
探讨缩短采集时间和多动脉期扫描技术对钆塞酸二钠肝脏增强MRI动脉期成像的影响。
回顾性分析2018年5月至2021年12月253例行钆塞酸二钠肝脏增强MRI检查的患者病例,根据不同的检查方式将患者分为三组:常规的容积内插式屏气检查(conventional volumetric interpolated breath-hold examination, C-VIBE)87例(单动脉期,扫描时间16 s);缩短采集时间的屏气检查(shortened acquisition volumetric interpolated breath-hold examination, S-VIBE)78例(单动脉期,扫描时间12 s);结合了鸡尾酒并行采集(controlled aliasing in parallel imaging results in higher acceleration, CAIPIRINHA)技术、水脂分离压脂(Dixon)技术及时间分辨交叉随机轨迹(time-resolved imaging with interleaved stochastic trajectories, TWIST)成像的容积内插屏气检查(CAIPIRINHA-Dixon-TWIST-VIBE, CDT-VIBE)88例(五期多动脉期,扫描时间16 s)。分别对三组图像动脉期的期相和图像质量进行评价,均采用四分法,图像期相根据肝动脉及门静脉显示程度划分;主观图像质量从图像伪影、肝脏边缘清晰度及病灶显示三个方面评价,客观图像质量包括图像的信噪比(signal to noise ratio, SNR)与对比噪声比(contrast to noise ratio, CNR)。分类变量表示为病例数和百分比,χ2检验处理分类变量;计量资料用均数±标准差(±s)表示,采用单因素方差分析比较各组间年龄的差异;非参数Kruskal-Wallis检验比较三组序列组间与多动脉期组内图像质量的差异及三组序列图像SNR与CNR的差异。
三组患者的临床特征(性别、年龄、胸水、腹水、慢性阻塞性疾病、肝硬化)差异无统计学意义(P>0.05)。两名MRI诊断医生对动脉期期相和图像质量评估均具有较好的一致性(Kappa值>0.7)。在动脉期图像中,CDT-VIBE组最佳图像的评分优于C-VIBE组和S-VIBE组(H=23.698,P<0.001)。在动脉早期图像中,CDT-VIBE组最佳图像评分优于C-VIBE组(H=19.415,P=0.043)。三组图像动脉早期比动脉晚期出现更多不满意图像(χ2=7.311,P=0.007)。CDT-VIBE组最佳图像在动脉早期与晚期的优秀率远高于C-VIBE组和S-VIBE组(P<0.05)。CDT-VIBE组第一期和第二期的动脉早期图像优秀率高于后三期(P<0.05);动脉晚期中第四期图像的优秀率(78.4%)远高于前三期(P<0.05)。三组图像的SNR(H=3.854,P=0.146)及CNR(H=2.120,P=0.346)差异均无统计学意义。
注射钆塞酸二钠后,采用缩短采集时间的S-VIBE序列不能有效减少屏气失败的图像,而使用多动脉期采集的CDT-VIBE序列则可以提供更多的优秀动脉期图像,既可以提供描绘血管的动脉早期图像,又可以获得病灶强化信息的动脉晚期图像,可在临床中推广应用。
本刊刊出的所有论文不代表本刊编委会的观点,除非特别声明
钆塞酸二钠[1]是一种新型特异性的MRI对比剂,钆塞酸二钠增强MRI可以有效地将动脉期与肝胆特异期的图像结合起来,通过动脉期病灶强化特点和特异期肝细胞肝功能状态反映病灶的性质[2, 3, 4],最大程度地帮助医生进行肝脏疾病的诊断与良恶性病灶的鉴别诊断[5, 6, 7, 8]。然而有研究发现注射钆塞酸二钠后部分患者检查过程中出现短暂呼吸困难或恶心,导致屏气不佳而出现呼吸运动伪影,影响动脉期图像质量[9, 10, 11, 12]。常规的容积内插式屏气检查(conventional volumetric interpolated breath-hold examination, C-VIBE)效果欠佳,有报道称注射钆塞酸二钠可减少动脉期屏气时间[13],研究者通过缩短采集时间的屏气检查(shortened acquisition volumetric interpolated breath-hold examination, S-VIBE)减少运动伪影出现,但他们的结论并不相同[13, 14, 15];也有研究者采用多动脉期采集[16, 17, 18]的方式抑制伪影的出现。目前国内对这三种序列的对比鲜有研究,国外研究较少且仅分析动脉晚期图像伪影情况,并且未比较图像的信噪比(signal to noise ratio, SNR)与对比噪声比(contrast to noise ratio, CNR)。无论是反映病变的血供特点的动脉早期[19]还是显示病灶强化方式的动脉晚期[13, 20]对于病变的诊断都至关重要。本文采用结合了鸡尾酒并行采集(controlled aliasing in parallel imaging results in higher acceleration, CAIPIRINHA)技术、水脂分离压脂(Dixon)技术及时间分辨交叉随机轨迹成像(time-resolved imaging with interleaved stochastic trajectories, TWIST)的容积内插屏气检查(CAIPIRINHA-Dixon-TWIST-VIBE, CDT-VIBE),这种快速时间分辨动态三维成像的新技术[18, 21, 22]允许单次屏气采集多个期相,能观测肝脏动态增强全过程。本研究采用C-VIBE、S-VIBE和CDT-VIBE三种序列两两对比研究,探讨这三种序列在动脉期期相获取和图像质量方面的差异。
本回顾性研究遵守《赫尔辛基宣言》,并经武汉市中心医院伦理委员会批准,免除患者知情同意,批准编号:WHZXKYL2022-025-01。回顾性分析本院2018年5月至2021年12月253例行钆塞酸二钠肝脏增强MRI检查的患者病例,男144例,女109例,年龄30~87(58.8±11.4)岁,根据不同的检查方式将患者分为三组:组1共87例,使用常规C-VIBE行单动脉期扫描;组2共78例,使用缩短采集时间的S-VIBE行单动脉期扫描;组3共88例,使用CDT-VIBE行多动脉期(五期)扫描。
采用德国Siemens Magnetom Skyra 3.0 T MRI系统,18通道腹部线圈。在肘静脉建立通道,用高压注射器团注钆塞酸二钠(Bayer Schering Pharma, Berlin, Germany),剂量为0.025 mmol/kg,流速为2 mL/s,注射后立即以相同速率用20 mL生理盐水冲洗导管。注射钆塞酸二钠前先行平扫,注射后行动脉期(K空间中心填充时间为25 s)、门脉期(60 s)、延迟期(3 min)和肝胆期(20 min)扫描。整个扫描过程均按照标准扫描方案完成扫描。三组序列参数见表1。

三组序列参数
The sequence parameters of three sets
三组序列参数
The sequence parameters of three sets
| 参数 | C-VIBE组 | S-VIBE组 | CDT-VIBE组 |
|---|---|---|---|
| 方位 | 轴位 | 轴位 | 轴位 |
| 重复时间/ms | 3.31 | 3.31 | 3.97 |
| 回波时间/ms | 1.30 | 1.30 | 1.23、2.46 |
| 翻转角/° | 9 | 9 | 9 |
| 视野/mm2 | 380×309 | 380×309 | 380×309 |
| 重建分辨率/mm2 | 0.6×0.6 | 0.6×0.6 | 0.7×0.7 |
| 层厚/mm | 3 | 3 | 3 |
| 部分傅里叶 | - | 6/8 | 7/8 |
| 层数 | 72 | 72 | 72 |
| 压脂方式 | SPAIR | SPAIR | Dixon |
| 加速因子 | Phase 2/slice 2 | Phase 2/slice 2 | Phase 1/slice 5 |
| 扫描时间/s | 16 | 12 | 16 |
注:C-VIBE为容积内插式屏气检查;S-VIBE为缩短采集时间的屏气检查;CDT-VIBE为结合了鸡尾酒并行采集技术(CAIPIRINHA)、水脂分离压脂技术(Dixon)及时间分辨交叉随机轨迹成像(TWIST)的容积内插屏气检查;SPAIR为频率衰减翻转恢复。
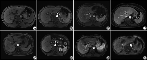
所有图像均使用Siemens Syngo工作站进行分析。为保证盲法评估的客观性,由两位分别具有6年和13年影像诊断经验的影像科主治医师分别对三组图像进行评价,包括动脉期图像的期相评价、图像质量评价,并最终讨论达成一致意见。二者的评价方法均采用四分法。动脉期期相评分标准(图1)如下:1分为肝动脉中无对比剂;2分为动脉早期(仅肝动脉有对比剂,但门静脉和肝实质无增强);3分为动脉晚期(肝动脉和轻度门静脉增强,无明显肝脏实质增强或肝静脉增强);4分为门静脉期(肝实质和肝静脉增强)。动脉期图像=动脉早期+晚期图像,动脉早期捕获率=动脉早期例数/总例数,动脉晚期捕获率=动脉晚期例数/总例数。

Arterial phase image quality score. 2A is 1, image without artifacts, liver margins and lesions clearly visible; 2B is 2, image with mild artifacts and mild blurring of margins does not affect the diagnosis; 2C is 3, image with moderate artifacts and moderate blurring of margins can be diagnosed; 2D is 4, image with heavy artifacts and heavy blurring of margins cannot be diagnosed.

Arterial phase image quality score. 2A is 1, image without artifacts, liver margins and lesions clearly visible; 2B is 2, image with mild artifacts and mild blurring of margins does not affect the diagnosis; 2C is 3, image with moderate artifacts and moderate blurring of margins can be diagnosed; 2D is 4, image with heavy artifacts and heavy blurring of margins cannot be diagnosed.
主观图像质量从图像伪影、肝脏边缘清晰度及病灶显示三个方面评价(图2):1分为无伪影,肝脏边缘及病灶清晰可见;2分为轻度伪影,边缘轻度模糊不影响诊断;3分为中度伪影,边缘中度模糊能够诊断;4分为重度伪影,边缘重度模糊无法诊断。客观图像质量评估图像的SNR与CNR,三组动脉期图像的肝实质及同层面的右侧竖脊肌内放置感兴趣区(region of interest, ROI)。ROI的放置标准如下:(1)以门静脉为中心连续三个层面肝脏和竖脊肌相同的位置;(2)均要避开血管、胆管、占位病变、脂肪间隙和伪影区;(3)尽可能确保每个放置的位置相同,大小相等且尽可能大。将相应的测量结果取平均值得到肝脏和竖脊肌的信号强度(signal intensity, SI)及竖脊肌的信号强度标准差(standard deviation, SD)。计算公式如下:SNR=SI肝脏/SD竖脊肌;CNR=(SI肝脏-SI竖脊肌)/SD竖脊肌。CDT-VIBE组取五期图像SNR与CNR的平均值。SNR与CNR由上述高年资影像科医师测量并计算。
采用SPSS 26.0软件对数据进行统计学分析。对两名医生间图像期相和图像质量评价的一致性采用Kappa检验,Kappa值0~0.40为一致性差,0.41~0.60为一致性中等,0.61~0.80为一致性较好,0.81~1.00为一致性好。分类变量表示为病例数和百分比。χ2检验处理分类变量。计量资料用均数±标准差(±s)表示,Kolmogorov-Smirnov检验用于数据的正态分布检验,采用单因素方差分析比较各组间年龄的差异;非参数Kruskal-Wallis检验比较三组序列组间与多动脉期组内图像质量的差异及三组序列图像SNR与CNR的差异,并对α′进行进一步的多重比较,采用Bonferroni校正以减少Ⅰ型误差。α′根据公式α′=α×m(比较次数)进行修正。P<0.05为差异有统计学意义(P值均已校正)。
三组患者性别、年龄、胸水、腹水、慢性阻塞性疾病和肝硬化等临床特征差异均无统计学意义(P>0.05)(表2)。

患者临床特征组
Clinical characteristics of the patients
患者临床特征组
Clinical characteristics of the patients
| 特征 | C-VIBE组(n=87) | S-VIBE组(n=78) | CDT-VIBE组(n=88) | 统计值 | P值 |
|---|---|---|---|---|---|
| 性别(男)/例(%) | 49(56.3) | 45(57.7%) | 50(56.8) | 0.032① | 0.984 |
| 年龄/岁 | 60.38±11.07(35~87) | 57.96±10.37(37~85) | 58.05±12.42(30~84) | 1.248② | 0.289 |
| 胸水/例(%) | 2(2.3) | 2(2.6) | 1(1.1) | 0.506① | 0.776 |
| 慢性阻塞性疾病/例(%) | 3(3.4) | 3(3.8) | 2(2.3) | 0.370① | 0.831 |
| 腹水/例(%) | 5(5.7) | 4(5.1) | 7(8.0) | 0.632① | 0.729 |
| 肝硬化/例(%) | 17(19.5) | 14(17.9) | 18(20.5) | 0.169① | 0.919 |
注:①表示χ2检验结果;②表示单因素方差分析结果。C-VIBE为容积内插式屏气检查;S-VIBE为缩短采集时间的屏气检查;CDT-VIBE为结合了鸡尾酒并行采集技术(CAIPIRINHA)、水脂分离压脂技术(Dixon)及时间分辨交叉随机轨迹成像(TWIST)的容积内插屏气检查。
两名MRI医生对动脉期期相和图像质量评估均具有较好的一致性(Kappa值>0.7)(表3)。

两名医生评分一致性
Consistency of scores between the two doctors
两名医生评分一致性
Consistency of scores between the two doctors
| 评分项目及序列 | 医师1 | 医师2 | Z值 | Kappa值 |
|---|---|---|---|---|
| 动脉期期相 | ||||
| C-VIBE | 2.56±0.52 | 2.54±0.52 | 9.218 | 0.954 |
| S-VIBE | 2.63±0.49 | 2.60±0.49 | 8.366 | 0.946 |
| CDT-VIBE | ||||
| 一期 | 1.85±0.44 | 1.85±0.42 | 9.872 | 0.932 |
| 二期 | 2.27±0.47 | 2.23±0.47 | 9.174 | 0.918 |
| 三期 | 2.56±0.54 | 2.60±0.49 | 9.047 | 0.931 |
| 四期 | 2.85±0.36 | 2.88±0.33 | 8.516 | 0.904 |
| 五期 | 2.98±0.40 | 3.03±0.28 | 9.751 | 0.761 |
| 动脉期质量 | ||||
| C-VIBE | 1.80±0.91 | 1.77±0.90 | 13.102 | 0.947 |
| S-VIBE | 1.72±0.88 | 1.73±0.88 | 12.230 | 0.959 |
| CDT-VIBE | ||||
| 一期 | 1.69±0.86 | 1.66±0.84 | 12.641 | 0.943 |
| 二期 | 1.47±0.71 | 1.43±0.71 | 11.540 | 0.930 |
| 三期 | 1.51±0.71 | 1.50±0.71 | 12.001 | 0.979 |
| 四期 | 1.51±0.77 | 1.48±0.76 | 12.091 | 0.956 |
| 五期 | 1.77±0.93 | 1.72±0.92 | 13.236 | 0.945 |
注:C-VIBE为容积内插式屏气检查;S-VIBE为缩短采集时间的屏气检查;CDT-VIBE为结合了鸡尾酒并行采集技术(CAIPIRINHA)、水脂分离压脂技术(Dixon)及时间分辨交叉随机轨迹成像(TWIST)的容积内插屏气检查。
C-VIBE组、S-VIBE组与CDT-VIBE组第三期的动脉早期与晚期的捕获率差异无统计学意义(P>0.05);CDT-VIBE组第一、二期动脉早期捕获率远高于同组后三期及C-VIBE组与S-VIBE组(P<0.05);CDT-VIBE组第四、五期动脉晚期捕获率远高于同组前三期及C-VIBE组与S-VIBE组(P<0.05)(表4)。

三组图像动脉期期相捕获率比较
Comparison of the arterial phase capture rate of the three image groups
三组图像动脉期期相捕获率比较
Comparison of the arterial phase capture rate of the three image groups
| 期相捕获率 | C-VIBE组(n=87) | S-VIBE组(n=78) | CDT-VIBE组(n=88) | χ2值 | P值 | ||||
|---|---|---|---|---|---|---|---|---|---|
| 一期 | 二期 | 三期 | 四期 | 五期 | |||||
| 动脉早期/% | 41.4 | 37.2 | 78.4 | 70.5 | 39.8 | 12.5 | 2.3 | 167.866 | <0.001 |
| 动脉晚期/% | 57.5 | 62.8 | 3.4 | 28.4 | 60.2 | 87.5 | 92.0 | 209.856 | <0.001 |
注:C-VIBE为容积内插式屏气检查;S-VIBE为缩短采集时间的屏气检查;CDT-VIBE为结合了鸡尾酒并行采集技术(CAIPIRINHA)、水脂分离压脂技术(Dixon)及时间分辨交叉随机轨迹成像(TWIST)的容积内插屏气检查。
设定CDT-VIBE多动脉期五组中评分最小的图像为最佳图像。在动脉期图像中,三组序列评分差异无统计学意义(H=0.190,P=0.909);CDT-VIBE组最佳图像的评分优于C-VIBE组和S-VIBE组(H=23.698,P<0.001)。在动脉早期图像中,CDT-VIBE组最佳图像评分优于C-VIBE组(H=19.415,P=0.043)。在动脉晚期图像中,C-VIBE组、S-VIBE组与CDT-VIBE组最佳图像评分差异无统计学意义(H=4.221,P=0.121)(表5)。

三组图像动脉期图像质量评分比较
Comparison of image quality scores in the arterial phase for the three groups of images
三组图像动脉期图像质量评分比较
Comparison of image quality scores in the arterial phase for the three groups of images
| 评分项目 | C-VIBE组 | S-VIBE组 | CDT-VIBE组 | H值 | P值 | |
|---|---|---|---|---|---|---|
| 平均评分 | 最佳评分 | |||||
| 动脉期 | 1.78±0.900 | 1.73±0.878 | 1.61±0.666 | 1.25±0.531 | 0.190① | 0.909 |
| 23.698② | <0.001 | |||||
| 3.489③ | 1.000 | |||||
| 42.676④ | <0.001 | |||||
| 39.187⑤ | <0.001 | |||||
| 动脉期早期 | 2.03±1.000 | 2.00±1.069 | - | 1.58±0.807 | 7.644② | 0.022 |
| 3.080③ | 1.000 | |||||
| 19.415④ | 0.043 | |||||
| 16.335⑤ | 0.170 | |||||
| 动脉期晚期 | 1.60±0.782 | 1.57±0.707 | - | 1.40±0.674 | 4.221② | 0.121 |
注:①表示C-VIBE、S-VIBE评分与CDT-VIBE平均评分比较;②表示C-VIBE、S-VIBE评分与CDT-VIBE最佳评分比较;③表示C-VIBE与S-VIBE评分比较;④表示C-VIBE评分与CDT-VIBE最佳评分比较;⑤表示S-VIBE评分与CDT-VIBE最佳评分比较。多组比较采用Bonferroni校正。C-VIBE为容积内插式屏气检查;S-VIBE为缩短采集时间的屏气检查;CDT-VIBE为结合了鸡尾酒并行采集技术(CAIPIRINHA)、水脂分离压脂技术(Dixon)及时间分辨交叉随机轨迹成像(TWIST)的容积内插屏气检查。
设定图像质量评分为1分或2分为令人满意的优秀图像,评分为3、4分是不令人满意的图像。三组共获得244例动脉早期和338例动脉晚期图像,动脉早期(22.5%,55/244)比动脉晚期(13.9%,47/338)获得更多的不满意图像(χ2=7.311,P=0.007)。三组序列七组图像优秀率比较差异无统计学意义(χ2=3.85,P=0.696)。CDT-VIBE组最佳动脉早期与晚期图像优秀率远高于C-VIBE组和S-VIBE组(P<0.05),而C-VIBE组与S-VIBE组图像优秀率差异无统计学意义(P>0.05)。CDT-VIBE组中第一期(62.5%)和第二期(59.1%)的动脉早期图像优秀率高于后三期(P<0.05);第四期以78.4%的动脉晚期图像优秀率远高于前三期(P<0.05),第五期的优秀图像(72.7%)略少于第四期(P>0.05)(图3)。


三组图像的SNR(H=3.854,P=0.146)及CNR(H=2.120,P=0.346)差异均无统计学意义(表6)。

三组图像动脉期图像SNR与CNR比较
Comparison of SNR and CNR in arterial phase images of three groups of images
三组图像动脉期图像SNR与CNR比较
Comparison of SNR and CNR in arterial phase images of three groups of images
| 项目 | C-VIBE组 | S-VIBE组 | CDT-VIBE组 | H值 | P值 |
|---|---|---|---|---|---|
| SNR | 42.00±10.60 | 41.06±10.90 | 39.01±10.69 | 3.854 | 0.146 |
| CNR | 15.89±7.30 | 14.33±6.13 | 14.02±5.79 | 2.120 | 0.346 |
注:SNR为信噪比;CNR为对比噪声比;C-VIBE为容积内插式屏气检查;S-VIBE为缩短采集时间的屏气检查;CDT-VIBE为结合了鸡尾酒并行采集技术(CAIPIRINHA)、水脂分离压脂技术(Dixon)及时间分辨交叉随机轨迹成像(TWIST)的容积内插屏气检查。
本研究旨在探究注射钆塞酸二钠后,三种MRI检查序列对肝脏动脉期图像期相获取与图像质量的价值。我们发现S-VIBE并未达到预期的效果,与C-VIBE相比,无论是对动态增强强化过程的观察还是对运动伪影的抑制作用均未能取得良好的效果;而CDT-VIBE在增强检查中成像效果优于C-VIBE和S-VIBE,可以提供更多优秀的动脉期图像,既能获得显示肝脏病灶血供特点的动脉早期图像,又可通过动脉晚期图像观察病灶的强化方式,可以清晰地显示肝脏病灶的轮廓与信号变化信息,实现对肝脏病变的准确定位与定性诊断。
本研究中单动脉期C-VIBE和S-VIBE肝动脉显示率分别为29.9%与24.4%,远低于多动脉期CDT-VIBE的83.0%;CDT-VIBE中强调病灶强化的优秀动脉晚期图像获取率(88.6%)同样远高于C-VIBE和S-VIBE(图3)。分析原因,C-VIBE和S-VIBE是单期相扫描,本研究采用固定延迟时间扫描,由于个体差异可能导致采集到的期相并不相同,动脉早期与晚期不能兼顾;CDT-VIBE是五期多期扫描,扫描时间覆盖整个动脉期强化过程,动脉早期多出现在前两期,第三期获取的图像与单动脉期相似,动脉晚期多出现在后两期,早期门静脉期出现在第五期,这一结果与PARK等[23]和WEI等[17]之前的研究一致,在显示病灶强化特点的同时,血管的强化过程也得到了清晰的显示,QU等[24]的研究发现CDT-VIBE为肿瘤血管评估提供优秀的观察时间窗,显示出比单动脉相检查更高的性能;WEI等[19]也发现多动脉MRI对于肝血管的显示效果不弱于CTA,这对肝脏病灶的诊断和临床治疗方案的选择具有至关重要的意义。本研究发现随着扫描时间增加,CDT-VIBE动脉晚期捕获率随之升高,第五期可以获得最多的动脉晚期,而满足临床诊断要求的优秀晚期图像却比第四期减少了11.7%,我们推测更长的扫描时间增加了患者屏气的难度,导致图像出现更多的伪影。
近年来对注射钆塞酸二钠后出现一过性动脉期运动伪影的研究有所增加[10, 12, 25],本研究基于K空间的共轭对称性优化C-VIBE扫描参数,使用部分傅里叶重建技术[26, 27],获得扫描时间为12 s的S-VIBE序列,比C-VIBE(16 s)扫描时间缩短了25%,但是获得的优秀动脉早期与晚期的图像例数并未增加,也就是说虽然患者屏气时间缩短了,但是图像质量未得到改善,这一结果与ICHIKAWA等[15]的类似。而与YOO等[14]认为短屏气技术显示出更好的动脉期图像质量,屏气困难的发生率更低不同,这可能是因为对于屏气失败的定义不同,他们将动脉期呼吸波形标准偏差值比增强前大200定义为呼吸困难,而本研究是并未记录呼吸波形的回顾性研究,获得的不满意图像可能不完全是由于屏气失败造成,这可能会导致我们的研究结果有差异。本研究还发现与C-VIBE和S-VIBE相比,CDT-VIBE各期图像优秀率并无差异,说明多动脉期扫描并不能抑制屏气失败情况的出现;但是多动脉期最佳图像的优秀图像远多于两组单动脉期,这可能是因为钆塞酸二钠增强中的呼吸困难通常是瞬时性的,持续时间很短。CDT-VIBE序列通过鸡尾酒技术[28]加速,再使用TWIST技术[25, 29]将K空间中心区域(20%)全采样,K空间周围区域(80%)随机采样,每个采样轨迹都略有不同,随机采样的周围区域在全采样的中心区域之间共享,通过多期扫描将图像信号互相填充后进行重建[30],在保证图像质量的同时,缩短了每一期的采样时间(一期约3 s),高时间分辨率利于避开瞬时的呼吸困难,由临近的期相提供无或者轻度伪影的图像。因此,CDT-VIBE虽然也会出现短暂性呼吸困难,但是它可以提供至少一组减少或者没有受到屏气不佳影响的图像。
本研究存在一些局限性:(1)未评估三组序列在病灶检出方面的诊断性能;(2)本研究的样本量有限,后面应扩大样本量及研究范围,对优势序列的应用价值行进一步验证。
综上所述,注射钆塞酸二钠后,采用缩短采集时间的S-VIBE序列不能有效减少屏气失败的图像,而使用多动脉期采集的CDT-VIBE序列则可以提供更多的优秀动脉期图像,既可以提供描绘血管的动脉早期图像,又可以获得病灶强化信息的动脉晚期图像,可在临床中推广应用。
马锋, 刘芬, 张树桐. 三种扫描序列对钆塞酸二钠肝脏增强MRI动脉期期相及图像质量的对比研究[J]. 磁共振成像, 2023, 14(2): 125-131.
MA F, LIU F, ZHANG S T. A comparative study of three scanning sequences on the arterial phase and image quality of gadoxetic acid disodium liver-enhanced MRI[J]. Chin J Magn Reson Imaging, 2023, 14(2): 125-131.
全体作者均声明无利益冲突。





















