
基于磁敏感加权成像(susceptibility-weighted imaging,SWI)图像建立深度学习算法模型分析脑浅静脉(superficial cerebral veins,SCV)形态学参数与皮层下深部白质病变(deep white matter lesions,DWML)之间的关联。
招募健康志愿者364名,所有受试者行头颅常规序列及SWI扫描。随机选取其中200名受试者的SWI图像重建得到最小密度投影(minimum intensity projection,MinIP)图像,采用深度学习算法分析MinIP图像,建立SCV形态学特征的自动量化模型。采用该模型分析剩余164名受试者双侧大脑半球SCV的血管直径、曲率等形态学参数。根据有无皮层下DWML将164名受试者分为两组,分别为有皮层下DWML组(共53人)和无皮层下DWML (non-deep white matter lesions,N-DWML)组(共111人)。采用Mann-Whitney U检验对DWML组与N-DWML组的SCV形态学参数进行分析。对差异有统计学意义的指标和皮层下深部白质病变建立二元Logistic回归模型。
用于分析SCV形态学特征的深度学习算法模型在训练集的平均准确率为98.19%,在验证集的平均准确率为98.02%,测试集的平均准确率为98.03%。双侧大脑半球SCV的各项量化指标在年龄及受教育年限的分布中差异均无统计学意义(P>0.05),但在性别中分布中差异有统计学意义,表现为男性双侧大脑半球SCV血管数量均显著多于女性(右侧P=0.004,左侧P<0.001)。DWML组和N-DWML组在双侧大脑半球的SCV直径及数量中差异均无统计学意义(P>0.05),DWML组的SCV曲率较N-DWML组显著增大(P<0.001)。右侧大脑半球SCV曲率与DWML的发生呈显著正相关(回归系数为2.035,P=0.015)。
SCV形态学改变与DWML之间存在潜在关联,SCV曲率改变可能通过影响局部血流动力学改变从而导致DWML的发生。
本刊刊出的所有论文不代表本刊编委会的观点,除非特别声明
脑白质高信号是脑部疾病常见的磁共振征象,与认知障碍、抑郁、大小便障碍等众多病症的发生及进展有显著关联[1, 2, 3, 4, 5, 6, 7]。因而,探索脑白质病变的发生机制对于多种神经系统疾病的防治具有重要的临床价值[8, 9, 10]。既往研究表明,脑动脉病变是脑白质病变发生的重要原因[11, 12]。但越来越多的研究逐渐提示,脑静脉的改变也是脑白质病变发生的潜在因素之一[13, 14, 15]。目前,国内外关于脑静脉的磁共振研究大多数针对于脑深静脉,且结果显示深髓静脉形态学改变与室周旁白质病变的发生及进展有关[14,16]。针对脑浅静脉(superficial cerebral veins,SCV)与白质病变的研究主要为病理学研究,研究结果提示SCV的曲率增大可能会导致皮层下深部白质病变(deep white matter lesions,DWML)的发生[13,17]。因此,我们推测SCV作为大脑皮层功能区的主要引流静脉,其形态学特征改变可能与DWML的发生有关。磁共振成像中的磁敏感加权成像(susceptibility-weighted imaging,SWI)技术是目前活体无创性评估脑静脉分布、数量及形态学特征的最佳显影方法。不少研究者已利用SWI技术揭示了脑深静脉和脑白质病变的关联[13, 14, 15]。然而,目前尚无利用SWI技术探索SCV形态学参数与DWML相关性的研究。因此,本研究对脑白质病变患者行SWI扫描,并利用深度学习算法建立SCV形态参数分析模型,以探索SCV与DWML之间的相关性。
本研究经广州市第一人民医院伦理委员会批准(批准文号:K-2019-166-01),所有受试者均被告知研究目的及内容,并签署知情同意书。
自2018年8月至2021年8月,按照如下纳入及排除标准招募社区健康志愿者。纳入标准:(1)年龄≥18岁且≤79岁,性别不限;(2)受教育年限≥7年;(3)汉族;(4)右利手。排除标准:(1)既往存在颅内占位或颅脑手术史;(2)存在可能引起认知功能障碍及相关症状的中枢神经系统疾病(如帕金森病、抑郁症、代谢性脑病)。最终纳入受试者364名(其中男186名,女178名,年龄18~65岁),从中随机选取受试者200名(男102名,女98名,年龄20~65岁)用于建立深度学习算法模型,剩余164名受试者[男84名,女80名,年龄18~44 (34±6.34)岁]用于后续SCV形态学特征与皮层下DWML的相关性分析研究。
采用德国Siemens Skyra 3.0 T MRI扫描仪和32通道头部相控阵线圈进行检查,用海绵垫固定受试者头部防止转动。常规扫描采用T2-液体衰减反转恢复(fluid attenuated inversion recovery,FLAIR)序列,扫描参数:TR 8500 ms,TE 81 ms,扫描厚度5 mm,层间距1 mm,FOV 240 mm×240 mm,矩阵224×320,翻转角150°;SWI序列扫描参数:TR 28 ms,TE 20 ms,扫描厚度1 mm,层间距1 mm,FOV 220 mm×193.6 mm,矩阵352×352,翻转角15°。
脑静脉迂曲且分支较多,因此本研究采取容积成像进行原始SWI数据重建。经预实验多种不同重建层厚对比分析,发现重建层厚为20 mm时,SCV显影效果最好。故本研究以层厚20 mm,层间距1 mm为容积成像的重建参数,在获得的SWI图像上重建出最小密度投影(minimum intensity projection,MinIP)图,作为模型构建数据集的影像图像数据。
将收集的200名受试者的MinIP图像数据资料导入MicroDicom viewer (https://www.microdicom.com/),统一固定窗宽、窗位,范围约20~40,观察MinIP图中侧脑室水平双侧SCV的显影情况。选择所有受试者的侧脑室上下缘之间任意3张SCV显影最清晰脑层面作为感兴趣区(region of interest,ROI)勾画样本,共计600组图像。
将选中的DICOM格式图像转变为JPG格式,转换后得到与SWI扫描后所选层数相同的JPG格式图像数量,每张图片显示一张切片的完整图像信息,并对应扫描层数。通过位置信息和扫描层数可以迅速定位层数及SCV位置。将所选层面图像导入开源软件Labelme (https://github.com/wkentaro/labelme)中,逐一手动勾画所有可见的SCV轮廓。由于本研究数据集较小,通过数据增强的方式扩充数据集,图像扩增方法包括平移、旋转、左右镜像和随机噪声等。最终获得1000组图像数据用于训练模型。
SCV指大脑皮层区域的浅表脑静脉结构。SWI重建后的MinIP图像对SCV的显影最佳,在MinIP图像中其指的是脑皮层区域中区分于周围白色脑实质区域的线状黑色部分。本文研究目的是识别SCV并自动量化其形态学特征,因此只需对脑实质部分进行分析,脑外部轮廓可能会给神经网络学习造成影响,所以对影像进行提取脑实质的操作。
实验在Windows 10系统下进行,CPU为inter Core i7-8565U@1.80GHz。使用Pytorch框架,Python 3.6版本。实验中,使用DeepLab V3+网络结构训练SCV分割图像(图1),此网络结构解码器(encoder)的主体是带有空洞卷积的深度卷积神经网络(deep convolutional neural network,DCNN),用其基础网络结构Resnet提取图像特征。除此之外,该网络结构解码器还有空洞卷积的空间金字塔池化模块(atrous spatial pyramid pooling,ASPP),其主要是为引入多尺度信息和解码(decoder)模块,将底层特征与高层特征进一步融合,提升分割边界准确度。本研究选择迭代1000次,并对学习率采取逐步递减的方法,以此避免陷入局部最优,即当每迭代200次,对学习率进行调整。输入图像调整尺寸固定在512×512,输出数据为模型分类预测结果。训练深度学习模型的主要参数:模型深度(model depth)=19,隐藏层数量配置(hidden layer cfg)=16,丢弃比率(dropout)=0.5,数据单批次数量(batch size)=64,是否加载预训练模型(pretrained)=true,训练迭代次数(num_epochs)=1000,学习率(learning rate)=0.01。


因数据有限,为确保实验的准确性,我们对1000组数据采用4折交叉验证。将所有数据随机按照6∶2∶2的比例划分为训练集、验证集、测试集。在交叉验证实验中,使用DeepLab V3+网络在4组训练集和验证集上进行实验,得到4组实验的平均准确率指标。根据4折交叉验证结果,可见四组实验的平均训练集准确率为98.19%,平均验证集准确率为98.02%,平均测试集准确率达到了98.03% (表1)。

最优模型在各组实验指标
The optimal model in each group of experimental indicators
最优模型在各组实验指标
The optimal model in each group of experimental indicators
| 交叉实验序号 | 第一组 | 第二组 | 第三组 | 第四组 | 指标平均值 |
|---|---|---|---|---|---|
| 训练集准确率 | 98.11% | 98.01% | 98.21% | 98.40% | 98.19% |
| 验证集准确率 | 97.74% | 98.10% | 98.01% | 98.22% | 98.02% |
| 测试集准确率 | 98.00% | 97.90% | 98.17% | 98.07% | 98.03% |
以同样的重建参数处理本研究纳入的164名受试者的SWI图像,并分别选择其侧脑室水平最大脑层面的MinIP图像放入上述模型中,即可自动识别并获得双侧大脑半球SCV的血管直径、血管曲率(tortuosity ratio)及血管数量。输出参数包括层面所显示的双侧大脑半球SCV的血管直径、血管曲率及血管数量均值。血管直径(diameter)定义为图像中血管的面积与曲线长度的比值。血管曲率定义为血管曲线长度与两端两点间直线距离的比值。分别整理并记录每位受试者的双侧大脑半球SCV量化数据以供统计分析。
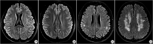
依据T2-FLAIR图像,采用Fazekas量表对所有受试者的DWML分布情况进行判断[18]。Fazekas量表评估DWML的内容如下:(1) 0分:无病变;(2) 1分:点状病变;(3) 2分:病变开始融合;(4) 3分:病变大面积融合(图2)。按照Fazekas量表的量化标准,由两名有经验的放射科医生分别独自依据Fazekas量表完成DWML的评估,当两名医生意见不一致时,共同讨论后得出受试者脑白质评分结果。由于该研究受试者均为健康青年志愿者,因而脑白质病变并不严重,最终人群中只有0分和1分两种评分结果。因此,依据受试者有无皮层下DWML将其分为两组,分别为DWML组和无DWML组(non-deep white matter lesions,N-DWML),其中DWML组共计53人,N-DWML组共计111人。


采用SPSS 25.0软件进行统计分析,所有数据均采用K-S检验进行正态性检验,因大部分数据为非正态分布,因此选择计量资料以中位数及四分位数间距M (QR)进行统计描述,采用Mann-Whitney U检验进行组间比较。用二元Logistic回归分析检测双侧大脑半球的SCV各项量化指标与DWML之间的关系。P<0.05为差异有统计学意义。
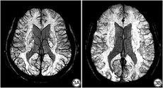
本组数据结果显示,双侧大脑半球SCV的各项量化指标在年龄及受教育年限的分布中差异均无统计学意义(P>0.05)。双侧大脑半球的SCV血管数量在性别分布上差异有统计学意义(右侧P=0.004,左侧P<0.001) (表2),表现为男性的SCV血管数量明显多于女性,且以左侧大脑半球更显著(图3)。

双侧大脑半球脑浅静脉血管数量在性别中的分布特征[M (QR)]
The distribution of the superficial cerebral vein's number in bilateral cerebral hemispheres in gender [M (QR)]
双侧大脑半球脑浅静脉血管数量在性别中的分布特征[M (QR)]
The distribution of the superficial cerebral vein's number in bilateral cerebral hemispheres in gender [M (QR)]
| 右侧血管数量(个) | 左侧血管数量(个) | |
|---|---|---|
| 男性 | 6 (4,7) | 6 (4,7) |
| 女性 | 5 (3,6) | 4 (3,5) |
| Z | -2.875 | -3.796 |
| P | 0.004 | <0.001 |


DWML组的右侧SCV曲率较N-DWML组显著增大(P<0.001),左侧SCV曲率在两组中的分布差异无统计学意义(P=0.371,P>0.05)。两组在双侧大脑半球SCV的直径及血管数量中差异均无统计学意义(表3)。

两组的双侧脑浅静脉各项量化指标比较[M (QR)]
Comparison of quantitative indicators of superficial cerebral veins in bilateral cerebral hemispheres in two groups [M (QR)]
两组的双侧脑浅静脉各项量化指标比较[M (QR)]
Comparison of quantitative indicators of superficial cerebral veins in bilateral cerebral hemispheres in two groups [M (QR)]
| 组别 | 直径(mm) | 曲率 | 血管数量(个) | |||||
|---|---|---|---|---|---|---|---|---|
| 右侧 | 左侧 | 右侧 | 左侧 | 右侧 | 左侧 | |||
| N-DWML | 1.34 (1.22,1.42) | 1.31 (1.21,1.40) | 1.23 (1.16,1.39) | 1.15 (1.13,1.20) | 5 (4,7) | 5 (3,6) | ||
| DWML | 1.28 (1.18,1.38) | 1.29 (1.23,1.43) | 1.37 (1.25,1.50) | 1.17 (1.13,1.25) | 5 (4,6) | 5 (4,7) | ||
| Z | -1.909 | -0.040 | -3.511 | -0.895 | -0.614 | -1.710 | ||
| P | 0.056 | 0.968 | <0.001 | 0.371 | 0.539 | 0.087 | ||
注:N-DWML:无皮层下深部白质病变组;DWML皮层下深部白质病变组。
二元Logistic回归分析结果显示,皮层下DWML与右侧SCV曲率呈显著正相关(回归系数为2.035,P=0.015,P<0.05),即右侧SCV曲率越大,发生DWML的概率就越高,差异具有统计学意义。数据结果显示,右侧SCV曲率较高者发生DWML的概率是曲率较低者的7.649倍。
SWI是一种利用组织间磁化率差异增强图像对比度的MRI技术。人体静脉富含顺磁性脱氧血红蛋白,使得静脉与周围组织产生相位差,SWI依赖这一不同相位效应成像,对静脉有不同于其他磁共振成像序列的特殊敏感性,近年来已越来越多被用于脑静脉的相关研究[19, 20, 21, 22]。目前,国内外运用SWI探索脑静脉的研究主要包括脑静脉解剖变异、脑静脉容积测量、脑静脉形态学改变与局部脑实质病变的关联等方面[14,23, 24, 25, 26, 27, 28],尤其是针对脑深静脉的定性及定量研究[14,29, 30]。Bouvy等[31]发现老年痴呆患者的深髓静脉血管曲率显著高于正常人群。另有学者用7 T SWI发现早期常染色体显性遗传病合并皮质下梗死及白质脑病的患者,其室周旁白质病变及正常白质区域内的深髓静脉血管数量均较对照组显著减少,提示静脉密度减低的出现或早于脑白质病变,表明小静脉病理改变可能是脑白质病变的病因之一[28]。关于SCV与疾病关联的研究,通常主要采用可视化定性评估,定量分析方法较为少见。依据可视化定性评估SCV的方法,研究者们纷纷发现在部分临床疾病急性发作时,诸如急性脑梗死、急性小儿癫痫、偏头痛急性发作等患者中,均存在SCV在患侧及健侧脑中不对称分布的现象,即患侧会出现短暂的SCV可见度增加[32, 33, 34, 35]。可见,SWI对SCV的显影优势具有重要的应用及研究价值。本研究结合SWI的显影优势,基于MinIP图像构建深度学习模型,实现了SCV形态学特征的初步定量分析,并据此模型从影像学角度发现并验证了组织解剖学所提出的SCV病理改变会引起微梗死从而导致脑白质高信号的假设,这在以往研究中鲜有报道。另外,本研究发现了SCV的血管数量分布存在性别差异。
本组数据结果显示男性与女性的SCV血管数量显著不同,男性双侧大脑半球的SCV血管数量均明显多于女性。既往研究发现正常健康人群中,男性的神经元活动度比女性高,脑组织所需血流量大,故脑细胞耗氧率也随之增加[36, 37, 38]。据此脑血循环的性别差异基础,我们推测该研究结果可能是男性和女性的认知维度差异引起神经元活跃度不同,导致局部脑血流量及耗氧率的差异,在二者的双重作用下,呈现为SWI上男性双侧大脑半球的SCV血管数量显著较女性多。该研究结果与大脑血液微循环生理情况下的性别差异相符。此外,国内外研究显示脑静脉血栓的发生存在性别差异,青年女性更易出现脑静脉血栓。而既往研究认为SCV形态学特征与脑静脉血栓的形成具有显著关联。因此,SCV形态学特征是否存在性别差异引起了研究者的关注。有研究发现女性SCV管径、横截面积等均小于男性,这些可能是导致女性易感脑静脉血栓的潜在原因,提示SCV形态学特征的性别差异,可能是脑静脉血栓形成具有性别差异的形态学基础[39, 40]。除此之外,病理学研究提示SCV的分支多少也对脑静脉血栓是否发生起着重要作用[41]。在本研究中,男性双侧大脑半球的SCV血管数量均显著多于女性,有助于进一步阐释女性较男性易感脑静脉血栓的原因。同时,该结果提示本研究所使用的基于深度学习的自动量化模型对SCV形态学特征的评估有一定的实用价值。
本研究显示SCV曲率增加与DWML的发生具有显著正相关性,有DWML的受试者其SCV曲率更大,以右侧显著。尸体解剖组织学研究结果显示,人类大脑皮层区域的一条小静脉需引流由4~5条动脉运输来的血液,这一特征性的解剖构成导致脑小静脉狭窄或闭塞时,将大大增加上游小动脉的血流阻力,因而使得小静脉成为了脑血管疾病的脆弱点。研究者指出脑静脉胶原沉积、静脉曲率增大等病理改变,会增加其引流区脑微梗死发生的概率[13]。既往研究显示,脑白质病变最早可能就是由多个微梗死灶融合而成[42]。据此,我们推测SCV曲率增大与DWML之间潜在关联的原因,主要包括以下两点:首先,当SCV曲率增大时,其引流阻力即随之增大,导致局部脑实质引流静脉的血流速度减缓,甚至血流淤滞,阻碍引流区的脑组织代谢物引流。随时间推移,导致SCV出现病变,如静脉胶原沉积等,使静脉管腔狭窄,静脉引流进一步受损,由此形成恶性循环;其次,SCV曲率增大导致静脉阻力增加,除了引发自身引流不畅外,也会影响上游供血动脉的血流状态,使局部脑实质的供血动脉血流减缓、淤滞,长此以往引起局部脑组织缺血缺氧改变,最终导致脑实质出现相应病变。综上,SCV的曲率增大可能通过影响引流静脉及上游动脉血运的情况,与局部脑白质病变的发生形成关联。
本研究结果仅在右侧大脑半球SCV曲率与DWML中发现了相关性,左侧未见明显关联。既往研究提示人类大脑结构与主导功能存在先天不对称性,其原因部分来自于双侧肢体运动不同,且单侧手运动能力下降与脑功能下降有关[43]。据此,结合本研究结果,我们推测因为本组受试者均为青中年的右利手人群,右手经常得到运动提高了左侧大脑半球神经元的激活率,左侧大脑半球血流量增多,脑静脉回流增加,从而左侧脑血循环代偿能力增强。因此,较右侧大脑半球,左侧大脑半球因脑血微循环所致的脑白质损伤可能性降低。所以在本研究中,青中年右利手存在脑白质病变的人群,其与右侧SCV卷曲度关联更显著,而非左侧。然而,据以往研究,脑白质病变的形成往往是多种因素导致的结果。本研究只在右侧大脑半球发现了SCV曲率变化与DWML之间的关联,有可能只是众多导致白质病变发生的因素之一,抑或是DWML的形成导致SCV的曲率发生了相应变化。二者确切的因果关系仍需更进一步研究探索以阐明。
第一,本研究构建深度学习的量化分析模型,初步探索了SCV与DWML的关系,样本量偏少,需增加样本量进一步研究,以提高其对SCV识别的特异性及敏感性,以期未来对SCV形态学相关指标的量化更为精确;第二,本研究受试者仅限于青年,尚需增加中老年人群,以进一步探索SCV与DWML在自然衰老过程中的变化;第三,尚需利用该模型进一步展开SCV与中枢神经系统疾病的研究,以期挖掘临床疾病早期诊断的影像学指标;第四,本研究尚需结合动脉自旋标记的磁共振数据,进一步验证SCV变化的血流动力学机制。
综上所述,本研究通过构建深度学习模型初步实现了SCV形态学特征的定量分析,可能会为今后临床神经系统疾病的SCV评估提供可参考的客观方法。依据此模型,本研究从影像学的角度提示SCV曲率改变可能是脑白质高信号发生的一个重要病理过程,并发现SCV血管数量的分布存在显著的性别差异。
Guangzhou Science and Technology Plan Project (No. 201907010020).
全部作者均声明无利益冲突。





















