
本刊刊出的所有论文不代表本刊编委会的观点,除非特别声明
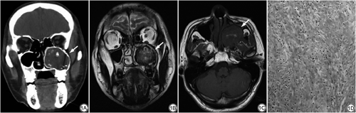
患者男,44岁,无明显诱因出现持续性鼻塞1年,睡眠时加重,入延边大学附属医院就诊。查体:鼻外形如常,鼻中隔居中,左侧鼻腔狭窄,鼻窦区无压痛,未见异常分泌物及新生物。CT示:左侧上颌骨见4.6 cm×4.5 cm×5.0 cm大小软组织肿块影,呈膨胀性生长,填充上颌窦,其内见散在骨嵴,周围有硬化骨质包绕,边界清楚(图1A)。MRI:肿块边界清楚,信号不均匀,T1WI呈等信号,内见斑片状高信号;T2WI呈高低混杂信号,硬化边缘呈低信号(图1B、1C)。手术所见:全麻下行左侧上颌窦探查肿物切除术,术中可见左上颌窦充满质地坚硬的蛋壳样肿物,内有质地较硬的肿瘤组织,伴有囊性液体,大小约4.5 cm×5.0 cm×6.0 cm,肿瘤与周边组织界限清楚。用剥离器将肿物全部切除。组织切面呈暗红色,内有出血,质地中等,并有完整的纤维包膜,无转移灶。病理:镜下见梭形的成纤维细胞呈漩涡状排列,其间有少量的泡沫细胞,间质内有少量出血(图1D)。病理诊断:左侧上颌骨非骨化性纤维瘤。术后随访3个月,未见复发征象。


非骨化性纤维瘤(nonossifying fibroma,NOF)为一种少见的骨结缔组织来源的良性肿瘤,无成骨倾向,发病率低,多见于青少年男性[1]。长骨干骺端为其好发部位,尤以股骨和胫腓骨多见。目前国内未见发生于上颌骨的报道,根据发病部位分为皮质型与髓质型,后者较少见。皮质型好发生在长骨干骺端的骨皮质内或皮质下,偏心性生长,边界清楚;髓质型则好发于细长管状骨及不规则骨,呈中心性生长,二者均可累及骨干[2]。CT表现为低密度肿块,边缘硬化,病灶内可有骨嵴,而无死骨。MR表现为T1WI呈等低信号,T2WI信号混杂,主要表现为低信号。本例CT表现为膨胀性生长,边界清楚的低密度肿块,其内见骨嵴,骨性包壳较厚;MR上T1WI呈等信号,其内斑片状高信号提示肿瘤内有出血,与组织病理检查结果相符合,T2WI呈高低混杂信号。分析本例影像学表现应与骨化性纤维瘤及上颌骨骨纤维异常增殖症鉴别,前者青少年女性多见[3],颌面部多见,影像上可见单房或多房膨胀性生长的等、高密度肿块,边缘清楚,其内夹杂形态不规则的骨化影,有成骨现象,这是本病的特征[4]。后者为一种慢性疾病,影像上可见病变范围较大,颌骨变形,骨密度增高,呈磨玻璃样改变,与正常骨无明显界限[5],故鉴别诊断并不困难。
National Natural Science Foundation of China (No. 81860304).
全部作者均声明无利益冲突。





















