
版权归中华医学会所有。
未经授权,不得转载、摘编本刊文章,不得使用本刊的版式设计。
除非特别声明,本刊刊出的所有文章不代表中华医学会和本刊编委会的观点。
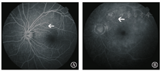
患者,女,33岁,因"左眼视物不清10 d"于2014年12月来我院就诊,就诊前15 d有上呼吸道感染病史,无用药史。眼科检查,右眼最佳矫正视力(BCVA) 1.0,左眼BCVA 0.4,右眼前后节未见异常,左眼前节正常,眼底黄斑区中心凹反光消失,黄斑区颞侧可见类圆形的灰白色病灶(见图1A)。行眼底荧光素血管造影(FFA)检查、视野及光学相干断层扫描(OCT)检查。FFA检查显示:黄斑区斑点状高荧光(见图2A),晚期后极部视网膜荧光着染(见图2B),OCT显示黄斑区外界膜层光带信号强度不均匀,局部显示模糊甚至缺损,椭圆体区出现强度减弱和部分区域断裂、消失的现象(见图3A),视野显示不规则视野缺损(见图4A)。初步诊断:左眼多发性一过性白点综合征(multiple evanescent white dot syndrome, MEWDS)。给予阿昔洛韦0.2 g(4次/d)及肌苷片0.4 g(3次/d)、维生素C 100 mg(3次/d)、三维B片1片(3次/d)等药物口服治疗,在1个月后停用药物。随诊3个月时,左眼视力0.6,眼底黄斑区中心凹反射弥散,复查视野显示中心视野缺损(见图4B),OCT显示外界膜层光带信号局部显示模糊,椭圆体区仍有部分区域断裂和消失的现象(见图3B)。6个月复查时,视力1.0,眼底、OCT及视野恢复正常(见图1B、图3C、图4C)。


A,首诊时左眼后极部视网膜有类圆形的灰白色病灶(白色箭头所指),病灶间隔视网膜色泽正常,视盘边界清晰,黄斑区中心凹反光点弥散;B,随诊6个月后左眼眼底正常


A,FFA显示后极部视网膜散在多发点状高荧光(白色箭头所指);B,FFA晚期显示后极部视网膜荧光着染(白色箭头所指)


A,首诊时OCT检查显示外界膜层光带信号强度不均匀,局部显示模糊甚至缺损,椭圆体区出现强度减弱和部分区域断裂、消失的现象,视网膜色素上皮层则没有显著的结构改变;B, 3个月后患者复查OCT显示外界膜层光带信号明显,但仍有局部显示模糊,椭圆体区也逐渐清晰(白色箭头所指),但仍有部分区域断裂和消失的现象;C,6个月后复查OCT显示正常黄斑区结构,病变完全恢复


A,首诊时视野检查显示不规则视野缺损;B, 3个月后复查视野显示明显好转,中心视野缺损;C, 6个月后复查视野显示正常
多发性一过性白点综合征多见于既往身体健康的中青年女性,单眼发病为主。发病前常有流感样症状或上呼吸道感染病史,发病初期表现为视力轻度至中度下降、视物模糊、幻视或旁中心暗点[1,2]。MEWDS的FFA早期后极部至中周部视网膜外层白点病灶可呈现圆形或环形的强荧光斑,中后期病灶边缘由于荧光渗漏而染色[3]。OCT主要表现为眼底后极部神经上皮层内的椭圆体区(原来称为IS/OS)光带明显紊乱、局部变薄或缺失,伴反光减弱;或者是病灶处椭圆体光带局部增宽、反光减弱;外界膜反光带不连续或模糊不清;而神经上皮层及色素上皮层-Bruch膜一脉络膜毛细血管复合光带完全正常[4]。视野一般表现为生理盲点扩大,单侧颞侧视野缺损,也可以表现为中心暗点等。本例患者的临床表现典型,符合MEWDS的诊断标准[5]。
由于多发性一过性白点综合征与急性区域性隐匿性外层视网膜病变(acute zonal occult outer retinopathy, AZOOR)、急性特发性生理盲点扩大综合征、急性黄斑神经视网膜病变、拟组织胞浆菌病、点状内层脉络膜病变及多灶性脉络膜炎和全葡萄膜炎等疾病具有相似的发病群体、视野缺损和视网膜电图改变,故而统称为AZOOR症候群[6]。有人持不同意见,Jampol和Becker[7]就认为MEWDS和AZOOR不是一类疾病,提出"自身免疫/炎症性遗传假说",认为AZOOR症候群中的每种疾病都是一个独立的临床整体。MEWDS与AZOOR表现极为相似,但是MEWDS黄斑区呈橘黄色颗粒样改变且伴随视野及ERG的逐渐恢复,而AZOOR黄斑区缺乏类似改变且为持续性视野缺损[8]。
本病属于自限性疾病,可在2~4周内痊愈,患者一般预后较好,偶有患者遗留有较长时间的生理盲点扩大或视物变形,极少数患者会复发,或者出现脉络膜新生血管[1,2]。本例患者恢复时间较长,但最终预后好,视力恢复正常,视物无变形、变色等症状。





















