
采用定量非对称回波的最小二乘估算法迭代水脂分离序列(iterative decomposition of water and fat with echo asymmetry and least-squares estimation quantitation sequence, IDEAL-IQ)联合计算机显微断层扫描(micro computed tomography, Micro-CT)技术评估兔1型糖尿病腰椎骨髓脂肪含量和骨小梁微结构相关性。
将16只雄性日本大耳白兔随机分为糖尿病组(n=8)和对照组(n=8),糖尿病组采用四氧嘧啶造模。在造模成功后第0、4、8、12、16周通过IDEAL-IQ定量评估兔腰椎骨髓脂肪含量。在第16周采用Micro-CT及组织病理学检查对兔腰椎骨小梁微结构进行定量评估。不同时间点腰椎IDEAL-IQ脂肪分数差异比较采用重复测量方差分析;同一时间点组间脂肪分数、Micro-CT骨小梁形态计量学参数、组织病理学参数差异比较采用独立样t检验或Mann-Whitney U检验;采用Pearson相关系数评估骨髓脂肪分数与骨小梁形态计量学参数、组织病理学参数相关性。
糖尿病组骨髓脂肪含量随时间变化呈上升趋势,且差异存在统计学意义(P<0.05),而对照组各时间点脂肪含量差异无统计学意义(P>0.05);糖尿病组与对照组腰椎骨髓脂肪分数在第16周差异有统计学意义(59.987±4.859 vs. 51.015±8.469,P<0.05);第16周糖尿病组骨体积、总表面积、骨表面积、骨表面积总体积比、骨小梁数量均低于对照组,而骨小梁分离度高于对照组,差异有统计学意义(P<0.05);组织病理学结果显示,与对照组相比,第16周糖尿病兔腰椎骨髓脂肪细胞数量(32.875±11.051 vs. 71.667±13.125,P<0.01)增加,而骨小梁数量(11.375±1.506 vs. 4.333±1.211,P<0.01)与骨小梁面积(0.927±0.071 vs. 0.312±0.100,P<0.01)明显减少;IDEAL-IQ脂肪分数与组织病理学脂肪细胞计数呈正相关关系(r=0.539 95% CI:0.012~0.832),与骨小梁模式因子、骨小梁结构模型指数、骨小梁分离度呈轻中度正相关关系,与骨矿物质密度、总体积、骨体积、骨体积分数、总表面积、骨表面积、骨表面积体积比、骨表面积总体积比、骨小梁数量呈轻至中度负相关关系。
1型糖尿病腰椎骨髓脂肪含量与骨小梁微结构变化存在相关性,IDEAL-IQ联合Micro-CT的多模态定量影像技术有望为1型糖尿病提供全面的骨髓微环境评估策略。
本刊刊出的所有论文不代表本刊编委会的观点,除非特别声明
1型糖尿病(type 1 diabetes mellitus, T1DM)是由于自身免疫性破坏所致的内分泌疾病,其特征是胰岛素分泌不足而导致高血糖,症状包括多尿、多饮和体重减轻等,其可发生在任何年龄段,但在青春期和成年早期发病率达到高峰[1]。流行病学研究表明[2, 3, 4],T1DM患者好发骨折。T1DM患者骨折风险的增加可能与患者骨质疏松、低血糖晕厥、视网膜病变等诸多原因有关,然而,导致T1DM好发骨折的主要原因尚不明确。
我们前期研究表明[5],T1DM发病早期会发生骨髓脂肪沉积,而既往临床和基础研究表明[6, 7, 8],骨髓脂肪增加与骨量丢失、骨质疏松密切相关。因此,明确T1DM骨髓脂肪含量变化与骨小梁微结构变化相关性对于了解T1DM患者骨质疏松发病机理,预防和预测患者潜在骨折风险具有重要意义。定量非对称回波的最小二乘估算法迭代水脂分离序列(iterative decomposition of water and fat with echo asymmetry and least-squares estimation quantitation sequence, IDEAL-IQ)在显示骨髓脂肪空间定位、监测骨髓脂肪变化方面具有独特优势[5]。计算机显微断层扫描(micro computed tomography, Micro-CT)技术能够表征骨小梁微结构损伤数量和形态的影响,并将微损伤的积累与骨小梁微结构联系起来[9-10]。本研究联合使用IDEAL-IQ与Micro-CT分别定量T1DM兔腰椎骨髓脂肪含量和骨小梁微结构,探究T1DM早期骨髓脂肪含量与骨小梁微结构改变的时序性和相关性。
本实验经武汉大学人民医院伦理委员会审查通过,批准文号为WDRM动(福)第20190421号。由武汉大学动物实验中心提供健康成年雄性日本大耳白兔,并于武汉大学人民医院实验动物中心单笼饲养,室温控制在25℃。
将16只3.0~3.5 kg成年雄性日本大耳白兔适应性喂养一周后,禁食、水8 h后,用血糖仪(Sigma-Aldrich Chemical, changsha, A7413-25G)测量空腹血糖,血糖值均<6.0 mmol/L。将所有兔随机分为糖尿病组(n=8)、对照组(n=8)。用0.9%的生理盐水将四氧嘧啶(100 mg/kg,Sigma-Aldrich Chemical, St Louis, Mo)配制成5%的溶液,快速经耳缘静注入糖尿病组兔体内,对照组注入同等剂量的生理盐水,之后自由进食、进水。48 h后测量兔外周血糖浓度。单次外周血糖测量值≥14 mmol/L或者两次测量值≥11 mmol/L被认定为造模成功[11]。每隔4周行MRI检查前测量其血糖值。
糖尿病组及对照组兔分别于造模后0、4、8、12、16周经耳缘静脉注射15 g/L戊巴比妥钠(2 ml/kg; Merck KGaA, Germany)麻醉。麻醉后将兔俯卧位,足先进固定于膝关节线圈,运用3.0 T超导MRI仪(Signa Architect, GE Healthcare, Milwaukee, USA)行相关扫描。
兔腰椎MRI检查包括矢状位T2WI(TR 2500 ms,TE 102.9 ms,扫描层厚3 mm,视野16 cm×16 cm,矩阵512×284,激励次数为1,扫描时间3 min 25 s)、矢状位IDEAL-IQ(翻转角6°,TR 19.6 ms,TE 1.2 ms,3.2 ms,5.2 ms,7.2 ms,9.2 ms,11.2 ms,带宽125 kHz,扫描层厚3 mm,视野16 cm×12.8 cm,矩阵288×288,激励次数为2,扫描时间4 min 21 s)。
IDEAL-IQ图像分析由两位分别具有9年和5年骨肌影像诊断经验的副主任医师和主治医师在对兔子分组不知情的情况下独立完成。将Fat Fraction图像传入工作站(Advantage Workstation 4.6, GE Healthcare, Milwaukee, USA),为减少兔子的呼吸运动对图像的影响,选取呼吸运动伪影最小的map腰7椎体中心层面勾画感兴趣区。如图1所示,勾画兴趣区时,避开椎体边缘骨质、上下终板、椎基静脉丛,并记录所勾画区域内的脂肪分数(fat fraction, FF)。二人测量的结果取平均值记为椎体骨髓脂肪分数。


第16周,MRI扫描成像后12 h内,采取空气栓塞法处死实验兔,取腰7椎体,保存在4%多聚甲醛中。使用Micro-CT扫描仪(SkyScan 1276, Bruker, Germany)进行扫描,扫描参数为:射线管电流200 uA,电压85 kV,扫描整个物体,扫描分辨率20.302043 μm,曝光时间374 ms,扫描角度180°。
扫描后将原始图像导入三维重建软件NRecon(V1.7.4.2, Bruker, Germany)进行区域选择和图像重建,感兴趣区域设置为腰椎终板下1 mm区域(图1)。随后使用CT Analyser(1.18.8.0, Bruker, Germany)对重建区域进行骨小梁微结构测定。测量参数包括:骨矿物质密度(bone mineral density, BMD)、总体积(tissue volume, TV)、骨体积(bone volume, BV)、骨体积分数(percent bone volume, BV/TV)、总表面积(tissue surface, TS)、骨表面积(bone surface, BS)、骨表面积体积比(bone surface/volume ratio, BS/BV)、骨表面积总体积比(bone surface density, BS/TV)、骨小梁模式因子(trabecular pattern factor, Tb.Pf)、骨小梁结构模型指数(structure model index, SMI)、骨小梁厚度(trabecular thickness, Tb.Th)、骨小梁数量(trabecular number, Tb.N)、骨小梁分离度(trabecular separation, Tb.Sp)。
将第16周取出的兔腰7椎体固定,脱钙、石蜡包埋,选取腰椎体最大横断面作4 μm厚薄切片,行苏木精-伊红染色。在光学显微镜下随机选取3个相互不连续的区域进行观察并拍照。分别于高倍镜(×400)视野下手动统计脂肪细胞数目,取平均值记为椎体骨髓脂肪含量。随后,在光学显微镜下选取5个独立的相同面积的50倍视野区域进行观察并拍照。使用Image-pro plus 6.0(Media Cybernetics, Inc., Rockville, MD, USA)软件对图像进行分析,测量苏木精-伊红染色切片中骨小梁面积和骨小梁数量。
采用SPSS 26.0统计软件(IBM, Armonk, NY),计量资料使用Shapiro-Wilk检验进行正态性检验,若符合正态分布,表示为平均值±标准差(±s)。不同时间点腰椎IDEAL-IQ FF差异比较采用重复测量方差分析;同一时间点组间FF、Micro-CT骨小梁形态计量学参数、组织病理学参数差异比较采用独立样本t检验或Mann-Whitney U检验;采用Pearson相关系数评估骨髓FF与骨小梁形态计量学参数、组织病理学参数相关性。P<0.05为差异具有统计学意义。
实验过程中糖尿病组于前4周内死亡2只,剩余6只。对照组全部存活,共8只,第16周处死时,糖尿病组兔体质量(5.27±0.11)kg比正常组兔(5.26±0.12)kg稍低,差异并无统计学意义(P=0.866)。
糖尿病组与对照组各时间节点兔椎体脂肪含量比服从正态分布,且组间数据方差齐。球形检验结果P>0.05,采用重复测量的方差分析,糖尿病组FF随时间变化呈上升趋势,且差异存在统计学意义(P<0.05),而对照组各时间点FF差异无统计学意义(P>0.05);糖尿病组与对照组腰椎骨髓FF在第16周差异有统计学意义(59.987±4.859 vs. 51.015±8.469,P<0.05)(图2)。
第16周糖尿病组BV、TS、BS、BS/BV、Tb.N均低于对照组,而Tb.Sp高于对照组,差异有统计学意义(P<0.05)(表1)。

第16周兔腰椎标本糖尿病组、对照组Micro-CT骨小梁形态计量学参数的比较
Comparison of morphometric parameters of trabecular bone Micro-CT between the diabetic group and the control group of rabbit lumbar spine specimens at week 16
第16周兔腰椎标本糖尿病组、对照组Micro-CT骨小梁形态计量学参数的比较
Comparison of morphometric parameters of trabecular bone Micro-CT between the diabetic group and the control group of rabbit lumbar spine specimens at week 16
| 参数 | 糖尿病组(n=6) | 对照组(n=8) | t值 | P值 |
|---|---|---|---|---|
| 骨矿物质密度/(g•cm-3) | 0.211±0.031 | 0.244±0.048 | 1.476 | 0.166 |
| 总体积/mm3 | 31.583±4.821 | 36.732±4.102 | 2.159 | 0.052 |
| 骨体积/mm3 | 7.330±1.983 | 11.018±2.687 | 2.823① | 0.015 |
| 骨体积分数/% | 23.336±5.315 | 30.246±7.798 | 1.861 | 0.087 |
| 总表面积/mm2 | 92.859±10.721 | 106.217±10.275 | 2.364① | 0.036 |
| 骨表面积/mm2 | 130.220±26.125 | 193.735±38.363 | 3.479① | 0.005 |
| 骨表面积体积比/mm-1 | 18.122±2.400 | 17.863±1.896 | -0.226 | 0.825 |
| 骨表面积总体积比/mm-1 | 4.162±0.766 | 5.295±0.953 | 2.386① | 0.034 |
| 骨小梁模式因子/mm-1 | 4.629±1.304 | 3.766±1.368 | -1.192 | 0.256 |
| 骨小梁结构模型指数 | 1.515±0.288 | 1.239±0.354 | -1.559 | 0.145 |
| 骨小梁厚度/mm | 0.198±0.020 | 0.197±0.015 | -0.100 | 0.922 |
| 骨小梁数量/mm-1 | 1.180±0.238 | 1.527±0.318 | 2.232① | 0.045 |
| 骨小梁分离度/mm | 0.593±0.072 | 0.479±0.088 | -2.584① | 0.024 |
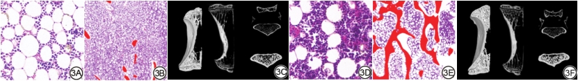
组织病理学苏木精-伊红染色显示,与对照组相比,第16周糖尿病兔腰椎骨髓脂肪细胞数量(32.875±11.051 vs. 71.667±13.125,P<0.01)增加,而骨小梁数量(11.375±1.506 vs. 4.333±1.211,P<0.01)与骨小梁面积(0.927±0.071 vs. 0.312±0.100,P<0.01)明显减少(图3)。


第16周IDEAL-IQ FF与组织病理学脂肪细胞计数呈正相关关系(r=0.539 95% CI:0.012~0.832;图4);IDEAL-IQ FF与Tb.Pf、SMI、Tb.Sp呈轻中度正相关关系,与BMD、TV、BV、BV/TV、TS、BS、BS/BV、BS/TV、Tb.N呈轻中度负相关关系(图5)。




本研究采用IDEAL-IQ联合Micro-CT评价T1DM兔糖尿病早期腰椎骨髓脂肪含量的变化趋势,并证明了T1DM腰椎骨髓脂肪含量与骨小梁形态计量学参数的相关性,为探索T1DM骨髓微环境变化情况和潜在规律提供了有力证据。
本研究发现,糖尿病兔椎体骨髓脂肪含量较对照组增加,这与我们前期[5]研究结果一致。迄今为止,已存在许多实验探究T1DM与骨髓脂肪的关系。研究显示T1DM小鼠模型的胫骨[12]、股骨和颅骨[13]存在明显的骨髓脂肪增加;ABDALRAHAMAN等[14]发现T1DM女性椎骨髓脂肪含量较正常对照组女性轻微增加。虽然T1DM患者骨髓脂肪增加的确切原因尚不完全清楚[15, 16],但研究表明[17, 18, 19, 20],骨髓脂肪增加是导致糖尿病相关骨病的潜在因素,骨髓脂肪细胞能够在骨髓微环境中释放脂肪因子,通过调节成骨细胞和破骨细胞的功能来影响骨稳态。因此,骨髓脂肪含量的增加是T1DM骨病的早期表现。
本研究发现,第16周糖尿病兔腰椎BV、TS、BS、BS/TV、Tb.N、Tb.Ar均减少而Tb.Sp增加,这提示T1DM早期存在骨小梁微结构受损。BV、TS、BS、BS/TV、Tb.N、Tb.Ar均为骨小梁的基本形态计量学参数信息,其减少可以反映骨小梁微结构的受损;Tb.Sp表示骨小梁之间的平均距离,骨小梁微结构受损时Tb.Sp增加。以往研究中关于T1DM骨小梁微结构是否受损的结果并不一致,甚至出现相反的结论。一项基于临床研究的Mate分析[21]显示糖尿病患者骨皮质及骨小梁骨微结构改变的结果具有异质性。在动物实验方面,ZEITOUN等[22]使用Micro-CT评估祖克糖尿病肥胖大鼠股骨骨小梁微结构,研究结果显示BV、Tb.Th明显降低,且T1DM骨小梁结构受损与血管形成不良有关。一项单中心的横断面病例对照观察性研究[23]使用双能X射线吸收测定法(dual energy x-ray absorptiometry, DXA)及高分辨率外周定量计算机断层扫描技术(high-resolution peripheral quantitative computed tomography, HR-pQCT)评估伴或不伴神经病变的T1DM患者骨微结构的改变,结果显示,伴神经病变的T1DM患者皮质孔隙率增加,但不伴神经病变的T1DM患者骨小梁微结构增强,显示T1DM骨折风险的增加是多因素的,包括骨微结构的改变及非骨微结构的改变。上述研究结果的不一致可能与影像学评估技术不同、疾病进程或实验周期不同、血糖控制程度不一、微血管改变不同等原因有关。本研究为动物研究,严格控制实验条件,与临床上血糖控制程度不一的情况不同;实验周期固定,实验组糖尿病的病程长短一致;使用Micro-CT在微观上评估骨小梁,是研究小动物或人类骨标本骨小梁结构的首选[24],方法更为可靠。既往临床主要使用DXA测量BMD,因此无法准确预估糖尿病骨折风险,基于脂肪含量测量的IDEAL-IQ技术和基于骨小梁定量形态学参数测定的Micro-CT影像学技术手段的联合应用,能够早期评价糖尿病早期骨髓微环境的脂肪含量和骨小梁变化,为脆性骨折的预警及早期诊断提供更为全面的信息。
本研究还发现,腰椎FF与Tb.Pf、SMI、Tb.Sp呈轻中度正相关关系,与BMD、TV、BV、BV/TV、TS、BS、BS/BV、BS/TV、Tb.N呈轻中度负相关关系。既往研究表明,T1DM骨微结构改变的病理生理机制[25, 26, 27, 28, 29]十分复杂,存在多因素细胞和分子机制的相互作用,在疾病自然过程的不同阶段促进或减弱了糖尿病患者的骨脆性,而骨髓复杂的微环境中骨髓脂肪仅是其中一项相关因素,仅部分影响骨小梁成骨及破骨活动。本研究结果提示骨髓微环境中骨髓脂肪增加虽然能够影响骨小梁的成骨细胞与破骨细胞活动,但是可能不是糖尿病早期骨小梁的改变最重要的决定因素。
本研究存在一些不足:(1)由于实验设备和场地限制以及实验经费等因素,本实验纳入样本量较小,兔子个体的差异可能会造成一定的误差。后期我们将考虑扩大样本量,减少样本个体差异对研究结果的影响,提高研究结论的可靠性和普适性。(2)本研究多模态定量技术中Micro-CT及组织病理学只是在实验终点这一时间段评价糖尿病兔骨微环境,未在实验过程中连续获取实验数据。(3)本研究多模态定量技术中使用IDEAL-IQ只进行了骨髓脂肪含量的研究,后续将进行脂代谢组学,进行更为精准的研究。(4)由于实验动物麻醉时长限制,本研究未评价骨髓微血管相关参数,后期我们将细化分组,进行更为全面的评估。(5)动物实验未在临床验证,在后续实验中,我们将进行大样本临床研究,进一步验证实验结果。
综上所述,T1DM腰椎骨髓脂肪含量与骨小梁微结构变化存在相关性,IDEAL-IQ联合Micro-CT的多模态定量影像技术有望为T1DM病提供全面的骨髓微环境评估策略。
张甜, 李亮, 费紫嫣, 等. IDEAL-IQ联合Micro-CT定量评估兔1型糖尿病骨髓脂肪含量和骨小梁微结构相关性的研究[J]. 磁共振成像, 2023, 14(5): 145-149, 160.
ZHANG T, LI L, FEI Z Y, et al. IDEAL-IQ combined with Micro-CT to assess the quantitative correlation of bone marrow fat content and trabecular bone microstructure in rabbit type 1 diabetes[J]. Chin J Magn Reson Imaging, 2023, 14(5): 145-149, 160.
National Natural Science Foundation of China (No. 81871332, 82171895).
全体作者均声明无利益冲突。





















