
版权归中华医学会所有。
未经授权,不得转载、摘编本刊文章,不得使用本刊的版式设计。
除非特别声明,本刊刊出的所有文章不代表中华医学会和本刊编委会的观点。
患者,女,57岁,因"右眼视物模糊2月余"于2016年4月至我院就诊。既往有2型糖尿病病史23年,血糖控制欠佳。眼部检查:最佳矫正视力(Snellen):右眼手动/眼前,左眼0.12;眼压:右眼14.0 mmHg(1 mmHg=0.133 kPa),左眼12.8 mmHg。裂隙灯显微镜示右眼角膜透明,前房深清,晶状体混浊,玻璃体血性混浊,眼底窥不入;左眼角膜透明,前房深清,晶状体混浊,玻璃体絮状混浊,眼底可见视盘色淡红,界清,视网膜散在出血点。眼部B超检查显示右眼玻璃体混浊,左眼玻璃体轻度混浊。因患者血糖控制不佳未予手术,给予云南白药口服等对症处理。
半个月后复查时右眼玻璃体积血无明显改善,故决定予以手术。右眼白内障超声乳化吸除,切除玻璃体积血,术中见视盘前及血管弓处增生膜牵拉视网膜隆起,去除增生膜,并全视网膜激光光凝,注入硅油。术后第1天早上检查,右眼视力指数/眼前,眼压18.7 mmHg,角膜透明,房水清,无晶状体,玻璃体腔硅油填充,视盘色淡红,界清,视网膜布满激光斑,下午查房见右眼角膜混浊,前房下方可见约1 mm积脓,房水闪辉(+++),囊膜前可见纤维素样渗出膜,眼底窥不清(见图1A)。此时考虑患者术后无菌性炎症可能性大,但是不能排除感染性眼内炎。予抽取前房液及硅油做涂片及培养,全身及局部抗感染、抗炎治疗,甲基强的松龙针30 mg球旁注射。术后第3天,细菌培养阴性,予停用全身抗生素,再次予右眼球旁注射甲基强的松龙针30 mg。术后第5天,角膜水肿改善,前房积脓完全吸收,囊膜上的渗出膜亦吸收。


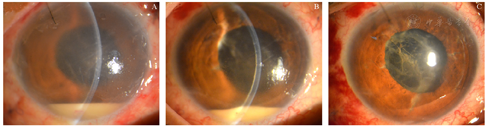
A:术后第1天,角膜重度水肿,前房下方积脓;B:术后第40天,角膜轻度水肿,前房下方积脓;C:术后第43天,角膜透明,前房清深
A: One day after surgery, showing the severe corneal edema and hypopyon. B: Forty days after surgery, showing the mild corneal edema and hypopyon. C: Forty-three days after surgery, the cornea was clear and hypopyon was absorbed.
术后第40天,患者因"右眼视物不清1天"就诊。眼部检查:右眼最佳矫正视力手动/眼前,眼压15.6 mmHg。裂隙灯显微镜示:右眼角膜水肿,前房可见约1 mm积脓,眼底窥不清(见图1B)。随机血糖16.6 mmol/L。患者自述最近血糖控制不佳,波动较大。予妥布霉素地塞米松滴眼液频点眼,球旁注射甲基强的松龙针30 mg。嘱控制血糖,3 d后前房积脓消失(见图1C),测空腹血糖4.9 mmol/L。
术后第3个月时行右眼硅油取出并植入人工晶状体,术后复诊,右眼最佳矫正视力0.2,角膜透明,前房清,人工晶状体在位。
玻璃体切割术后感染性眼内炎是一种发生率低但后果严重的并发症。据文献报道玻璃体切割术后感染性眼内炎发生率仅为0.02%~0.11%,而玻璃体切割并硅油填充术后发生感染性眼内炎则更加少见[1,2]。另外,白内障术后发生感染性眼内炎的发生率也十分低,仅为0.07%[3]。最近研究表明,玻璃体切割术联合白内障手术术后眼内炎的发生率增加至0.22%[4]。
在玻璃体切割术后硅油眼出现前房积脓时,我们很难鉴别其是无菌性炎症反应或者是感染性眼内炎。目前仅有3篇文献报道了玻璃体切割并硅油填充眼术后发生明确的感染性眼内炎,其玻璃体腔液或者房水细菌培养阳性[5,6,7]。Johnson等[8]报道了2例患者在玻璃体切割并眼内激光合并硅油填充术后发生了前房积脓,玻璃体腔无渗出,术者根据临床经验判断为无菌性眼内炎,并没有进行玻璃腔液或者房水培养,局部使用抗生素及激素频点眼后并严密观察前房积脓情况,在使用激素3 d后前房积脓消失,这更支持该2例患者术后前房积脓为无菌性炎症。本例患者前房及玻璃体腔液涂片和培养均为阴性,仍不能排除感染性眼内炎,但在加强局部抗炎治疗后前房积脓消失,炎症减退,证实其为无菌性眼内炎。
玻璃体切割联合白内障超声乳化手术后硅油填充眼发生无菌性眼内炎可能跟硅油中的杂质,过于密集的全视网膜激光光凝及白内障操作技术有关[9,10]。另外,糖尿病患者的高血糖水平导致毛细血管内皮水肿,血管壁阻力降低及脆性增加,从而破坏血-眼屏障,使炎症反应加重[11]。本例患者使用的硅油与其他患者均相同,而其他患者均未出现术后前房积脓情况,故暂不考虑硅油问题。本例患者术中行白内障超声乳化时操作幅度偏大,同时联合全视网膜激光光凝,且术前术后血糖均控制欠佳,均可导致术后炎症反应过重,从而引起前房积脓。由于第1次前房积脓已经证实为无菌性眼内炎,其术后40 d再次发生积脓时,角膜水肿较第1次轻,且血糖依然偏高,首先考虑由于血糖控制不佳引起的无菌性眼内炎,故没有抽取前房液进行病原学检查。予局部激素频繁点眼联合球旁注射甲基强的松龙针,3 d后前房积脓消失,证实其为无菌性眼内炎。随诊1年视力预后良好。
综上所述,玻璃体切割术后硅油填充眼发生复发性无菌性眼内炎十分少见,即使经验丰富的眼科医师仍需要排除感染性眼内炎可能,所以前房及玻璃体腔液的涂片及培养是十分必要的。诊断明确后及时加强局部抗炎治疗可以改善患者预后。
本研究无任何利益冲突





















