
本文为回顾性研究,通过了昆明医科大学第二附属医院医学伦理委员会批准,免除受试者知情同意,批文编号:审-PJ-科-2022-61。
本刊刊出的所有论文不代表本刊编委会的观点,除非特别声明
本文为回顾性研究,通过了昆明医科大学第二附属医院医学伦理委员会批准,免除受试者知情同意,批文编号:审-PJ-科-2022-61。
患者女,51岁,自诉5天前乘车后出现腹痛,伴头晕、恶心、心慌、胸闷、气促,无呕吐,无发热。外院CT提示腹膜后巨大肿物。为求进一步治疗,于2021年10月14日前来我院就诊,门诊以“腹膜后肿物”收治入院。查体:左腹可及压痛、无反跳痛,左侧腰背部可及叩击痛。肿瘤标记物:CA-125 39.77 U/mL(正常值0~35 U/mL);CA153 88.84 U/mL(正常值0~35 U/mL);神经元特异性烯醇化酶(NSE)15.39 ng/mL(正常值0~15.2 ng/mL);细胞角蛋白19片段9.58 ng/mL(正常值0~3.3 ng/mL)。
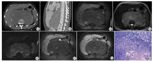
影像学检查:CT示腹膜后(约膈顶至双肾平面)一巨大肿块影,肿块半包绕T10~L2椎体,大小约17.7 cm×10.6 cm×14.8 cm,边界清楚,平扫呈混杂稍低密度影,内见多发条状、点状高密度影(图1A),增强后呈轻度不均匀强化;L1椎体前份骨质破坏(图1B),T12~L3椎体前缘见骨质硬化边。MRI示腹膜后肿块于T1WI呈混杂稍低信号,内见斑片状低信号影及高信号影(图1C);T2WI呈混杂高信号,内见线状低信号影(图1D);扩散加权成像(diffusion weighted imaging, DWI)呈不均匀高信号(图1E),表观扩散系数(apparent diffusion coefficient, ADC)值降低;增强后肿块轻~中度不均匀强化,分隔及包膜延迟强化(图1F、1G)。肿块推压胰腺、腹主动脉、下腔静脉及肾血管向前移位,推压双肾向下前移位,推压双侧腰大肌上份向外移位。L1椎体信号改变与上述病灶相似。


患者在全麻下行腹膜后巨大肿瘤切除术+腹主动脉、门静脉、腔静脉、左右肾静脉松解悬吊术+第一、第二肝门悬吊+膈肌肿瘤切除术。术中显示肿块位于十二指肠、胰头、肾脂肪囊之间,与下腔静脉、腹主动脉、门静脉关系密切,与膈肌粘连较重。大体标本示肿块呈灰白、灰红、灰黄色,总大小约22 cm×20 cm×4.5 cm,局部可见包膜。镜下(HE ×100)见瘤细胞呈条索状、网状排列,并漂浮在淡蓝色黏液样间质中(图1H)。免疫组化:Ki-67(10%+)、NSE(局灶+)、EMA(+)、CKL(+)、CK广(+)、CD68(-)。术后病理诊断:腹膜后脊索瘤(经典型),肿瘤侵犯骨组织。术后5个月复查肿瘤复发,邻近骨质破坏严重。
脊索瘤是一种罕见的原发性恶性肿瘤,起源于遗留或异位的脊索组织,好发于骶骨(50%)、颅底(35%)及脊椎(15%)[1]。骨外脊索瘤常发生于头颈部,既往有报道可发生于鼻咽、口咽、颈部软组织及上纵隔内[2],而发生于腹膜后的脊索瘤罕见,目前为止,国内仅报告1例[3],国外报道不足5例。本病例为发生于腹膜后的巨大脊索瘤,发生原因可能与椎前软组织残留的脊索有关。腹膜后脊索瘤发病隐匿,且位置较深,影像学检查成为诊断和术后随访的重要方法。
本例患者在CT平扫上见多发高密度影,提示富含骨质或钙化成分,邻近的L1椎体呈溶骨性骨质破坏,骨质破坏周围及T12、L2~L3椎体前缘见骨质硬化边。MRI示肿块于腹侧面呈膨胀性生长,面向骨及肌群等组织侧可见足状突起,提示肿块呈对抗性的侵袭性生长,与方汉贞等[4]对骶尾部脊索瘤的研究一致。T1WI上肿块以稍低信号为主,内见斑片状低信号影及高信号影,低信号影提示骨质或钙化,高信号影提示出血可能。T2WI上呈分叶状、结节状改变,其内见线状低信号的分隔及高信号的黏液间质。DWI示扩散不均匀受限,与瘤细胞间隙狭窄,影响细胞外水分子扩散有关。增强扫描后动脉期呈轻~中度不均匀强化,延迟期分隔及包膜延迟强化,呈“蜂房状”改变。肿块周围脏器及大血管(下腔静脉、腹主动脉、双侧肾血管)受推压、移位。既往有文献[5]报道高达79%的脊索瘤可导致颅内大动脉移位或受包绕。综上,发生于腹膜后的脊索瘤与发生于其他部位的脊索瘤影像表现一致,主要表现为以下几点:(1)肿瘤边界清楚,可见假包膜;(2)CT平扫上见高密度的钙化或骨质成分,邻近骨质受侵;(3)T1WI以混杂稍低信号为主,其内见多发高信号影;T2WI上肿瘤呈分叶状、结节状,并以混杂高信号为主,内见条状的低信号分隔;(4)增强扫描后肿瘤呈“蜂窝状”改变;(5)邻近器官及大血管受推压、移位。
位于腹膜后的脊索瘤在影像上需与脂肪肉瘤、平滑肌肉瘤、神经源性肿瘤、淋巴瘤等疾病相鉴别。脂肪肉瘤是最常见的原发性腹膜后肿瘤,瘤体内见脂肪成分是主要的鉴别点;平滑肌肉瘤密度信号常不均,增强扫描后呈渐进性强化,动脉期病灶内可见粗细不均迂曲血管影;神经源性肿瘤多位于脊柱旁区,钙化、囊变、坏死常见,交感神经来源者伴局部椎间孔及肋间隙扩大;淋巴瘤常见腹膜后肿大淋巴结,多位于肾旁前、肾周间隙或门、腔静脉间,肿块包绕或推挤周围血管,表现为“血管漂浮征”,多数病灶密度信号均匀,增强后均匀强化。本例患者被误诊的原因:(1)对脊索瘤的影像特征认知不足,本例脊索瘤即便发生部位罕见,但仍然具有典型的影像表现;(2)对脊索瘤临床特征认知不足,首先,脊索瘤好发于40~60岁,本例患者年龄符合;其次,脊索瘤好发于中轴骨,但也可发生于其他部位。
综上所述,当罕见部位的肿瘤具有典型的脊索瘤影像表现时,结合患者年龄需考虑到本病。
全体作者均声明无利益冲突





















