
CT检查已经广泛用于肺结节的早期筛查和随访管理。超短回波时间(ultrashort echo time, UTE)序列作为目前最优化的肺MRI序列,由于其无电离辐射的特点一直被期望作为肺CT检查的可替代方法,被逐步应用于肺结节的临床研究中。在与胸部CT肺结节成像的对照研究中,UTE MRI检查呈现出对肺结节较高的检测能力和较好的分类一致性。笔者主要对UTE MRI对肺结节的检出能力、评价准确性相关的临床应用,以及UTE MRI方案优化、UTE MRI图像联合病理对照研究、UTE MRI影像组学和深度学习等发展前景等方面进行综述。
本刊刊出的所有论文不代表本刊编委会的观点,除非特别声明
肺癌是我国及世界各国发病率和死亡率较高的恶性肿瘤之一。由于早期肺癌多无明显症状,而临床上出现症状多数已是肺癌晚期,其五年生存率较低,通过影像学进行肺结节的早期筛查与诊断评估对肺癌的早诊早治显得尤为重要[1]。现如今,标准剂量或低剂量的薄层CT检查可以清楚地显示肺结节的大小和形态等信息,因而被广泛用于肺结节的筛查、随访和评估。然而,CT检查存在辐射暴露的风险,尤其是对于需要长期CT随访的患者以及儿童等特殊人群,辐射负担是一个无法回避的问题和疑虑。超短回波时间(ultrashort echo time, UTE)MRI作为一种无辐射的成像方式可以更加清晰地显示肺实质和气道,其中,肺血管和支气管可以显示到亚段支气管水平[2, 3]。UTE序列已经初步应用在多种肺部疾病中,其中包括肺囊性纤维化、特发性肺纤维化、慢性阻塞性肺疾病、肺动脉畸形等肺部疾病的观察和评估中,并且取得初步效果[4, 5, 6, 7]。
近年来,肺结节UTE MRI的研究报道逐步增多,现将UTE MRI对肺结节的检出能力、评价准确性相关的临床应用和发展前景等方面逐一进行综述,为更广泛地开展肺结节UTE MRI的临床实践与前景探索提供指导。
肺组织和空气之间约为百万分之八的磁化率差[8],导致了局部磁场的不均匀性,产生快速自旋去相,形成非常短的横向磁化衰减时间(T2*),在1.5 T和3.0 T MRI上分别约为2 ms和0.5 ms[3]。UTE MRI的显著特征是通过将TE降低到0~200 ms,来减轻短T2*造成的快速信号损失,使射频激励后能尽早采样自由感应衰减,以此降低指数信号衰减对图像信噪比和空间分辨率的影响[3]。
1991年,BERGIN等[9]率先提出并使用三维(three dimensional, 3D)UTE成像方法进行肺部扫描。二维(two dimensional, 2D)UTE的原理是由两个带有相反层面选择梯度的半sinc函数射频脉冲进行激发后,多个回波交错捕获,由中心向外、呈放射状快速填充K空间。3D UTE序列则是使用硬脉冲,三维放射状的快速采集,即由K空间中心向外、呈圆锥形填充,使其实现大约8 ms的极短回波时间。3D UTE优于2D UTE序列,因为它提供了更高的、各向同性的空间分辨率,且能够完全覆盖胸部并减少运动伪影[10]。使用呼吸门控在自由呼吸期间进行,可获得比屏气时更多的放射状投影。自由呼吸采集通常使用伪随机视图排序,采集期间的过栅格和不均匀采样也将进一步限制螺旋或条纹伪影[3]。
除了UTE序列,常用的肺部MRI序列还有快速自旋回波序列和扰相梯度回波序列等。一些研究对UTE序列及其他肺部MRI序列的结节检出敏感度做了比较[11]。RENZ等[12]研究显示,UTE序列总结节检出率为76.4%,扰相梯度回波序列为60.9%,容积内插快速扰相梯度回波序列为62.7%。HUANG等[13]发现UTE自由呼吸结节检测敏感度为78.2%,UTE屏气序列结节检测敏感度为75.2%,明显高于容积内插快速扰相梯度回波序列。此外,RENZ等[12]研究发现,对于不同大小的肺结节,UTE序列的检测敏感度比扰相和容积内插梯度回波序列均高,尤其是对于1~4 mm的肺结节。同样,针对不同部位,不同衰减值以及不同边缘(平滑或粗糙)的肺结节,UTE序列的敏感度均高于梯度回波序列。由此可见,就肺结节的MRI而言,UTE序列优于其他MRI序列,这其中的原因可能是UTE序列具有更高的空间分辨率和更高的肺部信号[12,14, 15]。
近年来,3D UTE MRI被逐步尝试用于肺结节的临床研究,该方法具有更好的结节可视化潜力,可与标准或低剂量薄层CT相媲美[16]。Fleischner学会已经认可这项技术在常规临床实践作为一种有发展潜力的胸部MRI工具[17]。
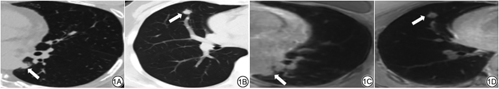
肺结节位置对UTE MRI检出肺结节的能力存在影响,HUANG等 [15]研究提示,由于心脏和呼吸运动伪影的存在,位于左肺下叶和右肺中叶的肺结节在UTE MRI中的检出率较其他部位有一定程度地降低,而且周围型肺结节比中心型肺结节的检出率高。当肺结节位于肺下叶后基底段时,由于呼吸运动在肺底部产生的坠积效应影响,结节往往显示不清,容易漏诊[2]。此外,也有研究显示结节检测率与胸膜距离相关,胸膜下(与胸膜距离<5 mm)结节的检出率为66%,非胸膜下(与胸膜距离≥5 mm)结节的检出率为79%[18]。图1展现了不同部位肺结节在CT和UTE MRI图像中的表现。


多项研究证实,仅就结节大小而言,UTE MRI容易漏诊小于4 mm的肺结节,随着结节大小的增加,其对结节的检测敏感度逐渐增加,当结节大于10 mm时检出率为100%[13,19]。BURRIS等[18]研究显示:2~4 mm结节检出率仅为17%,而4~6 mm检出率为71%,6~8 mm检出率达到83%,8~10 mm检出率达93%,大于等于10 mm结节的检出率则为100%。依据Fleischner指南,无论何种类型,小于4 mm的肺结节不需要进行随访,而UTE序列可以检测出需要随访管理的结节[12,20, 21]。
CT检查中肺结节类型可分为:磨玻璃结节,部分实性结节和实性结节[21]。UTE序列对不同类型结节的检出敏感度也是不同的。
HUANG等 [15]研究显示:UTE MRI对磨玻璃结节的检出率仅为70%,部分实性结节检出率达到91%,实性结节为92%。RENZ等[12]研究显示,在患有恶性肿瘤的儿童中,UTE MRI对实性肺结节的检出率为78.8%,亚实性肺结节(包括部分实性结节和磨玻璃结节)的检出率为68.0%。实性结节往往具有更高的检测率,但UTE MRI对亚实性结节的识别能力仍然可观[12,14, 15,22]。图2展示了不同密度类型结节在CT和UTE MRI图像中的表现。


肺结节的位置、大小和密度类型是影响结节检出率的关键因素。虽然UTE MRI已经达到较好的结节检出率,但是仍不可避免地导致部分肺结节在早期筛查中遗漏和随访管理中缺失。在未来的研究中,UTE MRI技术可以在减少心脏及呼吸运动伪影、增加图像空间分辨率等方面进行更大的改进。而且,目前多数情况下UTE MRI是基于呼气末的膈肌导航技术成像,而吸气末屏气的UTE MRI将更加有助于肺结节,尤其是磨玻璃结节的真实展现与检出。除此之外,HUANG等 [15]提出有计划地开展胸部MRI专业培训、促进资深放射科医生间的经验交流以及针对病例的反馈学习,可以提高新手放射科医生在UTE MRI图像上的肺结节检出率。
孤立性肺结节的随访十分依赖于结节大小的纵向演变[23]。UTE MRI对结节直径的准确评估也是其最终走进临床的关键问题。多个研究表明UTE序列与CT相比在肺结节的直径测量上存在1~2 mm的测量误差,且不同医生之间的测量误差约为1~2 mm,但一致性均较好[19,20,24]。OHNO等[19]研究显示:结节长径测量的平均差值为(0.3±2.7)mm,结节实性部分长径测量平均差值为(0.0±2.0)mm。WIELPÜTZ等[20]发现,就肺结节长径测量平均差值而言,部分实性结节约为(-2.6±5.1)mm,磨玻璃结节约为(-1.4±2.8)mm,实性结节最小,为(-0.7±2.6)mm;肺结节短径测量中,三种类型结节的测量平均差值分别为(-2.0±2.8)mm、(-0.8±2.9)mm、(-0.2±1.5)mm。由此可见,无论是结节长径还是短径的测量,部分实性结节和磨玻璃结节在UTE序列和CT上测量差异均大于实性结节。WIELPÜTZ等认为UTE MRI图像是在自由呼吸中获得的,肺结节边缘被进一步模糊,才导致了磨玻璃成分测量的差异。
肺结节体积的准确测量对于计算倍增时间和规划合理的长期随访具有非常重要的价值,这个方法也越来越受到医生的关注。因此,UTE MRI对于肺结节体积测量的可行性也就引起了一些学者的关注。DELACOSTE等[25]在同一时间对人工结节进行UTE MRI和CT扫描,使用基于信号强度阈值(signal intensity threshold, SIT)的算法和人工手动分割的两种分割图像方式,对结节体积进行测量。使用SIT技术,CT和UTE MRI在体积测量上的平均偏差为2%,一致性范围-10%~14%;人工分割时,体积测量的平均偏差为8%,一致范围-23%~40%。最后,研究者对一名受试者的肺结节体积测量进行了评估,根据SIT算法分割的肺结节,CT和UTE MRI在体积上的测量差异为10%(肺窗)和16%(纵隔窗);采用手工分割方法,两者在体积上的测量差异为33%(肺窗)和40%(纵隔窗)。由此可见,CT和UTE MRI在量化肺结节体积方面具有很好的一致性,且肺窗上分割结节比纵隔窗分割更精确,基于信号强度阈值的分割方法比人工分割在测量上差异更小。
肺结节直径以及体积测量在结节随访方案制订以及监测结节生长中具有重要作用,而UTE MRI与CT相比,由于成像本身的诸多不同,导致测量存在一定的偏差。UTE MRI对结节直径测量的低估作为一种系统性偏差,可以在划定1~2 mm的测量偏差进行补足。而成像方法改变导致的体积测量误差小于25%的系统误差阈值[25],UTE MRI可以替代CT进行肺结节体积测量。相信在未来的研究中,随着MRI技术的提升,以及尝试不同呼吸方案进行图像采集,可以更加精准地测量评估肺结节的直径与体积以用于肺结节的临床随访。
WIELPÜTZ等[20]研究显示,UTE MRI检查时部分实性结节的假阴性率达到42.3%,11个假阴性的部分实性结节中有10个被误认为实性结节;此外,27个部分实性结节中,15个部分实性结节在UTE MRI上显示的磨玻璃成分百分比低于CT。由此可见,UTE MRI检查中,部分实性结节的磨玻璃成分可能会被低估。
OHNO等[19]研究显示,与标准和低剂量CT检测相比,UTE MRI对磨玻璃结节的检出减少43例,对部分实性结节的检出增多33例,UTE MRI发现的肺部影像报告和数据系统分级(Lung CT Screening Reporting And Data System, Lung-RADS)中Lung-RADS 4A类结节减少8例,而Lung-RADS 3类结节增多11例。但是,UTE MRI和CT在Lung-RADS分类准确率上无明显差异。这证明UTE MRI不仅适用于结节的检测,还可帮助医生按照现行指南准确地对结节进行分类,以便后续管理[14,19]。结节类型判断差别可能是由于CT和UTE MRI采集时的呼吸条件不同。CT扫描在完全吸气结束时采集图像,而UTE MRI采用呼吸门控在自由呼吸的状态下对呼气末容积的肺进行采集,小磨玻璃结节的体积损失可能增加了结节内的质子密度,即两种检查的呼吸状况不同影响了结节成分的判定[19]。
自由呼吸UTE MRI检测不同密度类型结节仍然具有挑战,常规CT基于吸气末屏气条件下的扫描有助于更加舒展地显示精细肺结构,因此,UTE MRI如何提升吸气末条件下的成像质量与可行性还需要进一步探究,同时,对于实性肺结节,也可以结合多参数的MRI序列予以综合分析与考量,这样可以推荐更合理和精准的肺结节成像方案。
以往的研究[21,23,26]已经表明,通过形态学特征对肺结节进行无创恶性危险分层是必要的;Lung-RADS等指南[27]也提到需要关注结节的放射学特征有助于随访管理。WIELPÜTZ等[20]对51例病人的119个肺结节进行了UTE MRI与CT的对照研究,研究提示:虽然UTE MRI图像会高估结节边缘光滑程度,但是,对于肿瘤边缘特征和内部结构均有较好的识别。研究中,两名医生在UTE MRI上对结节恶性特征认知的敏感度不同,但特异度均较高;其中,空泡征的检出敏感度和特异度均较高,胸膜牵拉的识别敏感度最高,支气管血管束增厚的识别敏感度最低;但两名医生对分叶征的认知能力差别很大,敏感度分别为70.6%和54.9%。另外,两名医生对粗毛刺和细毛刺的鉴别能力均稍差;由此可见,UTE MRI对肺结节形态学的诊断能力接近CT参考标准。图3展现了一例右肺上叶部分实性结节的胸膜牵拉征象在UTE MRI和CT图像中的表现。


UTE MRI对肺结节形态的识别仍然达不到CT的精度,但是,部分情况下也可以与CT征象进行互补,随着UTE MRI空间分辨率的提高、吸气末成像的可行开展及手术病理对照研究的增多,将在肺结节的形态学评估方面有更大的提升和更多新的认识。
在临床工作中,患有恶性肿瘤等疾病的儿童和青少年需要进行胸部影像随访,观察是否存在肿瘤肺转移或其他肺部疾病,虽然胸部低剂量CT扫描技术的辐射暴露相当低,但应尽可能避免任何对儿童的辐射暴露,尤其是对辐射敏感的器官(乳房、甲状腺)。肺部MRI技术作为儿科胸部成像的一种可行的无辐射方法,对儿童存在益处[10,12,28, 29, 30]。肺部MRI可用于大多数儿科肺部疾病的辅助诊断,包括感染引起的肺炎、囊性纤维化、肺隔离等先天畸形以及肿瘤或转移瘤等组织增殖病变等[31, 32, 33, 34]。在结节检测中,RENZ等[12]证实了UTE序列更高的各向同性分辨率,使得伪影减少和病变清晰度提高,并且UTE序列的结节检测率优于其他两种梯度回波序列。自由呼吸UTE MRI还可以减少儿童屏气配合度低而影响图像质量的可能。
对于肺癌患者的TNM分期和复发评估,正电子发射计算机断层成像(positron emission tomography/MRI, PET)/MRI的诊断性能几乎与PET/CT相同[35]。PET/MRI与UTE序列结合不仅可以捕获快速衰减的肺实质信号,还通过自适应呼吸门控来减少运动伪影,获得高空间分辨率的图像[36]。BURRIS等[18]使用UTE PET/MRI检查患者肺部结节,与同一患者同一时期的PET/CT图像对照,FDG摄取阳性结节UTE PET/MRI检出率为100%;FDG摄取阴性的结节UTE PET/MRI检出率为68%,其中直径≥4 mm的阴性结节检出率为79%。
肺结节在PET/MRI上标准摄取值(standard uptake value, SUV)的测定与在PET/CT的测定出现差异,BOADA等[36]认为,PET/MRI采集时受试者的呼吸运动导致小病变显出信号明显模糊,因此测定的SUV值不准确;运动校正算法改善图像中的模糊之后,SUV值可以改善>40%。然而,BURRIS等[18]的研究认为,PET/MRI检查时所需的更长采集时间和更高探测器敏感度导致了更低的SUV值计算。
氧增强(oxygen enhanced-MRI, OE-MRI)是分别获取在常氧(氧浓度21%)呼吸期间和高氧(氧浓度100%)呼吸期间的图像,两次采集的图像减影产生的信号增强图谱突出了氧合增加的区域。传统方法采集具有厚层和不完整的肺部覆盖的不足,3D UTE序列不仅有效缓解了传统质子肺成像T2*信号的快速衰减,还提供了具有各向同性空间分辨率的全肺覆盖,允许通气加权图像与高分辨率结构图像联合[3,8,37, 38, 39]。大多数OE-MRI的研究集中于对肺功能的判定,如慢性阻塞性肺疾病肺功能丧失的评估,哮喘严重程度的评估,以及对淋巴管平滑肌瘤病的观察[40, 41, 42]。在肺结节成像中,LIU等[43]运用OE-UTE技术在吸氧前后的图像上计算出每个肿瘤平均信号增强百分比(percent signal enhancement, PSE),对肺结节进行定量分析。针对44例患者进行低级别腺癌与中、高级别腺癌鉴别,肿瘤平均PSE的鉴别敏感度为0.8,AUC值为0.81,说明PSE区分肺腺癌的组织学分级的能力较好。OE-MRI定量分析为肺结节病理分类提供了一种崭新的方法,在未来的研究中可以更进一步联合肺结节患者的预后信息进行预测评估。
肺UTE MRI具有高空间分辨率、无电离辐射的优势,其适用的人群更加广泛,并为减少患者多次随访检查带来的辐射累积提供了可能。同时,UTE MRI自由呼吸采集模式可以用于难以屏气的患者。在与胸部CT肺结节成像的对照研究中,胸部UTE MRI检查呈现出对肺结节较高的检测能力和较好的分类一致性,为UTE MRI能够用于临床肺结节的筛查和随访提供了强有力的证据支持。然而由于设备限制,与胸部CT检查相比,UTE MRI检查不可避免地提高了检查时间,降低了患者的舒适度。长时间的自由呼吸,即使有呼吸门控的控制,呼吸运动伪影对图像质量的影响仍然不可忽略。未来的研究中,首先,可以针对UTE MRI尝试不同呼吸方案进行图像采集,以改善肺结节图像质量;其次,可以加入病理对照研究,以更好地评估UTE MRI图像上结节的大小、密度、形态与病理类型的联系;最后,通过影像组学和深度学习[44, 45]对UTE图像进行进一步的信息挖掘,UTE MRI的肺结节成像的前景值得期待。
张靖雨, 熊梓琦, 李智勇. 超短回波时间磁共振成像用于肺结节的研究进展及展望[J]. 磁共振成像, 2023, 14(1): 183-188.
ZHANG J Y, XIONG Z Q, LI Z Y. Progress and prospects of ultrashort echo time magnetic resonance imaging for pulmonary nodules[J]. Chin J Magn Reson Imaging, 2023, 14(1): 183-188.
Dalian Science and Technology Innovation Fund (No. 2022JJ13SN078).
全体作者均声明无利益冲突。





















