
探讨瘤周及瘤内表观扩散系数(apparent diffusion coefficient, ADC)对可切除直肠癌的病理预后因素的诊断价值。
回顾性分析68名接受术前MRI的直肠癌患者资料。两名放射科医师在最大的肿瘤横截面中分别独立放置三个类圆形面积约20 mm2的感兴趣区域(region of interest, ROI),在邻近肿瘤轮廓的瘤周区域放置三个椭圆形面积约22 mm2大小的ROI。在ADC图上获得肿瘤ADC最大值(ADCtmax)、肿瘤ADC最小值(ADCtmin)、肿瘤ADC平均值(ADCtmean)、瘤周ADC最大值(ADCpmax)、瘤周ADC平均值(ADCpmean)和ADCpmean/ADCtmean(ADC ratio),并分别比较在不同预后因素组间差异是否有统计学意义。采用独立样本t检验、Mann-Whitney U检验和χ2检验比较差异是否具有统计学意义。将单因素分析结果差异有统计学意义的变量纳入多因素logistic回归分析,筛选出独立危险因素,并建立联合预测模型。采用受试者工作特征(receive operating characteristic, ROC)曲线下面积(area under the curve, AUC),分析各参数及联合预测模型对病理预后因素的诊断效能。采用DeLong检验比较不同参数及联合预测模型AUC差异是否具有统计学意义。
参数的观察者间测量一致性较好[组内相关系数(intra-class correlation coefficient, ICC)>0.75]。ADC ratio在T分期T3组高于T1~T2组、低分化组高于中高分化组、淋巴结转移(lymph node metastasis, LNM)阳性组高于LNM阴性组、肿瘤沉积(tumor deposition, TD)阳性组高于TD阴性组、淋巴血管浸润(lymphovascular infiltration, LVI)阳性组高于LVI阴性组,ADCtmean在T1~T2组高于T3组、LNM阴性组高于LNM阳性组,ADCpmean在T1~T2组低于T3组、TD阳性组高于TD阴性组、LVI阳性组高于LVI阴性组,差异均有统计学意义(P<0.05)。ROC曲线分析显示,ADC ratio在预测T3、LNM阳性、高中分化、TD阳性和LVI阳性时AUC分别0.803 [95%置信区间(confidence interval, CI):0.694~0.911]、0.737(95% CI:0.614~0.859)、0.787(95% CI:0.628~0.945)、0.706(95% CI:0.572~0.841)和0.802(95%CI:0.685~0.919);ADCtmean在预测T3、N阳性的AUC分别为0.737(95% CI:0.617~0.858)和0.683(95% CI:0.548~0.818);ADCpmean在预测T3、TD阳性、LVI阳性时AUC分别为0.691(95% CI:0.566~0.816)、0.702(95% CI:0.566~0.838)、0.763(95% CI:0.647~0.880)。
瘤周及瘤内ADC对可切除直肠癌的病理因素诊断具有重要意义,直肠癌ADC ratio在T分期、LNM、TD及LVI方面的AUC值较ADCtmean、ADCpmean出现一定程度增高。
本刊刊出的所有论文不代表本刊编委会的观点,除非特别声明
结直肠癌是全球第三大最常见的恶性肿瘤,每年有近900 000人死于结直肠癌。30%~35%结直肠癌发生在直肠,90%为腺癌[1, 2]。许多诸如肿瘤位置、组织学类型、肿瘤分级等临床因素以及淋巴结转移(lymph node metastasis, LNM)和肿瘤沉积(tumor deposition, TD)等临床征象[3]都与直肠癌的治疗方案和预后相关,在确定治疗策略方面也发挥着重要作用[4, 5, 6]。此外,直肠癌脉管侵犯(lymphovascular invasion, LVI)指肿瘤细胞侵犯淋巴管和(或)血管,也是直肠癌患者预后的独立危险因素之一[7]。因此,术前准确评估这些预后因素有助于直肠癌个体化治疗方案的选择,对改善患者的预后具有重要意义。
扩散加权成像(diffusion-weighted imaging, DWI)作为一种无创MRI技术,可用于评估水分子的布朗运动,并通过表观扩散系数(apparent diffusion coefficient, ADC)值反映组织的生物学特性,有助于术前诊断和指导手术治疗方式的选择[8, 9]。肿瘤组织和瘤周区域由细胞外基质和各种类型的细胞组成,维持着如炎症以及血管密度和通透性增加等创面反应。肿瘤细胞与肿瘤周围微环境的相互作用,能够影响肿瘤的进化和进展[10],此外还具有重要的预测预后的潜力[11, 12]。既往研究已经证实,乳腺癌[13, 14]、食道癌[15]和子宫内膜癌[16]的瘤周区域包含重要的临床预后信息。然而国内外将DWI运用在直肠癌瘤周区域的研究却鲜有报道。因此,本研究旨在探讨瘤内和瘤周区ADC值对评估可切除直肠癌预后因素的诊断价值,为直肠癌的诊断及预后评估提供新思路。
本研究遵守《赫尔辛基宣言》,经医院伦理委员会批准,免除受试者知情同意(批准文号:2020038)。回顾性分析新乡医学院第一附属医院2019年10月至2022年5月直肠疾病患者资料。纳入标准:(1)内镜活检病理证实的直肠腺癌;(2)MRI检查前未接受手术及放化疗等治疗;(3)有完整清晰的MRI图像。排除标准:(1)内镜证实为直肠腺癌并进行活检,但肿瘤直径小于1 cm,MRI图像上不可见肿瘤;(2)病理资料缺失。
共收集患者资料92例,其中24例患者被排除,原因如下:(1)由于气体引起的磁敏感伪影或运动伪影导致的图像质量不足(n=6);(2)无病理结果(n=5);(3)接受过新辅助化疗(n=3);(4)病理结果为非管状腺癌(n=10)。最终纳入68例患者。
采用GE 1.5 T超导MRI扫描仪(Optima MR 360, GE Healthcare, USA)和12通道体部相控线圈。患者检查前灌肠并适当充盈膀胱,患者取仰卧位,扫描序列包括T1WI、T2WI、高分辨小视野快速自旋回波序列非压脂T2WI、DWI及增强序列。T1WI序列参数:TR 659.0 ms,TE 12.4 ms,层厚6.0 mm,层间距1.0 mm;冠状位压脂T2WI序列参数:TR 2898.0 ms,TE 110.0 ms,层厚5.0 mm,层间距1.0 mm;横轴位高分辨小视野非压脂T2WI序列参数:TR 2624.0 ms,TE 105.0 ms,层厚3.0 mm,层间距0.3 mm;病灶定位采用矢状位T2WI,横轴位T2WI与患段肠管矢状位垂直,冠状位平行于肛管方向。横轴位DWI采用单次激发平面回波成像序列,参数:TR 3199.0 ms,TE 74.3 ms,层厚4.0 mm,层间距1.0 mm,视野25.6 mm×25.6 mm,扩散敏感系数分别取0、800 s/mm2,采集2次。
将DWI图像传输至GE AW4.6工作站(Advantage workstation 4.6, GE Healthcare, 美国),采用Functool工具包中的ADC软件对图像进行后处理。所有图像由2名分别具有5年和15年直肠癌MRI影像诊断经验的主治医师及副主任医师独立阅片,采用盲法分别测量ADC值。瘤体感兴趣区(region of interest, ROI)选取:参照T2WI、DWI及增强图像,选取肿瘤最大截面,分别在ADC图像瘤体中勾画三个面积约20 mm2(16~30 mm2)的椭圆形ROI,ROI选择肿瘤实性成分最多的区域,尽量避开囊变、出血、坏死的区域;瘤周ROI选取:沿着肿瘤边缘ADC值视觉最低的区域勾画三个面积约22 mm2(16~30 mm2)的椭圆形ROI,并分别测量记录其最大值、平均值。分别计算瘤体、瘤周各参数平均值:瘤体ADC最大值(ADCtmax)、瘤体ADC最小值(ADCtmin)、瘤体ADC平均值(ADCtmean)、瘤周ADC最大值(ADCpmax)、瘤周ADC平均值(ADCpmean),根据公式计算瘤周ADC比值(ADC ratio),ADC ratio=ADCpmean/ADCtmean。
所有患者均接受根治性全直肠系膜切除术且至少检查12个区域淋巴结。根据国际抗癌联盟(Union International Cancer Control, UICC)及美国肿瘤联合会(American Joint Committee on Cancer, AJCC)第8版结直肠癌TNM分期系统[3],TD指存在于原发肿瘤淋巴引流区域内(结肠系膜和直肠系膜的脂肪组织内)的孤立肿瘤结节,又称为癌结节。由1位7年经验的病理科医生进行评估,报告肿瘤的组织学类型、病理分化程度、浸润深度、LNM、TD和LVI情况。
采用SPSS 25.0(IBM,美国)及Medcalc 20.0.0(MedCalc Software Ltd,比利时)软件进行统计学分析。组内相关系数(intra-class correlation coefficient, ICC)用于评估观察者间的一致性。采用Shapiro-Wilk检验数据正态性。连续变量用均数±标准差(±s)、不符合正态分布的计量资料以中位数(上下四分位数)表示,分类变量以频数表示。采用独立样本t检验、Mann-Whitney U检验和χ2检验确定不同组间各参数差异是否具有统计学意义。各参数间采用Spearman相关性分析,选取相关性<0.7的变量,将单因素差异有统计学意义的变量纳入多因素logistic回归分析,筛选独立危险因素,并建立联合预测模型。采用受试者工作特征(receive operating characteristic, ROC)曲线评估各参数及联合预测模型的诊断效能。DeLong检验用于比较不同参数及联合预测模型的曲线下面积(area under the curve, AUC)差异是否有统计学意义。P<0.05为差异具有统计学意义。
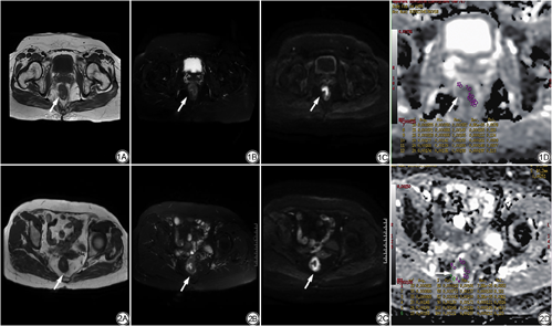
共纳入68例直肠癌患者,临床资料记录患者性别、年龄及肿瘤部位,详见表1。其中T分期T1~T2组30例、T3组38例,病理组织学分级低分化7例、中-高分化61例,LNM阳性22例、LNM阴性46例,TD阳性组13例、TD阴性组55例,LVI阳性组22例、LVI阴性组46例,见图1、2。

一般临床资料与ADC相关性
Correlation between general clinical data and ADC
一般临床资料与ADC相关性
Correlation between general clinical data and ADC
| ADC参数 | 性别 | |||
|---|---|---|---|---|
| 男(n=43) | 女(n=25) | 统计值 | P值 | |
| ADCtmax/(×10-3 mm2•s-1) | 1.141(1.053,1.187) | 1.146(1.039,1.248) | -0.159 | 0.874① |
| ADCtmin/(×10-3 mm2•s-1) | 0.856(0.796,0.908) | 0.849(0.775,0.898) | -0.312 | 0.755① |
| ADCtmean/(×10-3 mm2•s-1) | 0.945(0.892,1.010) | 0.968(0.879,1.014) | -0.140 | 0.889① |
| ADCpmax/(×10-3 mm2•s-1) | 1.801±0.154 | 1.813±0.176 | -0.298 | 0.767② |
| ADCpmean/(×10-3 mm2•s-1) | 1.600±0.114 | 1.598±0.160 | 0.053 | 0.958② |
| ADC ratio | 1.712±0.183 | 1.679±0.253 | 0.610 | 0.544② |
| ADC参数 | 年龄 | |||
| ≥65岁(n=34) | <65岁(n=34) | 统计值 | P值 | |
| ADCtmax/(×10-3 mm2•s-1) | 1.160(1.055,1.237) | 1.126(1.041,1.154) | -1.601 | 0.109① |
| ADCtmin/(×10-3 mm2•s-1) | 0.841(0.779,0.882) | 0.866(0.796,0.918) | -0.558 | 0.577① |
| ADCtmean/(×10-3 mm2•s-1) | 0.967(0.892,1.012) | 0.940(0.885,1.013) | -0.558 | 0.577① |
| ADCpmax/(×10-3 mm2•s-1) | 1.835±0.133 | 1.776±0.182 | -1.524 | 0.132② |
| ADCpmean/(×10-3 mm2•s-1) | 1.628±0.122 | 1.571±0.136 | -1.811 | 0.075② |
| ADC ratio | 1.717±0.219 | 1.682±0.203 | -0.679 | 0.500② |
| ADC参数 | 位置 | |||
| 低位(n=37) | 中高位(n=31) | 统计值 | P值 | |
| ADCtmax/(×10-3 mm2•s-1) | 1.130(1.032,1.198) | 1.159(1.058,1.190) | -0.055 | 0.956① |
| ADCtmin/(×10-3 mm2•s-1) | 0.837(0.776,0.898) | 0.873(0.796,0.923) | -0.671 | 0.502① |
| ADCtmean/(×10-3 mm2•s-1) | 0.952(0.889,1.006) | 0.955(0.895,1.017) | -0.449 | 0.653① |
| ADCpmax/(×10-3 mm2•s-1) | 1.829±0.160 | 1.777±0.161 | 1.315 | 0.193② |
| ADCpmean/(×10-3 mm2•s-1) | 1.607±0.128 | 1.591±0.136 | 0.515 | 0.608② |
| ADC ratio | 1.712±0.211 | 1.684±0.211 | 0.551 | 0.583② |
注:①代表独立样本Mann-Whitney U检验,数据为中位数(上下四分位数)格式;②代表t检验,数据为均数±标准差格式。ADCtmax为瘤内ADC最大值的平均值,ADCtmin为瘤内ADC最小值的平均值,ADCtmean为瘤内ADC平均值,ADCpmax为瘤周ADC最大值的平均值,ADCpmean为瘤周ADC的平均值,ADC ratio为ADCpmean/ADCtmean。


2名医师在各个参数的观察者间一致性均较高(ICC均>0.75),取两者平均值进行统计分析。ADCpmean的ICC为0.800 [95%置信区间(confidence interval, CI):0.694~0.871]、ADCpmax的ICC为0.804(95% CI:0.701~0.874)、ADCtmean的ICC为0.810(95% CI:0.704~0.880)、ADCtmax的ICC为0.812(95% CI:0.711~0.879)、ADCtmin的ICC为0.916(95% CI:0.867~0.947)。
不同病理学特征直肠癌组织的ADC参数比较,T3分期组的ADCtmin、ADCtmean显著低于T1~T2分期组,ADCpmax、ADCpmean、ADC ratio高于T1~T2分期组;LNM阳性组的ADCtmin、ADCtmean、ADCtmax显著低于LNM阴性组,LNM阳性组的ADC ratio显著高于LNM阴性组;高-中分化组的ADC ratio显著低于低分化组;TD阳性组ADCpmean、ADC ratio显著高于TD阴性组;LVI阳性组ADCtmax显著低于LVI阴性组,LVI阳性组ADCpmax、ADCpmean、ADC ratio显著高于LVI阴性组。以上数据差异均有统计学意义(P值均<0.05)。详见表2。

不同病理学特征直肠癌组织的ADC参数比较
Comparison of ADC parameters in rectal cancer tissues with different pathological characteristics
不同病理学特征直肠癌组织的ADC参数比较
Comparison of ADC parameters in rectal cancer tissues with different pathological characteristics
| ADC参数 | 病理T分期 | 淋巴结转移 | ||||||
|---|---|---|---|---|---|---|---|---|
| T1~T2(n=30) | T3(n=38) | 统计值 | P值 | 无淋巴结转移(n=46) | 有淋巴结转移(n=22) | 统计值 | P值 | |
| ADCtmax/(×10-3 mm2•s-1) | 1.147(1.096,1.220) | 1.101(1.020,1.183) | -1.952 | 0.051① | 1.143(1.059,1.202) | 1.083(1.010,1.164) | -7.40 | <0.001① |
| ADCtmin/(×10-3 mm2•s-1) | 0.867(0.834,0.916) | 0.829(0.763,0.894) | -2.063 | 0.039① | 0.865(0.815,0.914) | 0.797(0.754,0.877) | -2.222 | 0.026① |
| ADCtmean/(×10-3 mm2•s-1) | 0.997(0.937,1.020) | 0.933(0.871,0.977) | -3.341 | 0.001① | 0.972(0.897,1.017) | 0.917(0.864,0.971) | -2.432 | 0.015① |
| ADCpmax/(×10-3 mm2•s-1) | 1.757±0.170 | 1.844±0.145 | -2.263 | 0.027② | 1.789±0.172 | 1.842±0.134 | -1.398 | 0.168② |
| ADCpmean/(×10-3 mm2•s-1) | 1.545±0.135 | 1.643±0.113 | -3.267 | 0.002② | 1.583±0.132 | 1.635±0.125 | -1.564 | 0.123② |
| ADC ratio | 1.577±0.213 | 1.796±0.151 | -4.956 | <0.001② | 1.647±0.214 | 1.811±0.155 | -3.225 | 0.002② |
| ADC参数 | 不同组织分化程度 | 肿瘤沉积 | ||||||
| 高-中分化组(n=61) | 低分化组(n=7) | 统计值 | P值 | 肿瘤沉积阴性组(n=55) | 肿瘤沉积阳性组(n=13) | 统计值 | P值 | |
| ADCtmax/(×10-3 mm2•s-1) | 1.137(1.055,1.203) | 1.067(1.033,1.103) | -1.867 | 0.062① | 1.129(1.047,1.200) | 1.098(1.050,1.160) | -0.842 | 0.400① |
| ADCtmin/(×10-3 mm2•s-1) | 0.857(0.784,0.906) | 0.852(0.837,0.913) | -0.323 | 0.747① | 0.846(0.786,0.904) | 0.868(0.807,0.918) | -0.803 | 0.422① |
| ADCtmean/(×10-3 mm2•s-1) | 0.956(0.889,1.014) | 0.939(0.890,0.965) | -0.999 | 0.318① | 0.941(0.890,1.013) | 0.956(0.890,0.992) | -0.117 | 0.907① |
| ADCpmax/(×10-3 mm2•s-1) | 1.803±0.165 | 1.825±0.129 | 0.343 | 0.733② | 1.790±0.169 | 1.873±0.104 | -1.703 | 0.093② |
| ADCpmean/(×10-3 mm2•s-1) | 1.592±0.134 | 1.667±0.087 | 1.436 | 0.156② | 1.583±0.136 | 1.668±0.082 | -2.156 | 0.035② |
| ADC ratio | 1.680±0.208 | 1.875±0.144 | 2.407 | 0.019② | 1.674±0.219 | 1.810±0.121 | -2.147 | 0.035② |
| ADC参数 | 脉管侵犯 | |||||||
| 无脉管侵犯(n=46) | 有脉管侵犯(n=22) | 统计值 | P值 | |||||
| ADCtmax/(×10-3 mm2•s-1) | 1.151(1.060,1.211) | 1.101(0.998,1.135) | -2.373 | 0.018① | ||||
| ADCtmin/(×10-3 mm2•s-1) | 0.847(0.794,0.882) | 0.873(0.770,0.923) | -0.747 | 0.455① | ||||
| ADCtmean/(×10-3 mm2•s-1) | 0.957(0.900,1.013) | 0.942(0.871,1.008) | -1.108 | 0.268① | ||||
| ADCpmax/(×10-3 mm2•s-1) | 1.766±0.162 | 1.888±0.126 | -3.095 | 0.003② | ||||
| ADCpmean/(×10-3 mm2•s-1) | 1.560±0.124 | 1.682±0.106 | -3.968 | <0.001② | ||||
| ADC ratio | 1.630±0.191 | 1.845±0.173 | -4.450 | <0.001② | ||||
注:①代表独立样本Mann-Whitney U检验结果,数据为中位数(上下四分位数)格式;②代表t检验结果,数据为均数±标准差格式。ADCtmax为瘤内ADC最大值的平均值;ADCtmin为瘤内ADC最小值的平均值;ADCtmean为瘤内ADC平均值;ADCpmax为瘤周ADC最大值的平均值;ADCpmean为瘤周ADC的平均值;ADC ratio为ADCpmean/ADCtmean。
单因素及多因素logistic回归分析结果如表3。将单因素差异有统计学意义的变量纳入多因素logistic回归分析,筛选独立危险因素,并建立联合预测模型。ADC ratio、ADCtmean、ADCpmean是T分期的独立危险因素;ADC ratio是N分期、病理分化程度的独立危险因素;ADC ratio和ADCpmean是TD的独立危险因素;ADCtmax、ADCpmean、ADC ratio是LVI的独立危险因素。

单因素及多因素logistic回归分析结果
Results of univariate and multivariate logistic regression analysis
单因素及多因素logistic回归分析结果
Results of univariate and multivariate logistic regression analysis
| 影响因素 | 单因素分析 | 多因素分析 | ||
|---|---|---|---|---|
| OR值(95% CI) | P值 | OR值(95% CI) | P值 | |
| T分期 | ||||
| N分期 | 0.247(0.078~0.783) | 0.018 | 0.449(0.122~1.656) | 0.229 |
| 病理分化程度 | 1.059(0.218~5.140) | 0.943 | 0.328(0.049~2.214) | 0.252 |
| ADCtmin | 0.746(0.431~1.294) | 0.297 | ||
| ADCtmean | 0.013(0.001~0.032) | 0.005 | 0.367(0.182~0.739) | 0.005 |
| ADCpmax | 1.790(1.048~3.059) | 0.033 | 0.940(0.476~1.859) | 0.860 |
| ADCpmean | 2.393(1.314~4.356) | 0.004 | 2.573(1.321~5.010) | 0.005 |
| ADC ratio | 3.928(1.929~8.000) | 0.001 | 4.059(1.822~9.043) | 0.001 |
| N分期 | ||||
| T分期 | 0.247(0.078~0.783) | 0.018 | 0.337(0.099~1.147) | 0.082 |
| 病理分化程度 | 1.658(0.337~8.146) | 0.534 | 0.690(0.132~3.604) | 0.660 |
| ADCtmax | 0.011(0.001~1.389) | 0.068 | ||
| ADCtmin | 0.449(0.202~1.000) | 0.050 | ||
| ADCtmean | 0.463(0.241~0.891) | 0.021 | 0.540(0.241~1.212) | 0.135 |
| ADC ratio | 2.621(1.1.348~5.096) | 0.005 | 2.254(1.051~4.833) | 0.037 |
| 病理分化程度 | ||||
| T分期 | 1.059(0.218~5.140) | 0.943 | 0.337(0.052~2.182) | 0.254 |
| N分期 | 1.658(0.337~8.146) | 0.534 | 0.874(0.148~5.156) | 0.882 |
| ADC ratio | 0.002(0.001~0.544) | 0.029 | 0.221(0.064~0.763) | 0.017 |
| TD(-)vs. TD(+) | ||||
| T分期 | 1.175(1.016~8.866) | 0.033 | 0.253(0.044~1.441) | 0.122 |
| 病理分化程度 | 0.550(0.094~3.213) | 0.507 | 1.697(0.237~12.147) | 0.598 |
| ADCpmean | 2.151(1.030~4.494) | 0.041 | 1.593(1.023~4.075) | 0.045 |
| ADC ratio | 2.141(1.025~4.472) | 0.043 | 1.597(1.007~4.051) | 0.042 |
| LVI(-)vs. LVI(+) | ||||
| T分期 | 1.247(1.078~5.783) | 0.018 | 1.668(0.160~4.784) | 0.579 |
| 病理分化程度 | 3.185(0.646~15.696) | 0.155 | 1.500(0.228~9.869) | 0.673 |
| ADCtmax | 0.344(0.136~0.873) | 0.025 | 0.259(0.081~0.828) | 0.023 |
| ADCpmax | 2.510(1.305~4.827) | 0.006 | 1.717(0.785~3.755) | 0.175 |
| ADCpmean | 3.653(1.672~7.980) | 0.001 | 4.133(1.739~9.823) | 0.001 |
| ADC ratio | 4.303(1.891~9.789) | 0.001 | 3.665(1.534~8.756) | 0.003 |
注:OR为比值比;ADCtmean为瘤内ADC平均值;ADCtmax为瘤内ADC最大值的平均值;ADCpmax为瘤周ADC最大值的平均值;ADCpmean为瘤周ADC的平均值;ADC ratio为ADCpmean/ADCtmean;TD为肿瘤沉积;LVI为脉管侵犯;(-)(+)分别表示阴性和阳性。
ROC曲线分析显示,ADCtmean、ADCpmax、ADCpmean、ADC ratio均与T分期相关,其AUC分别为0.737、0.666、0.691、0.803,联合预测模型ADC ratio+ADCtmean+ADCpmean的AUC为0.795,ADCtmean、ADCpmax、ADCpmean、ADC ratio与联合预测模型ADC ratio+ADCtmean+ADCpmean在区分T分期时彼此之间差异没有统计学意义(P=0.059~0.606)。ADCtmean、ADC ratio与N分期相关,其AUC分别为0.683、0.737,ADC ratio的AUC与ADCtmean的AUC差异没有统计学意义(P=0.389);病理分化程度中仅ADC ratio 具有统计学意义,其AUC为0.787。ADCpmean、ADC ratio与预测TD相关,其AUC分别为0.702、0.706,联合预测模型ADCpmean+ADC ratio的AUC为0.731,ADC ratio的AUC、ADCpmean的AUC值与联合预测模型ADCpmean+ADC ratio差异没有统计学意义(P=0.872~0.983);ADCpmax、ADCtmax、ADCpmean、ADC ratio与预测LVI相关,其AUC分别为0.738、0.679、0.763、0.802,联合预测模型ADC ratio+ADCtmax+ADCpmean的AUC为0.833,ADCpmax、ADCtmax、ADCpmean、ADC ratio与联合预测模型ADC ratio+ADCtmax+ADCpmean在区分LVI时差异没有统计学意义(P=0.398~0.693),详见表4。

各参数诊断直肠癌病理预后因素的ROC曲线分析
ROC curve analysis of pathological prognostic factors of rectal cancer diagnosed by various parameters
各参数诊断直肠癌病理预后因素的ROC曲线分析
ROC curve analysis of pathological prognostic factors of rectal cancer diagnosed by various parameters
| 参数 | AUC(95% CI) | P值 | 敏感度/% | 特异度/% | 诊断阈值 | 最大约登指数 |
|---|---|---|---|---|---|---|
| T1~T2 vs. T3 | ||||||
| ADCtmean | 0.737(0.617~0.858) | 0.001 | 73.7 | 66.7 | 0.527 | 0.404 |
| ADCpmax | 0.666(0.532~0.800) | 0.020 | 78.9 | 60.0 | 0.528 | 0.389 |
| ADCpmean | 0.691(0.566~0.816) | 0.007 | 63.2 | 66.7 | 0.568 | 0.299 |
| ADC ratio | 0.803(0.694~0.911) | <0.001 | 92.1 | 60.0 | 0.377 | 0.521 |
| ADC ratio+ADCtmean+ADCpmean | 0.795(0.684~0.906) | <0.001 | 92.1 | 60.0 | 0.363 | 0.521 |
| LNM(-)vs. LNM(+) | ||||||
| ADCtmean | 0.683(0.548~0.818) | 0.015 | 68.2 | 67.4 | 0.332 | 0.356 |
| ADC ratio | 0.737(0.614~0.859) | 0.002 | 68.2 | 76.1 | 0.376 | 0.443 |
| 病理分化程度 | ||||||
| ADC ratio | 0.787(0.628~0.945) | 0.013 | 78.7 | 71.4 | 0.841 | 0.501 |
| TD(-)vs. TD(+) | ||||||
| ADCpmean | 0.702(0.566~0.838) | 0.024 | 84.6 | 58.2 | 0.169 | 0.428 |
| ADC ratio | 0.706(0.572~0.841) | 0.021 | 84.6 | 54.5 | 0.167 | 0.391 |
| ADC ratio+ADCpmean | 0.731(0.608~0.855) | 0.010 | 84.6 | 70.9 | 0.189 | 0.555 |
| LVI(-)vs. LVI(+) | ||||||
| ADCpmax | 0.738(0.614~0.862) | 0.002 | 81.8 | 65.2 | 0.324 | 0.470 |
| ADCtmax | 0.679(0.548~0.810) | 0.018 | 90.9 | 50.0 | 0.275 | 0.409 |
| ADCpmean | 0.763(0.647~0.880) | <0.001 | 90.9 | 54.3 | 0.226 | 0.452 |
| ADC ratio | 0.802(0.685~0.919) | <0.001 | 77.3 | 80.4 | 0.382 | 0.577 |
| ADC ratio+ADCtmax+ADCpmean | 0.833(0.729~0.937) | <0.001 | 77.3 | 80.4 | 0.347 | 0.577 |
注:ROC为受试者工作特征;AUC为ROC曲线下面积;ADCtmean为瘤内ADC平均值;ADCtmax为瘤内ADC最大值的平均值;ADCpmax为瘤周ADC最大值的平均值;ADCpmean为瘤周ADC的平均值;ADC ratio为ADCpmean/ADCtmean;LNM为淋巴结转移;TD为肿瘤沉积;LVI为脉管侵犯;(-)(+)分别表示阴性和阳性。
本研究探讨了瘤周、瘤内ADC参数对可切除直肠癌的部分预后相关病理因素的诊断价值,结果显示瘤周ADC值、瘤内ADC值对直肠癌部分病理预后因素有较高的诊断价值,其中直肠癌ADC ratio在T分期、LNM、TD及LVI方面的AUC值较ADCtmean、ADCpmean出现一定程度增高。本研究创新性地在国内首次使用DWI对直肠癌瘤周区域进行研究,发现瘤周区域对直肠癌部分预后相关病理因素之间的关系,提示ADC ratio能够更加全面地反映肿瘤的信息,有助于术前对直肠癌更准确地诊断,帮助临床制订合适的治疗方法,改善患者预后。
ADC值作为定量参数已广泛用于评估许多不同类型癌症的生物学特征[17, 18, 19, 20, 21, 22]。然而,肿瘤的ADC值在预测病理预后方面的诊断价值有待进一步探讨。本研究结果显示T3组的ADCtmin、ADCtmean显著低于T1~T2组,LNM阳性组的ADCtmin、ADCtmean、ADCtmax显著低于LNM阴性组,LVI阳性组ADCtmax显著低于LVI阴性组,但这些瘤内参数对于直肠癌病理分化程度差异没有统计学意义。既往也研究了肿瘤ADC在评估直肠癌病理因素方面的价值,对于瘤内ADC值T分期和N分期的研究结果与LIU等[23]的研究结果一致,ADCtmin和ADCtmean可能与直肠癌的T、N分期呈负相关性,分析其原因可能是肿瘤侵袭性越高,水分子扩散受限就越明显,从而导致瘤内ADC值减低。本研究勾画肿瘤最大层面的ROI所获得的ADCtmax值可以区分LVI和N分期,但不能评估其他预后因素。LI等[24]研究有相似结果,ADCtmax值无法区分病理分化程度,但可以用于评估LVI和N分期。大部分研究主要使用ADCtmean值来研究其与肿瘤生物学特征的相关性[25, 26]。目前关于瘤内ADC值是否能区分直肠癌组织学分级有不同的研究结果。LIU等[23]研究表明,通过勾画整个肿瘤ROI得到的ADCtmean和ADCtmin可以区分组织学分级,与ADCtmean值相比,ADCtmin值在区分直肠癌分化方面显示出更高的诊断价值。CURVO-SEMEDO等[27]的研究也得出相同的结论,他们的研究认为勾画肿瘤最大层面的ROI得到的ADCtmean可以区分组织学分级。但SUN等[25]得出了不同研究结果,他们认为勾画肿瘤最大层面ROI所得出的ADCtmean值不能用于区分组织学分级。YUAN等[28]通过研究直肠癌瘤周信息对直肠癌预后因素的影响,他们认为,瘤周平均值及瘤周/瘤内ADC比值可以区分直肠癌的病理分化程度。本研究表明,仅ADC ratio能区分组织学分级,原因可能为本研究增加了瘤周区域的数据,使得信息更加全面,细胞分化程度越低,肿瘤恶性程度越高,瘤周微环境更复杂,导致ADC ratio较大,另一部分原因可能是由于分组方法不同,导致了研究结果的差异。本研究将高分化和中分化的病例分为一组,低分化的样本量较少。此外,不同研究中ROI勾画方法不同,这也可能导致了研究结果的差异[24]。以上这些相互矛盾的结果和较低的诊断性能可能表明瘤内ADC值不足以提高诊断的准确性。
本研究评估瘤周ADC值发现,较高的ADCpmean与较高的T分期、TD、LVI相关,较高的ADC ratio与较高的组织学分级、T分期以及N分期、TD和LVI相关,ADC ratio在诊断T分期、N、TD和LVI方面的诊断价值较瘤周及瘤内ADC值存在一定的增高。这与YUAN等[28]的研究结果相一致,他们的研究认为肿瘤的ADC ratio和ADCpmean增高与肿瘤的组织学分级、T分期、N分期、TD和LVI存在相关性。但是本研究发现仅ADC ratio对病理分化程度有诊断价值,而YUAN等认为ADCpmean及ADC ratio可以区分直肠癌的病理分化程度。分析其原因可能与本研究低分化病例较少、ROI选取不同有关,此外扩散和微灌注的综合作用也会导致研究结果的差异。本研究认为,仅ADC ratio、ADCpmean是评估LVI及TD的独立危险因素,说明瘤周区域在区分直肠癌LVI和TD方面具有一定的诊断价值。分析其原因可能为瘤周区域包括肿瘤侵袭性相关的各种信息,淋巴血管引流受阻会导致瘤周水肿,水分子扩散不受限,从而瘤周ADC值较高,导致ADC ratio增高。之前也有研究报告了乳腺癌的LVI与瘤周水肿有关[29, 30]。有相关文献报道存在TD的肿瘤血流量更加丰富,肿瘤组织异质性更高,TD更可能起源于血管。因此本研究推测TD会引起瘤周环境的改变,瘤周微血管增多,血管通透性增高,渗出液增多,细胞间隙扩大。另一种解释为,TD可能会导致瘤周淋巴血管回流受阻,从而引起瘤周水肿,导致瘤周ADC值增高,从而ADC ratio增高。目前直肠癌中关于肿瘤周围ADC值与预后因素之间的关系的文章较少,本研究发现瘤周ADC值与较多预后因素相关,可以一定程度反映肿瘤的微观环境信息,与之前研究结果一致[28],但研究较少,因瘤周ROI测量方法较瘤内ADC值稳定性差,因此,需要进一步研究。本研究发现ADC ratio在预测部分病理预后因素中AUC值较高,与瘤内、瘤周参数及联合预测模型相比诊断效能相仿,分析其原因可能与部分肿瘤是环周浸润并且浸润了整个肌层,可以用来测量的瘤周组织较少相关。
ADC是一个理论上的绝对值,容易受诸多因素影响,例如不同的场强、不同制造商的MRI扫描仪、b值大小和ROI选取不同等[31]。其中最重要的为ROI的选取,大多数先前的研究将整个肿瘤ROI或三个圆形/椭圆形ROI放置在肿瘤内[27,32, 33]。全体积的ROI测得的ADC值可能会受到DWI的伪影和ADC图配准错误的影响更明显。之前研究报道,三个最大层面ROI足以识别乳腺癌的肿瘤信息[34]。因此,为了尽量减少这些混淆DWI的因素的影响,本研究在瘤内选取肿瘤最大层面的三个面积约20 mm2(16~30 mm2)的椭圆形ROI,选用其最大值、最小值及平均值,瘤周选取在肿瘤边缘ADC值视觉最低的区域勾画三个面积约22 mm2(16~30 mm2)的椭圆形ROI,选取其中最大值及平均值,测量其与直肠癌预后的相关性。但是,对于不同b值、ROI大小与ADC ratio在评估不同的预后因素中的诊断效能需要进一步探讨。
本研究存在以下局限性:首先,病例数量较少,且低分化程度患者仅7例;其次,我们仅选用直肠管状腺癌的患者;最后,我们在肿瘤最大层面勾画ROI,虽然不能代表整个肿瘤信息,但在临床上较容易应用。后续会扩大样本量同时增加对其他病理类型直肠癌的研究。
综上所述,瘤周ADC值、瘤内ADC值对直肠癌部分病理预后因素有较高的诊断价值,其中直肠癌ADC ratio在病理分期、LNM、TD及LVI方面的AUC值较ADCtmean、ADCpmean有一定程度增高。
Medical Science and Technology Research Program of Henan Province (No. LHGJ20200519).
孙嫣聪, 谢北辰, 牛劲, 等. 瘤周及瘤内表观扩散系数参数对可切除直肠癌的病理因素诊断性能的评估[J]. 磁共振成像, 2023, 14(7): 53-60.
SUN Y C, XIE B C, NIU J, et al. Evaluation of peritumoral and intratumoral apparent diffusion coefficient parameters for the diagnosis of pathological factors in resectable rectal cancer[J]. Chin J Magn Reson Imaging, 2023, 14(7): 53-60.
全体作者均声明无利益冲突。





















