
版权归中华医学会所有。
未经授权,不得转载、摘编本刊文章,不得使用本刊的版式设计。
除非特别声明,本刊刊出的所有文章不代表中华医学会和本刊编委会的观点。
患者,女,77岁。因"左颜面及眼部疼痛10 d,发热3 d"在2018年4月4日于暨南大学附属第一医院就诊。患者10 d前无明显诱因出现左眼睑红肿伴疼痛及左侧头痛,未予治疗;3 d前患者左侧额部、上睑和鼻背部出现成簇疱疹,疱疹未越过鼻中线,伴寒战发热、恶心呕吐,呕吐物为咖啡色液体,门诊以"发热查因"收入神经内科。经对症治疗、生命体征平稳后,患者诉入院后左眼睁眼不能,于4月10日请眼科医师会诊。眼部检查:左眼视力指数/20 cm,左眼上睑下垂,眼球各方位运动受限,结膜重度充血(见图1),角膜后弹力层皱褶,房水轻混,KP(+),瞳孔散大,瞳孔直径约5 mm,对光反射消失,考虑由带状疱疹性眼炎导致动眼神经麻痹,于4月13日转入眼科治疗。患者既往有糖尿病史8年、慢性肾脏病15年、帕金森综合征3年、维持性血液透析1年余。查体:体温38.4 ℃;脉搏73次/分;呼吸15次/分;血压154/65 mmHg(1 mmHg=0.133 kPa)。半卧位,精神萎靡,一般状态差。眼部检查:右眼视力0.12,左眼视力指数/20 cm,右眼眼压14 mmHg,左眼眼压21 mmHg,左眼颜面部水泡较入院前消退,鼻尖部水泡破裂已结痂。左眼上下眼睑肿胀、压痛、睁眼困难(见图2),眼球固定,各方向运动受限(见图3),球结膜重度充血、水肿,角膜后弹力层皱褶,房水轻混,KP(+),瞳孔散大6 mm,直接、间接对光反射消失,人工晶状体位正。右眼睑无水肿,结膜无充血,角膜透明,瞳孔圆,瞳孔直径3.5 mm,瞳孔对光反射存在。实验室检查:血常规:白细胞3.48×109/L(4×109~10×109),中性粒细胞百份比71.8%(50%~70%),血红蛋白104 g/L(110~150 g/L);血生化:尿素18.57 mmol/L (2.9~7.1 mmol/L),肌酐784 μmol/L(44~133 μmol/L),葡萄糖11.16 mmol/L (空腹<6.1 mmol/L);尿常规:尿蛋白0.3 g/L(<0.15 g/L)。影像学检查:眼眶+视神经核磁共振示:左眼内外直肌及视神经有炎症性改变(见图4)。临床初步诊断:带状疱疹性眼炎,眶尖综合征,高血压病2级(很高危),糖尿病性肾病,冠心病(慢性心力衰竭),帕金森综合征。治疗方法:全身用药:①激素治疗:地塞米松10 mg/d,静滴,1次/d;②抗病毒治疗:更昔洛韦35 mg/d,静滴,1次/d;③带状疱疹神经痛治疗:普瑞巴林胶囊25 mg,口服,1次/d。在使用激素全身治疗时,还应给予相应的补钾、护胃等处理。局部用药:①激素治疗:妥布霉素地塞米松滴眼液,3次/d;②抗病毒治疗:更昔洛韦眼用凝胶,3次/d;③降眼压:盐酸左布诺洛尔滴眼液与布林佐胺滴眼液,2次/d;④修复角膜:重组牛碱性成纤维细胞生长因子眼用凝胶,3次/d。冰袋物理降温。治疗1周后,患者体温恢复正常,诉眼部疼痛较前减轻,左眼视力0.04,眼压13 mmHg,睑周皮肤疱疹已结痂愈合,左眼可睁开2 mm(见图5),结膜充血(+),角膜水肿较前减轻,患者共住院14 d,病情好转出院,出院带药醋酸泼尼松片50 mg/d,晨起顿服,逐周减量;普瑞巴林胶囊,25 mg/d,每天1次口服;泛昔洛韦片,0.125 g/48 h,两天1次口服。患者出院3周后复诊,左眼视力0.06,眼压10 mmHg,左眼可睁开6 mm(见图6),结膜轻度充血,角膜透明,KP(-),房水清。


眼睑肿胀,球结膜重度充血、水肿,角膜后弹力层皱褶,房水轻混,KP(+),瞳孔散大5 mm,直接、间接对光反射消失,人工晶状体位正
Eyelid swelling, bulbous conjunctiva, severe congestion, edema, folding of the corneal posterior elastic layer, KP (+), pupil dilated 5 mm, direct and indirect light reflection disappears, IOL alignment.


左眼颜面部水泡较入院前消退,鼻尖部水泡破裂已结痂,重度上睑下垂
The blisters on the face have subsided compared to those before admission, the blisters on the nose tip have been scabbed, severe ptosis.




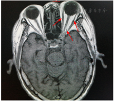
横断面平扫T2 FLAIR序列显示左侧内外直肌及视神经较对侧稍肿胀,其内不均匀信号(箭头所示),代表炎症性改变
The T2 FLAIR sequence of a cross-section plane scan shows that the left rectus muscle and optic nerve are slightly swollen compared to the contralateral side, and the internal uneven signal (arrow) indicates inflammatory changes.


左眼睑周皮肤疱疹已结痂,结膜轻度充血,可自行睁眼2 mm
The patient has scabbing of the skin around the left eyelid, conjunctiva is slightly congested, the eye could be opened 2 mm by the patient.


左眼眼睑水肿消退,结膜轻度充血,角膜透明,KP(-),可自行睁眼6 mm
The patient's left eyelid edema has subsided, conjunctiva is slightly congested, the cornea is transparent, KP (-), the eye could be opened 6 mm by the patient.
疱疹性眼病是水痘——带状疱疹病毒感染三叉神经眼支引起眼睑及眼球病变的疾病,儿童时期原发感染为水痘,极少引起眼部病变,病毒可在三叉神经节或其他神经内潜伏,当机体免疫功能低下或在其他因素影响下,病毒复活,再次引起感染,称为带状疱疹[1,2]。疱疹性眼炎可致眼部损害及视力障碍,主要引起角膜炎、葡萄膜炎、继发性青光眼、巩膜炎、白内障、眼球运动麻痹等症状[3,4]。
眶尖综合征(Orbital apex syndrome,OAS)是由于邻近眶上裂和视神经等部位的炎症、肿瘤和外伤损害视神经和经过眶上裂的神经、血管,而引起眶尖组织功能损伤的一系列临床表现的总称[5]。经眶上裂进入眼眶的脑神经有动眼神经(III)、滑车神经(IV)、外展神经(VI)、三叉神经第一支(V1)以及眼上、下静脉[6]。出现眶尖综合征时有以下临床表现:①视力下降或丧失,眼底检查发现视乳头充血,静脉扩张或视网膜水肿,也可以由于眼动脉的受压发生视网膜中央动脉闭塞,出现眼底相应改变;②眶压、眼压增高,这是由于眼上、下静脉回流受阻所致;③上睑下垂及眼球运动障碍,这是由于患侧第III、第IV、第VI对脑神经受压所致,严重者发生眼球固定,第III对脑神经受压还可以表现为瞳孔扩大;④眼部痛觉障碍表现为角膜反射迟钝或消失,眶上神经痛觉减弱或消失,这是三叉神经受压的结果[7]。
本例患者有带状疱疹感染病史;眼部检查出现视力障碍及眼眶神经不同程度的麻痹如上睑下垂、眼球各方向运动障碍、瞳孔散大;眼眶+视神经磁共振提示左侧内外直肌及视神经较对侧稍肿胀,其内可见高信号影;患者角膜内皮炎和前房炎症反应及视神经病变,导致视力下降。由此一系列疾病演变过程无法用单一神经受损解释,患者无外伤史,眼眶磁共振未见肿瘤,考虑患者可能为眼部疱疹病毒感染未及时就诊,使病毒侵犯神经,最后发展为眶尖综合征。
海绵窦位于眶上裂、眶尖后方,周围排列着动眼神经(II)、滑车神经(IV)、三叉神经第1支(V1)和三叉神经第2支(V2)。海绵窦附近病变根据其受损的部位及神经血管受损的程度可分为眶尖综合征、眶上裂综合征、海绵窦综合征这3种。因其位置邻近,3种综合征临床表现及其相似。但眶上裂综合征不引起视神经的损害。海绵窦综合征除了有眶尖综合征的表现外还累及三叉神经第2支(V2)和眼交感神经纤维[8]。患者左眼面部未受累,头颅磁共振未见海绵窦病变,因此排除海绵窦综合征。
此患者基础疾病较多,全身情况较差,在治疗用药方面需谨慎,现将治疗经验总结如下。全身用药:对于带状疱疹性眼炎所致眶尖综合征,目前尚未总结出最佳治疗方案,大多数病例报道均以全身抗病毒及类固醇激素治疗为主[9,10,11,12]。患者肾功能差,肌酐清除率为15 ml/min,在补液方面应注意出入量,对于有肾功能损害的药物,根据患者的肌酐清除率而定,严格控制用量。眼部用药:患者结膜充血、角膜水肿、角膜内皮皱褶、眼压增高,应给予控制炎症、感染、抗病毒、降眼压和修复角膜等对症治疗。治疗2周后,患者结膜充血、角膜水肿较前减轻,眼压下降。而且,患者有糖尿病、高血压、慢性肾脏病等基础疾病,因此糖、蛋白质、脂肪代谢紊乱,使机体免疫力降低,炎症难以控制,在感染期间应控制好血糖、血压、维持性血液透析,减轻容量负荷,积极防治慢性肾脏病5期(CKD5期)相关并发症。
综上所述,患者首诊神经内科因出现眼部症状转我科治疗,带状疱疹性眼炎引起眶尖综合征临床上非常罕见,眶尖处神经、血管密集,临床表现复杂多样,病因又多与颅内疾病相关联,眼科和神经科医师应根据其病因及眼部多条神经受累的表现,早诊断、早治疗,让患者更早、更好地恢复视功能。
本研究无任何利益冲突





















