
探讨一种结合压缩感知、高速实时成像及回顾性全自动非刚性运动校正技术的自由呼吸心脏磁共振电影(cardiac cine with compressed sensing real-time imaging and retrospective fully automated non-rigid motion correction, cine-MoCo)序列对肺动脉高压(pulmonary arterial hypertension, PAH)患者右室(right ventricular, RV)功能及应变评估的应用价值。
前瞻性连续纳入2020年1月至2021年4月于中国医学科学院北京协和医院放射科进行心脏磁共振(cardiac magnetic resonance, CMR)检查的疑诊或确诊PAH患者。对所有纳入患者均完成标准的2D分段采集结合回顾性心电门控电影序列(2D segmented cine imaging with retrospective ECG gating, cine-SegBH)及cine-MoCo图像采集,对两种电影序列采集的图像进行图像质量评价、RV功能及应变定量分析。
40例患者纳入本次研究。cine-SegBH与cine-MoCo的图像采集时间分别为(143±42)s及(115±24)s,差异具有统计学意义(P<0.05)。cine-MoCo获取的电影图像质量在主观评价(5分标准)及欧洲CMR质量评估标准评价中优于cine-SegBH,差异具有统计学意义(P均<0.05)。图像边缘锐利度测量结果显示,cine-SegBH与cine-MoCo相当,差异无统计学意义(P>0.05)。cine-MoCo在RV功能[RV射血分数(right ventricular ejection fractions, RVEF),RV舒张末期容积(right ventricular end-diastolic volumes, RVEDV),RV收缩末期容积(right ventricular end-systolic volumes, RVESV),RV每搏输出量(right ventricular stroke volumes, RVSV)及RV心肌质量(right ventricular mass, RVM)]定量分析中,与cine-SegBH获取的对应结果均存在强的相关性(r=0.966~0.992),且差异无统计学意义(P均>0.05)。RV心肌应变[纵向应变(global longitudinal strain, GLS)、周向应变(global circumferential strain, GCS)及径向应变(global radial strain, GRS)]定量评价中,两电影序列在GCS及GRS评价中存在强的相关性(GCS:r=0.895;GRS:r=0.908),GLS存在弱的相关性(r=0.564),且cine-MoCo获得的各向应变参数结果均低于cine-SegBH, 差异具有统计学意义(P均<0.05)。亚组分析结果显示,cine-MoCo获取的GLS,GCS和GRS在轻度PAH患者(WHO Ⅰ~Ⅱ级,组1)中均低于cine-SegBH,差异具有统计学意义(P均<0.05);在重度PAH患者(WHO Ⅲ~Ⅳ级,组2)中与cine-SegBH相当,差异无统计学意义(P均>0.05)。两电影序列在右室功能及应变定量参数评价中均表现出高的组内一致性及组间一致性。
cine-MoCo相较于cine-SegBH在PAH患者中能够缩短图像采集时间并获得相似甚至更优的图像质量,能够准确评估RV功能的各项参数,并且能够准确评估重度PAH患者的RV应变参数。
本刊刊出的所有论文不代表本刊编委会的观点,除非特别声明
肺动脉高压(pulmonary arterial hypertension, PAH)是由多种已知或未知原因引起的肺动脉压异常升高的一种病理生理状态。持续的肺动脉压力升高导致右室(right ventricle, RV)后负荷增加,RV结构和功能改变,最终发展为右心衰竭[1, 2]。研究表明,早期识别PAH患者RV结构改变及功能异常并进行及时治疗干预,能够降低心衰风险并降低死亡率[3]。
心脏磁共振(cardiac magnetic resonance, CMR)检查已成为无创评估心脏结构和功能的“金标准”[4, 5]。其中CMR电影序列不仅能够用于心功能评价,还能动态显示心肌室壁运动情况。此外,近年来发展的特征追踪技术能够基于CMR电影图像计算出心肌形变,能够更早期识别射血分数(ejection fractions, EF)保留的心室舒张或收缩功能异常[6, 7, 8, 9]。
目前,标准的CMR电影序列为2D分段采集结合回顾性心电门控(2D segmented cine imaging with retrospective ECG gating, cine-SegBH)[10],要求患者在多次呼气末屏气采集,并结合心电门控重建出电影图像。但多次屏气导致心脏电影序列扫描时间长、且对于难以屏气的患者很难重建出达到诊断需要的电影图像。同时,对心律不齐的患者,重建出的图像也往往产生伪影从而影响诊断准确性[11]。实时成像技术可以通过单次激发获取单个心脏时相从而潜在抑制呼吸运动伪影,实现在自由呼吸状态下完成图像采集,但图像质量差往往难以达到诊断需求。目前,结合压缩感知算法的实时心脏电影序列能够获取可接受的图像质量和较为可靠的心功能参数结果,但往往低估或高估心室舒张或收缩末期容积,影响诊断准确性[12, 13]。由于心肌应变的测量对图像质量要求较高,而目前结合压缩感知算法的实时心脏电影序列采集的图像质量通常低于标准cine-SegBH采集的图像质量[14, 15],因此目前很少有研究应用该电影序列对心肌应变进行评价且研究主要集中在左室(left ventricular, LV)而非RV[16, 17]。
PAH患者往往表现为胸闷、呼吸困难等右心功能不全表现,晚期的PAH患者常合并不同类型的心律失常,导致cine-SegBH检查受限。本文拟评估一种新的结合压缩感知、高速实时成像及回顾性全自动非刚性运动校正技术的自由呼吸心脏磁共振电影序列(cardiac cine with compressed sensing real-time imaging and retrospective fully automated non-rigid motion correction, cine-MoCo),探讨其在评价PAH患者RV功能及应变中的应用价值。
本前瞻性研究方案遵守《赫尔辛基宣言》,得到中国医学科学院北京协和医院伦理委员会批准(批准文号:JS-1499),受试者均已签署知情同意。连续纳入2020年1月至2021年4月于中国医学科学院北京协和医院放射科进行CMR检查的疑诊或确诊的PAH患者47例。排除标准包括:(1)经右心导管检查测得的平均肺动脉压(mean pulmonary arterial pressure, mPAP)<25 mmHg(1 mmHg≈0.133 kPa,n=3);(2)存在任何磁共振检查禁忌证(如幽闭恐惧症、植入式心脏起搏器等,n=3);(3)未能配合完成或拒绝完成两种电影序列检查(n=1)。最终本研究纳入40例PAH患者,其中男6例,女34例,年龄为(35±15)岁,体质量指数为(21.9±3.8)kg/m2,心率为(77±14)次/分,肺动脉压为(47.8±18.5)mmHg,肺血管阻力为(8.8±4.9)wood。WHO功能分级:Ⅰ级2例,Ⅱ级26例,Ⅲ级11例,Ⅳ级1例。PAH分型:特发性肺动脉高压14例,遗传性肺动脉高压2例,结缔组织疾病相关性肺动脉高压10例,左心疾病所致肺动脉高压9例,慢性血栓栓塞性肺动脉高压5例。
德国西门子医疗系统有限公司 Skyra 3.0 T超导型磁共振仪。18通道相控阵体线圈,32通道相控阵脊柱线圈。
患者仰卧于检查床,头先入,在患者胸前区粘贴4枚CMR专用电极片,连接无线蓝牙心电门控装置,将体线圈覆盖于前胸部,随后对患者进行呼吸训练。先使用Scout序列扫描心脏基本定位像,包括2腔、3腔、4腔长轴电影图像及8~12层覆盖从三尖瓣到心尖的连续短轴电影图像。基于基本定位相,首先在呼气末进行标准cine-SegBH图像采集,随后在自由呼吸的状态下扫描cine-MoCo序列。具体参数见表1。

cine-SegBH与cine-MoCo扫描参数
Imaging parameters of cine-SegBH and cine-MoCo
cine-SegBH与cine-MoCo扫描参数
Imaging parameters of cine-SegBH and cine-MoCo
| 序列 | 心电门控 | TR/ms | TE/ms | 视野/mm×mm | 矩阵 | 空间分辨率/mm×mm | 时间分辨率/ms | 层厚/间隔/mm | 翻转角/° | 带宽/(Hz•pixel-1) | 屏气 | 加速器 |
|---|---|---|---|---|---|---|---|---|---|---|---|---|
| cine-SegBH | 回顾性 | 1.4 | 3.3 | 340×265 | 208×113 | 1.6×1.6~1.8×1.8 | 45 | 8/2 | 50~70 | 962 | 是 | GRAPPA 3 |
| cine-MoCo | 适应性 | 1.4 | 3.2 | 340×276 | 192×156 | 1.8×1.8 | 39 | 8/2 | 40~50 | 930 | 否 | CS 9.9 |
注:cine-SegBH为2D分段采集结合回顾性心电门控电影序列;cine-MoCo为压缩感知实时成像结合回顾性运动校正电影序列;TR为回波时间;TE为重复时间。
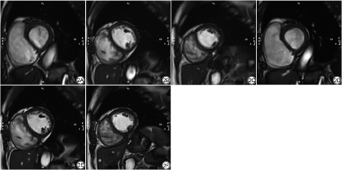
两种电影序列所获取的所有图像由两位放射科医师评估(LYY:3年工作经验,初级职称;LL:10年工作经验,中级职称)。采用主观评价(5分标准[12]:5=极好的图像质量;4=正常的图像质量;3=图像存在伪影但不影响诊断;2=心室周围存在严重的伪影;1=图像存在严重伪影难以诊断)、欧洲CMR质量评估标准[18]及边缘锐利度定量分析[19](Image J:2.3.0,NIMH)对图像质量进行评价(图1),如有分歧讨论后达成一致。CMR图像后处理采用CVI 42软件(Circle Cardiovascular Imaging, 加拿大)。心功能分析通过自动追踪结合手动校正方法勾画舒张末期及收缩末期RV内外膜轮廓,并获取最终结果[20]。RV心肌应变分析通过后处理软件特征追踪模块,在舒张末期勾画4腔长轴及短轴系列电影图像RV内外膜轮廓,自动延伸至整个心动周期后分析得出。图2为两种电影序列采集的图像对比。组内(intra-observer)一致性由一名研究者(LYY)在2周后对随机选择的20例研究对象再次进行RV功能及应变测量后分析得出;组间(inter-observer)一致性由另一位研究者(LL)对上述20例研究对象进行RV功能及应变测量后分析得出。




采用SPSS 26.0软件进行数据处理。计量资料若符合正态分布以均数±标准差(±s)表示,若为偏态分布则以中位数(四分位数间距)[M(IQR)]表示。计数资料以例数表示。计量资料若符合正态分布,两两比较采用配对t检验,相关性分析采用Pearson相关分析;若不符合正态分布,则两两比较采用Wilcoxon符号秩和检验,相关性分析采用Spearman相关分析。相关系数r≥0.8认为存在强相关性;0.3≤r<0.8认为存在弱相关性;r<0.3认为不存在相关性。组内相关系数(intraclass correlation coefficient, ICC)用于评价定量数据在intra-observer及inter-observer中的一致性,ICC≥0.75认为一致性良好,0.40≤ICC<0.75认为一致性一般,ICC<0.40认为一致性较差。检验水准(α)为0.05。
cine-SegBH的平均扫描时间为(143±42)s,cine-MoCo的扫描时间为(115±24)s,差异具有统计学意义(P<0.05)。图像质量主观评价(5分标准)中,cine-MoCo与cine-SegBH的得分分别为(4.4±0.7)及(4.1±0.8),差异具有统计学意义(P<0.05);欧洲CMR质量评估标准评价中,cine-MoCo与cine-SegBH的得分分别为(0.125±0.404)和(0.425±0.844),差异具有统计学意义(P<0.05)(表2)。选取舒张末期4腔长轴电影图像室间隔中点进行图像边缘锐利度测量,结果显示cine-SegBH与cine-MoCo的值分别为(0.064±0.133)及(0.065±0.139),差异不具有统计学意义(P>0.05)。

基于欧洲CMR质量评估标准的图像质量分析
Image quality analysis based on the standardized criteria of European CMR registry
基于欧洲CMR质量评估标准的图像质量分析
Image quality analysis based on the standardized criteria of European CMR registry
| cine-SegBH | cine-MoCo | ||||||||
|---|---|---|---|---|---|---|---|---|---|
| 0 | 1 | 2 | 3 | 0 | 1 | 2 | 3 | ||
| 呼吸/心跳伪影 | 34 | 4 | 1 | 1 | 40 | — | — | — | |
| 图像模糊 | 37 | 1 | 1 | 1 | 36 | 3 | 1 | — | |
| 金属伪影 | 40 | — | — | — | 40 | — | — | — | |
| 信号丢失 | 40 | — | — | — | 40 | — | — | — | |
| 层厚/间隔 | 40 | — | — | — | 40 | — | — | — | |
| 总分 | 0.425±0.844 | 0.125±0.404 | |||||||
注:CMR为心脏磁共振;cine-SegBH 为2D 分段采集结合回顾性心电门控电影序列;cine-MoCo 为压缩感知实时成像结合回顾性运动校正电影序列。
cine-MoCo序列与标准cine-SegBH序列在对RVEF、RV舒张末期容积(right ventricle end-diastolic volumes, RVEDV)、RV收缩末期容积(right ventricle end-systolic volumes, RVESV)、RV每搏输出量(right ventricle stroke volumes, RVSV)及RV心肌质量(right ventricle mass, RVM)等功能参数定量分析中,差异均无统计学意义(P>0.05)(表3)。相关性分析结果显示,两种电影序列计算得出的各功能参数结果均存在强相关性(r=0.966~0.992)(表3,图3)。Intra-observer及inter-observer一致性分析结果见表3。

cine-SegBH与cine-MoCo序列RV功能及应变分析结果
RV functional and strain results of cine-SegBH and cine-MoCo
cine-SegBH与cine-MoCo序列RV功能及应变分析结果
RV functional and strain results of cine-SegBH and cine-MoCo
| 参数 | cine-SegBH | cine-MoCo | P值 | r值 | ||||
|---|---|---|---|---|---|---|---|---|
| 参数值(±s) | intra-observer | inter-observer | 参数值(±s) | intra-observer | inter-observer | |||
| RVEF/% | 43.5±15.0 | 0.987 | 0.840 | 43.6±15.2 | 0.991 | 0.892 | 0.741 | 0.974 |
| RVEDV/mL | 154.4±50.5 | 0.998 | 0.960 | 153.8±49.1 | 0.996 | 0.956 | 0.588 | 0.990 |
| RVESV/mL | 90.5±47.9 | 0.996 | 0.974 | 90.0±47.6 | 0.998 | 0.982 | 0.586 | 0.992 |
| RVSV/mL | 63.9±26.2 | 0.986 | 0.838 | 63.8±26.0 | 0.990 | 0.829 | 0.931 | 0.966 |
| RVM/g | 56.6±29.5 | 0.933 | 0.830 | 54.7±30.1 | 0.943 | 0.853 | 0.111 | 0.971 |
| GLS/% | -16.8±5.4 | 0.927 | 0.872 | -14.2±5.4 | 0.911 | 0.864 | 0.002* | 0.564 |
| GCS/% | -10.7±4.5 | 0.934 | 0.881 | -9.6±4.1 | 0.963 | 0.878 | 0.001* | 0.895 |
| GRS/% | 16.4±8.0 | 0.951 | 0.876 | 15.1±7.2 | 0.955 | 0.885 | 0.014* | 0.908 |
| sGLSR/s-1 | -0.71±0.92 | 0.761 | 0.755 | -0.87±0.54 | 0.785 | 0.773 | 0.383 | 0.407 |
| dGLSR/s-1 | 1.03±0.41 | 0.760 | 0.753 | 0.83±0.47 | 0.797 | 0.768 | 0.003* | 0.543 |
| sGCSR/s-1 | -0.50±0.25 | 0.808 | 0.782 | -0.48±0.18 | 0.801 | 0.796 | 0.389 | 0.841 |
| dGCSR/s-1 | 0.43±0.27 | 0.788 | 0.791 | 0.39±0.25 | 0.779 | 0.767 | 0.430 | 0.721 |
| sGRSR/s-1 | 0.72±0.47 | 0.897 | 0.752 | 0.75±0.35 | 0.853 | 0.787 | 0.561 | 0.808 |
| dGRSR/s-1 | -0.62±0.58 | 0.794 | 0.770 | -0.55±0.47 | 0.835 | 0.774 | 0.517 | 0.530 |
注:*表示差异具有统计学意义。cine-SegBH为2D分段采集结合回顾性心电门控电影序列;cine-MoCo为压缩感知实时成像结合回顾性运动校正电影序列;RV为右室;inter-observer为组间一致性;intra-observer为组内一致性;r为相关系数;RVEF为右室射血分数;RVEDV为右室舒张末期容积;RVESV为右室收缩末期容积;RVSV为右室每搏输出量;RVM为右室心肌质量;GLS为纵向应变;GCS为周向应变;GRS为径向应变;sGLSR为收缩期纵向应变率;dGLSR为舒张期纵向应变率;sGCSR为收缩期周向应变率;dGCSR为舒张期周向应变率;sGRSR为收缩期径向应变率;dGRSR为舒张期径向应变率。


cine-SegBH测量得到的RV纵向应变(global longitudinal strain, GLS)、周向应变(global circumferential strain, GCS)及径向应变(global radial strain, GRS)的平均值分别为(-16.8±5.4)、(-10.7±4.5)及(16.4±8.0)。cine-MoCo测量的对应值均低于cine-SegBH测量值,分别为(-14.2±5.4)、(-9.6±4.1)及(15.1±7.2),差异均具有统计学意义(P均<0.05)。相关性分析结果显示,两种序列得到的GCS与GRS存在强相关性(GCS:r=0.895;GRS:r=0.908),GLS存在弱相关性(r=0.564)(表3,图3)。cine-SegBH与cine-MoCo在应变率(strain rate, SR)的测量上,除舒张期整体纵向应变率(P=0.003)外,差异均无统计学意义(P均>0.05)。相关性分析结果显示,两种序列得到的各应变率参数存在弱到强相关性(r=0.407~0.841)(表3)。Intra-observer及inter-observer一致性分析结果见表3。
将PAH患者中WHO功能分级Ⅰ、Ⅱ级的患者定义为轻度组(组1,n=28),Ⅲ、Ⅳ级的患者定义为重度组(组2,n=12)。组1中cine-MoCo测量的应变值均低于cine-SegBH测量值,差异具有统计学意义(P均<0.05);组2中cine-MoCo测量的应变值与cine-SegBH测量值相当,差异无统计学意义(P均>0.05)(表4)。

cine-SegBH与cine-MoCo序列应变亚组分析结果
Subgroup analysis results of strain measured with cine-SegBH and cine-MoCo
cine-SegBH与cine-MoCo序列应变亚组分析结果
Subgroup analysis results of strain measured with cine-SegBH and cine-MoCo
| 参数 | 组1(n=28) | P值 | 组2(n=12) | P值 | ||
|---|---|---|---|---|---|---|
cine-SegBH (±s) | cine-MoCo (±s) | cine-SegBH (±s) | cine-MoCo (±s) | |||
| GLS/% | -17.9±5.6 | -13.9±5.4 | <0.001* | -14.5±4.1 | -15.0±5.6 | 0.680 |
| GCS/% | -12.0±4.2 | -10.5±4.0 | 0.001* | -7.8±3.9 | -7.5±3.8 | 0.561 |
| GRS/% | 18.4±7.4 | 16.6±7.1 | 0.011* | 11.7±7.5 | 11.6±6.5 | 0.795 |
注:*表示差异具有统计学意义。cine-MoCo为压缩感知实时成像结合回顾性运动校正电影序列;cine-SegBH为2D分段采集结合回顾性心电门控电影序列;GLS为纵向应变;GCS为周向应变;GRS为径向应变。
本研究对cine-MoCo序列在PAH患者RV功能及应变评估的应用价值进行探讨,以标准cine-SegBH作为参照。研究结果显示:(1)cine-MoCo相较于cine-SegBH在降低扫描时间的同时能够获得一致甚至更优的图像质量,能够降低运动导致的伪影;(2)cine-MoCo能够获得与cine-SegBH一致的RV功能参数,能够准确进行RV功能评估;(3)相较于cine-SegBH,cine-MoCo相对低估RV各向心肌应变值,然而,cine-MoCo能够对严重PAH患者的RV应变参数进行准确评估。
心室功能评价是PAH疾病诊断、随访以及危险分层的重要评价手段[21]。CMR电影成像是无创评价心室形态、功能的“金标准”,因此,一种快速、准确的CMR电影成像方法是十分必要的。既往有研究显示,压缩感知心脏实时电影序列能够获得较为可靠的心功能参数,辅助心衰分层[22]。此外,在房颤等心律不齐患者中,能够降低图像伪影提升图像质量[11,23]。然而,该成像方法存在因心肌血池对比度降低导致高估或低估心室舒张末期或收缩末期容积从而影响诊断准确性的情况[13,24, 25]。一项应用压缩感知心脏实时电影序列对先天性心脏病患者右室容积及功能评价的研究中指出,通过单次屏气进行图像采集的压缩感知心脏实时电影序列能够很好地观察到三尖瓣返流、室壁运动异常等重要临床信息,然而,对比标准cine-SegBH序列获取的定量容积参数,在RVEF、RVESV及RVSV中仍存在差异[26]。本研究采用的cine-MoCo序列在压缩感知、实时成像的基础上增加回顾性全自动非刚性运动校正技术,在缩短扫描时间的同时获得了相似甚至更优的图像质量和准确的RV功能参数,提示cine-MoCo是一种更加准确的自由呼吸电影序列。
RV心肌应变分析是对RV功能评价的一种补充性方法。研究表明CMR特征追踪技术能够准确评估PAH患者RV各向应变并有助于识别PAH患者的早期心室舒张或收缩功能异常[27, 28]。既往有研究应用压缩感知心脏实时电影序列对左室各向应变进行评价,结果均低于标准电影序列[16,29],与本研究结果相似。本研究中cine-MoCo测量的各向心肌应变绝对值均低于cine-SegBH,差异具有统计学意义。分析其原因,cine-SegBH序列采用稳态准备结合多次分段采集策略,而cine-MoCo序列为实时成像,采集策略的不同可能是导致应变分析结果不一致的一个主要原因。同时,我们在对cine-MoCo采集的电影图像进行应变分析的过程中,观察到心底部/心尖部心肌追踪不良情况,该情况也是导致cine-MoCo相对低估各向应变值的可能原因。
此外,本研究还根据WHO功能分级对PAH患者RV应变参数进行了分组讨论。结果显示,在重度PAH患者(WHO Ⅲ~Ⅳ)中cine-MoCo序列与cine-SegBH序列获取的应变参数结果一致。提示cine-MoCo序列对重度PAH患者的心肌应变评价具有更精确的应用前景。
本研究存在以下局限性:(1)本研究样本量较小;(2)本研究只用一种后处理软件进行心室容积和应变分析,其他后处理算法可能会产生不同结果;(3)本研究仅对PAH患者RV的形态和应变进行了评估,尚需对LV、右房的功能及应变等进行更加全面的评估。
综上所述,本文探究的cine-MoCo相较于传统的cine-SegBH序列,不仅在缩短图像采集时间的同时获得相似甚至更优的图像质量,而且在PAH患者RV功能及应变定量评价中具有高度的准确性。然而,该电影成像技术尚需大样本量、多病种、多中心研究以推广到临床应用。
Major International (Regional) Joint Research Project of National Natural Science Foundation of China (No. 82020108018); Natural Science Foundation of Beijing (No. Z210013); CAMS Innovation Fund for Medical Sciences (CIFMS) (No. 2020-I2M-C & T-B-034).
全部作者均声明无利益冲突。





















