
采用脑结构MRI(structural MRI, sMRI)分析轻度认知障碍(mild cognitive impairment, MCI)和阿尔茨海默病(Alzheimer's disease, AD)患者与正常老年人在嗅觉相关结构灰质体积上的差异,探究其与嗅觉识别能力及认知水平之间的关系,讨论嗅觉相关结构在AD疾病进程中的价值。
前瞻性纳入AD患者25例、MCI患者22例及正常对照(normal control, NC)组22例,对所有受试者进行脑sMRI扫描、宾夕法尼亚大学嗅觉识别测试(University of Pennsylvania Smell Identification Test, UPSIT)及包括简易精神状态检查(Mini-Mental State Examination, MMSE)、记忆及执行功能筛查(Memory and Executive Screening, MES)、蒙特利尔认知评估(Montreal Cognitive Assessment, MoCA)、日常生活活动能力(Activity of Daily Living, ADL)、临床痴呆评定(Clinical Dementia Rating, CDR)在内的多维度神经心理学量表测定。分析三组间全脑灰质体积和包括初级嗅觉皮层(primary olfactory cortex, POC)、海马、杏仁核、岛叶和眶额皮质在内的嗅觉皮层主要结构的灰质体积、嗅觉识别测试及量表评分之间的差异及相关性。
三组间UPSIT、MMSE、MoCA、CDR评分、全脑灰质体积、双侧POC和左侧海马灰质体积的差异均有统计学意义(P<0.05);NC组和AD组、MCI组和AD组间MES、ADL评分及右侧海马、双侧杏仁核、双侧岛叶、右侧眶额皮质灰质体积的差异有统计学意义(P<0.05);上述结构在NC组和MCI组间的差异无统计学意义(P>0.05);左侧眶额皮质灰质体积在NC组和AD组间的差异有统计学意义(P<0.05),在MCI组和AD组、NC组和MCI组间的差异无统计学意义(P>0.05)。UPSIT评分与MMSE、MoCA、MES评分呈正相关(r=0.55,P<0.01;r=0.43,P<0.01;r=0.48,P<0.01);与ADL、CDR评分呈负相关(r=-0.33,P<0.01;r=-0.49,P<0.01)。患者组的全脑灰质体积及双侧POC、海马、杏仁核灰质体积与UPSIT及全部量表评分之间均有相关性(P<0.05);双侧岛叶和眶额皮质灰质体积与全部量表评分之间均有相关性(P<0.05),与UPSIT评分之间无相关性(P>0.05)。
(1)AD及MCI患者嗅觉皮层存在不均匀分布的灰质体积减小,且AD组比MCI组萎缩更明显,且与UPSIT评分、量表评分结果相关;(2)双侧POC和左侧海马可能是AD源性认知障碍疾病中与嗅觉功能相关的关键结构,有助于MCI的早期识别。
本刊刊出的所有论文不代表本刊编委会的观点,除非特别声明
阿尔茨海默病(Alzheimer's disease, AD)是以认知功能减退为特征的中枢神经系统退行性疾病,其特征性病理改变包括β-淀粉样蛋白斑块沉积和tau蛋白的缠结[1, 2]。脑萎缩是AD患者认知障碍的重要原因之一[3],结构MRI(structural MRI, sMRI)作为最早应用于AD诊断的影像技术,在研究脑萎缩方面发挥着重要作用[4, 5]。轻度认知障碍(mild cognitive impairment, MCI)被认为是AD的痴呆前阶段[5],约1/3的MCI在五年内进展为AD[6, 7]。由于AD疾病的不可逆性,故对MCI阶段的早期识别与干预显得尤为重要。
嗅觉传导通路由嗅球直接传递到初级嗅觉皮层(primary olfactory cortex, POC),再到次级嗅觉皮层,包括海马、杏仁核、岛叶、眶额皮质等结构[8, 9]。目前,对POC的定义不尽相同,但多数研究认为POC结构至少包括梨状皮层、前嗅核、嗅结节、内嗅皮层等区域[10, 11]。有研究表明,AD患者早在MCI阶段即可出现嗅觉功能障碍[12],且嗅觉损害出现在记忆减退和认知障碍之前[13, 14, 15]。而嗅觉功能障碍可能是嗅觉相关结构受损导致的,故通过脑sMRI评价AD及MCI患者的嗅觉皮层传导通路的结构特点,有助于对AD源性认知功能障碍患者的嗅觉功能异常演进的脑损伤机制进行探索。
目前,多数研究仅对AD源性认知功能障碍患者嗅觉皮层萎缩程度进行分析[3],或单一的探讨嗅觉功能和认知功能的关系[16],将嗅觉皮层相关结构与嗅觉行为学功能、认知水平相结合的研究相对较少。本研究采用三维脑sMRI定量分析技术,对AD、MCI患者及正常对照(normal control, NC)组嗅觉皮层主要结构灰质体积差异进行对比,分析嗅觉皮层主要结构灰质萎缩程度与嗅觉识别功能、认知水平三者之间相关性,探索嗅觉皮层萎缩在AD源性认知功能障碍疾病演进中的价值。
本研究为前瞻性研究,纳入2017年11月到2019年10月就诊于吉林大学第一医院神经内科记忆门诊并符合入组标准的AD患者25例(AD组)、MCI患者22例(MCI组),同期选取22例性别、年龄、受教育年限相匹配,且无认知障碍及其他脑器质性疾病的健康志愿者作为对照组(NC组)。共计69例,均右利手,其中男18例,女51例;年龄46~85(64.97±8.03)岁。对所有受试者均采用宾夕法尼亚大学嗅觉识别测试(University of Pennsylvania Smell Identification Test, UPSIT)进行嗅觉功能评估,简易精神状态检查(Mini-Mental State Examination, MMSE)、记忆及执行功能筛查(Memory and Executive Screening, MES)、蒙特利尔认知评估(Montreal Cognitive Assessment, MoCA)、日常生活活动能力(Activity of Daily Living, ADL)、临床痴呆评定(Clinical Dementia Rating, CDR)等神经心理学量表进行认知功能评估。本研究遵照《赫尔辛基宣言》,得到吉林大学第一医院伦理委员会的批准(批准文号:2016-028),所有受试者均自愿参加本研究,并签署知情同意书。
患者组纳入标准:(1)AD组及MCI组均采用2011年美国国家衰老研究院和阿尔茨海默协会推荐的核心临床诊断标准[17, 18];(2)可配合完成UPSIT、全套神经心理学量表及sMRI检查。排除标准:(1)排除其他原因所致的嗅觉功能障碍,如鼻窦炎性病变、鼻部占位性病变;(2)排除其他原因所致的认知功能下降,如血管相关性、精神相关性认知障碍等。所有入组受试者均由神经内科及放射科痴呆学组专门从事认知障碍研究方向10年以上的副高级职称以上医生筛选。
采用飞利浦Ingenia 3.0 T核磁共振扫描仪,对所有被试进行常规扫描,获得轴位常规T2加权像和T2液体衰减反转恢复(fluid attenuated inversion recovery, FLAIR)图像,以排除脑器质性疾病。采集矢状位三维高分辨率T1加权像,T1加权成像主要扫描参数为:TR 7.3 ms,TE 3.3 ms,层厚1 mm,FOV 256 mm×256 mm,体素大小1 mm×1 mm×1 mm,翻转角7°。T2加权成像主要数据参数为:TR 3026 ms,TE 107 ms,层厚5 mm,FOV 480 mm×480 mm,体素大小0.5 mm×0.5 mm×6.0 mm,翻转角90°。T2-FLAIR序列主要扫描参数为:TR 7000 ms,TE 93 ms,层厚6 mm,FOV 432 mm×432 mm,体素大小0.5 mm×0.5 mm×7.0 mm,翻转角90°。
基于MATLAB 2020a,使用SPM 12软件对T1加权像进行头动校正的预处理。采用基于体素的形态学测量(voxel-based morphometry, VBM)方法,使用SPM 12的CAT 12工具包对预处理后的图像进行分割,获得所有被试的灰质、白质、脑脊液图像和颅内总容积(total intracranial volume, TIV)。使用8 mm半高全宽各向同性高斯平滑核对分割后的灰质图像进行平滑处理,用SPM 12软件的统计分析模块,将性别、年龄、受教育年限和TIV作为协变量,对三组被试平滑后的灰质图像进行单因素方差分析和组间两两比较。ZHOU等[11]手工勾画的POC图像做掩膜,用同样的方法对三组被试进行单因素方差分析和组间两两比较。
同时,采用基于感兴趣区(region of interest, ROI)的测量方法,使用CAT 12工具包用自动解剖标记(automatic anatomical labelling, AAL)脑分区模板提取海马、杏仁核、岛叶及眶额皮质的灰质体积值。在SPM 12软件中采用基于体素的相关性分析方法,将性别、年龄、受教育年限和TIV作为协变量,分析患者组(AD组及MCI组)脑灰质、嗅觉相关结构的灰质体积与UPSIT及全套神经心理学量表的相关性。
计数资料采用卡方检验,计量资料采用单因素方差分析或H检验。对UPSIT与神经心里学量表评分进行Pearson相关性分析。将性别、年龄、受教育年限、TIV作为协变量,对海马、杏仁核、岛叶、眶额皮质灰质体积测量值进行协方差分析和LSD-t检验。所有统计学分析均采用MedCalc 20统计软件进行,P<0.05表示差异有统计学意义。
三组被试性别、年龄、受教育年限和TIV的差异无统计学意义(P>0.05);UPSIT及全部神经心理学量表评分的差异有统计学意义(P<0.05)。组间两两比较结果显示,三组间UPSIT、MMSE、CDR评分的差异均有统计学意义(P<0.05);MES、ADL在AD组与MCI组、AD组与NC组组间的差异有统计学意义(P<0.05),在MCI组与NC组组间的差异无统计学意义(P>0.05),见表1。

人口学资料及神经心理学量表评分
Demographic and cognitive behavioral data of the study cohort
人口学资料及神经心理学量表评分
Demographic and cognitive behavioral data of the study cohort
| 项目 | AD组 | MCI组 | NC组 | χ2/F/H值 | P值 |
|---|---|---|---|---|---|
| 性别(男/女)/例 | 9/16 | 5/17 | 4/18 | 2.116① | 0.34^ |
| 年龄/岁 | 67.48±8.68 | 64.82±8.22 | 62.27±6.31 | 2.58② | 0.08^ |
| 教育年限/年 | 11(9,12.75) | 9(6,12) | 12(9,15) | 2.46③ | 0.29^ |
| TIV/mL | 1325.81±112.49 | 1291.59±117.90 | 1331.14±112.92 | 10.88② | 0.46^ |
| UPSIT评分/分 | 12.68±5.20 | 17.05±5.87 | 23.00±5.13 | 21.401② | <0.01* |
| MMSE评分/分 | 15(12,20.25) | 24.5(23,26) | 28.5(27,29) | 49.17③ | <0.01* |
| MoCA评分/分 | 10(7,15) | 20.5(18,22) | 24(21,26) | 41.39③ | <0.01* |
MES评分/分 ADL评分/分 CDR评分/分 | 33(25.5,6.5) 32(28.5,37) 2(1,2) | 82.5(69,90) 20.5(20,24) 0.5(0,1) | 89.5(82,94) 20(20,21) 0(0,0.5) | 38.54③ 34.36③ 41.20③ | <0.01** <0.01** <0.01* |
注:①表示卡方检验;②表示单因素方差分析;③表示H检验;^表示差异无统计学意义;*表示三组组间差异均有统计学意义;**表示AD组与MCI组、AD组与NC组组间差异有统计学意义,MCI组与NC组组间差异无统计学意义;正态分布数据以均数±标准差表示,非正态分布数据以中位数(范围)表示。AD为阿尔茨海默病;MCI为轻度认知障碍;NC为正常对照;TIV为颅内总容积;UPSIT为宾夕法尼亚大学嗅觉识别测试;MMSE为简易精神状态检查;MoCA为蒙特利尔认知评估;MES为记忆及执行功能筛查;ADL为日常生活活动能力;CDR为临床痴呆评定。
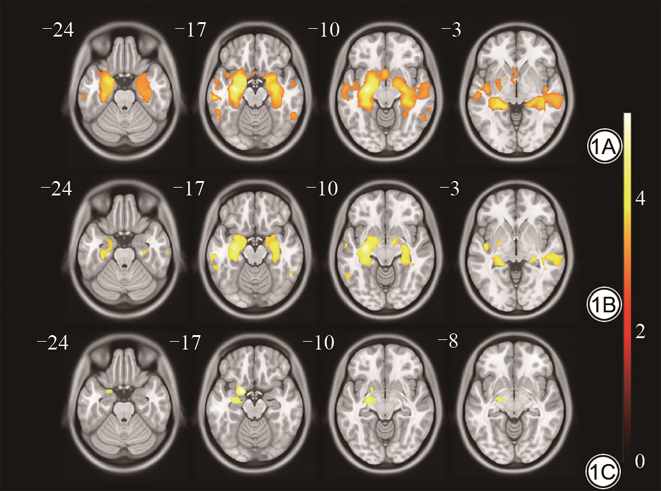
三组间全脑灰质体积的差异有统计学意义(P<0.05),组间比较结果如图1所示。NC组和AD组间存在明显差异,包括双侧POC、海马、海马旁回、杏仁核、颞上回、颞中回、颞下回等结构(FWE多重比较校正,P<0.01,t=5.56);MCI组和AD组间差异主要包括双侧POC、海马、海马旁回、杏仁核等结构(FWE多重比较校正,P<0.01,t=5.55);NC组和MCI组间差异主要包括左侧POC、海马、杏仁核等结构(FDR多重比较校正,P<0.05,t=4.66)。


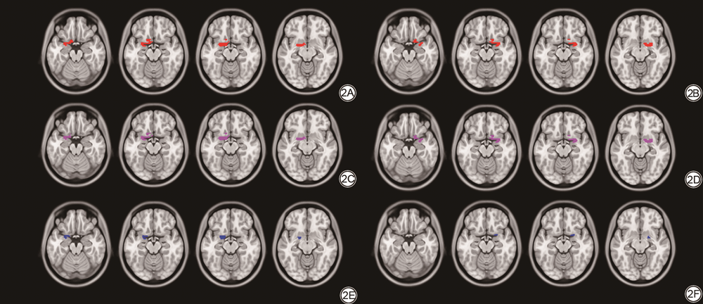
三组间双侧POC灰质体积的差异均有统计学意义(FWE多重比较校正,P<0.01),NC组双侧POC灰质体积均明显大于AD组,组间比较结果详见图2。三组间左侧海马灰质体积的差异均有统计学意义(Bonferroni校正,P<0.05);NC组和AD组、MCI组和AD组间右侧海马、双侧杏仁核、双侧岛叶、右侧眶额皮质灰质体积的差异均有统计学意义(Bonferroni校正,P<0.05),上述结构在NC组和MCI组间的差异无统计学意义(Bonferroni校正,P>0.05);左侧眶额皮质灰质体积在NC组和AD组间的差异有统计学意义(Bonferroni校正,P<0.05),在MCI组和AD组、NC组和MCI组间的差异无统计学意义(Bonferroni校正,P>0.05)。统计结果详见表2。



海马、杏仁核、岛叶、眶额皮质的灰质体积差异比较
The comparison of the gray matter volume in hippocampus, amygdala, insular and orbitofrontal cortex
海马、杏仁核、岛叶、眶额皮质的灰质体积差异比较
The comparison of the gray matter volume in hippocampus, amygdala, insular and orbitofrontal cortex
| 部位 | P*值(95%置信区间) | ||
|---|---|---|---|
| NC vs. AD | NC vs. MCI | MCI vs. AD | |
| HIP L | <0.01(1.1019~1.9533) | 0.02(0.05390~0.9558) | <0.01(0.6446~1.4009) |
| HIP R | <0.01(1.0321~2.1287) | 0.29(-0.1831~0.9784) | <0.01(0.6957~1.6697) |
| AMYG L | <0.01(0.2162~0.4189) | 0.06(-0.0029~0.2118) | <0.01(0.1231~0.3031) |
| AMYG R | <0.01(0.1660~0.4190) | 0.74(-0.0703~0.1977) | <0.01(0.1165~0.3412) |
| INS L | <0.01(0.3152~1.4557) | 0.99(-0.4326~0.7754) | <0.01(0.2076~1.2205) |
| INS R | <0.01(0.5027~1.8283) | 0.99(-0.4899~0.9142) | <0.01(0.3647~1.5421) |
| OFC L | <0.01(0.4208~1.6727) | 0.19(-0.1546~1.1715) | 0.06(-0.0177~1.0942) |
| OFC R | 0.03(0.0595~1.4446) | 0.99(-0.6981~0.7690) | 0.02(0.1015~1.3317) |
注:P*表示Bonferroni校正后的P值。NC为正常对照;AD为阿尔茨海默病;MCI为轻度认知障碍;HIP为海马;AMYG为杏仁核;INS为岛叶;OFC为眶额皮质;L为左侧;R为右侧。
所有受试者的UPSIT和量表评分间均有一定的相关性,MMSE、MoCA、MES评分与UPSIT评分呈正相关(MMSE:r=0.55,P<0.01;MoCA:r=0.43,P<0.01;MES:r=0.48,P<0.01);ADL、CDR评分与UPSIT评分呈负相关(ADL:r=-0.33,P<0.01;CDR:r=-0.49,P<0.01)。
在控制性别、年龄、受教育年限及TIV等影响因素后,患者组(AD和MCI组)UPSIT评分与全脑灰质体积、双侧POC、海马、杏仁核的灰质体积呈正相关(FWE多重比较校正,P<0.05),即UPSIT评分越低,全脑灰质体积、双侧POC、海马、杏仁核的灰质体积越小;UPSIT评分与双侧岛叶、眶额皮质的灰质体积的相关性无统计学意义(FWE多重比较校正,P>0.05)。MMSE、MoCA、MES评分与全脑灰质体积、双侧POC、海马、杏仁核、岛叶、眶额皮质的灰质体积呈正相关(FWE多重比较校正,P<0.05),ADL、CDR评分与其呈负相关(FWE多重比较校正,P<0.05),详见表3。

UPSIT及神经心理学量表评分与全脑灰质体积、嗅觉相关结构灰质体积的相关性
The correlations between the gray matter volume of the whole brain and the olfactory subregions and UPSIT, cognitive behavioral tests
UPSIT及神经心理学量表评分与全脑灰质体积、嗅觉相关结构灰质体积的相关性
The correlations between the gray matter volume of the whole brain and the olfactory subregions and UPSIT, cognitive behavioral tests
| 部位 | P*值(t值) | |||||
|---|---|---|---|---|---|---|
| UPSIT+ | MMSE+ | MoCA+ | MES+ | ADL- | CDR- | |
| 全脑 | <0.01(4.87) | <0.05(4.61) | <0.05(4.69) | <0.05(4.49) | <0.05(4.45) | <0.05(4.49) |
| POC L | <0.05(3.20) | <0.01(3.61) | <0.01(5.15) | <0.05(3.07) | <0.01(4.48) | <0.01(4.60) |
| POC R | <0.05(3.11) | <0.01(3.26) | <0.01(4.00) | <0.05(3.29) | <0.01(3.75) | <0.01(4.06) |
| HIP L | <0.05(3.48) | <0.01(4.63) | <0.01(7.39) | <0.01(5.45) | <0.01(4.88) | <0.01(6.69) |
| HIP R | <0.05(3.11) | <0.01(3.74) | <0.01(4.23) | <0.01(3.99) | <0.05(3.55) | <0.01(4.46) |
| AMYG L | <0.05(3.02) | <0.01(5.62) | <0.01(6.18) | <0.01(5.85) | <0.01(5.06) | <0.01(6.19) |
| AMYG R | <0.05(2.84) | <0.01(3.48) | <0.01(4.23) | <0.01(3.46) | <0.05(3.15) | <0.01(4.26) |
| INS L | 0.23(2.63) | <0.05(3.98) | <0.01(5.66) | <0.05(3.64) | <0.01(5.62) | <0.01(5.55) |
| INS R | 0.26(2.57) | <0.05(3.46) | <0.05(3.78) | 0.06(3.30) | <0.05(3.49) | <0.01(4.56) |
| OFC L | 0.20(2.85) | <0.05(3.62) | <0.01(4.18) | <0.05(3.57) | <0.05(3.97) | <0.05(3.64) |
| OFC R | 0.29(2.62) | <0.05(3.52) | <0.05(3.85) | <0.05(4.01) | <0.05(3.80) | <0.05(3.66) |
注:P*表示FWE多重比较校正后的P值; +表示与体积呈正相关;-表示与体积呈负相关。UPSIT为宾夕法尼亚大学嗅觉识别测试;MMSE为简易精神状态检查;MoCA为蒙特利尔认知评估;MES为记忆及执行功能筛查;ADL为日常生活活动能力;CDR为临床痴呆评定;POC为初级嗅觉皮层;HIP为海马;AMYG为杏仁核;INS为岛叶;OFC为眶额皮质;L为左侧,R为右侧。
在AD疾病进展过程中,嗅觉功能障碍是疾病的早期症状[19],且先于认知和记忆功能减退[15],而sMRI是诊断AD的金标准之一[5],可以用于探索嗅觉皮层萎缩在AD源性认知功能障碍疾病演进中的价值。
有研究表明,AD患者脑萎缩符合Braak分期[20, 21],即萎缩首先出现在内侧颞叶,以内嗅皮层和海马为著[22, 23],随后进展到颞叶皮质,继而延伸到其他区域[24]。我们的结果与其一致,根据全脑灰质体积研究结果显示,与NC组相比,MCI组的内侧颞叶灰质体积明显减小,AD组除内侧颞叶灰质萎缩外,颞叶皮质也出现明显的萎缩。同时我们的结果显示了偏侧效应,本研究所纳入的被试均为右利手,疾病程度较轻的MCI患者灰质萎缩结构却集中在了左侧,这可能与参与嗅觉通路的结构在大脑中偏侧性分布有关[25],但也有研究认为认知障碍患者灰质萎缩是非对称性的,而不是偏侧性的[21],对于这一问题有待进一步研究。
在嗅觉相关结构灰质体积差异分析中,与NC组相比,AD及MCI患者嗅觉皮层明显萎缩,且AD组萎缩更明显,进一步证明AD源性认知障碍患者的脑萎缩是进行性的。MCI组双侧POC和左侧海马灰质体积较对照组明显缩小,这提示上述结构萎缩很可能发生在AD疾病进程的早期。内侧颞叶与记忆相关,并对嗅觉信息的传递至关重要,POC和海马均位于内侧颞叶,我们猜测其可能是AD疾病进程中与认知和嗅觉功能高度相关的关键结构,故通过sMRI技术对POC和海马灰质体积进行测量可以作为区分MCI患者和正常老年人的一种方法,有助于MCI的早期识别。
UPSIT是一种被广泛应用的嗅觉测试,可以快速、准确地评估嗅觉功能[26],其作为客观评定嗅觉功能的检查有助于早期发现患者嗅觉功能异常。我们的研究表明,与NC组相比,MCI患者的嗅觉识别能力明显下降,这与VASAVADA等[27]的研究结果一致。近期有研究表明,嗅觉损害程度随着AD疾病进展的严重程度而加深[28],我们的研究显示UPSIT评分与认知功能之间呈明显的正相关,进一步支持了这一观点。
在加入了嗅觉相关结构灰质体积差异分析后,患者组双侧POC、海马、杏仁核的灰质体积大小和UPSIT评分呈正相关,与量表评分结果亦有明显的相关性。AD疾病进展伴随着一系列的病理变化,嗅觉功能下降和嗅觉皮层萎缩可能是病理变化产生的结果。POC、海马、杏仁核等结构的灰质体积与全部量表评分之间均有一定的相关性,表明嗅觉中枢参与了认知功能,且与记忆力、执行能力等功能相关。嗅觉皮层萎缩越明显,认知障碍程度越严重。
本研究中岛叶、眶额皮质的灰质体积与认知水平呈正相关,而与UPSIT评分无相关。这可能与研究样本量较小、存在统计学误差有关,有待进一步研究。
本研究尚存在一些局限:(1)本研究是横断面研究,样本量较小;(2)本研究仅采用脑sMRI模态,尚缺乏对嗅觉脑功能MRI数据对AD源性疾病神经机制的理解。在未来的研究中将使用多模态MRI技术,结合多种算法分析,进一步探索AD的发病机制。
本研究通过三维脑sMRI技术定量分析AD及MCI患者嗅觉皮层的变化,证明了AD及MCI患者嗅觉相关结构存在不均匀分布的灰质体积减小,双侧POC和左侧海马可能在AD疾病进程早期发挥关键作用,可以辅助临床早期识别MCI患者,延缓MCI向AD的转化。
杨斯闵, 李璐迪, 曹月, 等. 基于3D脑结构MRI定量分析对轻度认知障碍及阿尔茨海默病患者嗅觉皮层的研究[J]. 磁共振成像, 2023, 14(1): 20-24, 31.
YANG S M, LI L D, CAO Y, et al. The study of structural magnetic resonance imaging on gray matter volumes of olfactory brain regions in patients with mild cognitive impairment and Alzheimer's disease[J]. Chin J Magn Reson Imaging, 2023, 14(1): 20-24, 31.
National Natural Science Foundation of China (No. 81600923).
全体作者均声明无利益冲突。





















