
分析动态对比增强磁共振成像(dynamic contrast-enhanced magnetic resonance imaging,DCE-MRI)、动态磁敏感对比增强灌注加权成像(dynamic susceptibility contrast-enhanced perfusion weighted imaging,DSC-PWI)、三维动脉自旋标记(three-dimensional arterial spin labeling,3D-ASL)三种磁共振灌注技术术前评估脑胶质瘤(brain glioma,BG)分级的价值。
回顾性分析我院48例术前经DCE-MRI检查,34例术前经DSC-PWI及3D-ASL检查的BG患者临床资料,分析DCE-MRI各参数[容积转运常数(volume transport constant,Ktrans)、速率常数(rate constant,Kep)、血管外细胞外间隙容积分数(extravascular extracellular space fraction,Ve)、血浆容积分数(plasma volume fraction,Vp)]、DSC-PWI参数[相对脑血流量(relative cerebral blood flowr,rCBF)]及3D-ASL参数(rCBF)对BG病理分级的诊断价值;并比较DSC-PWI参数rCBF与3D-ASL参数rCBF间的差异。
不同BG病理分级者Kep、Vp比较,差异无统计学意义(P>0.05);BG病理分级Ⅱ级者Ktrans及Ve明显低于Ⅲ级、Ⅳ级者(P<0.05),但Ⅲ级与Ⅳ级者间Ktrans、Ve比较差异无统计学意义(P>0.05)。DSC-PWI、3D-ASL检查中,不同BG病理分级者间与对侧半球、灰质及白质对比的rCBF差异均有统计学意义(P<0.05),Ⅱ级者rCBF均低于Ⅲ级、Ⅳ级者(P<0.05),Ⅲ级者低于Ⅳ级者(P<0.05)。ROC曲线分析显示,Ktrans、Ve及DSC-PWI与3D-ASL测量的rCBF均对BG病理Ⅳ级具有较高诊断价值(P<0.05)。DSC-PWI与3D-ASL测量的rCBF差异无统计学意义(P>0.05)。
DCE-MRI判断BG分级效果不及DSC-PWI、3D-ASL,DSC-PWI测量的参数较3D-ASL多,但安全性、无创性不及3D-ASL,3种灌注技术各具优劣,临床可结合实际选择合适的灌注技术。
本刊刊出的所有论文不代表本刊编委会的观点,除非特别声明
脑胶质瘤(brain glioma,BG)为常见颅内原发性肿瘤,发病率可占颅内肿瘤的35%~60%,并呈逐年上升趋势[1]。外科手术为BG的主要治疗手段,但BG生物行为复杂,选择合适的手术方案方可达到理想疗效,而术前准确评估其病理分级是确定手术方案的关键[2]。常规磁共振成像可显示肿瘤的形态及信号特征,常规增强检查还能评估部分血脑屏障信息,辅助判断肿瘤的良恶性,但难以准确评估恶性肿瘤的分级[3]。影响纵向弛豫的T1加权动态对比增强磁共振成像(dynamic contrast-enhanced magnetic resonance imaging,DCE-MRI),影响横向弛豫的T2动态磁敏感对比增强灌注加权成像(dynamic susceptibility contrast-enhanced perfusion weighted imaging,DSC-PWI),以水质子为自身内源性示踪剂的三维动脉自旋标记(three-dimensional arterial spin labeling,3D-ASL),上述3种灌注技术均可用于判断BG病理分级,但各具优势与不足[4]。基于此,本研究分析上述3种灌注技术在术前评估BG分级中的应用价值,为BG诊疗提供临床依据。
回顾性分析2017年2月至2020年12月我院48例术前经DCE-MRI检查,34例术前经DSC-PWI及3D-ASL检查的BG患者临床资料。纳入标准:(1)术前接受相应影像学检查,术前未接受抗肿瘤治疗;(2)经手术病理诊断为BG且首次诊疗;(3)年龄≥18岁;(4)临床资料完整。排除标准:(1)因头部伪影未获得有效的MRI扫描图像;(2)既往脑部手术史。82例BG患者男43例,女39例;年龄18~71 (50.96±11.28)岁;临床症状以头痛头晕、局灶性或全身性癫痫发作、运动障碍、颅内压增高为主。所有患者术后根据世界卫生组织2007年制定的中枢神经系统肿瘤分级标准分级[5],其中Ⅱ级32例,Ⅲ级24例,Ⅳ级26例。本研究经江汉大学附属湖北省第三人民医院医学伦理委员会批准(批准文号:2021伦审科第19号),免除受试者知情同意。
MRI扫描采用西门子超导型磁共振成像系统MAGNETOM Verio 3.0 T,常规扫描T1加权矢状位、T1加权横断位、T2加权横断位及FLAIR成像;T1加权动态对比增强MR先行T1梯度回波容积插值屏息扫描(volume interpolated breath-hold examination sequence,VIBE)序列,TR 5.08 ms,TE 1.74 ms,FOV 260 mm×260 mm,矩阵138×192,层厚5 mm,翻转角2°及15°;DCE-MRI扫描采用T1时间分辨交叉随机轨迹成像(time-resolved angiography with interleaved stochastic trajectories,TWIST)序列,TR 4.82 ms,TE 1.88 ms,FOV 260 mm×260 mm,矩阵138×192,层厚3.2 mm,翻转角12°,共采集75次,间隔5.3 s,在采集第6次前,经肘静脉注入钆喷葡胺(批准文号:H20080146,规格:0.5 mmol/mL,德国拜耳医药保健有限公司) 0.1 mmol/kg,注射速率4 mL/s。
DSC-PWI扫描则采用平面回波序列(spin echo echo-planar image,SE-EPI),TR 1500 ms,TE 30 ms,FOV 230 mm×230 mm,矩阵128×128,层厚4 mm,翻转角90°,扫描时间约为1 min 50 s,共50期,每期20帧图,在扫描第6期前注射钆喷葡胺对比剂,使用方法同上述DCE-MRI扫描。
3D-ASL扫描前嘱患者绝对制动,使用伪连续脉冲标记及交错的螺旋快速自旋回波序列背景抑制,达到全脑三维容积采集效果,TR 5000 ms,TE 36 ms,FOV 192 mm×192 mm,矩阵256×256,42层,层厚3 mm,标记后延迟时间1800 ms,采集时长约为4 min 29 s。
DCE-MRI数据导入动态对比增强定量分析软件(mini Kinetics tool),应用extended Tofts model模型,输入函数,获得脑组织时间-信号强度曲线,经药代动力学计算并选择感兴趣区自动匹配相应图像(感兴趣区避开坏死、囊变及出血区,下同),得到后处理图及灌注参数——容积转运常数(volume transport constant,Ktrans)、速率常数(rate constant,Kep)、血管外细胞外间隙容积分数(extravascular extracellular space fraction,Ve)、血浆容积分数(plasma volume fraction,Vp);由两名医师分别在DCE-MRI后处理图上采用“热点法”手动放置感兴趣区,面积为25~40 mm2,得到各参数测量值,该方法在异质性肿瘤中选取侵袭性最高的实性部分分析,并结合专业医师的经验,具有良好准确性,两名医师分别取3个感兴趣区,取平均值为各参数的最终测量结果。
DSC-PWI数据传输至后处理工作站(西门子Syngo.via),行头动校正调整阈值后,生成彩色脑血流量(cerebral blood flow,CBF)图,采用“最大层面法”手动调节感兴趣区,面积为25~40 mm2,取肿瘤最大血流量(tumour blood flow values of max,TBFmax)区,以对侧正常半球、灰质、白质作参考,得到相对CBF (relative of CBF,rCBF),两名医师分别取3个感兴趣区,取平均值为各参数的最终测量结果。
3D-ASL数据传输至后处理工作站,自动得到伪彩图,采用“最大层面法”手动调节感兴趣区,面积为25~40 mm2,测得TBFmax,将TBFmax分别与对侧正常半球、灰质、白质血流值作对比,计算rCBF,由两名医师分别取3个感兴趣区,取平均值为各参数的最终测量结果。
数据分析用SPSS 22.0软件处理;计量资料以均数±标准差(±s)表示,多组间比较采用单因素方差分析,两两比较则用LSD-t检验;计数资料以例或百分比n (%)表示,采用χ2检验;诊断价值采用ROC曲线评估;P<0.05为差异有统计学意义。
不同BG病理分级者Kep、Vp比较,差异无统计学意义(P>0.05);BG病理分级Ⅱ级者Ktrans及Ve明显低于Ⅲ级、Ⅳ级者(P<0.05),但Ⅲ级与Ⅳ级者间Ktrans、Ve比较,差异无统计学意义(P>0.05),见表1,典型病例分析见图1。

不同脑胶质瘤病理分级者动态对比增强磁共振成像参数比较(±s)
不同脑胶质瘤病理分级者动态对比增强磁共振成像参数比较(±s)
| 分级 | n | Ktrans (min-1) | Kep (min-1) | Ve | Vp |
|---|---|---|---|---|---|
| Ⅱ级 | 19 | 0.041±0.010 | 1.301±0.219 | 0.171±0.028 | 0.259±0.057 |
| Ⅲ级 | 13 | 0.105±0.024a | 1.289±0.227 | 0.604±0.127a | 0.272±0.061 |
| Ⅳ级 | 16 | 0.118±0.029a | 1.257±0.211 | 0.621±0.134a | 0.284±0.059 |
| F | 62.621 | 0.183 | 106.117 | 0.790 | |
| P | <0.001 | 0.834 | <0.001 | 0.460 |
注:a:与Ⅱ级者比较,P<0.05。


ROC曲线分析显示,Ktrans、Ve均对BG病理Ⅳ级具有一定诊断价值(P<0.05),见表2、图2。

Ktrans、Ve对脑胶质瘤病理Ⅳ级的诊断价值分析
Ktrans、Ve对脑胶质瘤病理Ⅳ级的诊断价值分析
| 指标 | 截断值(min-1) | AUC | 95% CI | P |
|---|---|---|---|---|
| Ktrans | 0.107 | 0.865 | 0.766~0.965 | <0.001 |
| Ve | 0.607 | 0.799 | 0.675~0.923 | 0.001 |
注:AUC:曲线下面积。
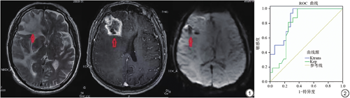
DSC-PWI、3D-ASL检查中,不同BG病理分级者间与对侧半球、灰质及白质对比的rCBF差异均有统计学意义(P<0.05),Ⅱ级者rCBF均低于Ⅲ级、Ⅳ级者(P<0.05),Ⅲ级者低于Ⅳ级者(P<0.05),见表3,典型病例见图3、4。

不同脑胶质瘤病理分级者DSC-PWI、3D-ASL参数比较(±s)
不同脑胶质瘤病理分级者DSC-PWI、3D-ASL参数比较(±s)
| 分级 | n | DSC-PWI rCBF | 3D-ASL rCBF | ||||
|---|---|---|---|---|---|---|---|
| 对侧半球 | 对侧灰质 | 对侧白质 | 对侧半球 | 对侧灰质 | 对侧白质 | ||
| Ⅱ级 | 13 | 1.481±0.296 | 1.482±0.305 | 1.936±0.389 | 1.428±0.311 | 1.408±0.304 | 2.096±0.427 |
| Ⅲ级 | 11 | 2.993±0.428a | 2.182±0.441a | 3.551±0.611a | 2.934±0.395a | 2.227±0.415a | 3.724±0.634a |
| Ⅳ级 | 10 | 3.715±0.593ab | 3.004±0.582ab | 4.538±0.750ab | 3.687±0.583ab | 3.045±0.606ab | 4.752±0.672ab |
| F | 77.870 | 33.241 | 58.442 | 82.831 | 38.482 | 62.683 | |
| P | <0.001 | <0.001 | <0.001 | <0.001 | <0.001 | <0.001 | |
注:DSC-PWI:动态磁敏感对比增强灌注加权成像;3D-ASL:三维动脉自旋标记;rCBF:相对脑血流量;a:与Ⅱ级者比较,P<0.05;b:与Ⅲ级者比较,P<0.05。


ROC曲线分析显示,DSC-PWI与3D-ASL测量的rCBF均对BG病理Ⅳ级具有较高诊断价值(P<0.05),见表4、图5。

DSC-PWI、3D-ASL参数对脑胶质瘤病理Ⅳ级的诊断价值分析
DSC-PWI、3D-ASL参数对脑胶质瘤病理Ⅳ级的诊断价值分析
| 指标 | 截断值 | AUC | 95% CI | P |
|---|---|---|---|---|
| 对侧半球DSC-PWI rCBF | 3.127 | 0.876 | 0.819~0.933 | <0.001 |
| 对侧灰质DSC-PWI rCBF | 2.507 | 0.611 | 0.524~0.721 | 0.027 |
| 对侧白质DSC-PWI rCBF | 3.892 | 0.951 | 0.915~0.988 | <0.001 |
| 对侧半球3D-ASL rCBF | 3.204 | 0.902 | 0.850~0.954 | <0.001 |
| 对侧灰质3D-ASL rCBF | 2.611 | 0.603 | 0.508~0.698 | 0.037 |
| 对侧白质3D-ASL rCBF | 4.193 | 0.980 | 0.912~0.998 | <0.001 |
注:DSC-PWI:动态磁敏感对比增强灌注加权成像;3D-ASL:三维动脉自旋标记;rCBF:相对脑血流量;AUC:曲线下面积。
DSC-PWI与3D-ASL测量的rCBF差异无统计学意义(P>0.05),见表5。

DSC-PWI参数rCBF与3D-ASL参数rCBF比较(±s)
DSC-PWI参数rCBF与3D-ASL参数rCBF比较(±s)
| 检查方法 | n | 对侧半球 | 对侧灰质 | 对侧白质 |
|---|---|---|---|---|
| DSC-PWI rCBF | 34 | 2.627±0.445 | 2.156±0.430 | 3.224±0.622 |
| 3D-ASL rCBF | 34 | 2.580±0.423 | 2.154±0.419 | 3.404±0.639 |
| t | 0.446 | 0.019 | 1.177 | |
| P | 0.657 | 0.985 | 0.243 |
注:DSC-PWI:动态磁敏感对比增强灌注加权成像;3D-ASL:三维动脉自旋标记;rCBF:相对脑血流量。
DCE-MRI的定量参数Ktrans、Ve是评估血管通透性的重要参数,正常血脑屏障完整时,对比剂不能由血管渗透至血管外,Ktrans、Ve值近乎为0[6, 7]。在出现恶性肿瘤时,新生血管基底膜不完整,通透性升高,对比剂可渗透至血管外,Ktrans、Ve值随之增加[8, 9]。本研究中,BG病理分级Ⅱ级者Ktrans及Ve明显低于Ⅲ级、Ⅳ级者,BG病理分级与Ktrans、Ve也呈显著正相关,提示Ktrans及Ve值可随BG病理分级的升高而增加,能辅助术前诊断,与既往报道一致[10]。然而,近年有研究发现[11, 12],Ⅲ级与Ⅳ级BG的肿瘤新生血管基底膜均不完整,血管通透性相近,对比剂渗透至血管外情况相同,DCE-MRI参数难以鉴别Ⅲ级与Ⅳ级BG。本研究结果显示,Ktrans、Ve虽然对BG病理Ⅳ级具有一定诊断价值,但BG Ⅲ级与Ⅳ级者间Ktrans、Ve比较,差异无统计学意义。这也说明,DCE-MRI参数在术前评估BG病理分级方面存在一定缺陷,只能初步分辨低级别与高级别BG,难以进一步鉴别高级别BG的具体分级[13, 14]。
与DCE-MRI不同,DSC-PWI是测量CBF及脑血容量的标准方法,可评估肿瘤组织血管密度,能反映BG血流动力学及新生血管具体数量,与血脑屏障破坏程度、血管通透性变化无相关性[15, 16]。本研究中,DSC-PWI测量的rCBF在Ⅲ级与Ⅳ级BG间差异有统计学意义,且对BG病理Ⅳ级具有较高诊断价值,提示DSC-PWI参数能准确评估BG病理分级。考虑该结果与随着BG病理分级的升高,肿瘤体积增大、新生血管增生,使rCBF逐渐增加有关[17, 18]。
3D-ASL则是一种无创灌注技术,可利用自身循环动脉血中水质子,行射频脉冲磁化标记,具有安全无创、可重复等优点[19]。近年国外研究还发现[20],3D-ASL技术能利用rCBF参数分析肿瘤微循环灌注情况,对BG病理分级诊断有利。本研究中,BG病理分级随3D-ASL对侧半球rCBF、对侧灰质rCBF、对侧白质rCBF的升高而升高,且3D-ASL测量的rCBF均对BG病理Ⅳ级具有较高诊断价值,提示3D-ASL也能准确评估BG病理分级,与上述国外报道相似。本研究还发现,3D-ASL与DSC-PWI测量的rCBF数值相近,均能用于术前BG分级评估。然而,两种技术具有各自特点,3D-ASL虽然具有安全无创的优点,但仅能获得rCBF一种参数,还易受脑脊液污染,影响诊断[21];DSC-PWI需要使用对比剂,肾功能不全、对比剂过敏等患者限制应用,但图像分辨率较3D-ASL高,还能测量血流通过的时间特点,通过多种参数综合判断BG分级[22]。因此,DSC-PWI、3D-ASL均能辅助判断BG病理分级,但各具优势,临床可结合实际情况选择合适的灌注技术。另外,DCE-MRI作为临床广泛应用的灌注技术,应用范围广,可辅助鉴别低级与高级BG,若临床要进一步明确高级BG的分级,则需联合DSC-PWI或3D-ASL技术观察,具体联合方案应结合二者优缺点选择个性化的灌注方案。此外,本研究作为回顾性分析,样本量较小,结果可能存在一定偏倚,为保证本结论的科学性与严谨性,还需后续大样本量前瞻性研究的论证。
综上所述,DCE-MRI及DSC-PWI、3D-ASL均能通过参数判断BG病理分级,但DCE-MRI在鉴别BG Ⅲ级与Ⅳ级时存在欠缺,DSC-PWI能测量多种参数准确判断BG分级,3D-ASL能无创、准确判断BG分级,各有其优劣性。
全体作者均声明无利益冲突。

























