
MRI具有无创、软组织分辨率高、可重复性强等优点,能无创地可视化肌肉形态特征及病理改变,已成为目前肌肉疾病的主要影像检查方法之一。多模态MRI能为肌肉疾病诊断、疗效动态评估、预后预测提供丰富的影像生物标志物。同时,磁共振新技术不断发展,肌肉脂肪替代及水肿等组织特征定量评估方法逐步应用于临床,为肌病临床精准诊断提供新方法。按照临床诊断思路,通常肌病根据肌无力类型可分为六种类型。本文主要根据临床诊断思路,总结不同类型肌病的磁共振表现,并针对磁共振技术在具有选择性受累肌病的组织特征刻画及其鉴别诊断中的应用价值进行全面综述,为临床诊疗提供影像支撑。
本刊刊出的所有论文不代表本刊编委会的观点,除非特别声明
肌病是一类罕见疾病,其分类复杂,临床诊断和鉴别诊断较为困难,肌肉无力或步态异常是肌病患者最常见的临床症状,且是医务人员查体最容易获得的诊断资料。临床发病特征结合辅助检查可进一步明确肌病的分类诊断。肌肉组织活检被用作肌病诊断的金标准,然而由于活检固有的侵入性缺点,难以动态监测疾病进展,因此采用非侵入性检查方法来提取肌病生物学特征相对应的信息至关重要。目前,临床上常见的几种非侵入性检查方法,如:计算机断层扫描、正电子发射断层扫描和超声可为肌病的疾病特征和进展提供客观见解[1],但均具有一定的局限性。MRI因其较高的软组织对比度和分辨率而成为骨肌系统诊断常用的无创辅助检查手段,是肌肉疾病诊断和疗效监测的重要影像手段[2],其不仅可以直观反映肌肉萎缩、水肿及脂肪替代等组织形态学及病理改变,同时可获得病变的部位、性质和严重程度等信息。根据临床诊疗思路,有学者[3]根据肌无力及肌肉最先受累类型将肌病分为六种类型:(1)四肢近端、肢带型;(2)四肢远端无力型;(3)上肢近端和下肢远端无力型;(4)下肢近端和上肢远端无力型;(5)眼睑下垂和眼外肌无力型;(6)躯干肌无力型。因此,本文将根据肌无力的六种肌病分类,分别综述具有特定受累模式的肌病MRI影像表现,进一步深入分析了MRI新技术在该种肌病分类模式中的应用价值。
肌肉MRI主要观察骨骼肌形态及信号改变,形态改变包括骨骼肌肥大及假性肥大、萎缩;信号异常反映了脂肪替代和水肿等病理特征。不同肌病及其亚型具有不同组织特征:如肌营养不良多表现为骨骼肌的脂肪变性、萎缩和代偿性肥大,而炎性肌病随着病程进展有不同的改变,表现为早期水肿明显,脂肪化轻且骨骼肌肥大不明显,晚期萎缩及脂肪化为主;先天性肌病不伴随骨骼肌肥大,此改变特点不同于肌营养不良及肌炎;脂质沉积症与糖原贮积症以肌肉萎缩为主,无炎性水肿改变[4]。
目前,临床对于肌病常规应用的MRI序列包括T1加权成像(T1 weighted imaging, T1WI)及T2加权成像(T2 weighted imaging, T2WI)、T2压脂序列,可进行主观脂肪替代、水肿评价[5],但精准定量评价较为困难。随着MRI技术和后处理软件不断发展,如Dixon水脂分离技术、磁共振波谱成像(magnetic resonance spectroscopy, MRS)、T1 mapping/T2 mapping、弥散加权成像(diffusion-weighted imaging, DWI)、弥散张量成像(diffused tensor imaging, DTI)、磁共振弹性成像(magnetic resonance elastic imaging, MRE)等新技术逐步应用于肌肉疾病科研和临床,极大拓展了无创影像评估肌病形态和病理改变的潜力,使得肌病的多种组织学、形态学及功能特点如肌肉成分、结构、机械性能、灌注和功能改变等,得到可视化和定量评价。mapping技术、Dixon水脂分离技术及MRS可定量检测脂肪替代和水肿程度[6],其中Dixon水脂分离技术能一次采集同时生成水图和脂图,获得脂肪分数(fat fraction, FF),用于肌肉脂肪替代定量[7, 8]。MRS从分子水平检测肌肉内甘油三酯及水含量变化,从而精确定量脂肪化及水肿[9, 10],其局限性是单体素成像,且受运动伪影影响较大。mapping技术可通过检测肌肉弛豫时间改变定量肌肉脂肪变及水肿,目前mapping技术已在肌病中得到广泛应用[11]。MRE能够获得不同病理改变下肌肉的剪切力变化,无创量化骨骼肌的在体力学特性,但是其弹性模量在部分组织中有重叠,定量精度有待提高[12, 13]。DTI可检测肌肉微小结构,直观反映肌纤维化完整程度。DTI能够对组织水分子各向扩散异性进行评估,重建肌纤维情况,从而获得肌肉微观结构改变情况,直观示踪肌纤维束走行方向及连续性[14],但是对所有的肌肉进行DTI较为费时,目前临床诊断应用较少。全身MRI能评估全身肌肉改变,从而充分研究不同分类的肌病及同类肌病的不同亚型,但其应用成本高、费时,一般只用于全身肌肉受累患者评估[15]。此外,人工智能后处理方法如神经网络、磁共振指纹图谱等应用于骨骼肌肉疾病,对肌肉进行分割及分级解剖,为临床提供定量脂肪替代和疾病活动程度更为精细化的成像标志物[16, 17, 18]。
四肢近端无力的肌病是最常见且特异性低的一类肌病,通称肢带型肌病,主要包括皮肌炎、多肌炎和大部分肌营养不良及其他大部分肌病[19]。该类疾病在临床上较为常见,存在典型的MRI表现。
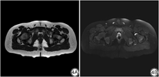
皮肌炎及多发性肌炎是特发性肌炎的主要类型,多为急性或亚急性起病,急性期主要表现为肌肉水肿,且近端重于远端。T2WI、T2WI压脂、Dixon水脂分离技术可以较好地显示肌肉水肿情况,DWI和DTI也可以用于肌炎水肿和肌纤维含量定量分析[20]。多发性肌炎主要由自身免疫功能异常所致,常累及四肢近端肌肉、颈肌和咽部肌肉、股四头肌,早期MRI图像主要是弥漫性肌肉水肿,表现为整块肌肉T2WI弥漫性高信号,呈现“雾”征[21],但皮下软组织通常不受影响,亦很少见到肌肉萎缩。皮肌炎患者与多发性肌炎类似,主要累及近端肌肉[22],但是与多发性肌炎症最大的不同是,MRI T2压脂序列上水肿呈斑片样分布,水肿分布更为广泛,其水肿不仅仅累及肌肉,肌筋膜和皮下脂肪层也表现为明显水肿(图1),晚期T1WI及T2WI序列上表现为肌肉萎缩伴脂肪浸润[22, 23]。皮肌炎患者肌肉水肿分布部位和范围根据其血清抗体亚型和疾病进展程度也有所不同,如Anti-Mi-2型皮肌炎主要分布为双侧大腿、双上臂、颈部、肩部和眶周[22]。皮肌炎和多发性肌炎影像表现的不同可以通过潜在的疾病生理学来解释,皮肌炎的特征是血管周围和筋膜周围炎症,而多发性肌炎的主要炎症部位是肌纤维,导致弥漫性肌肉水肿[24]。皮肌炎和多发性肌炎的脂肪浸润都是轻微的,皮肌炎通常累及股四头肌,而多发性肌炎的水肿最常见于内收肌[23]。


研究表明[25],肌炎疾病的DWI表现随分期而变化。急性炎症期DWI显示病变肌肉呈弥漫性高信号,表观弥散系数(apparent diffusion coefficient, ADC)值升高,而脂肪浸润肌肉的ADC值低于正常肌肉,DWI产生的定量值有助于对疾病的纵向评估。但该技术对于肌病的研究目前存在的问题是缺乏标准化的成像技术、不同肌病的定量指标临界值以及可能存在磁化率伪影、运动伪影或涡流相关伪影,在未来的研究中可尝试进一步探索不同阶段肌病的标准化指标。同样,全身MRI虽能评估肌肉炎症的全身分布和程度,临床上已有初步应用,但扫描时间较长,应用范围尚不广泛。
大部分肌营养不良表现为肢带型,主要包括,假肥大型肌营养不良、面-肩-肱型肌、肢带型肌营养不良。该类疾病进展缓慢,最常见类型为假肥大型肌营养不良。MRI表现(图2)能有效地检测该类肌肉疾病的脂肪替代、肌肉肥大及水肿等特征。如在T1WI及T2WI脂肪替代呈现为不同程度高信号、肌纤维稀疏、纤细,但是肌肉体积呈整体假性肥大状态[26, 27]。T1 mapping可以定量肌肉内脂肪替代程度,表现为T1值增高、呈明显低信号。T2 mapping表现为水肿部分为高信号、T2值增高。除病变性质外,MRI可探究肌肉病变分布特点和进展趋势评价,提供肌病鉴别诊断的思路,为临床进一步治疗提供依据[26]。杜氏/贝氏肌营养不良发生脂肪浸润时,T1WI及T2WI序列上股薄肌、缝匠肌、长收肌和半腱肌常选择性保留,呈典型的“三叶草挂果征”(图2A、2B)[28, 29]。贝氏肌营养不良与杜氏肌营养不良病变分布相似,但程度轻且病程进展较缓慢[28]。面-肩-肱型肌营养不良症大部分为不对称受累,以股后肌群及股内收肌受累明显,小腿受累较轻微,比目鱼肌、腓肠肌内侧头和胫骨前肌较明显[27]。肢带型肌营养不良(limb-girdle type muscular dystrophy, LGMD)不同基因型肌肉受累分布不同,MRI可检测到分布不同从而提示分型:LGMD 2A型(图3)以大腿后部肌群和内侧肌群受累明显,小腿以腓肠肌内侧头明显[28];LGMD 2B型大腿肌肉以缝匠肌和股薄肌保留,小腿最严重为比目鱼肌;LGMD 2C~2F受累最严重的是大收肌,小腿主要以前部肌群受累为主[29];LGMD 2I臀大肌受累明显,小腿后部肌群受累明显[30]。




研究报道,肌营养不良患者肌肉炎症、水肿、肌肉损伤和细胞坏死会导致T2 mapping上T2值升高,并且随着脂肪浸润增加,T2值的变化轨迹与肌肉FF的变化轨迹密切相关,提示肌营养不良肌病中T2值的改变主要是由脂肪浸润驱动的[31]。这也提示我们,在评估肌病肌肉损伤时除了采用单一定量指标来表征疾病特征,更重要的是结合多指标联合来多维度地评估疾病状态,这亦是未来值得深入探讨的问题之一。此外,T2值升高是非特异性的,可能反映一种或多种生理病理改变;而MRS或Dixon序列获得的FF反映的仅是肌肉脂肪浸润[32],更具特异性。
先天性肌病是一组遗传肌肉疾病,患者有相似临床特征和特征性组织病理改变,主要分为四种类型:蛋白异常聚集性肌病(如杆状体肌病,肌球蛋白聚集性肌病)、轴空性肌病(如中央轴空肌病、多微轴空肌病)、核内移异常(如肌小管性肌病、中央核肌病)和肌纤维大小异常(如先天性肌纤维大小不均)[33]。患者通常全身肌无力,以躯干肌和近端肌肉受累明显。有研究[34]提示,MRI图像上肌肉脂肪化以臀大肌、股直肌外的股四头肌脂肪化程度最重,长收肌、股直肌和股薄肌相对保留,这些改变特点不同于肌营养不良和肌炎。先天性肌病MRI表现最明显的特点是弥漫性对称性的肌肉萎缩,肌肉间隙及皮下脂肪堆积。大腿肌肉无肥大是不同类型先天性肌病共同特点。先天性肌病不同基因型受累模式不同,根据不同的影像表型特点可以一定程度上提示其基因型[35],如:PYR1基因型患者臀大肌受累最明显,大收肌比内收肌受累明显,股外侧肌相对股直肌明显。与之不同的是,SEPN1突变的患者在大腿水平上,选择性地累及缝匠肌、内收肌和股二头肌,而相对保留股四头肌、半膜肌和半腱肌的影响小于其他肌肉[36]。BIN1基因相关的先天性肌病大腿肌肉脂肪化程度较轻,DNM2相关的先天性肌病大腿肌肉的长收肌、半膜肌、股直肌、股二头肌、股中间肌选择性受累,而大收肌、股薄肌、缝匠肌、半腱肌、股外侧肌和股内侧肌受累较轻[34, 37, 38]。VI胶原蛋白疾病脂肪浸润在MRI T2WI序列上主要表现为股外侧肌外缘高信号而肌肉中心呈相对较低信号,即“三明治征”(图4),而股直肌脂肪浸润在中央,呈中间高信号、周边等信号,呈现为“靶征”[39]。


肢带型线粒体肌病早期主要累及躯体肌肉及四肢近端肌肉[40],而不伴神经系统受累,因而与肌营养不良鉴别困难;晚期可累及远端肌肉及呼吸肌,所以晚期常见呼吸困难。
四肢远端无力肌病常见于远端肌病、肌原纤维病及强直性肌营养不良。
远端肌病最常见的临床特点为手无力、下肢远端肌无力或者两者皆有,其分类较多,目前临床及病理研究发现有一大部分远端肌病主要是小腿前群肌肉受累,而有一小部分受累肌肉主要是手部及(或)腓肠肌受累[37],MRI可根据这一分布特点进行鉴别诊断。
肌原纤维疾病以远端肌肉受累为主。据报道[41],肌原纤维病患者下肢肌肉MRI影像表现为明显不均匀性脂肪变和水肿,脂肪变分布主要以大腿的半腱肌、臀大肌、缝匠肌明显,小腿病变进展特点是早期腓骨肌受累,逐渐累及胫骨肌及腓肠肌。大小腿水肿改变最明显的部位分别是股内侧肌和比目鱼肌。
下肢近端和上肢远端无力型主要包括散发性型包涵体肌炎。散发性型包涵体肌炎病理改变主要是脂肪替代和萎缩。该疾病较典型影像表现是T1WI上呈现“波状纤维征象”(股中间肌和股外侧肌之间的波状纤维)[43, 44, 45],病变主要分布在指屈肌及腓肠肌内侧头,股四头肌[44]。
上肢近端和下肢远端无力型又称为肩腓型肌病,其病变分布范围主要是肩胛周围肌及小腿前群肌肉,该类疾病主要包括Emery-Dreifuss肌营养不良(Emery-Dreifuss muscular dystrophy, EDMD)、肩腓综合征与面肩肱型肌营养不良。
EDMD临床特征是肩胛骨-肱骨-腹肌萎缩和虚弱、脊柱僵硬的多关节挛缩和具有传导缺陷的心肌病,与编码核包膜蛋白质基因的结构/功能缺陷有关。有研究[46]表明,肌肉MRI上EDMD不同亚型的受累模式不同,如1型和2型肠患者均有椎旁肌、半膜肌、半腱肌及腓肠肌受累,而与EDMD2型相比,EDMD1型腓肠肌受累更明显。一项研究[47]提示EDMD2腓肠肌内侧头受累,但外侧头不受累。PINTO MJ等[48]研究报道了其他类型的肌营养不良患者在发生脂肪替代和肌肉萎缩之前的早期阶段有水肿样改变,但这种改变在EDMD患者早期阶段却未见报道。因此,未来尚需进一步结合多模态MRI技术来探究EDMD早期肌肉病理的特异性特征和动态变化。
眼睑下垂和眼外肌无力型类肌病因缺乏明显的症状而容易出现诊断错误,其诊断应结合近端、远端或眼外肌肉无力的症状以及家族史或多系统性疾病的证据,对潜在的肌病进行临床评估[3]。眼睑下垂伴随眼外肌无力,常见于眼咽肌营养不良、线粒体肌病。眼睑下垂不伴随眼外肌无力,常见于强直性肌营养不良,先天性肌病及肌原纤维肌病。然而,目前针对该类疾病的MRI证据缺乏,需要根据临床需求进一步进行影像学特征研究。
综上所述,肌病种类繁多,患者常以某一部位肌肉无力就诊,MRI能多参数、多平面成像,可重复、无创地对肌肉病变的结构、分布范围和主要病理特征进行影像可视化和精准量化。虽然肌病大部分为罕见类型,多为个案报道,但根据肌肉受累部位及其影像变化的特异性与异质性,MRI可对肌病的下一步病理取样、基因诊断以及针对性康复治疗提供指导方向,将为肌病的临床诊断、鉴别诊断、精准量化评估和动态疗效评价提供新选择,为临床肌病的深入研究提供更多参考方向。此外,MRI新技术正逐步发展,但如mapping、DTI等技术在各类肌病中的临床应用并不广泛,部分肌病尚未开展MRI定量新技术的研究,可能与部分技术难度高、耗时长且需要特殊后处理有关,同时临床医生对新技术的了解并不深入。因此,未来需要优化肌肉MRI新技术,提升成像速度、简化后处理方法,加强影像医生和临床医生的沟通和知识互补,充分发挥MRI新技术和多指标联合定量评价的优势,以辅助临床诊断及疗效评估。MRI新技术的发展对肌病的早期筛查与精准评估具有重要意义,未来,我们期待更加完善的肌肉MRI技术,为肌病的鉴别诊断、精准量化评估和动态疗效评价提供新选择。
National Natural Science Foundation of China (No. 81901712); Key Research and Development Projects of Sichuan Provincial Science and Technology Plan (No. 2021YFS0175).
徐婷, 郭应坤, 许华燕, 等. 磁共振成像在肌病中的临床应用研究进展[J]. 磁共振成像, 2023, 14(7): 192-196, 202.
XU T, GUO Y K, XU H Y, et al. Progressions in clinical application of magnetic resonance imaging in myopathy[J]. Chin J Magn Reson Imaging, 2023, 14(7): 192-196, 202.
全体作者均声明无利益冲突。





















