
版权归中华医学会所有。
未经授权,不得转载、摘编本刊文章,不得使用本刊的版式设计。
除非特别声明,本刊刊出的所有文章不代表中华医学会和本刊编委会的观点。
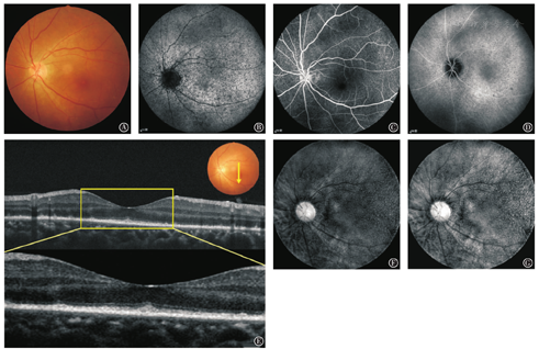
患者,女,39岁,因"左眼视物模糊2周"于2014年7月15日来我院眼科中心就诊。最佳矫正视力(BCVA):右眼0.8,左眼0.3。右眼眼压(IOP)14 mmHg(1 mmHg=0.133 kPa),左眼13 mmHg。双眼外观正常,结膜无充血水肿,角膜透明,前房中等深度,房水清,晶状体密度轻度增高,玻璃体轻度混浊。右眼眼底未见明显异常,左眼眼底视盘边清色正,C/D约0.3,动静脉走行正常,黄斑区反光增强,色素紊乱。眼底彩照示左眼黄斑区散在分布小团块样黄色病灶(见图1A)。眼底自发荧光(autofluorescence,AF,波长为830 nm)示:后极部见弥漫分布点状低荧光(见图1B)。眼底荧光造影(FFA)见后极部弥漫分布小点状低荧光,对应吲哚菁绿造影(ICGA)处亦可见小点状低荧光灶(见图1C-D)。光学相干断层扫描(OCT)示视网膜色素上皮(RPE)层与外层光感受器层之间可见多个小丘样高反射信号物质堆积,同时可见感受器内外节层信号紊乱,部分中断,外界膜完整(见图1E)。多光谱眼底成像(multispectral stratified imaging,MSI,波长在660~850 nm之间)在FFA所示病灶对应处均显示为点状高反射信号区域(见图1F-G)。诊断:视网膜色素上皮炎。入院后完善相关检查,全身炎症及病毒感染指标未见明显异常,给予改善微循环、营养等对症支持治疗。治疗后1个月复诊,左眼视力0.6,OCT示视网膜色素上皮(RPE)层与外层光感受器层之间多个小丘样高反射信号物质堆积已完全消退(见图2A),FFA和ICGA上的病灶范围也较前缩小(见图2B-C)。但MSI仍表现为全视网膜点状高信号病灶,较之前无明显变化(见图2D-E)。


A,眼底彩照示:黄斑区反光增强,色素紊乱;B,眼底自发荧光示:视网膜后极部弥漫点状低荧光区域;C,FFA示:全程可见后极部弥漫分布低荧光点状区域;D,ICGA示:黄斑中心凹处高反射团块影,RPE层信号不连续;E,OCT示:RPE层与外层光感受器层之间可见多个小丘样高反射信号物质堆积,同时可见IS/OS层信号紊乱,外界膜完整;F-G,多光谱眼底成像(MSI)示(波长=660、810 nm)FFA对应处显示为点状高反射区域


A,OCT示黄斑区视网膜各层结构清晰,中心凹处的团块状物质已全部消失;B,FFA示后极部弥漫点状低荧光;C,ICGA示FFA低荧光对应处可见点状低荧光区,范围及病灶大小较治疗前缩小;D-E,多光谱眼底成像(MSI)示(波长=660、810 nm)FFA对应处仍显示为点状高反射病灶
急性视网膜色素上皮炎是属于较少见且有一定自限性的一种眼底疾病,由1972年Krill和Deutman[1]首次报道。该病多发于中青年人群,发病无性别差异,常为单眼发病,偶有双眼发病[2,3]。一般认为,视网膜色素上皮层为该病的主要病变范围[4,5]。临床表现为视力急剧下降,但视力下降程度不等,目前主要依靠OCT的典型特征诊断,表现为黄斑中心凹处高反射团块物质堆积,IS/OS模糊中断,且需排除全身其他炎症性疾病[5,6]。本例中OCT显示RPE层与外层光感受器层之间可见多个小丘样高反射信号物质堆积,同时可见IS/OS层信号紊乱,外界膜完整,但本病例病变累及范围不仅仅局限于黄斑中心凹,而是弥漫分布于整个后极部,表现为整个视网膜色素上皮层的弥漫性炎症,较为少见。
急性视网膜色素上皮炎的发病机制目前尚不明确,且一般不需特殊治疗,因此只有明确诊断才能避免一些不必要的治疗,但若合并全身病毒感染,则需抗病毒治疗。急性视网膜色素上皮炎需与急性后极部多灶性鳞状色素上皮病变、中心性浆液性视网膜脉络膜病变(CSC)相鉴别。急性后极部多灶性鳞状色素上皮病变的FFA检查表现为多发性点状高荧光,而急性视网膜色素上皮炎一般只累及黄斑区[7]。CSC的黄斑OCT常表现为较大范围的视网膜神经上皮脱离,FFA上常显示为典型的墨渍样或喷出样渗漏[8]。这些特点都易于将急性视网膜色素上皮炎与这些疾病区别开来。
多光谱眼底分层成像系统(retinal health assessment,RHA)利用多光谱成像技术可以对深层视网膜和脉络膜直接成像。它是利用多个单色LED光源分别投射入眼底不同深度的组织,采集因各组织吸收光谱的差异而反射的图像,以冠状面图像的方式呈现出来[9]。相对于传统的眼底成像方式如眼底照相机、共焦激光扫描检眼镜等,RHA具有超宽的光谱范围(520~850 nm),可以对视网膜进行逐层、正面成像,第一次真正实现了对深层视网膜、脉络膜的非侵入直接成像。本例患者在660~850 nm波长中均可见点状区域反光增强,且在波长为810 nm时这些病灶反光最强,但在520~620 nm波长范围内并未见明显异常反光。这说明病变发生于深层视网膜——RPE层或脉络膜层,主要是RPE层,并未累及视网膜内层[9]。MSI的结果与OCT的影像表现相对应,而且可从冠状面直观地表现出病灶大小和分布范围。同时,本例患者在随访过程中OCT、FFA及ICGA都已显示病灶消退,但在MSI上仍表现为视网膜弥漫分布的高反射点状病灶,说明急性视网膜色素上皮炎并未痊愈,病灶仍未消退。因此我们认为MSI相对FFA、OCT等影像检查在评价急性视网膜色素上皮炎发展及预后方面相对更为敏感,特别是在后期随访观察时具有更加快速、清晰、全面的优势。





















