
探究基于钆塞酸二钠(gadolinium ethoxybenzyl diethylenetriamine pentaacetic acid, Gd-EOB-DTPA)增强MRI肝胆期(hepatobiliary phase, HBP)图像的影像组学模型术前诊断肝细胞癌(hepatocellular carcinoma, HCC)微血管侵犯(microvascular invasion, MVI)分级的效能。
回顾性分析术前接受Gd-EOB-DTPA增强MRI检查且术后病理证实为HCC的患者370例,根据MVI的数量和分布情况进行风险分级(M0∶M1∶M2=192∶132∶46)。在患者术前Gd-EOB-DTPA增强MRI的HBP图像中勾画感兴趣区,再分别提取和筛选出最优影像组学特征。用最优特征分别结合随机森林(random forest, RF)、逻辑回归(logistic regression, LR)、决策树(decision tree, DT)、K近邻(K-nearest neighbor, KNN)四种建模方法构建三分类预测模型,利用准确度及阳性预测值评估三分类模型的诊断效能。再进一步采用一对多、一对一的策略,采用支持向量机作为分类器构建六种二分类模型,利用受试者工作特征(receiver operating characteristic, ROC)曲线评估二分类模型的诊断效能。
基于RF、LR、DT、KNN的三分类影像组学模型训练集的准确度依次为76.00%、61.00%、66.00%、62.00%,验证集的准确度依次为58.00%、49.00%、44.00%、57.00%。三分类模型预测M0的阳性预测值最高,训练集中阳性预测值依次为81.00%、75.00%、84.00%、65.00%,验证集中依次为68.00%、63.00%、69.00%、62.00%。二分类影像组学模型预测M0级、M1级、M2级的训练集ROC曲线下面积(area under the curve, AUC)值分别为0.93、0.77、0.79,验证集AUC值分别为0.78、0.67、0.76。
三分类影像组学模型对M0级的预测阳性预测值较高;二分类影像组学模型对MVI分级具有较好的诊断能力,对M0级和M2级的诊断效能较高,二分类模型的诊断效能优于三分类模型。基于增强MRI影像组学模型对术前预测HCC患者MVI分级具有较高的价值。
本刊刊出的所有论文不代表本刊编委会的观点,除非特别声明
肝细胞癌(hepatocellular carcinoma, HCC)占原发性肝癌的75%~85%,是全球第六大最常见癌症和第四大癌症相关死亡原因[1, 2]。虽然目前有许多有效的治疗方法,如手术、肝移植、射频消融等,但复发仍很常见,多达70%的患者在肝切除术后5年出现复发[3]。微血管侵犯(microvascular invasion, MVI)的存在是肿瘤侵袭性行为的标志,表明肝切除术后复发的风险很高[4, 5]。MVI是肝癌根治性手术患者肝内复发最重要的危险因素之一[6],特别是MVI的M2级是术后复发和肝内转移的高危因素[7]。对于MVI高风险的HCC患者,应考虑替代治疗策略和术前辅助治疗[8, 9]。因此需要建立无创且准确的模型以预测MVI分级,从而辅助外科医生选择适合患者的手术方法。影像组学是一种新兴的、无创性的工具,它使用一系列的数据挖掘算法和统计分析工具来对图像特征进行高通量分析,影像组学特征已被越来越多地用于癌症表型和肿瘤微环境的诊断和预后标志物[10, 11]。既往研究表明,基于影像组学的模型可以有效对MVI进行术前诊断[12, 13, 14, 15],然而,这些研究大多采用MVI阴性/阳性分类,对MVI具体分级预测的研究相对较少。有学者进行了MVI发生及分级的研究[16, 17, 18],但其研究限于分析临床与影像学特征在MVI发生及分级方面的意义。本研究旨在构建基于钆塞酸二钠(gadolinium ethoxybenzyl diethylenetriamine pentaacetic acid, Gd-EOB-DTPA)增强MRI的影像组学模型,对术前HCC患者的MVI分级进行诊断。
本研究遵守《赫尔辛基宣言》,经青岛大学附属医院医学伦理委员会批准,免除患者知情同意(批准文号:QYFYWZLL27432)。回顾性分析青岛大学附属医院2016年10月至2021年5月收治的进行肝癌根治性切除术的370例HCC患者的临床、影像及病理资料。纳入标准:(1)在本院接受肝切除术并经术后病理学证实为HCC,且明确MVI分级;(2)肝切除术3周前行上腹部Gd-EOB-DTPA增强MRI扫描检查。排除标准:(1)图像不完整或质量差,无法完成评估;(2)进行过其他抗肿瘤治疗,如:肝移植术、介入治疗等。
所有病理切片均来源于本院病理科数据库,由两名经过培训的病理科医师独立进行组织病理学诊断,对于有争议的病例,通过讨论作出最终诊断。本研究根据《原发性肝癌规范化病理诊断指南(2015年版)》所描述的MVI及其分级的定义进行MVI分级诊断。诊断指南中MVI及其分级的定义如下:MVI主要是指显微镜下于内皮细胞衬覆的血管腔内见到癌细胞巢团,多见于癌旁肝组织内门静脉小分支(含肿瘤包膜内血管)。将全部组织切片内的MVI进行计数,根据MVI的数量和分布情况进行风险分级,可作出3组风险分级。M0:未发现MVI;M1(低危组):MVI的数量≤5个,且分布于近癌旁肝组织区域(≤1 cm);M2(高危组):>5个MVI,或MVI发生于远癌旁肝组织区域(>1 cm)[19]。
使用3.0 T MRI扫描仪(GE Signa HDx 3.0 T/Siemens Skyra 3.0 T)和12通道体部相控阵线圈进行扫描。扫描序列:(1)常规MRI扫描,包括横轴面及冠状面脂肪抑制T2WI、横轴面扩散加权成像(diffusion-weighted imaging, DWI)及双回波T1WI;(2)增强扫描采用高压注射器经肘静脉团注对比剂Gd-EOB-DTPA(Bayer Schering Pharma AG,Germany,10 mL/支),注射速率为1.0 mL/s,剂量0.1 mL/kg,注射对比剂后15 s开始连续采集多期动脉期图像,50 s采集门脉期图像,180 s采集平衡期图像,HBP图像于注射对比剂20 min后扫描。
从图像存储和通信系统获取患者的Gd-EOB-DTPA增强MRI图像,并将肝胆期(hepatobiliary phase, HBP)20 min图像以DICOM格式导出至“医准智能-达尔文”科研平台。由一位具有6年工作经验的腹部专业放射科主治医师对HCC患者的HBP图像进行感兴趣区(region of interest, ROI)勾画,选择病灶轴位的最大层面,在病灶的边界手动绘制ROI,当病灶多发时选取最大病灶,勾画时沿肿瘤边缘,并且避开肿瘤内的血管影。再由另一位具有20年工作经验的放射科主任医师对勾画的图像进行复核,如意见有分歧则共同协商解决。由软件自动提取每个ROI的MRI影像组学特征,提取特征之前,采用最大最小值归一化对灰度值进行归一化处理,再进一步采用最小绝对值收缩和选择算子(the least absolute shrinkage and selection operator, LASSO)算法筛选出最优特征。
将患者按照7∶3的比例随机分成训练组(n=259)和验证组(n=111)。采用“医准智能-达尔文”智能科研平台中的随机森林(random forest, RF)、逻辑回归(logistic regression, LR)、决策树(decision tree, DT)、K近邻(K-nearest neighbor, KNN)4种建模方法对最优特征进行模型构建。在训练集中进行机器学习模型训练,并在验证集中进行模型性能验证。采用准确度、阳性预测值评估三分类模型的预测能力。
采用支持向量机(support vector machine, SVM)分类器构建二分类影像组学模型。采用一对多的策略,可以获得三种二分类影像组学模型,模型一:M0 vs. M1+M2;模型二:M1 vs. M0+M2;模型三:M2 vs. M0+M1;采用一对一的策略,可以获得三种二分类影像组学模型;模型四:M0 vs. M1;模型五:M0 vs. M2;模型六:M1 vs. M2。二分类模型的诊断效能使用受试者工作特征(receiver operating characteristic, ROC)曲线下面积(area under the curve, AUC)、准确度、敏感度、特异度等指标共同评价。
采用SPSS 25.0和MedCalc 20.1.4进行统计分析。将所有HCC患者分为M0组、M1组、M2组,符合正态分布的计量资料以均数±标准差(±s)表示,三组间差异比较采用单因素方差分析;不符合正态分布的计量资料用中位数(四分位数间距)表示,三组间差异比较采用Kruskal-Wallis H检验。计数资料以例数(百分比)表示,三组间差异比较采用χ²检验。采用MedCalc 20.1.4软件绘制ROC曲线,计算AUC值。以P<0.05为差异具有统计学意义。
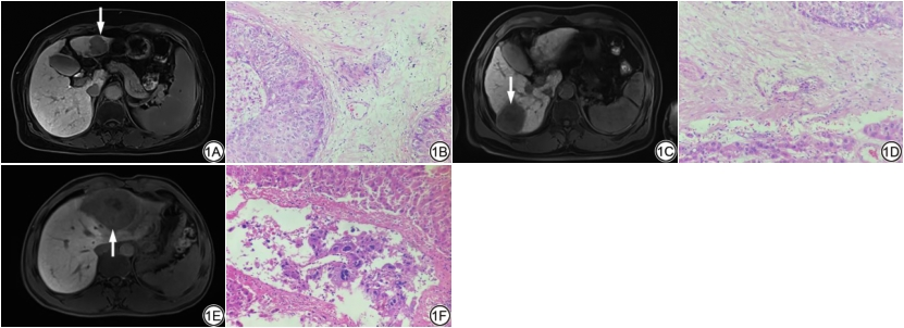
本研究纳入HCC患者病例共370例,其中男295例(79.73%),女75例(20.27%),年龄(57.73±9.80)岁。根据组织病理学结果,将患者分为M0级(192例)、M1级(132例)和M2级(46例)(图1)。统计结果显示三组患者在年龄、性别、甲胎蛋白(alpha-fetal protein, AFP)水平、是否肝硬化、包膜完整性、多灶性方面差异均无统计学意义(P>0.05)(表1)。


(1A), the corresponding pathological picture (1B) is confirmed M0; 1C, 1D: Female, 63 years old, HCC of the right lobe, Gd-EOB-DTPA enhanced MRI HBP image (1C), the corresponding pathological picture (1D) is confirmed M1; 1E, 1F: Male, 67 years old; HCC of the left lobe, Gd-EOB-DTPA enhanced MRI HBP image (1E), the corresponding pathological picture (1F) is confirmed M2.

HCC患者临床资料
Clinical information of patients
HCC患者临床资料
Clinical information of patients
| 临床特征 | M0(n=192) | M1(n=132) | M2(n=46) | 统计值 | P值 |
|---|---|---|---|---|---|
| 年龄/岁 | 57.86±9.78 | 57.49±10.08 | 57.85±9.25 | F=0.06 | 0.94 |
| 性别/例(%) | χ2=2.89 | 0.24 | |||
| 男 | 151(78.65) | 103(78.03) | 41(89.13) | ||
| 女 | 41(21.35) | 29(22.97) | 5(10.87) | ||
| 甲胎蛋白水平/例(%) | χ2=1.95 | 0.75 | |||
| ≤20 ng/mL | 50(26.04) | 27(20.45) | 9(19.57) | ||
| 20~400 ng/mL | 108(56.25) | 82(62.12) | 29(63.04) | ||
| >400 ng/mL | 34(17.71) | 23(17.42) | 8(17.39) | ||
| 是否肝硬化/例(%) | χ2=0.53 | 0.77 | |||
| 是 | 131(68.23) | 85(64.39) | 31(67.39) | ||
| 否 | 61(31.77) | 47(35.61) | 15(32.61) | ||
| 包膜完整性/例(%) | χ2=2.90 | 0.57 | |||
| 完整 | 27(14.06) | 12(9.09) | 8(17.39) | ||
| 不完整 | 95(49.48) | 69(52.27) | 23(50.00) | ||
| 无包膜 | 70(36.46) | 51(38.64) | 15(32.61) | ||
| 多灶性/例(%) | χ2=2.12 | 0.35 | |||
| 单发 | 159(82.81) | 101(76.52) | 38(82.61) | ||
| 多发 | 33(17.19) | 31(23.48) | 8(17.39) |
注:M0、M1、M2为根据微血管侵犯(MVI)的数量和分布情况进行风险分级,M0为未发现MVI;M1为≤5个MVI,且分布于近癌旁肝组织区域(≤1 cm);M2为>5个MVI,或MVI发生于远癌旁肝组织区域(>1 cm)。
能够用于提取特征的图像类型如下:original-2d、exponential、gradient、lbp-2D、logarithm、square、squareroot、wavelet-LH、wavelet-HL、wavelet-HH、wavelet-LL、log-sigma-3-0-mm-3D,从每个MRI序列中提取4500个特征。提取的影像组学特征分为8类:(1)一阶统计特征;(2)基于3D形状的特征;(3)基于2D形状的特征;(4)灰度共生矩阵特征;(5)灰度游程矩阵特征;(6)灰度大小区域矩阵特征;(7)相邻灰度差矩阵特征;(8)灰度依赖矩阵特征。再进一步采用LASSO算法筛选出少数最优特征。三分类模型筛选出18个特征,二分类模型分别筛选出32、20、14、34、13、15个特征(表2)。

影像组学最优特征及其系数
Optimal features and their coefficients for radiomic models
影像组学最优特征及其系数
Optimal features and their coefficients for radiomic models
| 模型名称 | 特征数量 | 提取出的特征 | 系数 | 模型名称 | 特征数量 | 提取出的特征 | 系数 |
|---|---|---|---|---|---|---|---|
| 三分类模型 | 18个 | exponential_gldm_LowGrayLevelEmphasis | 3.02 | gradient_glszm_SmallAreaLowGrayLevelEmphasis | 0.54 | ||
| log-sigma-3-0-mm-3D_gldm_DependenceVariance | 2.66 | gradient_glcm_Correlation | 0.53 | ||||
| gradient_glszm_SmallAreaEmphasis | 2.23 | gradient_firstorder_Minimum | 0.51 | ||||
| exponential_glcm_Imc1 | 2.20 | wavelet-LH_glszm_LargeAreaLowGrayLevelEmphasis | 0.50 | ||||
| log-sigma-3-0-mm-3D_glcm_ClusterShade | 2.05 | 二分类模型二 | 20个 | gradient_glcm_InverseVariance | 1.95 | ||
| log-sigma-3-0-mm-3D_gldm_SmallDependenceHighGrayLevelEmphasis | 2.04 | log-sigma-3-0-mm-3D_firstorder_Minimum | 1.50 | ||||
| logarithm_glszm_ZoneVariance | 2.02 | original_glszm_GrayLevelVariance | 1.29 | ||||
| gradient_glcm_MCC | 1.51 | gradient_glszm_LowGrayLevelZoneEmphasis | 1.26 | ||||
| exponential_glrlm_ShortRunLowGrayLevelEmphasis | 1.49 | gradient_glszm_SmallAreaEmphasis | 1.20 | ||||
| wavelet-HL_glszm_SmallAreaLowGrayLevelEmphasis | 1.47 | original_glcm_Correlation | 1.14 | ||||
| wavelet-HL_glszm_LargeAreaHighGrayLevelEmphasis | 1.47 | log-sigma-3-0-mm-3D_firstorder_RobustMeanAbsoluteDeviation | 1.03 | ||||
| square_glcm_MCC | 1.43 | gradient_firstorder_Median | 1.01 | ||||
| exponential_glszm_SmallAreaLowGrayLevelEmphasis | 1.36 | log-sigma-3-0-mm-3D_glszm_GrayLevelVariance | 0.90 | ||||
| lbp-2D_firstorder_Skewness | 1.33 | original_gldm_LargeDependenceHighGrayLevelEmphasis | 0.89 | ||||
| log-sigma-3-0-mm-3D_ngtdm_Complexity | 1.32 | wavelet-HL_gldm_SmallDependenceLowGrayLevelEmphasis | 0.87 | ||||
| wavelet-HL_gldm_DependenceNonUniformityNormalized | 1.29 | gradient_glcm_Correlation | 0.83 | ||||
| exponential_glszm_LargeAreaHighGrayLevelEmphasis | 1.26 | gradient_glrlm_ShortRunLowGrayLevelEmphasis | 0.83 | ||||
| wavelet-LL_glcm_JointEnergy | 1.25 | wavelet-HL_glrlm_GrayLevelVariance | 0.80 | ||||
| 二分类模型一 | 32个 | logarithm_gldm_DependenceVariance | 1.42 | gradient_glcm_MaximumProbability | 0.77 | ||
| exponential_glcm_Idn | 1.01 | wavelet-HL_firstorder_Mean | 0.76 | ||||
| wavelet-LH_glszm_SmallAreaLowGrayLevelEmphasis | 0.97 | gradient_glrlm_LowGrayLevelRunEmphasis | 0.76 | ||||
| exponential_glrlm_GrayLevelNonUniformity | 0.81 | log-sigma-3-0-mm-3D_glszm_ZoneEntropy | 0.75 | ||||
| wavelet-LH_firstorder_10Percentile | 0.80 | gradient_gldm_DependenceNonUniformityNormalized | 0.75 | ||||
| squareroot_glszm_LargeAreaHighGrayLevelEmphasis | 0.79 | original_gldm_DependenceVariance | 0.71 | ||||
| wavelet-HL_glcm_MCC | 0.75 | 二分类模型三 | 14个 | wavelet-HH_glszm_LargeAreaHighGrayLevelEmphasis | 1.42 | ||
| logarithm_glrlm_GrayLevelVariance | 0.73 | log-sigma-3-0-mm-3D_ngtdm_Complexity | 1.00 | ||||
| wavelet-LL_glcm_Imc2 | 0.72 | wavelet-HL_glrlm_RunLengthNonUniformityNormalized | 0.97 | ||||
| logarithm_glszm_SizeZoneNonUniformityNormalized | 0.70 | wavelet-LH_firstorder_TotalEnergy | 0.93 | ||||
| wavelet-HL_glcm_Correlation | 0.70 | lbp-2D_glszm_LargeAreaEmphasis | 0.88 | ||||
| wavelet-LH_gldm_DependenceVariance | 0.68 | wavelet-LH_glszm_LargeAreaHighGrayLevelEmphasis | 0.85 | ||||
| wavelet-LH_glrlm_RunVariance | 0.67 | log-sigma-3-0-mm-3D_glcm_MCC | 0.83 | ||||
| log-sigma-3-0-mm-3D_glcm_ClusterProminence | 0.67 | wavelet-LH_glcm_MCC | 0.77 | ||||
| log-sigma-3-0-mm-3D_gldm_DependenceVariance | 0.67 | logarithm_glcm_Contrast | 0.72 | ||||
| wavelet-LL_glcm_JointEnergy | 0.65 | wavelet-HL_ngtdm_Busyness | 0.68 | ||||
| gradient_gldm_DependenceNonUniformityNormalized | 0.65 | wavelet-HL_ngtdm_Complexity | 0.68 | ||||
| wavelet-LL_firstorder_Maximum | 0.65 | log-sigma-3-0-mm-3D_glszm_LargeAreaHighGrayLevelEmphasis | 0.67 | ||||
| gradient_firstorder_Skewness | 0.62 | wavelet-LH_gldm_DependenceEntropy | 0.65 | ||||
| wavelet-LH_glszm_SmallAreaEmphasis | 0.61 | wavelet-LH_glcm_SumEntropy | 0.62 | ||||
| exponential_firstorder_RobustMeanAbsoluteDeviation | 0.61 | 二分类模型四 | 34个 | ogarithm_glszm_LargeAreaHighGrayLevelEmphasis | 1.41 | ||
| wavelet-HL_glcm_Imc1 | 0.59 | wavelet-LL_glcm_MaximumProbabilityty | 1.15 | ||||
| exponential_glszm_LowGrayLevelZoneEmphasis | 0.58 | wavelet-HL_glszm_ZonePercentage | 1.11 | ||||
| wavelet-HL_glcm_MaximumProbability | 0.58 | logarithm_firstorder_Skewness | 1.08 | ||||
| gradient_glrlm_ShortRunLowGrayLevelEmphasis | 0.57 | wavelet-LH_firstorder_Kurtosis | 0.92 | ||||
| wavelet-HL_firstorder_90Percentile | 0.56 | square_ngtdm_Strength | 0.85 | ||||
| log-sigma-3-0-mm-3D_glcm_Correlation | 0.55 | log-sigma-3-0-mm-3D_glszm_GrayLevelVariance | 0.78 | ||||
| exponential_glszm_LargeAreaLowGrayLevelEmphasis | 0.55 | log-sigma-3-0-mm-3D_ngtdm_Contrast | 0.74 |
| 模型名称 | 特征数量 | 提取出的特征 | 系数 | 模型名称 | 特征数量 | 提取出的特征 | 系数 |
|---|---|---|---|---|---|---|---|
| exponential_glszm_LargeAreaLowGrayLevelEmphasis | 0.73 | wavelet-LH_glcm_JointEnergy | 0.85 | ||||
| log-sigma-3-0-mm-3D_glcm_ClusterShade | 0.73 | wavelet-LH_glszm_LargeAreaHighGrayLevelEmphasis | 0.76 | ||||
| gradient_glcm_Idmn | 0.72 | gradient_glszm_SizeZoneNonUniformityNormalized | 0.71 | ||||
| wavelet-HL_glcm_Correlation | 0.72 | wavelet-HH_glcm_Idmn | 0.69 | ||||
| lbp-2D_firstorder_RobustMeanAbsoluteDeviation | 0.70 | logarithm_glszm_SmallAreaLowGrayLevelEmphasis | 0.69 | ||||
| wavelet-HL_glcm_MCC | 0.70 | logarithm_glszm_LargeAreaLowGrayLevelEmphasis | 0.68 | ||||
| squareroot_firstorder_Kurtosis | 0.69 | wavelet-HL_glrlm_RunLengthNonUniformityNormalized | 0.67 | ||||
| gradient_glszm_SmallAreaEmphasis | 0.68 | wavelet-LH_firstorder_Minimum | 0.65 | ||||
| gradient_firstorder_Skewness | 0.67 | wavelet-HL_firstorder_TotalEnergy | 0.63 | ||||
| lbp-2D_firstorder_Skewness | 0.65 | wavelet-LH_glszm_SmallAreaEmphasis | 0.59 | ||||
| exponential_glrlm_RunLengthNonUniformity | 0.63 | wavelet-LH_glrlm_RunVariance | 0.59 | ||||
| square_glcm_MCC | 0.61 | wavelet-LH_glcm_ClusterProminence | 0.56 | ||||
| wavelet-LH_glszm_LargeAreaLowGrayLevelEmphasis | 0.61 | 二分类模型六 | 15个 | wavelet-HL_glszm_SmallAreaLowGrayLevelEmphasis | 0.98 | ||
| lbp-2D_firstorder_10Percentile | 0.61 | gradient_glcm_ClusterProminence | 0.89 | ||||
| wavelet-HH_glrlm_LongRunHighGrayLevelEmphasis | 0.57 | exponential_gldm_DependenceVariance | 0.72 | ||||
| wavelet-HH_glcm_MCC | 0.57 | wavelet-HL_firstorder_Kurtosis | 0.68 | ||||
| wavelet-LH_glrlm_LongRunHighGrayLevelEmphasis | 0.57 | wavelet-LH_firstorder_TotalEnergy | 0.68 | ||||
| wavelet-HH_firstorder_Mean | 0.56 | square_glrlm_LowGrayLevelRunEmphasis | 0.64 | ||||
| wavelet-HL_gldm_HighGrayLevelEmphasis | 0.55 | wavelet-HL_glrlm_RunLengthNonUniformity | 0.62 | ||||
| wavelet-HL_ngtdm_Busyness | 0.55 | squareroot_firstorder_Skewness | 0.60 | ||||
| gradient_glrlm_ShortRunLowGrayLevelEmphasis | 0.54 | wavelet-HH_firstorder_Kurtosis | 0.55 | ||||
| log-sigma-3-0-mm-3D_ngtdm_Busyness | 0.53 | log-sigma-3-0-mm-3D_gldm_DependenceNonUniformityNormalized | 0.54 | ||||
| exponential_glrlm_ShortRunLowGrayLevelEmphasis | 0.53 | exponential_glcm_Imc2 | 0.54 | ||||
| exponential_gldm_GrayLevelNonUniformity | 0.52 | original_glszm_ZoneVariance | 0.54 | ||||
| wavelet-HH_glszm_SizeZoneNonUniformityNormalized | 0.52 | log-sigma-3-0-mm-3D_gldm_SmallDependenceHighGrayLevelEmphasis | 0.53 | ||||
| log-sigma-3-0-mm-3D_gldm_DependenceNonUniformityNormalized | 0.52 | wavelet-HH_glcm_MCC | 0.51 | ||||
| 二分类模型五 | 13个 | logarithm_glszm_LargeAreaHighGrayLevelEmphasis | 1.24 | wavelet-LH_firstorder_Energy | 0.51 |
四种三分类模型在训练集和验证集的准确度和阳性预测值见表3。三分类模型预测M0的阳性预测值最高。结合准确度及阳性预测值,四种三分类模型仅对M0有一定的预测能力,而预测M1、M2的效能较差。

四种三分类模型的诊断效能
Diagnostic efficiency of four three-category classification models
四种三分类模型的诊断效能
Diagnostic efficiency of four three-category classification models
| 模型 | 训练集 | 验证集 | |||||||
|---|---|---|---|---|---|---|---|---|---|
| 准确度/% | 阳性预测值/% | 准确度/% | 阳性预测值/% | ||||||
| M0 | M1 | M2 | M0 | M1 | M2 | ||||
| 随机森林 | 76.00 | 81.00 | 76.00 | 61.00 | 58.00 | 68.00 | 48.00 | 45.00 | |
| 逻辑回归 | 61.00 | 75.00 | 61.00 | 31.00 | 49.00 | 63.00 | 37.00 | 22.00 | |
| 决策树 | 66.00 | 84.00 | 64.00 | 43.00 | 44.00 | 69.00 | 39.00 | 23.00 | |
| K近邻 | 62.00 | 65.00 | 59.00 | 33.00 | 57.00 | 62.00 | 46.00 | 50.00 | |
注:M0、M1、M2为根据微血管侵犯(MVI)的数量和分布情况进行风险分级,M0为未发现MVI;M1为≤5个MVI,且分布于近癌旁肝组织区域(≤1 cm);M2为>5个MVI,或MVI发生于远癌旁肝组织区域(>1 cm)。
按一对多和一对一的策略共建立了6种二分类模型,六种模型在训练集和验证集中的AUC值及95%置信区间、准确度、敏感度、特异度、阳性预测值和阴性预测值如表4所示。

六种二分类模型的诊断效能分析
Diagnostic efficiency analysis of six binary classification models
六种二分类模型的诊断效能分析
Diagnostic efficiency analysis of six binary classification models
| 模型 | 训练集 | 验证集 | |||||||||||
|---|---|---|---|---|---|---|---|---|---|---|---|---|---|
| AUC(95% CI) | 准确度/% | 敏感度/% | 特异度/% | PPV/% | NPV/% | AUC(95% CI) | 准确度/% | 敏感度/% | 特异度/% | PPV/% | NPV/% | ||
| M0 vs. M1+M2 | 0.93(0.89~0.96) | 85.20 | 80.50 | 90.30 | 90.00 | 81.10 | 0.78(0.69~0.85) | 74.70 | 81.00 | 67.90 | 73.40 | 76.50 | |
| M1 vs. M0+M2 | 0.77(0.71~0.82) | 67.00 | 84.00 | 57.30 | 53.00 | 86.20 | 0.67(0.57~0.76) | 64.80 | 60.00 | 67.60 | 51.00 | 75.00 | |
| M2 vs. M0+M1 | 0.79(0.74~0.84) | 67.83 | 87.10 | 65.20 | 25.47 | 97.37 | 0.76(0.67~0.83) | 81.98 | 57.14 | 85.57 | 36.36 | 93.26 | |
| M0 vs. M1 | 0.81(0.76~0.86) | 76.55 | 59.14 | 88.72 | 78.57 | 75.64 | 0.69(0.59~0.78) | 69.39 | 62.50 | 74.14 | 62.50 | 74.14 | |
| M0 vs. M2 | 0.85(0.79~0.90) | 77.11 | 80.65 | 76.30 | 43.86 | 94.50 | 0.84(0.73~0.91) | 83.33 | 69.23 | 86.44 | 52.94 | 92.73 | |
| M1 vs. M2 | 0.98(0.94~0.99) | 95.12 | 89.66 | 96.81 | 89.66 | 96.81 | 0.67(0.53~0.73) | 60.38 | 76.92 | 55.00 | 35.71 | 88.00 | |
注:AUC为受试者工作特征曲线的曲线下面积;CI为置信区间;PPV为阳性预测值;NPV为阴性预测值。M0、M1、M2为根据微血管侵犯(MVI)的数量和分布情况进行风险分级,M0为未发现MVI;M1为≤5个MVI,且分布于近癌旁肝组织区域(≤1 cm);M2为>5个MVI,或MVI发生于远癌旁肝组织区域(>1 cm)。
在一对多的模型中,训练集中鉴别M0、M1、M2的AUC值分别为0.93、0.77、0.79,验证集中的AUC值分别为0.78、0.67、0.76。AUC值最高的为模型M0 vs. M1+M2,准确度和特异度最高的均为模型M2 vs. M0+M1,分别为81.98%、85.57%,敏感度最高的模型为M0 vs. M1+M2,为81.00%。综上,二分类模型对M0和M2级具有较好的预测能力,对M1的预测性能稍弱。
在一对一模型中,鉴别M0与M1、M0与M2、M1与M2的AUC值在训练集中分别为0.81、0.85、0.98,验证集中分别为0.69、0.84、0.67。准确度、特异度最高的均为模型M0 vs. M2,依次为83.33%、86.44%,敏感度最高的为模型M1 vs. M2,达到76.92%。二分类模型鉴别M0与M2的效能最好,鉴别M0与M1、M1与M2的效能稍弱。
不同MVI风险等级的HCC患者的预后存在显著差异,明确MVI的危险分级有助于进一步研究肝癌术后辅助治疗的有效性[4]。SHENG等[7]的研究报道M1级患者经根治性手术切除后预后良好。当MVI简单分类为阴性(M0)或阳性(M1/M2),M1级的患者可能会接受过度治疗[16]。然而,M2级是HCC切除后残余肿瘤、肝内转移和复发的高危因素。此外,M2级的HCC提示肿瘤微环境非常适合HCC的快速生长和侵袭。因此,预测术前MVI风险分级有助于临床医生为高危HCC患者提供个性化治疗。本研究建立并验证了四种三分类及六种二分类影像组学模型预测HCC的MVI分级,结果表明三分类模型预测M0的阳性预测值较高,二分类模型对M0、M1和M2均具有良好的诊断效能,尤其对M0和M2的预测效能最高,二分类模型的诊断效能优于三分类模型。影像组学技术对肝癌MVI的准确分级有很大价值,可为临床提供更精确的治疗方案。
目前已有多项研究探讨影像组学在HCC患者MVI阴性/阳性分类中的预测价值[12,20-21]。影像组学作为一种新兴的医学图像处理方法,将医学图像转换为高通量量化特征[22],可用于评估和监测肿瘤的特征[10]。CHEN等[21]的研究显示影像组学特征对MVI具有极好的预测价值,其中SVM、XGBoost和LR具有最高的诊断准确性,且优于传统放射学特征。SIM等[23]对HCC术前MRI图像进行纹理分析来预测MVI的存在,结果显示,准确度高达87.8%。本研究中预测MVI阳性/阴性的模型,即模型M0 vs. M1+M2训练集的AUC达到0.93,验证集的AUC为0.78,对于HCC患者的MVI显示出良好的预测效能。本研究在二分类问题中应用了SVM模型,SVM是一种二分类模型,其主要目标是用一个面将训练集中的几个类分开,使它们之间的间隔最大化。SVM由于其良好的理论基础和良好的泛化能力,近年来已成为应用最广泛的分类方法之一。SVM最初被设计用来解决二分类问题,为了将SVM应用于多分类问题,需要将其转化为多组二分类问题。基于SVM的多分类算法有两种基本类型,即一对一和一对多[24, 25]。但是SVM存在以下缺点:(1)找到最佳模型需要测试核和模型参数的各种组合;(2)训练速度可能很慢,特别是在输入具有大量特征或大量病例的数据集的情况下[26]。
本研究使用增强MRI的HBP图像用于影像组学特征提取,影像组学要求准确识别病灶边界。静脉注射对比剂后,Gd-EOB-DTPA在HBP逐渐分布于肝细胞和胆管内[27],肿瘤组织与周围肝实质之间的信号差异比传统的对比剂更为显著[28],有利于进行肿瘤病灶边界的精确描绘。因此,Gd-EOB-DTPA增强MRI的HBP图像非常适合用来勾画肿瘤边界。一项荟萃分析[29]结果显示,CT门静脉期和MRI HBP对MVI的预测优于其他影像学序列。ZHANG等[30]从不同HBP延迟时间图像中提取影像组学特征,用于预测HCC的MVI,结果显示,基于HBP的5 min、10 min和15 min图像影像组学特征构建的模型的AUC分别为0.685、0.718和0.795,表明基于HBP的影像组学模型可以用于预测HCC的MVI。YANG等[31]从术前MRI多个单序列图像中提取影像组学特征,研究结果显示,HBP T1W1和HBP T1 map的影像组学特征在HCC患者MVI的术前预测方面获得了优异表现。JIANG等[32]建立了基于AFP和Gd-EOB-DTPA增强MRI影像特征的MVI评分系统,显示了优越的预测性能。本研究对于370例HCC患者的MRI HBP图像进行影像组学特征提取及模型构建,同样表明基于MRI HBP图像的影像组学特征对于MVI分级具有较好的诊断效能。
上述研究[21,23,30, 31, 32]中的MVI阳性组包括M1和M2,没有区分M1和M2,从而很难推断出MVI分级在HCC管理策略和预后评估中的准确作用。本研究尝试进行了MVI分级的三分类预测,首先建立了影像组学三分类模型,结果显示四种三分类模型的准确度较低,模型准确度较低的原因可能是样本不平衡,且M2分类的样本量相对较少。三分类模型预测M0级阳性预测值较高,对M0级有一定的预测效能,然而对M1和M2的预测能力较差。本研究进一步采用一对多和一对一的策略,建立了6组二分类模型,一对多模型对MVI分级展现了良好的诊断效能,预测M0级、M1级、M2级的训练集AUC值分别为0.93、0.77、0.79,验证集AUC值分别为0.78、0.67、0.76。XU等[16]选择了肿瘤直径、肿瘤数量、血清乳酸脱氢酶(LDH)≥176.58 U/L、g-谷氨酰基转肽酶(gGGT)4个指标来构建预测MVI分级的列线图模型,结果显示诊断M0、M1和M2预测模型的AUC值分别为0.782、0.648、0.864。本研究对于M0、M1分级的预测结果与上述研究[16]结果相当,本研究对M2的诊断效能稍低可能是因为M2分类的样本量相对较少,导致模型诊断效能偏低。ZHANG等[33]在研究中将增强CT影像组学特征与临床因素相结合构建了两种分类模型:一种模型评估HCC患者的MVI状态,另一种模型进一步在MVI阳性患者中进行M1/M2分类预测。结果显示在预测MVI(测试集AUC=0.803)及其M2分类(测试集AUC=0.778)方面具有良好的性能。CHEN等[17]选择临床因素指标建立的列线图在预测MVI(AUC=0.926)及其M2分类(AUC=0.803)方面也具有良好的性能。上述两项研究中的模型对MVI阳性患者中M2的预测效能优于本组研究中模型M1 vs. M2(验证集AUC=0.66)。但是上述两项研究并没有建立模型来进行M0和M1的鉴别预测。本研究模型M0 vs. M1的AUC为0.68,对M0和M1有一定预测效能。根据我们的研究结果,在一对一模型中,模型M0 vs. M1和模型M1 vs. M2的诊断效能低于M0 vs. M2,对于本研究中诊断M1级效能弱的情况,原因可能是本研究中选取的三组病例样本量不均衡,对模型诊断效能产生了影响;其次,本研究仅分析了图像的纹理特征,未加入临床及影像因素,如AFP水平、肿瘤直径与包膜等。刘永倩等[34]的研究得出肿瘤直径和包膜可作为术前肝癌MVI分级的有效预测指标,说明临床及影像特征是MVI分级的有效预测指标。不少研究均表明,MRI影像组学联合常规临床指标比单一指标诊断MVI的效能更高[35, 36, 37]。下一步我们将会纳入更大的样本量,且尝试结合传统临床影像因素与影像组学特征对MVI分级进行更加深入研究。
本研究存在以下局限性:第一,本研究为回顾性研究,不可避免会存在选择偏倚;第二,我们仅基于客观的放射组学特征建立了MVI预测模型,将进一步探索一个包括放射组学特征和临床与影像学特征的融合模型;第三,本研究仅应用了MRI HBP图像进行分析,获取的影像组学特征有限;第四,这是一项单中心机构的研究,后续还需要多中心研究进行验证。
综上所述,基于增强MRI影像组学的三分类模型对MVI分级预测有一定的准确度,对M1级的预测阳性预测值较高,三分类模型整体并不理想。二分类模型优于三分类,二分类模型对于MVI各个分级的诊断及不同分级之间鉴别诊断都具有较为优秀的诊断价值,其中预测MVI的M0和M2效能较佳,对于M1的诊断能力相对较弱。影像组学技术对肝癌MVI的准确分级有很大价值,可辅助临床提供更精确的治疗方案。
罗紫薇, 于海洋, 刘华秀, 等. 基于钆塞酸二钠增强MRI肝胆期图像影像组学模型评估肝癌微血管侵犯分级的价值[J]. 磁共振成像, 2023, 14(4): 95-101, 114.
LUO Z W, YU H Y, LIU H X, et al. The value of radiomics models based on hepatobiliary phase images of Gd-EOB-DTPA enhanced MRI in prediction of microvascular invasion classification in hepatocellular carcinoma[J]. Chin J Magn Reson Imaging, 2023, 14(4): 95-101, 114.
全体作者均声明无利益冲突。





















