囊变特点,亦是误诊原因之一。这些误诊原因提示我们,以后的工作中,为了提高诊断准确率,一定要综合分析多种影像特征并结合患儿年龄,考虑到更多可能的鉴别诊断,尤其后颅窝中线占位,当患儿年龄较小,病变信号不均匀,伴有坏死、出血,表现为偏心分布囊变时,应该考虑到AT/RT的可能性,尤其是出现环形曲带样强化时,更不能忽略此疾病。(4)本组病例术前正确诊断3例(3/9):首先患儿年龄普遍较小,病变信号混杂,DWI呈明显高信号,支持胚胎性肿瘤的诊断;其次,有2例病变同时累及幕上、幕下,沿脑室系统铸型生长,虽然室管膜瘤有沿脑室系统塑型生长特点,但扩散受限程度与该病例不符,髓母细胞瘤虽然DWI可以明显高信号,但很少出现幕上、幕下同时受累,故综合考虑AT/RT更符合诊断;此外,3例瘤体内部可见斑片状出血,亦有1例表现为典型环形曲带样强化,均符合AT/RT诊断。
既往通常认为AT/RT缺乏特异性影像学表现,随着对其认识不断加深,AT/RT具有一些相对特异性的影像表现,可能有助于提高其诊断率。AT/RT发病部位无特异性,可以发生在中枢神经系统的任何位置,多呈局灶性发病,表现为幕上或幕下肿块,也可以同时累及幕上、幕下,与本组部分病例肿瘤跨越幕上、幕下生长相似[7]。AT/RT肿瘤体积通常较大,本组病例瘤体最大径约30.0 mm~90.0 mm,首次就诊时瘤体最大径均在30 mm以上。有学者认为偏心分布囊变是AT/RT较为特征性的影像表现[16,17],亦有学者通过比较分析AT/RT和髓母细胞瘤中囊变的分布特点,证实前者囊变偏心分布更常见[18],本组有明确囊变病例中,偏心分布7例(7/8),与文献报道AT/RT易发生偏心囊变相符。本组病例伴有出血6例(6/9),与文献报道AT/RT容易发生出血坏死,约45%~63%患儿可见瘤体出血相符[7,16]。值得一提的是本组一名17个月龄男患儿初次就医时(主诉:颅缝狭窄)头颅CT未见明确占位性病变,7月后再次就诊(嗜睡、左侧肢体无力)行头颅MR平扫+增强发现右额颞叶巨大囊实性占位性病变,短短半年时间肿瘤迅速生长最大径达9.0 cm,说明该肿瘤细胞增殖活跃,与此类肿瘤Ki-67较高相符。AT/RT肿瘤细胞密集、核质比高,高b值DWI上肿瘤内水分子扩散受限明显加重呈高信号,对应ADC呈明显低信号。多项研究显示中枢神经系统AT/RT的ADC图表现为明显低信号,其ADC值范围约(0.45~0.85)×10-3 mm2/s,本组9例患儿范围(0.42~0.60)×10-3 mm2/s [ADCmean为(0.51±0.06)×10-3 mm2/s],与文献报道一致性较高[7,19,20]。文献报道曲带样环形强化在AT/RT中具有特异性,亦有学者称之为“盘山公路征”[16],我们的病例中有2例(2/8)表现为曲带样强化,与文献报道类似。此外,我们的病例中还可见其他多种强化方式,相似表现为肿瘤整体不均匀轻中度或明显强化,但强化模式多样,如中央放射状强化、多结节堆积样强化、局部条片样强化等。AT/RT易随脑脊液循环播散转移至脑内其他部位或脊髓,部分患儿初就诊时常伴有脑脊液播散灶[21],本组病例首次就诊时1例同时伴有脑组织、脊髓转移,3例伴有脑转移(脑实质转移1例,脑室转移1例,脑实质和蛛网膜转移1例)。Nowak等通过对43名已知分子亚型AT/RT进行影像学对比分析发现:ATRT-MYC亚型较其他两种亚型有更显著的瘤周水肿,而ATRT-SHH和ATRT-TYR亚型偏心囊变更见,ATRT-TYR和ATRT-MYC亚型有明显强化趋势而约三分之一ATRT-SHH亚型增强后无确切强化[22]。本组回顾性病例患儿未作相应基因型检测,无法与该文研究结果进行对比,以后的工作中对ATRT基因分型的应用有助于我们更深层次地认识AT/RT。
AT/RT主要需与髓母细胞瘤、室管膜瘤、星形细胞瘤以及生殖细胞瘤鉴别,因AT/RT预后极差,中位生存期不足一年,故将其与后者区分开非常重要。
髓母细胞瘤发病高峰为5~7岁,出血、坏死少见,多见散在微囊变,而AT/RT多见于3岁以下小儿,偏心分布囊变、曲带样强化为其较具特征性表现。室管膜瘤:好发于第四脑室底部或顶壁,具有塑型生长的特点,有向第四脑室两侧孔和正中孔生长的趋势,CT平扫与周围脑实质相比,瘤体多呈等密度,出血坏死少见。星形细胞瘤:儿童发病高峰为5~15岁,幕上多呈实性,幕下多呈囊实性,病灶整体在CT上以低密度为主,高b值DWI上呈等低信号,ADC值不低,出血、钙化少见。生殖细胞瘤:发病高峰为10~12岁,常见于松果体区,其次为鞍上,而AT/RT绝大多数见于3岁以下儿童。
综上,虽然AT/RT必须通过病理及免疫组化检查确诊,但儿童CNS AT/RT影像表现具有一定特点,当3岁以下儿童脑肿瘤体积较大、瘤体密度/信号混杂、伴有偏心囊变、出血坏死、脑脊液播散以及扩散受限明显加重时应考虑到AT/RT的可能,尤其当伴有以上影像表现的脑肿瘤出现曲带样强化时,提示AT/RT的可能性更大。
全部作者均声明无利益冲突。





















