
通过MRI与CT在诊断细微肋骨骨折上的对比研究,探讨MRI对细微肋骨骨折的诊断价值。
招募2019年1月至2020年12月于我院就诊的轻度胸外伤患者25例,于受伤后3周内给予患者首次CT及MRI检查,伤后4~8周行CT复查。以复查CT有骨痂生长为金标准,对细微肋骨骨折进行分型,比较MRI与首次CT检查在细微肋骨骨折上的诊断准确率及敏感度,利用Fisher确切概率法检验MRI与首次CT检查诊断结果的差异性。
细微肋骨骨折分为两型,Ⅰ型为骨皮质断裂伴骨痂形成,MRI上表现为骨髓水肿伴骨膜下积液;Ⅱ型为骨皮质显示完整伴有骨内骨痂形成,MRI上仅有骨髓水肿。复查CT共确诊91处细微肋骨骨折,其中Ⅰ型骨折共86处(占94.51%),Ⅱ型骨折共5处(占5.49%)。MRI检查共诊断90处骨折,3处为假阳性,其诊断准确率为92.55%,敏感度为95.60%,其中Ⅰ型骨折共85处(3处假阳性),在压脂序列上表现为“三明治”征,即内层为高信号的骨髓水肿影,中层为低信号的骨皮质,外层为高信号的骨膜下积液;Ⅱ型骨折共5处,在压脂序列上表现为高信号的骨髓水肿影,无骨膜下积液。首次CT检查发现55处骨折,全部为Ⅰ型骨折,诊断准确率及敏感度均为60.44%。MRI与首次CT检查检出的骨折数量差异有统计学意义(P=0.027)。
MRI检查对细微肋骨骨折具有高度敏感性及诊断准确率,可作为除CT检查以外的常规补充检查项目应用于轻度胸外伤患者。
本刊刊出的所有论文不代表本刊编委会的观点,除非特别声明
近年来,由于车辆的增多,交通事故等意外所致胸部创伤的发生率也不断增加。在胸部创伤患者中,10%的患者会发生肋骨骨折[1]。胸壁损伤后的发病率和死亡率差异很大,但明显随年龄和肋骨骨折数量的增加而增加[2, 3]。此外,肋骨骨折的数量也是法医学检验伤残程度的重要指标[2, 3],因此早期准确诊断肋骨骨折一直是临床医生及患者密切关注的问题。目前,电子计算机断层扫描(computed tomography,CT)作为胸部创伤患者的初步诊断手段有了显著的增加,其具有强大的后处理功能,能够发现胸部X线不能发现的隐匿性损伤[4, 5, 6],但在临床检测中发现患者首次CT检查易出现漏诊情况,尤其是细微骨折,因此,CT检查不适用于没有胸内并发症迹象的轻微胸外伤患者[7]。
在急性肌肉骨骼损伤患者中,MRI经常被使用,这是因为MRI在显示骨和软组织损伤方面优于其他放射学方法,尤其是骨折上的诊断优势也越来越受到关注[8, 9]。已有学者将MRI检查应用于肋软骨的损伤[10]以及肋骨应力性骨折[11],但却鲜有学术报道将MRI应用于外伤性肋骨骨折。为了提高细微肋骨骨折的早期检出率,本研究从临床实际需求出发,首次系统地将MRI检查应用于轻度胸外伤患者,通过MRI与CT检查在细微肋骨骨折上的对比研究,探讨细微肋骨骨折的MRI表现以及MRI对细微肋骨骨折的诊断价值。
本研究为前瞻性研究,招募2019年1月至2020年12月于我院就诊的轻度胸外伤患者25例,于受伤后3周内给予患者首次CT及MRI检查,伤后4~8周行CT复查。其中男21例,女4例,年龄27~63 (46.12±9.54)岁。25例患者均有明确的外伤史,其中交通车祸伤10例,打架伤8例,跌撞伤7例。纳入标准:(1)有明确的胸外伤病史,且无明显并发症;(2)受伤时间小于3周;(3)证实有肋骨骨折。排除标准:(1)明显错位肋骨骨折;(2)不能配合屏气者;(3)有陈旧性骨折或其他病变累及肋骨者;(4)其他不适合MRI检查者。本研究经过医院医学伦理委员会批准(批准文号:2019003),受试者均已签署知情同意书。
所有患者采用联影64排螺旋CT (United Imaging,中国)进行扫描。在扫描过程中,患者被要求抬起手臂,吸气后屏住呼吸。扫描范围从胸廓开口到第十二肋骨的下缘。扫描参数:管电压120 kV,螺距1.0875,阳极旋转时间0.5 s,扫描厚度5 mm,层间距5 mm。采用骨重建算法(窗宽1500 HU,窗位550 HU)进行薄层轴向重建,层厚1.0 mm,层间距0.8 mm。将薄层轴位图像发送到后处理工作站,在工作站上进行斜横断位重建,层厚和层间距均为3 mm,重建角度与肋骨长轴大致平行,尽可能将目标肋骨显示在同一层面上(图1A)。


所有患者使用飞利浦(Achieva,荷兰)或西门子(Magnetom Prisma,德国) 3.0 T MRI仪和8通道相控阵腹部线圈进行扫描。采用短时反转恢复序列(short time inversion recovery,STIR)及T2预饱和脂肪抑制序列(T2-weighted spectral adiabatic inversion recovery,T2-SPAIR),且均为斜横断位扫描(图1B、1C),扫描角度可参考CT重建角度。飞利浦MRI仪扫描参数如下:(1) STIR序列,重复时间(repetition time,TR)=2182 ms,回波时间(echo time,TE)=60 ms,图像视野(field of view,FOV)=35.0 cm×42.2 cm,层厚3.0 mm,层间距3.0 mm,平静呼吸扫描,时间5 min;(2) T2-SPAIR序列,TR=1100 ms,TE=70 ms,FOV=40.0 cm×35.6 cm,层厚3.0 mm,层间距3.0 mm,屏气扫描,分3次完成,共需45 s。西门子MRI仪扫描参数如下:(1) STIR序列,TR=2740 ms,TE=65 ms,FOV=40.0 cm×32.4 cm,层厚3.0 mm,层间距3.0 mm,平静呼吸扫描,时间5 min;(2) T2-SPAIR序列,TR=2530 ms,TE=73 ms, FOV=40.0 cm×30.0 cm,层厚3.0 mm,层间距3.0 mm,屏气扫描,分3次完成,共需45 s。首先用STIR序列从胸廓开口扫描至第12肋骨下缘,然后确定肋骨骨折的范围,最后根据确定的范围进行T2-SPAIR序列的扫描。若骨折范围大,T2-SPAIR序列可分两次进行扫描。一位患者可在10 min内扫描完成。
细微肋骨骨折的定义:在首次CT检查中能显现,但因骨折细小不易被发现。本研究将首次CT检查阴性的隐匿性骨折也纳入其中。CT能显示的细微骨折可分为两型[12]:(1)完全性骨折:贯穿肋骨皮质的骨折线,断端一般无移位。(2)不全性骨折:一侧骨皮质凹陷、隆起或断裂。
肋骨骨折的确诊依据为复查CT上有骨痂形成,不论骨皮质是否明显断裂。
所有患者图像均由两位有经验的放射科医生独立阅读和分析,且仅观察斜横断位图像。为了避免回忆偏差,放射科医生须在不知道患者CT复查结果的情况下进行诊断,且阅读同一位患者的CT和MRI图像至少间隔一周。如有分歧,由高年资主任医师做出最终诊断。两位医生首次CT诊断结果Kappa值为0.887,MRI诊断结果Kappa值为0.883,两位医生的首次CT及MRI诊断结果均具有较好一致性。
以伤后4~8周的复查CT有骨痂生长变化为金标准,利用公式计算MRI及首次CT检查对细微肋骨骨折的诊断准确率及敏感度。诊断准确率为所有诊断骨折处数量准确诊断的百分比;敏感度是实际骨折且被诊断为骨折的概率。采用SPSS 19.0软件进行统计学分析,将MRI与首次CT检查检出的骨折数进行Fisher确切概率法检验,P<0.05为差异有统计学意义,并用Kappa检验分析STIR与T2-SPAIR序列诊断结果的一致性。
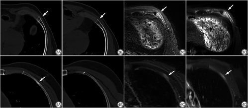
根据肋骨骨折的复查CT特征将细微肋骨骨折分为两型(图2),Ⅰ型为骨皮质完全或不完全断裂,伴有外生骨痂和/或骨内骨痂形成,Ⅱ型为骨皮质显示完整,伴有骨内骨痂形成,后者代表骨小梁发生了微骨折但未明显累及骨皮质。
复查CT共确诊91处细微骨折,Ⅰ型骨折86处(占94.51%),Ⅱ型骨折5处(占5.49%)。其中63处(69.23%)位于前肋,9处(9.89%)位于腋肋,19处(20.88%)位于后肋。
首次CT检查发现55处细微骨折,全部为Ⅰ型骨折,其中11处为完全性骨折,44处为不全性骨折,诊断准确率及敏感度均为60.44%。Ⅱ型骨折在首次CT上均为阴性。首次CT检查共漏诊36处骨折,经过与复查CT图像对比发现,其中15处骨折首次CT可以观察到细微的骨皮质稍扭曲或断裂等异常,余下的21处骨折首次CT显示骨皮质形态正常。
MRI检查共诊断90处骨折,其中3处为假阳性,4处骨折未检出,其诊断准确率为92.55%,敏感度为95.60%。Ⅰ型骨折共85处(3处为假阳性),在STIR及T2-SPAIR序列上表现为“三明治”征,即内层为高信号的骨髓水肿影,中层为低信号的骨皮质,外层为高信号的骨膜下积液;Ⅱ型骨折共5处,表现为高信号的骨髓水肿影,无明显骨膜下积液。
图3及图4分别展示了Ⅰ型与Ⅱ型肋骨骨折在复查CT、首次CT及MRI检查上的表现。


两种检查方法共同诊断为骨折的有55处,MRI检查诊断阳性而CT检查漏诊的有35处,MRI检查漏诊而CT检查诊断阳性的有0处,两种检查都漏诊的有4处。MRI检查对细微肋骨骨折的诊断准确率和敏感性明显高于CT检查结果,经Fisher确切概率法检验两种检查方法的诊断结果差异有统计学意义(P=0.027),见表1。STIR与T2-SPAIR序列诊断结果Kappa值为0.789,提示两种序列诊断结果具有较好一致性。

MRI检查及首次CT检查诊断细微肋骨骨折的结果比较
MRI检查及首次CT检查诊断细微肋骨骨折的结果比较
| 首次CT检查 | MRI检查 | 合计 | P值 | |
|---|---|---|---|---|
| 阳性 | 阴性 | |||
| 阳性 | 55 | 0 | 55 | 0.027 |
| 阴性 | 35 | 5 | 40 | |
| 合计 | 90 | 5 | 95 | |
目前CT检查被认为是胸部创伤患者的首选检查方法,但肋骨骨折漏诊及误诊仍是医院常见的问题[13]。为了提高肋骨骨折的早期诊断准确率,本研究首次系统地将MRI检查应用于轻度胸外伤患者,并对细微肋骨骨折提出新的分型,结果显示MRI检查在早期诊断细微肋骨骨折上较CT检查具有明显优势。
早期明确骨折的有无及骨折的数量不仅可以帮助临床医生为患者选取最佳治疗方案,在伤情鉴定中也尤为重要。在交通事故及工伤鉴定等案件中,骨折的数量与赔偿金额直接相关,6根及以上骨折构成伤残将面临巨额赔偿,而5根及以下肋骨骨折只有误工费等小额赔偿。在故意伤害等刑事案件中,根据肋骨骨折数目的不同分为轻微伤(1处骨折)、轻伤二级(2~5处骨折)及轻伤一级(6处及以上),轻伤二级即构成刑事案件。虽然肋骨骨折可以通过复查CT进行确诊,但需等待3~8周[14],对于受害者来说可能会造成精神及经济的双重压力,在此期间,如果患者首次CT检查发生漏诊而没有得到止痛、制动等治疗措施有可能会发展成移位型骨折,延误诊治甚至引发纠纷,故公安与检察机关要求尽快明确骨折数量。本研究结果表明MRI检查对细微肋骨骨折的诊断准确率达92.55%,可以为伤情鉴定提供早期可靠依据,且MRI检查较CT三维重建检查费用稍低,还可以避免辐射危害。
不同于传统的肋骨骨折分型,本研究根据肋骨骨折在复查CT的不同表现提出一种新的分型,Ⅰ型为骨皮质完全或不完全断裂伴外生骨痂和/或骨内骨痂形成,在MRI的压脂序列上表现为高信号的骨髓水肿影伴骨膜下积液形成;Ⅱ型为骨皮质显示完好伴骨内骨痂形成,这是骨小梁发生微骨折的表现,在压脂序列上仅见高信号的骨髓水肿影,无骨膜下积液。骨髓内高信号影是由于骨小梁断裂引起骨髓出血水肿,骨膜下积液可能是骨皮质断裂导致骨膜内的毛细血管破裂出血,血管壁通透性增加,组织液渗出积聚在骨膜下,在低信号的骨皮质周围形成高信号影,积液多者可延肋骨周围蔓延一圈,积液少者可仅聚集在一侧骨皮质周围且为断裂骨皮质一侧。在本研究中,Ⅰ型骨折在首次CT检查上可为阴性(占39.56%),这可能与骨折平面透亮度低[6]和血肿积聚在骨折线周围致使骨折线模糊[14]有关;Ⅱ型骨折由于骨皮质显示完好,仅骨小梁发生了微骨折,故首次CT检查往往不能发现。有学者[15]认为骨小梁微骨折是骨挫伤的表现,但本研究认为骨小梁微骨折属于骨内骨折,应列为Ⅱ型骨折,在临床实际工作中常常漏诊,是一种特殊的隐匿性骨折,需引起重视。本研究所提出的骨折分型的优点是在提高细微肋骨骨折的诊断准确率的同时,还可以利用MRI上肋骨骨折的不同表现判断出骨皮质是否断裂,进一步为临床诊疗工作提供可靠依据。
CT可以评估骨皮质的完整性、有无软组织肿块和骨折碎片的位置形态,还具有强大的后处理功能,通过斜横断位重建,使一根肋骨最大化地显像在同一层面上[14],能直观地显示骨折部位、形状和数目。本研究结果表明CT检查对细微肋骨骨折的诊断准确率60.44%,低于李跃兴等[16]的研究结果,主要是因为本研究采用了复查CT作为标准,一些首次CT阴性的隐匿性骨折在骨痂生长期被发现,导致早期CT检出率降低,故CT检查已经不能满足早期诊断肋骨骨折的要求,需要更敏感的检查技术。
MRI具有软组织分辨率高、无电离辐射等优点[17],对于出血、水肿等变化具有高度敏感性,本研究结果表明其对细微肋骨骨折的诊断准确率(92.55%)及敏感度(95.60%)均很高,可早期准确诊断肋骨骨折。此外,MRI检查可以根据骨膜下积液、骨髓水肿等间接征象来判断骨皮质及骨小梁是否损伤,在诊断隐匿性骨折上具有显著优势,是隐匿性骨折的最佳检查方法[18]。本组病例有2名患者首次CT检查未见肋骨骨折,但MRI检查在早期即发现各有2处Ⅰ型肋骨骨折,这说明MRI检查较早期CT检查在诊断隐匿性肋骨骨折上具有极大优势。肋骨损伤的MRI并不是常规进行的项目,且与心跳和呼吸有关的伪影可能会影响诊断,加上MRI检查时间较长,故不建议重度胸外伤患者做此项检查。而对于无MRI检查禁忌证及无肺内并发症迹象的轻度胸外伤患者可以推荐MRI检查作为常规检查方式。
由于肋骨的走行方向为后上向前下,可采用平行于肋骨走行的斜横断位扫描,尽可能在同一层面上显示一根肋骨的形态,有利于观察肋骨骨折导致的信号改变。根据受伤部位的不同扫描角度有所不同,受伤部位越往下角度越大,一般扫描角度为25°~45°。先扫描STIR序列,它是一种对场强要求不高的脂肪抑制序列,大的扫描FOV也能取得较好的脂肪抑制效果[19],一次扫描范围可包全12对肋骨,且受呼吸影响小,故扫描过程中患者只需平静自由呼吸即可获得满意的图像。但其成像时间长且在抑脂的同时也使其他呈短T1信号的组织被抑制,影响其他组织的信号强度[20]。在此基础上,本研究选择T2-SPAIR序列进行第二次补充扫描,此序列成像均匀、图像信噪比高、扫描时间短,但其一次扫描范围不宜过大,可包括5~6对肋骨,需根据STIR序列上异常信号范围进行指定区域扫描,若骨折范围过大,应分两个区域进行扫描。值得注意的是,T2-SPAIR序列受呼吸运动影响大,故需要患者配合屏气,一次屏气需15 s,共3次,多数患者配合良好。本研究发现这两个序列在诊断肋骨骨折上具有较高一致性,而STIR序列由于不受呼吸运动的影响,且一次扫描可包全12对肋骨,方便肋骨骨折的计数和定位,同时有学者认为STIR序列对骨折具有很高敏感性,可用于骨折的筛查[21],故对于轻度胸外伤患者也可只扫描STIR序列用于诊断肋骨骨折。
首先,样本量的不足导致Ⅱ型骨折数偏少,对Ⅱ型骨折的MRI表现不能全面评估,因此,接下来会继续扩大样本量进行进一步验证;其次,为了减少检查时间,本研究扫描序列有限,不利于显示肋骨以外的病变,在后续的研究中会根据实际情况适当增加一些序列;另外,考虑MRI检查不适用于严重创伤患者,本研究仅纳入轻度胸外伤患者,限制了MRI检查在严重创伤患者中的应用。
综上所述,MRI检查对细微肋骨骨折具有较高诊断准确率及敏感性,能清晰显示骨髓水肿(Ⅰ、Ⅱ型骨折)和骨膜下积液(Ⅰ型骨折)。由于MRI检查具有较高的性价比及无辐射的优点,MRI可作为除CT检查以外的常规补充检查项目应用于需行肋骨检查的轻度胸部创伤患者。
全体作者均声明无利益冲突。





















