
版权归中华医学会所有。
未经授权,不得转载、摘编本刊文章,不得使用本刊的版式设计。
除非特别声明,本刊刊出的所有文章不代表中华医学会和本刊编委会的观点。
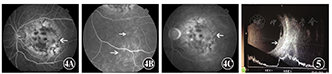
患者,女,42岁。2015年9月因左眼视物不清1个月于沧州市中心医院就诊,左侧颜面部可见血管瘤(图1)。眼科检查:视力右眼1.0,左眼0.1,右眼前后节未见异常,左眼鼻侧球结膜血管迂曲扩张,颞侧球结膜表面可见肿物,突出于眼表(图2),角膜透明,晶状体无明显混浊,玻璃体检查未见明显异常,眼底检查可见黄斑区类圆形橘黄色隆起,大小约为4个视盘直径(papillary diameter,PD)(图3)。颅脑CT未见异常;荧光素眼底血管造影(fundus fluorescein angiography,FFA)显示左眼静脉期黄斑区脉络膜高低荧光相间,病灶下方可见点片状高荧光,晚期黄斑区及其下方荧光素稍渗漏(图4);眼部B型超声检查显示左眼球壁局限性卵圆形隆起,突向玻璃体腔,表面光滑,内回声均匀,中等强度,其边缘可探及带状回声(图5);眼部彩色超声检查显示左眼颞侧靠近球壁可见一囊性结构,形态规则,其内呈现液性区,内透声可,彩色多普勒血流显像(color doppler flow imaging,CDFI)示其内未见血流信号,视盘颞侧可见一偏强回声,内部回声均匀,其内可见丰富血流信号,该处视网膜稍隆起,并可见一带状回声与之相连(图6);OCT显示黄斑区脉络膜及其上结构高度隆起,相应处视网膜神经上皮层浆液性脱离,层间水肿,视网膜色素上皮(retinal pigment epithelium,RPE)/脉络膜毛细血管光带不完整(图7)。诊断:斯特奇-韦伯综合征(Sturge-Weber syndrome,SWS)。






SWS是一种少见的先天性神经皮肤综合征,以累及软脑膜、颜面部三叉神经支配区及眼脉络膜的血管瘤为特征,发病率仅为0.002%[1]。SWS的主要特征为颅内血管瘤、沿三叉神经分布的面部毛细血管扩张、先天性青光眼及神经系统症状,出生后即可发病,中国报道其青光眼的发病率为30%~70%。本例患者未见青光眼体征。
SWS目前尚无统一的诊断标准,典型的临床表现包括颜面部血管瘤同时伴有癫痫、偏瘫或青光眼、眼球突出等。比较认可的诊断标准为面部、脉络膜及软脑膜3个部位同时存在2个及以上部位的血管瘤,如果3个部位均受累为完全型,累及2个部位则为不完全型[2]。Roach[3]曾对SWS进行分型,I型颜面部和软脑膜均有血管瘤,伴或不伴青光眼(又称经典型SWS);Ⅱ型仅有颜面部血管瘤,无颅内病变;Ⅲ型仅有软脑膜血管瘤,无颜面部血管瘤。SWS眼部的特征包括:(1)先天性或青年性青光眼,多位于颜面血管瘤的同侧。(2)眼部尚可见眶部血管瘤、眼外肌麻痹、斜视、高度屈光不正、眼球突出、结膜和巩膜毛细血管扩张、角膜缘血管网、虹膜血管瘤[4]。(3)颜面部血管瘤的同侧眼底色泽较暗,呈天鹅绒样反光,脉络膜血管迂曲、扩张、隆起,并可见圆形或类圆形粉红或暗红色大小不一的脉络膜血管瘤,一般不超过6 PD,多见于后极部。(4)晚期表现为视网膜变性、视网膜脱离、视盘水肿等[5]。SWS的全身特征包括:(1)颜面部皮肤沿三叉神经第一支或各支分布葡萄样紫红色血管瘤,上至一侧前额或头顶,下方可扩展至唇部,压之不褪色,可有半侧面部萎缩。(2)四肢及躯干皮肤、同侧脑及脑膜也可发生血管瘤及血管畸形。(3)常伴有癫痫、惊厥,对侧轻度偏瘫或痉挛性偏瘫等。本例患者有颜面部血管瘤,同时存在眼部脉络膜血管瘤,可以诊断该病,属于SWSⅡ型,同时患者存在球结膜血管扩张及结膜囊肿,继发视网膜脱离,符合该病表现。本例患者为成人,不伴有癫痫及偏瘫等其他全身体征。SWS目前尚无法根治,主要为对症处理。本例患者由于个人原因,未进行治疗,仍在随诊观察中。
近年来关于SWS病例报道较多,但多报道患者伴随的神经系统异常[1,6,7],伴随眼部症状的报道较少[8,9],本病例眼部症状典型,辅助检查全面,可为临床医师更好地认识和诊断SWS提供有用信息。





















