
版权归中华医学会所有。
未经授权,不得转载、摘编本刊文章,不得使用本刊的版式设计。
除非特别声明,本刊刊出的所有文章不代表中华医学会和本刊编委会的观点。
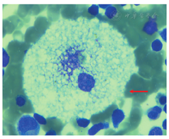
病例1:患儿,男,3岁,因"发现肝脾肿大10个月"入院,无明显不适,发育正常。家族中无类似患者。入院检查:神志清,双肺呼吸音粗,腹软不胀,肝肋下8 cm,脾肋下16 cm,过腹正中线1.5 cm,已入盆;腹部B超提示右叶最大斜径11.4 cm;谷丙转氨酶(Alanine transaminase,ALT)及谷草转氨酶(Aspartate aminotransferase,AST)均升高,分别为71、89 U/L,总胆固醇正常;胸部CT结果显示两下肺渗出;中枢神经系统未见异常;骨髓细胞学检查见典型泡沫细胞,提示尼曼-匹克骨髓象(见图1),根据临床体征,诊断为尼曼-匹克病(Niemann-Pick disease,NPD)B型。眼科检查:患儿固视良好,视力检查欠合作,检影测得屈光度分别为:右眼+2.50-1.50×175,左眼:+2.25-1.00×175。眼前节正常,玻璃体透明,仅眼底检查发现双眼黄斑晕样改变(见图2A-B)。通过代谢类疾病相关基因检测筛查板进行基因测序及疾病数据库分析,报告提示患者SMPD1基因中chr11-6415439处第6外显子发生纯合突变,父母基因检测中发现该位点的杂合突变。




病例2:患儿,女,1岁5个月,因"发现腹部肿大1年"入院。入院检查:神志清,腹部触诊肝脏肋下6 cm,脾脏肋下3 cm,脊柱及四肢无畸形,活动自如,发育正常。ALT及AST显著升高,分别为289、367 U/L,除甘油三酯(3.51 mmol/L)升高外,其余血脂指标均正常。神经检查及胸片检查阴性。骨髓细胞学检查见典型泡沫细胞,提示尼曼-匹克骨髓象,根据临床体征,诊断为NPD B型。患儿视力检查欠合作,检影测得双眼屈光度为:右眼+3.25-1.50×170,左眼+3.50-1.00×175。眼前段检查无特殊,玻璃体腔清,眼底照相检查发现双眼樱桃红斑(见图2C-D)。相关基因检测显示SMPD1基因发生纯合突变,父母基因检测中发现该位点的杂合突变。
NPD是一种常染色体隐性遗传性代谢紊乱疾病,属于溶酶体贮积病的一种,为细胞溶酶体中神经鞘磷脂酶(acid sphingomyelinase,ASM)缺乏或活性低下,导致神经鞘磷脂代谢障碍的先天性糖脂代谢紊乱疾病。NPD与特定基因突变相关,常发生于儿童,尤以婴幼期发病为主,分为A、B、C、D等4型。A型和B型是因编码ASM的SMPD1基因突变导致溶酶体中ASM缺乏,C型和D型伴有NPC基因缺陷,引起胆固醇从溶酶体到细胞溶质的转运障碍[1,2]。神经鞘磷脂异常蓄积在神经系统、网状内皮系统及其他组织细胞中,出现泡沫细胞(单核-巨噬细胞及神经组织细胞内因鞘磷脂沉积,形成体积较大、形态不规则的异常泡沫样细胞即尼曼-匹克细胞,常分布于切片尾部)。NPD A型大多合并眼前节(角膜、晶状体)异常[3],而NPD B型为慢性非神经型,症状轻,预后佳,眼部多以黄斑异常为主,全身肝脾肿大明显,少有中枢神经系统受累,多可存活至成人[4]。其临床特征包括肝脾肿大,共济失调,肌肉与运动变性,失明等。国内临床确诊NPD B型主要依据儿童期起病,脏器进行性肿大、黄斑异常等临床症状,骨髓检查、肝脾或淋巴结活检可证实存在尼曼-匹克细胞,基因分析可确诊[5,6,7,8]。全球NPD的新生儿发病率为0.004‰~0.006‰[9],亚洲人群发病率最低,目前中国鲜有其发病率的具体统计[10]。
生理结构中,视网膜的神经节细胞(除黄斑区外)为均一单细胞层,黄斑区视网膜神经节细胞形态为多层叠加,而黄斑中心凹处视网膜神经节细胞缺失;当视网膜神经节细胞内脂质不断积累,细胞膨胀且透明度降低,环绕在中心凹周围的异常多层神经节细胞颜色灰暗,而中心凹色泽无变化,这种不均匀的着色对比导致临床黄斑异常的表现。眼底不透明视网膜组织环(神经节细胞内脂质异常累积所致)的总直径是中心凹直径的3倍以上称为樱桃红斑(cherry-red maculae),小于3倍则称为黄斑晕(macular halos)。然而,黄斑异常并不是神经变性的指征,脂质在视网膜的蓄积是渐进的过程,随着神经节细胞死亡和胶质增生,黄斑异常逐渐消退,之后,视觉功能丧失才逐渐显现[11]。
近期研究报道,120多个突变已在SMPD1基因导致的NPB中找到,但这些突变中没有热点位点存在[4,10,12]。尽管如此,McGovern等[13]学者认为GAA基因测序发现的一种新突变(△R608突变)与NPD B型相关,且这种突变在等位基因变异中占12%,但黄斑异常在非△R608突变基因型患者中更为常见。我们对于不明原因的肝脾肿大患儿,应详细了解患儿家族遗传疾病史;骨髓细胞学检查阳性者应进一步行ASM活性检测或组织活检以明确诊断,然而明确具体分型最可靠的方法仍是基因分析,目前最新高通量测序技术对临床明确诊断有很大帮助[14,15]。鞘磷脂酶的检查对NPD B型的确诊具有特异性,张为民等[16]认为临床通过酶活性测定白细胞中鞘磷脂酶含量,可以准确进行病例诊断及产前诊断。
目前临床上NPD的治疗尚无特效药物,以对症治疗为主,如肺部病变低氧血症者吸氧,肝功能损害者保肝,合并眼底病变者应用眼底营养药物治疗等。目前相关研究如ASM的替代治疗,促进ASM活性及干扰ASM合成等临床及实验室研究多有实质进展[1,17]。Kirkegaard等[18]认为对于存在ASM缺乏或者活性减低的A型、B型NPD患者,给予热休克蛋白70治疗效果满意。国内外也有引用干细胞移植、骨髓移植、羊膜移植、基因治疗的相关报道[2,4,19,20,21],但临床应用仍然有限。
总之,NPD是一种威胁生命的疾病,其合并的黄斑异常对患儿视力有不同程度影响,甚至致盲,然而黄斑晕/黄斑樱桃红点并不是神经变性的绝对指标。因NPD发病隐匿,治疗方法有限,而准确的产前诊断才是重中之重。我们仅对2例B型NPD患者合并黄斑异常的病例进行初步研究,关于NPD合并眼部病变的特点及机制还有待深入研究。
本研究无任何利益冲突





















