
探讨优化参数后的运动敏感驱动平衡(motion-sensitized driven-equilibrium, MSDE)序列对颅内血管壁成像质量的影响。
随机选取65名受检者采用优化前、后MSDE序列进行头颅MR扫描,主观评估优化前后整体图像质量和主要颅内动脉节段的管腔管壁成像质量,并客观测量脑白质、脑灰质、脑脊液的信噪比(signal to noise ratio, SNR)和对比噪声比(contrast to noise ratio, CNR),比较优化前后两组图像的差异。
参数优化后MSDE序列扫描时间由4 min 4 s缩短至2 min 29 s。优化后脑白质、脑灰质和脑脊液的SNR及CNR值均高于优化前,差异均有统计学意义(P<0.05)。整体图像质量、右侧椎动脉V4段、基底动脉、右侧颈内动脉C1段、双侧颈内动脉C4段、双侧大脑后动脉P2段的管腔管壁优化后图像质量优于优化前,其差异具有统计学意义(P<0.05)。
参数优化后的MSDE序列能明显缩短扫描时间,提升图像质量,清晰显示颅内血管壁,满足诊断要求。
本刊刊出的所有论文不代表本刊编委会的观点,除非特别声明
脑血管疾病是威胁人们生命和健康的重大疾病,近年来其发病率、致残率和死亡率逐年增高且呈年轻化趋势[1],研究显示我国脑卒中患者位于世界首位,且脑卒中是导致我国居民死亡的首位病因[2],因此早期及时诊断具有重要意义。颅内血管壁磁共振成像(vessel wall magnetic resonance imaging, VW-MRI)是评估脑血管疾病最佳的无创性手段,现已被应用于相关疾病的病因诊断、疗效评估和预后预测[3]。近年来颅内VW-MRI发展迅速,其通过磁共振黑血成像技术得以实现,该技术可有效抑制血管腔内的血流信号,从而清晰显示血管壁、斑块、血栓等的形态结构,常用于动脉粥样硬化、血管炎、颅内动脉夹层、颅内动脉瘤、烟雾病等疾病的诊断及鉴别诊断[4, 5]。常规头颅CT血管成像(CT angiography, CTA)和磁共振血管成像(magnetic resonance angiography, MRA)无法对血管壁进行很好的显示,而颅内VW-MRI可弥补这一不足,但现阶段仍然缺乏规范化的颅内血管壁成像技术和临床应用方案[3]。此外,目前多数颅内磁共振黑血序列扫描范围局限、扫描时间长,通常超过6 min[6],故其在临床上应用受限,导致相关疾病检出率较低,延误治疗。而运动敏感驱动平衡(motion-sensitized driven-equilibrium, MSDE)序列作为磁共振黑血成像技术的一种,可以很好地克服这一缺点,实现了大范围、快速扫描[7, 8, 9]。
MSDE序列由对称的运动敏感梯度和90°-180°-负90°脉冲组成,利用流动质子的散相原理,从而实现黑血效果,既往研究表明该技术已用于颈动脉斑块、颅内动脉瘤、颅内肿瘤及脑转移瘤的评估、多部位神经成像等,具有较大发展潜力[10]。本研究将优化前和优化后MSDE序列图像进行对比,旨在通过优化MSDE序列参数提升颅内血管壁的成像质量,缩短扫描时间,以降低患者对检查依从性的要求,减少运动伪影,探索其临床推广的价值。
随机选取2021年6月至2021年9月在我院接受头颅MRI平扫检查的受检者65例。纳入标准:无颅内血管性病变、脱髓鞘病变及肿瘤性病变的受检者。排除标准:磁共振检查禁忌证者;因金属、运动等因素而致图像存在明显伪影者。本研究经我院伦理委员会批准(批准文号:2021-662),所有受试者均已签署知情同意书。
受检者MRI头颅平扫均在Philips Ingenia 3.0 T MRI扫描仪(Philips Healthcare,荷兰)上进行,采用32通道头颅线圈(DNA ds Head Coil 32ch)。受检者呈仰卧位,头先进,在常规MR头颅平扫序列的基础上,加扫优化前、后的MSDE序列。MSDE序列采用3D容积自旋回波扫描技术,黑血脉冲选择MSDE,采用反转恢复频率选择预饱和法(spectral presaturation with inversion recovery, SPIR)对脂肪组织进行抑制。优化前MSDE序列扫描参数为:TR 700 ms;TE 35 ms;FOV 200 mm×251 mm×160 mm;体素0.8 mm×0.8 mm×0.8 mm;采集矩阵252×314;重建矩阵432;扫描层厚0.8 mm;扫描层数400;激励次数(number of signal average, NSA)2;翻转角80°;回波链长度55;敏感性编码技术(sensitivity encoding, SENSE):P reduction(AP)1.7,S reduction(RL)2.5;过采样因子(oversample factor)1.2;扫描时间:4 min 4 s。优化后MSDE序列扫描参数:TR 700 ms;TE 35 ms;FOV 200 mm×240 mm×175 mm;体素1 mm×1 mm×1 mm;采集矩阵240×240;重建矩阵480;扫描层厚1 mm;扫描层数340;NSA 2;翻转角80°;回波链长度55;SENSE:P reduction(AP)2,S reduction(RL)4;过采样因子1.8;长程平均技术(serial motion artifact reduction technique, SMART)yes;扫描时间2 min 29 s。
由两名分别具有4年和5年从事血管相关诊断工作经验的诊断医师采用盲法在IntelliSpace Portal后处理工作站(NET framework 1.1版本,Philips Healthcare,荷兰)上对优化前、后两组MSDE图像的质量进行主观评价和客观评价。
采用李克特5分量表[11](1分:非诊断性;2分:差;3分:中等:4分:好;5分:很好)对整体图像质量和各血管(按照Bouthillier分段法[12],分为双侧椎动脉V4段、基底动脉、双侧颈内动脉C1段及C4段、双侧大脑前动脉A1段及A2段、双侧大脑中动脉M1段及M2段、双侧大脑后动脉P1段及P2段)管腔管壁图像质量进行评分。具体评分标准如下:1分:非诊断性图像质量,伪影严重,图像失真或信号强度差,管腔管壁显示不清;2分:图像质量较差,存在明显伪影,中度模糊或信号强度较低,管腔管壁显示较模糊;3分:中等图像质量,轻微伪影或模糊,管腔管壁显示稍显不清;4分:图像质量较佳,伪影少,管腔管壁显示较为清晰;5分:优秀的图像质量,几乎不存在伪影,管腔管壁显示清晰。排除2分及以下的图像。
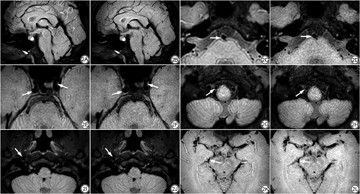
在轴位上进行感兴趣区(region of interest, ROI)勾画测量(图1),为保证ROI大小形状一致,采用复制-粘贴ROI的方式进行勾画。SI测量:SI脑白质将ROI放置在半卵圆中心,SI脑灰质将ROI放置在背侧丘脑,SI脑脊液将ROI放置在第四脑室,SI颞肌将ROI放置在颞肌最大层面,四者的ROI面积均为20 mm2;SD背景测量:以脑白质为背景,将面积为100 mm2的ROI放置在半卵圆中心。以上除第四脑室测量两次取平均值外,其余组织均左右两侧对称测量并取平均值。由于使用并行采集技术得到的图像的噪声分布是非均匀的,故没有直接测量背景中空气的噪声,而以脑白质的信号的标准差作为背景噪声[13]。计算CNR时以颞肌信号作为对照,计算公式为:SNR组织=SI组织/SD背景,CNR组织-颞肌=(SI组织-SI颞肌)/SD背景(SI组织为各组织的信号平均值,组织包括脑白质、脑灰质和脑脊液)。


采用SPSS 25.0统计软件(IBM公司,美国)进行统计学分析。主观评价中,将两名阅片者的评分结果用(±s)表示,采用Wilcoxon秩和检验;客观评价中,计量资料若符合正态分布,用(±s)表示,采用配对样本t检验,若不符合正态分布,用M(Q1, Q3)表示,采用Wilcoxon秩和检验。并对两名诊断医师的图像评分结果进行Kappa一致性检验,对SNR和CNR测量值采用组内相关系数(intraclass correlation coefficient, ICC)进行一致性检验。具体标准如下:Kappa/ICC≤0.4:一致性差,0.4<Kappa/ICC<0.75:一致性良好,0.75≤Kappa/ICC<0.8:一致性好,Kappa/ICC≥0.8:一致性优异。P<0.05视为差异有统计学意义。
纳入65例受检者,排除5例2分及以下的图像后,最终共纳入研究60例,其中男性21例,女性39例,年龄(33.3±10.3)岁。
所有评分指标优化后得分较优化前得分增高。整体图像质量、右侧椎动脉V4段、基底动脉、右侧颈内动脉C1段、双侧颈内动脉C4段、双侧大脑后动脉P2段的管腔管壁优化后图像质量优于优化前图像质量,优化前、后图像质量差异具有统计学意义(P<0.05);左侧椎动脉V4段、左侧颈内动脉C1段、双侧大脑前动脉A1段及A2段、双侧大脑中动脉M1段及M2段、双侧大脑后动脉P1段的管腔管壁图像质量优化前、后差异无统计学意义(P>0.05)(表1、图2)。两名诊断医师主观评分的Kappa值为0.989(P<0.05),一致性优异。

优化前、后MSDE图像质量主观评价
优化前、后MSDE图像质量主观评价
| 主观评分内容 | 优化后得分 | 优化前得分 | Z值 | P值 |
|---|---|---|---|---|
| 整体图像质量 | 4.47±0.50 | 3.00±0.00 | -6.954 | <0.001 |
| 椎动脉 | ||||
| V4段 | ||||
| 左侧 | 3.72±0.45 | 3.65±0.48 | -1.633 | 0.102 |
| 右侧 | 3.73±0.45 | 3.60±0.49 | -2.828 | 0.005 |
| 基底动脉 | 3.80±0.40 | 3.63±0.49 | -2.887 | 0.004 |
| 颈内动脉 | ||||
| C1段 | ||||
| 左侧 | 3.43±0.50 | 3.37±0.49 | -1.265 | 0.206 |
| 右侧 | 3.48±0.50 | 3.37±0.49 | -2.333 | 0.020 |
| C4段 | ||||
| 左侧 | 4.53±0.50 | 4.28±0.49 | -3.873 | <0.001 |
| 右侧 | 4.48±0.54 | 4.27±0.52 | -3.606 | <0.001 |
| 大脑前动脉 | ||||
| A1段 | ||||
| 左侧 | 4.78±0.42 | 4.77±0.43 | -0.577 | 0.564 |
| 右侧 | 4.77±0.43 | 4.75±0.44 | -1.000 | 0.317 |
| A2段 | ||||
| 左侧 | 4.58±0.50 | 4.53±0.50 | -1.732 | 0.083 |
| 右侧 | 4.57±0.50 | 4.53±0.50 | -1.414 | 0.157 |
| 大脑中动脉 | ||||
| M1段 | ||||
| 左侧 | 4.95±0.22 | 4.93±0.25 | -1.000 | 0.317 |
| 右侧 | 4.97±0.18 | 4.95±0.22 | -1.000 | 0.317 |
| M2段 | ||||
| 左侧 | 4.95±0.22 | 4.92±0.28 | -1.414 | 0.157 |
| 右侧 | 4.95±0.22 | 4.93±0.25 | -1.000 | 0.317 |
| 大脑后动脉 | ||||
| P1段 | ||||
| 左侧 | 4.83±0.38 | 4.78±0.42 | -1.732 | 0.083 |
| 右侧 | 4.82±0.39 | 4.77±0.43 | -1.732 | 0.083 |
| P2段 | ||||
| 左侧 | 4.85±0.36 | 4.77±0.43 | -2.236 | 0.025 |
| 右侧 | 4.85±0.36 | 4.78±0.42 | -2.000 | 0.046 |


优化后MSDE图像的脑白质、脑灰质和脑脊液的SNR及CNR较优化前均有所提高,且优化前、后两组图像SNR和CNR差异均有统计学意义(P<0.05)(表2)。两名诊断医师SNR测量值的ICC值为0.938(P<0.05),CNR测量值的ICC值为0.953(P<0.05),一致性优异。

优化前、后MSDE图像SNR及CNR比较
优化前、后MSDE图像SNR及CNR比较
| 测量指标 | 优化后 | 优化前 | t值 | P值 |
|---|---|---|---|---|
| SNR脑白质 | 35.66±5.21 | 30.00±3.80 | 13.648 | <0.001 |
| SNR脑灰质 | 33.64±5.21 | 28.26±3.69 | 13.513 | <0.001 |
| SNR脑脊液 | 24.37±4.81 | 18.55±3.97 | 16.316 | <0.001 |
| CNR脑白质-颞肌 | 24.54±3.69 | 21.01±2.85 | 12.258 | <0.001 |
| CNR脑灰质-颞肌 | 22.52±3.74 | 19.27±2.80 | 11.689 | <0.001 |
| CNR脑脊液-颞肌 | 13.25±3.76 | 9.56±3.41 | 14.647 | <0.001 |
注:MSDE:运动敏感驱动平衡;SNR:信噪比;CNR:对比噪声比。
本研究发现优化后的MSDE序列在SNR、CNR、整体图像质量、右侧椎动脉V4段、基底动脉、右侧颈内动脉C1段、双侧颈内动脉C4段、双侧大脑后动脉P2段的管腔管壁等方面较优化前均有所提升。
MSDE预脉冲由90°-180°-负90°三个非选择性射频脉冲组成,并分别在相位编码、频率编码和层面选择三个方向上的180°脉冲周围施加对称的运动敏感梯度,利用流动质子的运动自旋失相位,以实现对各个方向血流信号的抑制[14, 15]。它可与众多序列相结合,当其用于头颈部血管壁成像时,常与超快速自旋回波(turbo spin-echo, TSE)序列相结合[16],本研究使用的MSDE序列即在3D TSE序列前增加MSDE预脉冲和脂肪饱和模块。3D序列采集的图像具有各向同性,可通过多平面重组(multiplanar reformation, MPR)在各个方位对血管壁进行观察,从而对管壁做出更加准确的整体评价[17]。
临床中最常用的黑血技术为双反转恢复(double inversion recovery, DIR)序列,但其一般都为2D成像序列,扫描层数增加会导致扫描时间成倍地增加,故其对血液的抑制效率不高,并且无法实现对慢血流和湍流血液信号的完全抑制[18],而MSDE序列对快血流和慢血流均能达到很好的抑制效果,甚至血液流速越快、流动模式越复杂,信号抑制效果越好[10]。此外,与DIR序列相比,MSDE序列无需等待反转时间(inversion time, TI)[19],故扫描时间更短。Li等[20]通过对比MSDE序列与mDIR(modified DIR)序列,认为MSDE序列能更好地显示颈动脉粥样硬化斑块,并可对斑块进行定量测量,从而监测动脉粥样硬化的进展或消退。虽然MSDE序列可以有效抑制血流信号,产生极好的黑血图像,但也存在一定的局限性。由于MSDE预脉冲基于T2准备脉冲和运动敏感梯度,会使图像对比度带有一定的T2加权和弥散加权[21],脑沟内脑脊液流动性较弱,运动敏感模块效果较差,故其脑脊液信号升高;并容易受到T2污染,使T1对比度降低,从而导致脑白质和脑灰质对比度减弱,可能妨碍某些脑损伤的精确解剖定位[22],可以通过对比其他常规序列来解决解剖定位问题。此外,运动敏感梯度产生的涡流效应和B1场的不均匀性造成整个图像的信号损失,从而降低SNR和CNR[23, 24, 25],本研究经过参数优化,可进一步提升SNR和CNR,对此进行弥补。在临床应用中,改善血流抑制效果的同时保持可接受的扫描时间,MSDE序列可能是更实际的选择,而不是以更长的采集时间为代价而使用空间分辨率更高的序列[26]。
优化后的MSDE序列扫描时间明显提升,由4 min 4 s缩短至2 min 29 s。一项研究显示,约有10%的颅内MR血管壁成像存在较重的运动伪影[27],致使图像无法满足诊断要求,既往研究中MSDE序列应用于颅脑时扫描时间为3 min 36 s至7 min 45 s不等[16, 22, 28, 29],本研究经过参数优化后扫描时间不超过3 min,降低了患者对检查耐受度和依从性的要求,有效减少了运动伪影。
本研究主要对层厚、体素、FOV、矩阵、SENSE、过采样因子等参数进行优化,使脑白质、脑灰质和脑脊液的SNR均升高5.5左右,CNR均升高3.5左右。增大层厚和体素可提高SNR,缩短扫描时间,但会使空间分辨率降低,且模糊效应也随之增大。减小相位编码方向的矩阵和FOV可以缩短扫描时间。SENSE为并行采集技术,采用该技术可缩短扫描时间,且SENSE因子越大,扫描时间越短,但SNR也会随之下降。减少NSA也可减少扫描时间,但会造成图像SNR降低,且增大SENSE因子后为了保证图像质量,不应继续减小NSA,此外,SNR与NSA的平方根成正比[30],故降低NSA并不是最优解。由于NSA>1,所以我们开启SMART,以减少在多次激励次数下的运动伪影,同时增加过采样因子以减少卷褶伪影。有研究对iMSDE(improved MSDE)序列进行优化,但Obara等[31]是在原始预脉冲前再增加额外的双极梯度,他们的研究发现由于改进的涡流补偿,优化后序列表现出更小的空间变异和信号损失,但其并未对优化前后的常规参数进行修改。
整体图像质量主观评分在参数优化后得分明显增高,脑干、脑实质的噪声稍有减小,对小脑纹理显示也更加清晰。在管腔管壁显示方面,纳入研究的所有血管节段优化后得分均比优化前有所增高。右侧椎动脉V4段、基底动脉、右侧颈内动脉C1段、双侧颈内动脉C4段、双侧大脑后动脉P2段的管腔管壁优化后图像质量明显优于优化前,对血流信号抑制效果更好。虽然左侧椎动脉V4段、左侧颈内动脉C1段、双侧大脑前动脉A1段及A2段、双侧大脑中动脉M1段及M2段、双侧大脑后动脉P1段的管腔管壁图像质量优化前、后差异不大,但均能对管腔管壁有较好的显示,满足临床诊断要求,且扫描时间大幅缩短,故本研究在以上血管节段仍然是有意义的。优化后序列对大脑前、中、后动脉血管显示均较好,但仍对部分血管节段显示欠佳,对椎动脉显示欠佳的原因为椎动脉靠近头颅线圈边缘,由于近线圈效应,信号较弱;而对基底动脉和颈内动脉显示欠佳是由于头颅岩部空气和颅骨的干扰,不同物质交界处磁化率相差较大,局部磁场不均匀,产生磁敏感伪影[32]。
本研究仍存在一些局限性:(1)样本量较少,存在不可避免的选择偏倚。在今后的研究中我们将扩大样本量进行研究。(2)仅比较了优化前、后平扫图像的图像质量,并未对增强后的图像进行对比。以后我们将把增强后的图像纳入研究。(3)研究仅将健康受试者纳入研究以验证序列优化后的效果,并未纳入管壁有病变的病例。今后将纳入有病变的病例进行进一步的研究。(4)本研究是在MSDE序列基础上进行参数优化,而没有在效果更好的iMSDE序列上进行参数优化。今后将在iMSDE序列基础上进行进一步研究。
综上所述,参数优化后的MSDE序列不仅能提升图像质量,无创评估颅内血管壁情况,而且能缩短扫描时间,减少了长时间扫描可能带来的运动伪影,对颅内血管壁成像应用于临床具有一定价值。
全部作者均声明无利益冲突。





















