
通过介绍3例左心房食管瘘的诊治经过,结合文献回顾,总结左心房食管瘘的临床特征,并对其防治措施提出建议。
心房颤动射频消融术后1个月内患者3例,其中2例以发热、胸痛为主诉,初诊"急性心肌梗死"入院;1例患者因发热、吞咽困难以感染收入院。进一步完善左心房CT造影及头颅核磁共振成像检查,3例患者均可见纵隔积气、新发多发脑梗死,考虑诊断"左心房食管瘘"。2例患者早期行手术治疗,其中1例最终好转出院,1例死于感染中毒性休克和多脏器功能衰竭;1例患者在等待择期手术的过程中出现恶性心律失常而死亡。
通过PubMed数据库进行检索,首先以"atrial esophagus fistula"检索到病例报告、病例系列及回顾性分析共52篇,通过阅读标题及摘要筛选出相关文献36篇。后扩大检索范围,检索词包括"esophagus injury""atrial fibrillation""radiofrequency ablation""mechanical esophageal deviation""esophagus temperature monitoring",进一步检索左心房食管瘘防治相关文献。
左心房食管瘘是心房颤动导管消融术后罕见但致命的并发症。对该疾病的处理应以充分预防为主,积极救治当先。只有全面提高各级、各学科医师对此并发症的认识,加强交流合作,优化诊疗救治流程,方能改善患者的临床预后。
版权归中华医学会所有。
未经授权,不得转载、摘编本刊文章,不得使用本刊的版式设计。
除非特别声明,本刊刊出的所有文章不代表中华医学会和本刊编委会的观点。
导管消融是目前治疗心房颤动(以下简称房颤)的重要治疗方式之一,近年来维持快速增长的趋势。2018年中国大陆心律失常治疗注册数据显示,在过去的10年中,中国大陆心律失常的导管消融例数由每年54 559例增加至151 595例,其中房颤导管消融由每年7 308例增加至48 317例。伴随着科技的进步和技术的推广,导管消融的安全性也得到了越来越多医生的关注。左心房食管瘘(left atrial esophageal fistula,LAEF)是指房颤导管消融术中消融能量对左心房后壁和与其紧邻的食管造成严重损伤并进一步导致二者间形成瘘管,是一种罕见且致命的并发症。既往文献报道其发生率为0.01%~0.11%[1,2]。由于LAEF十分罕见,目前关于这种高度致命的并发症的临床特点及救治、预防策略尚缺乏深入的认识,因此我们就首都医科大学附属北京安贞医院心内科所遇到的LAEF病例的救治经验进行总结,以期提高术者及心内科医护人员对该疾病的认知与管理水平,加强围术期食管损伤的预防与早期识别,提高抢救存活率的同时降低LAEF的发生风险。
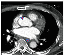
病例1患者男性,73岁。1个月前于我院行房颤导管消融术,主因"发作性胸痛伴寒战6 h"入院。患者6 h前于散步时突发胸骨后疼痛,为刺痛,吸气时加重,无放射痛,伴寒战、发热,体温最高37.5 ℃。既往有高脂血症病史10年,糖尿病史半年,陈旧性脑梗死半年。患者入院心电图示房颤心律,无明显ST-T改变,心肌损伤标志物未见明显异常,血常规示:白细胞计数(15.05×109 /L)及中性粒细胞(0.958)明显升高,D-二聚体2.102 mg/L。入院1.5 h后患者突发头晕、意识模糊,血压下降至75/50 mmHg(1 mmHg=0.133 kPa ),心电图示:Ⅲ度房室传导阻滞,下壁导联ST段弓背向上抬高,考虑"急性心肌梗死",予补液、多巴胺静脉泵入维持血流动力学稳定,以及阿司匹林、氯吡格雷负荷剂量后同时急诊行冠状动脉造影,但造影结果提示冠状动脉血管通畅,未见明显狭窄、痉挛及夹层等表现。入院第2天患者出现寒战、高热,体温升至39 ℃,伴呕吐咖啡色胃内容物300 ml,20 min后突发意识丧失。查体:血压90/60 mmHg,心率110次/min,中度昏迷,双侧瞳孔等大等圆,对光反射减弱。行头颅核磁共振成像检查显示:双侧大脑半球多发急性脑梗死。急查左心房肺静脉CT血管造影(computed tomography angiography,CTA ),结果显示:纵隔多发气体影,左心房后壁与左肺静脉交界处可见龛影(图1)。结合患者既往有房颤射频消融术病史,考虑"LAEF"可能,遂请心外科急诊行开胸探查并修补术,术中直视下可见左心房后壁5 cm×1 cm裂口,食管中段直径1.5 cm瘘管,术中行局部修补。手术过程顺利,术后继续予以生命支持及抗感染治疗,但患者仍持续处于深度昏迷状态,术后第5天由于感染中毒性休克及多脏器功能衰竭患者死亡。


病例2患者男性,52岁。1个月前于我院行房颤导管消融术,主因"寒战、高热2 d,突发胸痛4 h"入院。患者2 d前无明显诱因出现寒战,高热,体温最高40 ℃,自行口服退热药后缓解,4 h前患者突发胸骨后及心前区压榨性疼痛,范围手掌大小,伴四肢麻木、大汗,持续30 min无缓解,遂于当地医院急诊就诊,心电图示Ⅱ、Ⅲ、aVF、V2~V6导联ST段抬高0.5~1.3 mV。实验室检查:肌钙蛋白0.077 µg/L,白细胞计数(13.52×109/L)及中性粒细胞(0.930)升高,高敏C反应蛋白100.27 mg/L,考虑"急性心肌梗死",然而急诊行冠状动脉造影未见异常,术后复查心电图未见明显异常。术后6 h患者再发寒战、高热,体温39.1 ℃,予甲泼尼龙抗炎、莫西沙星抗感染治疗后体温恢复正常,术后18 h患者出现胸闷、心悸,伴大汗,伴意识淡漠,血压80/60 mmHg;心电图示:心房扑动,Ⅱ、Ⅲ、aVF及V2~V6导联ST段抬高。当晚通过网上求助联系我院主管医生,嘱继续禁食水、抗感染治疗,维持血流动力学稳定,同时迅速转往我院。次日凌晨4点半患者转入我院后紧急完善左心房CTA及头颅核磁共振成像检查,弥散加权成像(diffusion weighted imaging,DWI )序列示胼胝体体部、双侧小脑、双侧额颞顶枕叶多发片状新鲜脑梗死(图2)。左心房CTA示纵隔内仅见单个可疑气体影,但脾脏出现新发梗死灶(图3)。经多学科会诊后,考虑"左心房食管瘘"可能性大,急诊行开胸探查术,术中可见左房后壁近左肺静脉处2.0 cm×1.5 cm裂口,以牛心包补片修补裂口后继续探查,发现食管在左下肺静脉上缘附近与心包致密粘连。分离食管和心包后见食管壁及黏膜缺口长约3 cm,缝合黏膜及食管肌层。术后予呼吸机辅助通气治疗,16 h后恢复意识,术后第2天拔除气管插管。患者血培养示:以革兰氏阳性菌为主的混合感染,予亚胺培南联合左奥硝唑抗感染后未再出现寒战、发热。术后第10天复查食管造影,口服造影剂后见食管中下段局部管壁不规则,管壁尚柔软,管腔通畅,未见造影剂外漏。遂逐步恢复患者自主进食。术后第26天患者康复出院,未遗留神经系统症状。




病例3患者女性,73岁。7 d前于外院行房颤射频消融术,主因"吞咽困难伴发热2 d"转入我院。患者2 d前无明显诱因出现吞咽困难,伴吞咽异物感,发热,体温最高37.8 ℃,于当地医院就诊,血常规示白细胞计数(11.73×109/L)及中性粒细胞(0.723)轻度升高,予头孢哌酮舒巴坦钠抗感染治疗后症状无明显缓解。14 h前上述症状加重,伴胸部不适,行胸部CT检查示心包腔积气,超声心动图示:双心房扩大(左心房57 mm×55 mm× 77 mm;右心房45 mm×64 mm)、二尖瓣重度反流(反流面积10.3 cm2),疑诊"左心房食管瘘",遂嘱禁食禁水,予奥美拉唑持续静脉泵入,并迅速转往我院。当日凌晨入院后患者一般情况尚可。心电图未见异常,复查血常规示:白细胞计数(16.5×109 /L)及中性粒细胞(0.861)持续升高,复查血生化示肌酐(156.5 μmol/L)及肌钙蛋白(0.110 µg/L)较前升高。血培养示革兰氏阳性菌。急查左心房CTA未见龛影或瘘管形成,但可见心包腔内主动脉根部积气,嘱患者吞钡使食管显影后见食管紧邻左心房后壁迂曲走行,同时伴有双侧胸腔积液(图4),头颅核磁共振成像序列检查示额叶新鲜梗死灶,初步诊断考虑"心包食管瘘"可能。遂继续禁食禁水、抑酸、抗感染治疗,纠正水电解质紊乱。多学科会诊后考虑"心包食管瘘"及"左心房食管瘘"可能性大,但患者心功能不全、肾功能不全,导管消融术后时间短,外科手术风险大,同时术后感染可能难以控制,建议暂继续当前治疗,可择期行手术修补,密切观察病情变化。入院后12 h,患者体温再次升高至37.7 ℃,心电图示窦性心动过缓。后患者突发尖端扭转性室速及Ⅲ度房室传导阻滞,对异丙肾上腺素及多巴胺均不敏感,迅速转入冠心病监护病房(coronary care unit, CCU)并置入临时起搏器,心电图可见起搏信号但未见心室夺获,随后患者死亡。


通过对PubMed进行检索,首先用"atrial esophagus fistula"检索到病例报告、病例系列及回顾性分析共52篇,通过阅读标题及摘要筛选出相关病例报告36篇。后扩大检索范围,关键词包括"esophagus injury""atrial fibrillation""radiofrequency ablation""mechanical esophageal deviation"及"esophagus temperature monitoring",进一步检索左心房食管瘘防治相关文献。
左心房食管瘘起病急骤、进展迅速、致死率高,近年来引起了越来越多的关注。在解剖结构上,食管紧邻左心房后壁走行,因而在导管消融术中易受到消融能量的损伤。尽管LAEF十分罕见,但各种消融能量作用于左心房后壁时将不可避免地对毗邻的食管组织造成一定程度的损伤。既往一项纳入186例行房颤或左心房房扑射频消融术后患者的研究表现,27例患者(14.6%)术后存在溃疡性或出血性食管损伤[3]。导管消融术导致食管损伤甚至LAEF的机制来源于多方面,首先房颤患者的心房增大造成对食管的挤压作为该并发症的易感因素;其次消融能量可直接损伤食管黏膜和血管,造成组织坏死;同时消融导致的食管周围神经丛的损伤可导致胃食管动力异常及食管下括约肌张力降低,从而加重了胃酸反流对黏膜的损害。最后,原有的胃食管反流疾病等因素可能进一步促进LAEF的发生[4]。
左心房食管瘘缺乏特异性的临床表现,在首诊中容易被误诊为急性心肌梗死或各类感染性疾病。一项对53例LAEF患者进行的回顾性研究发现,LAEF最常见的临床表现依次为发热(83.0% )、神经系统功能障碍(50.9% )、呕血(35.8%)、精神状态改变(28.3%)及胸痛(20.7%)[5]。胸部CT和头颅影像学检查对LAEF的鉴别诊断具有重要意义。同样在上述53例患者中,27例患者曾行头部CT检查,其中12例患者可见多灶性急性梗死灶,而在15例行胸部CT的患者中,13例患者均可见纵隔内气体影[5]。在本文报道的3例患者中,我中心均进行了左心房CTA检查,观察纵隔及心包腔积气的同时,部分患者还可观察到左心房后壁龛影,从而进一步印证LAEF的诊断。此外,我中心采用头颅核磁共振成像检查替代了头颅CT,借助DWI序列对急性脑梗死进行早期诊断,增加了对空气栓塞的筛查敏感度。
LAEF的治疗策略尚不明确,通过目前报道的少量病例来看,手术治疗为首选方案。Zhou等[6]通过回顾文献发现,在10例单纯置入食管支架的患者中,术后无一例存活,而采用手术治疗的43例患者中,仅12例患者死亡,同时手术治疗也更有利于感染的控制,有个别案例提出将食管支架与手术治疗联合,由于目前报道例数十分有限,该方法还需进一步详细研究。值得注意的是,对于LAEF的患者,消化内镜检查是禁忌证,因为在向消化道打气的过程中会造成大面积空气栓塞。此外,需要强调的是,LAEF患者术后的抗感染和生命支持治疗也是至关重要的[2]。
近年来,关于LAEF的预防已提出了一系列的措施。在术中,首先应当避免消融能量直接作用于食管。为实现这一点,Palaniswamy等[7]向食管中置入一根可塑性金属探针,并在消融术中使食管偏离消融径线,结果表明,该方法能够有效降低消融时食管内的温度,从而避免食管损伤。Arruda等[8]则设计出了一套食管内降温系统以减少消融能量对食管的热损伤,但目前还停留在动物试验阶段,尚未获临床研究验证。术中准确识别食管的位置及其与心房的关系也有助于预防食道损伤,如有学者提出将术前48 h的食道CT三维重建图像与三维电解剖标测技术结合用于术中食管定位[9]。心腔内超声的应用同样有助于判断消融位点与食管间的关系[10]。我中心在国内率先开展了心腔内超声引导下的房颤射频消融,该技术不但实现了消融过程零射线,也有助于术者更加精确地辨认左心房内的解剖结构,提高手术成功率。同时,该技术使术者可以实时监测消融导管、左心房后壁和食管之间的位置关系,有助于避免术中食管损伤(图5)。除了以上可能的保护性措施外,我们还应当注意,在后壁消融时,需要降低消融能量至25 W以下[2],随着消融指数(ablation index,AI)联合压力导管应用于临床实践,AI能够帮助我们更好地判断消融损伤程度。我中心总结经验后严格执行标准化的后壁消融策略,以期减少LAEF的发生风险:30 W功率模式下后壁消融时间<20 s,压力控制在15 g以内;AI指导的量化消融则需<350。但关于消融过程中如何选取最佳AI值以避免食管损伤仍需进一步的循证医学证据。关于术中食管内温度监测的应用目前尚存争议,一项研究比较了40例采用食管内温度监测与40例未采用温度监测的房颤射频消融患者术后内镜表现,多因素分析后发现温度监测是术后食管损伤的唯一独立危险因素。为除外金属探针与消融电极之间电热反应对食管的损伤,Halbfass等[11]采用了绝缘热电偶温度探测导管进行了相关研究,结果依然未发现温度监测对食管损伤的预防作用。


由于内镜检查过程中需要注入气体扩张消化道,对于瘘管已经形成的患者会加重气体栓塞,甚至引起生命危险,故内镜检查为LAEF患者的禁忌。然而,消融术后对存在食管瘘高危因素的患者,早期谨慎行内镜检查有助于食管损伤的早期发现和治疗。在Kapur等[4]提出的房颤消融术后穿透性食管并发症的处理流程中,对于术中消融温度过高、术后出现症状及既往有食管疾病的患者,在消融术后72 h内可行内镜检查及危险分层,并有针对性地予以抑酸、清淡饮食等处理(图6)。若内镜检查发现食管严重溃疡或穿孔前期,应及时给予半卧位,禁食禁水,给予胃肠外营养及抑酸治疗,同时预防性使用抗生素治疗,以预防后期LAEF的发生。


综上所述,LAEF的诊断与预防任重而道远,其诊断与处理流程仍多源于各中心的经验总结,循证医学证据仍有所不足。结合目前经验,在严格遵循术中操作规范的基础上,对医生和患者进行教育,做到早期发现,发现后尽早外科手术治疗,方能提高LAEF的存活率。





















