
评估使用和不使用深度学习重建(deep learning reconstruction, DLR)算法的膝关节加速二维(two dimensional, 2D)快速自旋回波(fast spin echo, FSE)序列的图像质量和诊断效能。
前瞻性纳入92名怀疑有膝关节病变的患者,采用3.0 T MRI并行采集(parallel imaging, PI)基于K空间域重建(autocalibrating reconstruction for Cartesian sampling, ARC)算法进行膝关节加速2D FSE序列扫描,设置加速因子为2.0。扫描结束后系统自动保存为不使用DLR的原始图像(original images of FSE, FSEO)和使用DLR后的FSE(deep learning reconstruction images of FSE, FSEDL)两组图像。采用主观(李克特5分量表,内容包括图像的整体质量、清晰度、诊断置信度)与客观定量测定图像信噪比(signal-to-noise ratio, SNR)与对比噪声比(contrast-to-noise ratio, CNR)相结合的方法对两组图像质量进行综合评价。分别测量比较膝关节质子密度加权成像(proton density weighted imaging, PDWI)、T1WI矢状位股骨下端骨髓腔、软骨、滑膜液、髌下脂肪垫、前交叉韧带各组织的SNR和软骨/滑膜液CNR。基于两组图像分别对膝关节结构异常进行评分,同时评估观察者间和观察者内评分一致性。
四个临床标准方位加速2D FSE序列的MRI采集时间为4 min 39 s。FSEDL的图像整体质量、清晰度及诊断置信度评分均高于FSEO,其中对FSEDL、FSEO的图像清晰度评分差异有统计学意义(P<0.05)。两名医师对图像质量主观评价的一致性组内相关系数在0.710~0.898之间。使用DLR的PDWI、T1WI(PDWIDL、T1WIDL)图像上股骨外侧髁、股骨外侧髁软骨、滑膜液、髌下脂肪垫SNR明显高于不使用DLR的PDWI、T1WI原始图像(PDWIO、T1WIO),PDWIDL图像上软骨/滑膜液CNR明显高于PDWIO,差异均具有统计学意义(P<0.05)。两名医师分别基于FSEO及FSEDL对膝关节结构异常进行评分,具有极好的一致性,κ值在0.954~1.000之间。比较同一名医师对两组图像的诊断结果,发现其对软骨缺损的检测和评估具有较好的一致性,κ值分别为0.769和0.771。对半月板、韧带、骨髓及滑膜液的检测和评估,诊断具有极好的一致性,κ值在0.944~1.000之间,FSEDL、FSEO对上述结构异常的检测无临床相关性差异。
DLR可用于膝关节PI ARC技术,在提高图像质量、保证临床诊断效能的同时5 min内完成图像采集,适用于临床各种膝关节疾病患者。
本刊刊出的所有论文不代表本刊编委会的观点,除非特别声明
膝关节是肌骨MRI最常见的检查部位,基于快速自旋回波(fast spin echo, FSE)的质子密度加权成像(proton density weighted imaging, PDWI)、T1WI和T2WI是膝关节MRI的主要序列[1, 2],因具有良好的组织对比度和较高的空间分辨率,可以很好地评估膝关节半月板、韧带、软骨等结构损伤[3]。目前膝关节标准扫描包括矢状位、冠状位和轴位2D抑脂PDWI/T2WI序列和矢状位2D T1WI序列,在3.0 T MR扫描仪上采集时间约为7~10 min[4, 5]。同时在MRI检查过程中受检部位需完全制动,但在骨关节炎或急慢性损伤等情况下,受检者因患肢疼痛不适难以长时间全程制动,因此图像出现严重运动伪影而降低图像质量[6]。因此,人们提出了不同的重建技术来减少图像采集时间,并行采集(parallel imaging, PI)和压缩感知(compressed sensing, CS)是目前提高MRI扫描速度的主流技术,其中PI中基于K空间域重建(autocalibrating reconstruction for Cartesian sampling, ARC)技术一种杂合算法[7]。但PI技术会导致图像信噪比(signal-to-noise ratio, SNR)的下降或图像模糊[1,8],且所有MRI欠采样技术最终都会达到性能极限,即常规重建技术无法充分重建欠采样数据[9]。最近,基于深度学习重建(deep learning reconstruction, DLR)算法去除图像噪声和截断伪影的方法逐渐应用于MRI,其表现出优于传统扫描序列的图像质量,同时可有效缩短扫描时间。目前国内外关于DLR在MRI中的研究多为算法理论研究[10]和技术研究[11],国外已有少量临床应用研究,运用在骨关节、脊柱、垂体、肝脏、前列腺等部位的MRI图像采集中[9,11, 12, 13, 14, 15, 16, 17]。关于膝关节MRI,最近发表的一项研究使用了回顾性欠采样数据显示DLR图像,可与标准临床图像互换用于检测膝关节病变[18]。本研究首次采用由GE医疗开发的DLR技术AIRTM Recon DL对膝关节MRI进行前瞻性临床研究,提出了一种基于2D FSE序列的膝关节快速成像方法,通过对比使用和不使用DLR算法的图像,探讨基于DLR的T1WI和PDWI图像对检测膝关节不同病理改变的可靠性和诊断效能,在DLR的临床应用中具有很强的指导意义。
本前瞻性研究遵守《赫尔辛基宣言》,经武汉大学人民医院伦理委员会批准(批准文号:WDRY2022-K174),全体受试者或其监护人均签署了知情同意书。连续纳入2022年4月至2022年7月在武汉大学人民医院进行膝关节MRI检查的成年患者96例,其中男40例,女56例。纳入标准:(1)所有经骨科医生诊断需要进行膝关节MRI检查的患者,包括创伤、退行性变和不明原因的膝关节疼痛等;(2)年龄大于18周岁。排除标准:(1)有MRI检查禁忌证者;(2)无法完成全部扫描序列者。剔除图像伪影较大患者4例,最终有92例患者纳入研究。
所有研究对象采用3.0 T超导MRI机(Signa Architect, GE Healthcare, America),18通道膝关节线圈,采用仰卧位,足先进,膝关节微屈15°~20°,受检侧膝关节置于磁场中心,固定受检膝关节,尽量减少运动伪影;扫描中心行膝关节MRI,扫描线位于髌骨下缘。本研究中每位患者只需按照临床标准协议进行一次膝关节MRI扫描,扫描开始前操作人员在操作界面手动设置DLR强度为“高”。扫描序列、方位及扫描参数见表1。扫描结束后系统自动保存不使用DLR的原始图像(FSEO)和使用DLR后的图像(FSEDL)。

扫描序列及参数
Sequences and parameters
扫描序列及参数
Sequences and parameters
| 序列 | 方位 | 视野/mm2 | 体素/mm3 | 层数 | 层厚/mm | 层间距/mm | TR/ms | TE/ms | 加速因子 | 激励次数 | 扫描时间 |
|---|---|---|---|---|---|---|---|---|---|---|---|
| PDWI-FS | 矢状位 | 160×160 | 0.5×0.6×3.5 | 20 | 3.5 | 0.5 | 1799 | 35 | 2.0 | 1 | 1 min 27 s |
| T1WI | 矢状位 | 160×160 | 0.4×0.6×3.5 | 20 | 3.5 | 0.5 | 678 | 7.9 | 2.0 | 1 | 1 min 9 s |
| PDWI-FS | 冠状位 | 160×160 | 0.4×0.6×3.5 | 20 | 3.5 | 0.5 | 1799 | 35 | 2.0 | 1 | 55 s |
| T2WI-FS | 横断位 | 160×160 | 0.4×0.6×3.5 | 18 | 3.5 | 0.5 | 1799 | 35 | 2.0 | 1 | 1 min 8 s |
注:PWDI为质子密度加权成像;FS为脂肪抑制;TR为重复时间;TE为回波时间。
膝关节MRI数据集中每一序列自动重建保存为FSEO和FSEDL,由具有5年影像诊断经验的主治医师及12年影像诊断经验的副主任医师以双盲法独立评估。所有受试者信息、重建类型、临床和放射学报告以及彼此的评估都是未知的。
两位医师都接受了李克特量表评分培训。在PACS工作站上进行图像分析。使用5点李克特量表(1表示不能诊断;2表示图像质量低;3表示图像质量适中;4表示良好的图像质量;5表示极好的图像质量)对图像整体质量、清晰度、诊断置信度进行评估。
分别选取膝关节PDWI、T1WI矢状位,测量16个像素大小的感兴趣区(region of interest, ROI)信号强度(signal intensity, SI)值,分别在膝关节的股骨下端骨髓腔及软骨、滑膜液、髌下脂肪垫、前交叉韧带勾画圆形ROI,同一个部位连续测量三次,然后取其平均值,获得ROI平均SI值;再以相同大小ROI测量膝关节以外的背景噪声标准差(standard deviation, SD),分别计算各组织的SNR,同时计算PDWI软骨/滑膜液对比噪声比(contrast-to-noise ratio, CNR),计算公式如下:
膝关节病理由相同的两位放射科医师进行评估,包括内外侧半月板、内外侧副韧带、前后交叉韧带、股骨内外侧髁、胫骨内外侧平台和髌骨软骨的软骨损伤。半月板和韧带异常分为正常、改变(包括退行性变和术后改变)、撕裂,评估等级依次为0、1、2。软骨缺损的分类标准采用国际软骨修复协会分类系统的修订版[3]。如果存在多个软骨损伤,则只考虑损伤最严重的软骨分级。评估股骨、髌骨、胫骨的骨髓水肿、软骨下骨质囊肿区域,以及骨折和关节积液是否存在(表2)。

MRI评估膝关节的解剖结构和异常改变
MRI was used to evaluate the anatomical structure and abnormal changes of the knee joint
MRI评估膝关节的解剖结构和异常改变
MRI was used to evaluate the anatomical structure and abnormal changes of the knee joint
| 评估内容与等级 | MRI表现 |
|---|---|
| 半月板 | |
| 0 | 正常 |
| 1 | 退行性或术后改变 |
| 2 | 撕裂 |
| 韧带 | |
| 0 | 正常 |
| 1 | 退行性或术后改变 |
| 2 | 撕裂 |
| 软骨 | |
| 0 | 正常 |
| 1 | 形态正常软骨T2信号增高 |
| 2 | 小于50%厚度软骨缺损 |
| 3 | 大于50%厚度的软骨缺损 |
| 4 | 全厚度的软骨缺损 |
| 骨髓 | |
| 0 | 正常 |
| 1 | 骨髓水肿 |
| 2 | 软骨下骨质囊肿 |
| 3 | 骨折 |
| 积液 | |
| 0 | 无积液 |
| 1 | 有积液 |
采用SPSS 25.0统计分析软件,研究对象基本资料用描述性统计方法,采用Shpiro-Wilk检验分析数据的正态性,符合正态分布的数据采用均数±标准差(±s)表示;不符合正态分布的数据采用中位数±四分位间距(M±Q)表示。定性图像分析评价采用M±Q表示。采用配对样本Wilcoxon秩和检验比较两位阅片者对FSEO和FSEDL图像质量评分。采用组内相关系数(intraclass correlation coefficient, ICC)评估两个阅片者间一致性,ICC>0.75代表一致性很好。两组图像之间的SNR、CNR差异比较,行正态性检验及方差齐性分析,符合正态分布的采用配对样本t检验比较,不符合正态分布的采用精确的配对样本Wilcoxon符号秩检验比较。对于膝关节结构异常的评估,采用加权Cohen's κ评估两位医师之间和每位医师对DL重建前后图像结果的一致性,κ≤0.20认为一致性较差,0.20<κ≤0.40认为一致性一般,0.40<κ≤0.60认为一致性中等,0.60<κ≤0.80认为一致性较强,0.80<κ≤1.00认为一致性强。所有统计学结果,以P<0.05为差异具有统计学意义。
在96名合格受试者中,92名受试者的图像作为最终研究样本,其中男38例,女54例,年龄18~82(48.4±15.4)岁;体质量指数为18.2~29.98 kg/m2,平均23.6 kg/m2。疾病种类包括膝关节退行性变、外伤、肿瘤、前交叉韧带重建术后。所有患者的膝关节MRI采集时间为4 min 39 s。
两名医师对FSEDL的图像整体质量、清晰度及诊断置信度的评分均高于FSEO,其中对FSEDL、FSEO的图像清晰度评分差异有统计学意义(P<0.05)。两名医师对图像质量主观评价的一致性ICC在0.710~0.898之间(表3)。图像质量客观评价:PDWIDL、T1WIDL图像上股骨外侧髁、股骨外侧髁软骨、滑膜液、髌下脂肪垫SNR明显高于PDWIO、T1WIO图像,同时PDWIDL图像上软骨/滑膜液CNR明显高于PDWIO图像,差异均有统计学意义(P<0.05)(表4、图1)。

FSE序列原始图像(FSEO)和DLR图像(FSEDL)的图像质量和阅读者间一致性结果
Image quality and inter-reader agreement of original FSE (FSEO) and deep learning reconstructed FSE (FSEDL)
FSE序列原始图像(FSEO)和DLR图像(FSEDL)的图像质量和阅读者间一致性结果
Image quality and inter-reader agreement of original FSE (FSEO) and deep learning reconstructed FSE (FSEDL)
| 指标 | 医师1 | 医师2 | ICC值 | |||||||||
|---|---|---|---|---|---|---|---|---|---|---|---|---|
| FSEO | FSEDL | P值 | Z值 | FSEO | FSEDL | P值 | Z值 | FSEO | FSEDL | |||
| 图像整体质量 | 4.90[5(5.5)] | 4.95[5(5.5)] | 0.206 | -1.265 | 4.85[5(5.5)] | 4.91[5(5.5)] | 0.083 | -1.732 | 0.763 | 0.755 | ||
| 清晰度 | 4.68[5(4.5)] | 4.89[5(5.5)] | <0.001 | -3.657 | 4.71[5(4.5)] | 4.88[5(5.5)] | <0.001 | -3.266 | 0.898 | 0.840 | ||
| 诊断置信度 | 4.91[5(5.5)] | 4.96[5(5.5)] | 0.739 | -0.333 | 4.88[5(5.5)] | 4.95[5(5.5)] | 0.617 | -0.500 | 0.710 | 0.884 | ||
注:结果报告为平均值[M(P25,P75)]。DLR为深度学习重建;ICC为组内相关系数;FSE为快速自旋回波;DL为深度学习。

PDWI、T1WI序列原始图像(PDWI0、T1WI0)和DLR图像(PDWIDL、T1WIDL)不同组织SNR和CNR比较
Comparison of SNR and CNR in different tissues between PDWI0, T1WI0 images and PDWIDL, T1WIDL images
PDWI、T1WI序列原始图像(PDWI0、T1WI0)和DLR图像(PDWIDL、T1WIDL)不同组织SNR和CNR比较
Comparison of SNR and CNR in different tissues between PDWI0, T1WI0 images and PDWIDL, T1WIDL images
| 部位 | PDWIO | PDWIDL | t/Z值 | P值 | T1WIO | T1WIDL | Z值 | P值 |
|---|---|---|---|---|---|---|---|---|
| 股骨外侧髁SNR | 56.4(49.3) | 215.1(177.9) | -5.841① | <0.001 | 398.4(257.7) | 972.6(814.8) | -5.841 | <0.001 |
| 股骨外侧髁软骨SNR | 144.8±53.6 | 530.8±199.3 | 17.059② | <0.001 | 110.7(81.3) | 339.3(274.5) | -5.841 | <0.001 |
| 滑膜液SNR | 353.2±146.9 | 1287.5±533.5 | 15.635② | <0.001 | 113.3(85.7) | 344.2(279.2) | -5.841 | <0.001 |
| 髌下脂肪垫SNR | 83.6(53.7) | 268.6(200.4) | -5.841① | <0.001 | 374.7(240.7) | 1068.7(834.9) | -5.841 | <0.001 |
| 前交叉韧带SNR | 75.5(74.1) | 273.8(333.0) | -5.841① | <0.001 | 100.4(65.8) | 308.2(212.2) | -5.841 | <0.001 |
| 软骨/滑膜液CNR | 208.4±99.2 | 756.7±356.1 | 13.878② | <0.001 | 7.1(9.4) | 23.4(36.6) | -5.830 | <0.001 |
注:PDWI为质子密度加权成像;T1WI为T1加权成像;DLR为深度学习重建;SNR为信噪比;CNR为对比噪声比。①为Z值,②为t值。


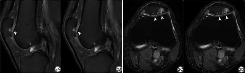
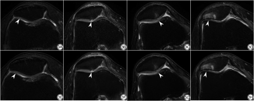
两名医师分别基于膝关节2D FSEO及FSEDL图像对膝关节结构异常进行评估,κ值在0.954~1.000之间,P<0.05。同一名医师对FSEO图像和FSEDL图像的诊断结果比较,关于软骨缺损的检测和评估,诊断结果具有较好的一致性,κ值分别为0.769、0.771,P<0.05(表5、图3);关于半月板、韧带、骨髓及滑膜液的检测和评估,诊断结果具有极好的一致性,κ值在0.944~1.000之间,P<0.05(表5、图2~3)。

两名医生对膝关节结构异常评估一致性比较
Consistency comparison of knee structural abnormalities assessed by two radiologists
两名医生对膝关节结构异常评估一致性比较
Consistency comparison of knee structural abnormalities assessed by two radiologists
| 组织 | FSEDL图像(医师1 vs. 医师2) | FSEO图像(医师1 vs. 医师2) | 医师1(FSEDL图像 vs. FSEO图像) | 医师2(FSEDL图像 vs. FSEO图像) | |||||||
|---|---|---|---|---|---|---|---|---|---|---|---|
| Cohen's κ | P值 | Cohen's κ | P值 | Cohen's κ | P值 | Cohen's κ | P值 | ||||
| 半月板 | 0.966 | <0.001 | 0.983 | <0.001 | 0.967 | <0.001 | 0.950 | <0.001 | |||
| 韧带 | 1.000 | <0.001 | 1.000 | <0.001 | 0.944 | <0.001 | 0.944 | <0.001 | |||
| 软骨 | 0.954 | <0.001 | 0.954 | <0.001 | 0.769 | <0.001 | 0.771 | <0.001 | |||
| 骨髓 | 0.984 | <0.001 | 1.000 | <0.001 | 0.968 | <0.001 | 0.984 | <0.001 | |||
| 滑膜液 | 1.000 | <0.001 | 1.000 | <0.001 | 1.000 | <0.001 | 1.000 | <0.001 | |||
注:FSEDL为使用深度学习重建后的图像;FSEO为不使用深度学习重建的原始图像。




本研究提出了一种基于2D FSE序列的膝关节快速成像方法,对比分析使用和不使用DLR算法的图像质量和膝关节病理的诊断效能。研究结果表明,基于DLR的图像质量在主观评分及客观定量上均优于原始图像,同时具有与原始图像相同的诊断效能。
PI和CS技术虽能有效加快膝关节MRI扫描速度,但其原理均是通过K空间的欠采样来缩短扫描时间,因此不可避免地出现图像质量下降的现象[19, 20]。基于DLR技术通过算法去除图像噪声,可在加快扫描速度的同时保证图像质量[21, 22, 23]。本研究中DLR是嵌入在MR图像重建系统中的一种算法,在最终图像形成之前,应用神经网络模型去除噪声和截断伪影。该网络使用了超过100 000个独特的模式识别噪声和低分辨率,只重建理想的目标图像。DLR技术是经过数千万次的拟合迭代计算、深度优化后的深度卷积神经网络模型,不同于传统的重建概念,该技术首次将深度学习技术嵌入到MR重建原始数据阶段,实现了对于MR信号与噪声信号的有效分离,从而获得纯净的MR信号,大幅度提升了MRI的效率,让扫描参数的选择不再成为制约图像质量的主要因素,拓宽了MRI扫描速度、分辨率与SNR的新边界[24]。深度学习的MRI图像重建包括以下步骤:首先利用优化后的深度卷积神经网络模型,将深度学习技术嵌入到MRI重建原始数据阶段,然后在原始数据采集阶段有效去除MRI的噪声,最终实现了纯净的MR信号,因此可以在更快的扫描速度下实现高SNR、高分辨率的图像。研究表明,DLR技术具有在缩短MRI采集时间的同时保持甚至改善图像质量的巨大潜力[3,12, 13,25, 26, 27, 28, 29]。
UEDA等[13]研究发现DLR技术可以提高前列腺高b值扩散加权成像(diffusion weighted imaging, DWI)的图像质量,使用DLR的DWI比不使用DLR的DWI获得更高的SNR、对比度和定性图像质量评分。SHANBHOGUE等[12]研究发现基于DLR的肝脏单激发T2WI MRI图像质量优于传统T2WI脂肪抑制序列,同时显著缩短了采集时间。ZOCHOWSKI等[30]评估60条周围神经,基于DLR MRI图像与原始图像相比,前者可以显著改善神经外膜和神经束膜结构。本研究结果显示,DLR图像上股骨外侧髁、股骨外侧髁软骨、滑膜液和髌下脂肪垫SNR明显高于原始图像,同时DLR图像上软骨/滑膜液CNR明显高于原始图像。
在诊断效能方面,本研究表明DLR图像和原始图像对膝关节病变的显示基本一致。RECHT等[20]使用了回顾性的欠采样数据显示DL图像可与标准临床图像互换用于检测膝关节内部结构异常,DL加速图像比标准图像具有更高的图像质量。本研究对膝关节结构异常的检出和评估,DLR图像和原始图像总体无明显差异。在软骨缺损分级上,两组图像的一致性的κ值稍低(0.769和0.771),这可能因为图像通过DLR,软骨与邻近结构的对比提高,从而软骨边缘和纹理显示更清晰,因此病变显示更明显。
本研究存在的局限性:首先,虽然两名医师采用双盲法对所有序列图像进行评估,但原始图像和DLR图像有明显的视觉差异,阅片者很容易判断图像性质,因此存在主观偏倚;其次,在比较两组图像对软骨缺损的诊断效能上,尽管两名医生对软骨缺损诊断组间一致性很高,但仍需要进一步以关节镜检查结果为金标准进行研究,同时可通过T2 mapping等定量方法来克服评分系统固有的主观性,接下来的研究我们将完善这一点。
总之,DLR算法能够降低图像噪声、消除伪影,同时不影响MRI图像重建的速度,可用于膝关节PI ARC技术,在提高图像质量、保证临床诊断效能的同时5 min内完成图像采集,适用于临床各种膝关节疾病患者,满足临床工作的需求。
武夏夏, 陆雪芳, 刘昌盛, 等. 深度学习图像重建算法在膝关节加速MRI中的临床应用研究[J]. 磁共振成像, 2023, 14(5): 53-59.
WU X X, LU X F, LIU C S, et al. Clinical feasibility of 2D FSE sequences of the knee MRI protocol using deep-learning image reconstruction[J]. Chin J Magn Reson Imaging, 2023, 14(5): 53-59.
Xiangyang Medical and Health Field Science and Technology Project (No. 2022YL31B).
全体作者均声明无利益冲突。





















