
探讨乳腺动态对比增强磁共振成像(dynamic contrast-enhanced magnetic resonance imaging,DCE-MRI)扫描背景实质强化(background parenchymal enhancement,BPE)程度与乳腺癌不同分子亚型间的相关性。
回顾性分析2019~2020年在我院行乳腺磁共振检查患者的临床及影像学资料。选择DCE-MRI注射对比剂后第一期图像评价BPE。采用Spearman相关性检验比较BPE程度与临床各因素间的相关性;采用χ2检验比较BPE程度与乳腺癌不同分子亚型间、绝经与否的差异。
入组病例199例,包括Luminal A型32例,Luminal B型118例(其中HER-2阳性48例,HER-2阴性70例),HER-2过表达型24例,基底样型25例。BPE程度与患者年龄、体质量、体质量指数(body mass index,BMI)分层呈负相关(P<0.05);BPE程度与患者身高无显著相关性;BPE程度与患者绝经与否呈正相关(P<0.01),绝经患者BPE以极少或轻度强化为主,未绝经患者BPE以轻、中度强化为主,部分为重度强化,差异具有统计学意义(P<0.01)。BPE程度与乳腺癌分子亚型存在相关性(P<0.05),但组间分析结果显示BPE程度在各分子亚型组间差异无统计学意义(P=0.162);将BPE程度合并后分为极少强化+轻度、中度+重度两组并观察组间差异,结果显示BPE程度在各分子亚型组间差异无统计学意义(P=0.298)。
乳腺磁共振BPE程度与患者年龄、体质量、BMI、绝经与否具有相关性,BPE总体与乳腺癌分子亚型存在相关性,但分组后组间差异无统计学意义。
本刊刊出的所有论文不代表本刊编委会的观点,除非特别声明
乳腺癌居全球女性恶性肿瘤之首[1],是我国肿瘤防治的重点病种,不同分子亚型乳腺癌治疗方式及预后截然不同[2]。乳腺MRI的发展应用为乳腺癌早期发现、术前诊断及疗效评估提供必不可少的技术支持。美国放射学院2013版乳腺影像报告与数据系统(Breast Imaging Reporting and Data System,BI-RADS)中提出,乳腺动态对比增强MRI (dynamic contrast-enhanced MRI,DCE-MRI)检查描述中应当包含乳腺背景实质强化(background parenchymal enhancement,BPE)[3],BPE定义为乳腺正常纤维腺体的强化,MR对于乳腺癌的诊断是基于癌灶与正常腺体实质之间强化方式存在差异[4],故而BPE程度对乳腺癌的诊断具有重要意义。近年来多数研究关注BPE预测乳腺癌新辅助化疗疗效评估、BPE与保乳术后切缘的关系以及BPE与乳腺癌高危人群的相关性等方面[5, 6, 7, 8],而对于乳腺BPE程度与乳腺癌分子亚型是否具有相关性存在较大争议[9, 10, 11, 12, 13, 14, 15]。因此,本研究旨在深入探究初诊时患者乳腺BPE程度与乳腺癌分子亚型、临床一般资料间的联系,尝试为乳腺癌术前诊断提供新的思路。
本研究为回顾性研究,已征得昆明医科大学第一附属医院伦理委员会批准(2018伦审L第23号),免除受试者知情同意。回顾性分析2019~2020年在我院行乳腺MR检查患者的临床及影像学资料。纳入标准:(1)经病理确诊的乳腺癌患者,具有完整的免疫组化结果,获得分子亚型;(2)具有完整的治疗前乳腺磁共振图像;(3)有完整的临床资料,包括月经状态、身高、体质量、既往史、手术史等,计算出患者的体质量指数(body mass index,BMI)并分层:体质量偏轻组(BMI≤18.5 kg/m2)、体质量正常组(BMI为18.5~22.9 kg/m2)、超重组(BMI为23.0~24.9 kg/m2)、肥胖组(BMI为25.0~29.9 kg/m2)以及重度肥胖组(BMI≥30 kg/m2)。排除标准:(1)曾行乳腺癌内分泌治疗、化疗及放疗等;(2)乳腺癌术后复发;(3)曾行子宫和/或卵巢切除术,或子宫、卵巢肿瘤史;(4)曾有口服避孕药史。共收集病例229例,其中18例曾行子宫和/或卵巢切除术,双侧乳腺癌4例,复发者或已行放化疗8例,最终纳入199例。
采用荷兰PHILIPS公司ACHIEVA 3.0 T超导磁共振扫描仪及相应EWS后处理工作站。采用乳腺专用线圈,患者取俯卧位头先进,身体及双肩放平,乳房自然悬垂于线圈内,行双乳横断位T1WI、T2WI脂肪抑制及DWI和DCE-MRI扫描。T1WI:TR 400 ms,TE 10 ms;T2WI:TR 5000 ms,TE 60 ms;DWI:TR 3300 ms,TE 71 ms,b值分别取0、1000 s/mm2;层厚4 mm,层间距1 mm;FOV 350 mm×350 mm。DCE-MRI:TR 4.1 ms,TE 1.2 ms,层厚4 mm,无间隔,FOV 350 mm×350 mm。于注药前扫描一期,注药后12 s开始连续无间隔扫描5期,每个期相扫描时间120 s。经肘静脉高压注射器注入对比剂Gd-DTPA (钆喷酸胺,马根维显,德国Bayer公司),剂量0.2 mmol/kg,注射流率0.2 mL/s,注射完毕后追加15 mL生理盐水推注。
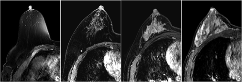
依据美国放射学院2013版BI-RADS,在DCE-MRI注射对比剂后第一期图像中选取健侧乳腺评价BPE,由两名分别从事乳腺影像诊断5年和16年的放射科医生独立阅片,采用目测四分法依据纤维腺体组织强化范围分为四类:极少(<25%腺体组织强化)、轻度(25%~50%腺体组织强化)、中度(51%~75%腺体组织强化)、重度(>75%腺体组织强化)[16] (图1),若二者判读存在分歧协商后达成一致。


病理诊断按照WHO乳腺肿瘤分级确定[17],采用免疫组化法检测雌激素受体(estrogen receptor,ER)、孕激素受体(progesterone receptor,PR)、人表皮生长因子受体2 (human epidermal growth factor receptor 2,HER-2),以及检测肿瘤增殖情况的Ki-67指数。根据2017年St. Gallen专家共识会议标准[18],将乳腺癌分为4种分子亚型:(1) Luminal A型:ER和/或PR阳性,HER-2阴性,Ki-67阳性率<14%;(2) Luminal B型分为:Luminal B (HER-2阴性):ER和/或PR阳性,HER-2阴性,Ki-67阳性率≥14%;Luminal B (HER-2阳性):ER和/或PR阳性,HER-2阳性;(3) HER-2过表达型:HER-2阳性,ER、PR阴性;(4)基底样型:ER、PR、HER-2阴性。
采用SPSS 26.0软件分析。采用Spearman相关性检验比较BPE程度与计数资料间相关性。采用χ2检验比较不同BPE程度与患者绝经与否的差异。采用Fisher确切概率法分析4类BPE程度与分子亚型间差异,采用Pearson卡方检验分析合并为2类的BPE程度与分子亚型间差异。P<0.05表示差异有统计学意义。
乳腺癌患者BPE程度与年龄呈负相关(r=-0.413,P<0.001);BPE程度与身高无相关性(r=-0.115,P=0.106);BPE程度与体质量呈负相关(r=-0.181,P=0.011);BPE程度与BMI分层呈负相关(r=-0.149,P=0.036)。见表1、2。

BPE程度与患者基本特征的相关性
Correlation analysis between BPE and basic characteristics
BPE程度与患者基本特征的相关性
Correlation analysis between BPE and basic characteristics
| BPE程度 | 年龄(岁) | 身高(cm) | 体质量(kg) |
|---|---|---|---|
| 极少 | 58.1±8.6 | 1.603±0.043 | 60.185±9.195 |
| 轻度 | 50.6±9.5 | 1.583±0.047 | 56.731±7.600 |
| 中度 | 45.8±10.3 | 1.582±0.040 | 56.484±7.917 |
| 重度 | 42.8±6.4 | 1.582±0.048 | 53.444±5.371 |
| r | -0.413 | -0.115 | -0.181 |
| P | <0.001 | 0.106 | 0.011 |
注:BPE:背景实质强化。

BPE程度与BMI分层的相关性
Correlation analysis between BPE and BMI degree
BPE程度与BMI分层的相关性
Correlation analysis between BPE and BMI degree
| BPE程度 | BMI分层 | ||||
|---|---|---|---|---|---|
| 偏轻 | 正常 | 超重 | 肥胖 | 重度肥胖 | |
| 极少 | 0 | 14 | 10 | 3 | 0 |
| 轻度 | 4 | 61 | 23 | 0 | 3 |
| 中度 | 6 | 38 | 17 | 1 | 1 |
| 重度 | 2 | 12 | 4 | 0 | 0 |
| r | -0.149 | ||||
| P | 0.036 | ||||
注:BPE:背景实质强化;BMI:体质量指数。
BPE程度与患者绝经情况呈正相关(r=0.348,P<0.001),已绝经患者BPE以轻度为主,占51.1%;未绝经患者BPE以轻、中度为主,均分别占41.1%,差异具有统计学意义(χ2=25.292,P<0.001)。见表3。

BPE程度与患者绝经状况的相关性
Correlation analysis between BPE and menopause
BPE程度与患者绝经状况的相关性
Correlation analysis between BPE and menopause
| 绝经与否 | BPE程度[n (%)] | r | P | χ2 | P | |||
|---|---|---|---|---|---|---|---|---|
| 极少 | 轻度 | 中度 | 重度 | |||||
| 已绝经 | 22 (23.9) | 47 (51.1) | 19 (20.7) | 4 (4.3) | 0.348 | <0.001 | 25.292 | <0.001 |
| 未绝经 | 5 (4.7) | 44 (41.1) | 44 (41.1) | 14 (13.1) | ||||
| 合计 | 27 (13.6) | 91 (45.7) | 63 (31.7) | 18 (9.0) | ||||
注:BPE:背景实质强化。
BPE程度与乳腺癌分子亚型间存在相关性(r=-0.173,P=0.015);BPE程度在不同分子亚型乳腺癌组间比较差异无统计学意义(χ2=16.090,P=0.162),见表4。考虑入组患者总数有限,具体到BPE程度与对应病理分型后,部分组间数据较少,故将BPE程度合并分为两组:轻度强化组(极少+轻度)、明显强化组(中度+重度),观察组间差异,结果显示合并分组后BPE程度在不同分子亚型乳腺癌组间差异无统计学意义(χ2=4.894,P=0.298),见表5。

BPE在不同分子亚型乳腺癌组间差异
The different between BPE degree and the molecular subtypes of breast cancer
BPE在不同分子亚型乳腺癌组间差异
The different between BPE degree and the molecular subtypes of breast cancer
| 分子亚型 | BPE程度[n (%)] | r | P | χ2 | P | |||
|---|---|---|---|---|---|---|---|---|
| 极少 | 轻度 | 中度 | 重度 | |||||
| Luminal A型 | 3 (9.4) | 13 (40.6) | 10 (31.3) | 6 (18.8) | -0.173 | 0.015 | 16.090 | 0.162 |
| Luminal B型(HER-2-) | 8 (11.4) | 30 (42.9) | 28 (40.0) | 4 (5.7) | ||||
| Luminal B型(HER-2+) | 7 (14.6) | 22 (45.8) | 12 (25.0) | 7 (14.6) | ||||
| HER-2过表达型 | 2 (8.3) | 15 (62.5) | 7 (29.2) | 0 (0.0) | ||||
| 基底样型 | 7 (28.0) | 11 (44.0) | 6 (24.0) | 1 (4.0) | ||||
注:BPE:背景实质强化;HER-2:人表皮生长因子受体2。

合并分组后BPE在不同分子亚型乳腺癌组间差异
The different between combined BPE degree and the molecular subtypes of breast cancer
合并分组后BPE在不同分子亚型乳腺癌组间差异
The different between combined BPE degree and the molecular subtypes of breast cancer
| 分子亚型 | BPE程度[n (%)] | χ2 | P | |
|---|---|---|---|---|
| 轻度强化 | 明显强化 | |||
| Luminal A型 | 16 (50.0) | 16 (50.0) | 4.894 | 0.298 |
| Luminal B型(HER-2-) | 38 (54.3) | 32 (45.7) | ||
| Luminal B型(HER-2+) | 29 (60.4) | 19 (39.6) | ||
| HER-2过表达型 | 17 (70.8) | 7 (29.2) | ||
| 基底样型 | 18 (72.0) | 7 (28.0) | ||
注:BPE:背景实质强化;HER-2:人表皮生长因子受体2。
本研究主要采用乳腺DCE-MRI技术获得的乳腺BPE程度与患者乳腺癌分子亚型、临床一般资料间进行相关性分析,结果显示BPE程度与患者年龄、体质量、BMI分层、绝经与否具有相关性(P<0.005),BPE总体与乳腺癌分子亚型存在相关性(P<0.005),但分组后组间差异无统计学意义。既往针对乳腺BPE程度研究主要集中在用于预测乳腺癌新辅助化疗疗效评估、BPE与保乳术后切缘的关系以及BPE与乳腺癌高危人群的相关性等方面,而对于患者一般资料与BPE程度的相关性分析仅限于患者的绝经情况,而本研究较为全面地分析BPE与患者年龄、体质量、BMI、绝经与否的相关性,并在此基础上分析BPE与乳腺癌分子亚型间的联系,尝试从多个角度观察BPE与乳腺癌,试图为临床在术前诊疗方面提供思路。
BPE指乳腺正常纤维腺体的强化,目前主要采用目测四分法依据纤维腺体组织强化范围分为四类:极少(<25%腺体组织强化)、轻度(25%~50%腺体组织强化)、中度(51%~75%腺体组织强化)以及重度(>75%腺体组织强化)[16]。BPE是个性化且存在动态改变的过程,即不同个体BPE程度、同一个体不同时期BPE程度均存在差异[19],受乳腺血供分布、激素水平、内分泌因素、放化疗等因素影响[20, 21, 22]。本研究结果显示BPE程度与患者年龄呈负相关,与绝经情况呈正相关,进一步组间差异比较发现,绝经后患者BPE以极少或轻度强化为主,而未绝经患者BPE以轻、中度强化为主,部分为重度强化,绝经后患者BPE程度低于绝经前,差异具有统计学意义,与国外学者研究结果一致[23, 24]。从生理学角度分析,主要原因可能是:(1)未绝经女性体内雌激素组胺样作用诱导血管舒张,增加微血管通透性;(2)激素促进有丝分裂提高新陈代谢活性从而导致血管灌注增加[22],乳腺是激素敏感器官,较高激素水平可以刺激乳导管和小叶生长,使BPE程度维持在较高水平[25];(3)绝经后女性体内雌激素及孕激素水平下降,导致上述作用减低,从而导致乳腺BPE程度降低[26]。
肥胖可以改变肿瘤细胞生长的微环境,增加化疗抵抗作用,是乳腺癌发生、发展的重要危险因素[27]。BMI是国际通用评价肥胖的指标,高BMI对女性的影响大于男性,尤其对于乳腺癌和子宫内膜癌患者[28]。本研究结果显示BPE程度与患者体质量、BMI分层呈负相关,乳腺癌患者中肥胖者的BPE程度较轻,反之体质量偏轻或体质量正常患者的BPE程度较明显,推测可能因为肥胖患者乳腺腺体含量少而脂肪成分较多。但是,Watt等[23]则得出相反的结论,他们认为无论是绝经前或绝经后女性,BMI≥25的患者BPE均以中、重度居多。乳腺腺体强化与自身血供分布、激素水平、内分泌等多种因素复杂作用相关,既往针对乳腺癌患者肥胖程度与BPE关系的研究并不多,期待未来在不同人群中进一步研究以阐明BMI与BPE、乳腺癌之间的关系。
本研究结果显示BPE与乳腺癌分子亚型存在相关性,BPE程度越高时,乳腺癌病理分型更倾向于Luminal A或Luminal B型,BPE程度越低时,乳腺癌病理分型更倾向于HER-2过表达型或基底样型。Vreemann等[9]得出类似结论,他们认为乳腺癌患者BPE程度较低可能与肿瘤恶性程度高及孕酮受体阴性有关。复旦大学肿瘤医院放射科团队研究认为[10]:BPE量化特征在4种分子亚型乳腺癌中从低到高排序依次为:基底样型<HER-2阳性<Luminal B型<Luminal A型,进一步分析认为BPE能将基底样型区别于其他类型的乳腺癌,原因可能是基底样型激素受体阴性,导致基底样型上皮血供差异,因而较其他类型乳腺癌BPE程度减低。但是,目前针对BPE与乳腺癌分子亚型间是否存在相关性争论较多,国外有学者研究认为BPE与分子亚型间不存在相关性[11]。另两位学者的研究则出现相反结论,Wu等[12]认为BPE较高的患者发生Luminal B型乳腺癌的风险较高,可能与Luminal B型富含与血管生成相关的成纤维细胞生长因子有关[13];而Dilorenzo等[14]则认为Luminal B (HRE-2阴性)型多表现为轻度BPE,而基底样型乳腺癌与BPE升高存在相关性。Watt等[23]研究认为HER-2过表达型乳腺癌与较高的BPE独立相关。Zhang等[15]研究认为BPE不仅与乳腺癌分子亚型相关,还能作为一种判断预后的标志物。基于上述争论,本研究进一步分组探讨BPE在各分子亚型组间的分布差异,结果显示差异无统计学意义。究其原因可能是几组亚型间病例数差异大,以Luminal B型较多(118例),而其余三类较少,导致分析出现偏差。乳腺癌主要是通过病理活检及免疫组化分析来确定其病理类型和分子亚型,不同分子亚型乳腺癌治疗方式及患者预后截然不同,其中Luminal A型术后主要采取单纯内分泌治疗,而Luminal B型、HER-2过表达型、基底样型则需要采用细胞毒治疗等综合治疗方式。因此,通过探讨BPE与乳腺癌分子亚型间的相关性,可以在一定程度上帮助预测分子亚型[14],为临床诊疗提供依据。
本研究存在一定局限性:(1)本研究评估BPE采用的是目前常规的评估方法,即对BPE主观评估分析,易受阅片者主观性影响,期望在今后的研究中能尝试定量分析方法;(2)本研究为回顾性分析,对于未绝经患者,无法追述患者行MR检查时月经周期情况,因此无法判断不同月经周期对BPE的影响,目前针对月经周期是否影响BPE程度的研究结论存在较大差异[19,29, 30];(3)本次研究中不同分子亚型的病例数差异较大,期待在今后的研究中扩大样本量。
综上所述,虽然BPE是个性化且动态变化的因素,但是BPE特征对乳腺癌的诊断具有重要意义,BPE与乳腺癌患者体质量、BMI、绝经与否之间存在相关性,且BPE程度在一定程度上能为预测乳腺癌分子亚型提供思路,为临床选择治疗方案提供参考,但BPE是否能作为评估乳腺癌分子亚型的影像学指标,仍有待继续研究。
Basic Research Plan of Yunnan Science and Technology Plan Project (Special Project of Kunming Medical Association, No. 202101AY070001-101); Yunnan High-level Health Technical Personnel Training Program (No. H-2018007).
全部作者均声明无利益冲突。





















