
数字减影血管造影(digital subtraction angiography,DSA)设备通过X射线对患者成像,主要用于介入手术和造影检查,通常需要医师在床旁进行操作,曝光时间较长,因此,降低辐射剂量成为DSA领域的热门话题,无论对于医师还是患者来说都至关重要。尤其是在小儿先天性心脏病等儿科手术中,由于婴幼儿对辐射剂量尤为敏感,更迫切需要低剂量成像。
版权归中华医学会所有。
未经授权,不得转载、摘编本刊文章,不得使用本刊的版式设计。
除非特别声明,本刊刊出的所有文章不代表中华医学会和本刊编委会的观点。
数字减影血管造影(digital subtraction angiography,DSA)设备通过X射线对患者成像,主要用于介入手术和造影检查,通常需要医师在床旁进行操作,曝光时间较长,因此,降低辐射剂量成为DSA领域的热门话题,无论对于医师还是患者来说都至关重要。尤其是在小儿先天性心脏病等儿科手术中,由于婴幼儿对辐射剂量尤为敏感,更迫切需要低剂量成像。
然而,辐射剂量降低通常会引起图像的噪声增加,进而影响图像质量,干扰医师诊断以及治疗效果。因此,实现低剂量模式下DSA的广泛应用,一方面要严格遵循诊断可接受的最低剂量(as low as diagnostically acceptable,ALADA)原则,尽可能从设备端降低辐射剂量,另一方面则要通过降低噪声和去除伪影等方式改善图像质量,从而进一步降低辐射剂量。传统上,降低辐射剂量的方式往往是基于电压值、电流时间乘积等参数的调节,而这种方式往往迫于图像质量的限制无法达到更低辐射剂量的需要。如何提供达到辐射剂量与图像质量的双重获益是本设备设计的关键。
本系统致力于设计出DSA全流程剂量控制系统,旨在降低DSA血管造影辐射剂量的同时,又能提升图像质量,使其更有效地去除伪影,达到更低的噪声,更好地保持图像对比度,对介入治疗诊断提供有力辅助。该控制系统综合囊括了设备端数字化硬件设计、智能工作流的嵌入和优化,以及人工智能图像算法的植入,以达到全影像链的控制。
DSA设备是专用血管造影系统,机架全方位运动,精准而灵活,速度快,覆盖范围大,结构稳定可靠,满足心脏、神经、外周和肿瘤等多种人体结构的诊断和治疗。稳定纯净的X射线源头和"传感器"是设备端图像质量保障的基础,本设计基于此设备端核心硬件的优化整合。(1)平板探测器是血管机的"传感器",以业界最高端的Trixell数字平板探测器为例,图像分辨率为2 000×2 000,像素达到400万,像素尺寸154 μm,可使得图像的细节更加丰富[1]。因此本研发系统的设备端(NeuAngio 30C,东软医疗系统股份有限公司)采用了平板探测器精微成像技术,实现了16 bit × 2 000影像链。(2)X射线球管是DSA的"镜头",镜头的好坏决定了"照相机"的进光数量和质量,从而影响照片的质量。在射线源头球管端,不同于传统的方法,本系统从曝光控制角度,设计了基于神经网络和图像对比度信噪比(contrast to noise ratio, CNR)的曝光控制策略,除了常规的电压值、电流时间乘积调节,对于铜滤过、焦点等参数也进行了针对低剂量的优化,能够在保证图像质量的情况下显著降低辐射剂量。结合临床可以对影响剂量的各个因素进行分析和优化,从而对不同类型的检查、手术设计各自的曝光控制参数,进一步降低剂量。
与医院其他科室一样,介入科同样面临患者多、诊疗流程长的困境。本DSA设计系统在通过深度学习技术来平衡射线剂量与图像质量的同时,还将自主开发的低剂量摄影采集及专用踏板、一键式器官协议等多种创新工作流应用到临床中,实现更加智能化、精准化与人性化的介入诊疗流程。
本系统基于深度学习算法开发出的低剂量摄影采集,是由国家药品监督管理局认证,具有DSA低剂量相关功能。为了使其与介入医师的日常操作相契合,以更便捷的方式实现低剂量摄影采集,本系统采用智能化互联设计,将专用的智能踏板嵌入到手术室内的脚踏开关上,缩短了介入诊疗流程(图1)。当需要进行低剂量记录采集时,医师无需进行任何的预先设置或手动调节任何参数,只需要使用专用踏板即可。踏板上还设有低剂量摄影采集标识,即使是第一次使用设备的介入医师,也能够轻易识别出该功能,避免误踩。


注:左侧踏板为透视脚踏开关,中间踏板为记录采集脚踏开关,右侧踏板为低剂量记录采集脚踏开关
具有专利技术的一键式器官协议也是智能工作流的重要应用之一(专利号:ZL 2018 3 0132569.2,图2),通过图形化的用户界面设计,帮助医师更加快速地选择目标扫描器官,并且借助嵌入的深度学习算法自动为该目标器官个性化匹配最佳的采集剂量,节约操作时间,提高诊疗效率。


现有的低剂量DSA算法研究主要是通过去除伪影,避免重新拍摄曝光的辐射,从而减少辐射剂量。传统算法存在一定局限性,卷积神经网络(convolution neural network,CNN)具有强大的非线性映射能力,自动提取图像全局语义特征和局部边缘特征,近年来深度学习在医学图像处理领域快速发展。本设计系统从两个维度对图像优化功能进行设计,一是要在降低噪声的同时不损失图像的细节,二是采用时空去噪而不损失图像序列的时间信息。基于此设计目标,研发了分别为基于特征保留残差噪声学习的透视图像降噪以及基于三维/二维混合深度卷积神经网络的血管造影时空去噪。
该系统是一种基于CNN的新型去噪算法,即深度CNN (dense convolution neural network ,DnCNN)去噪算法,将稠密连接网络(densely connected convolutional networks ,DenseNet)集成到DnCNN中,利用降噪和避免梯度消失的优势,使在降噪期间保留的图像特征都在CNN级别之上深度学习网络,使用L2损失[均方误差(mean square error,MSE)]和感知损失作为损失函数。这种新方法的优点如下:(1)L2和感知损失均确保去噪性能和清晰的边缘,防止过度平滑;(2)DnCNN中的残差学习用于生成噪声图像并加快训练速度;(3) DenseNet和DnCNN的结合提高了训练速度,并重用了低维特征以提高图像的去噪质量。
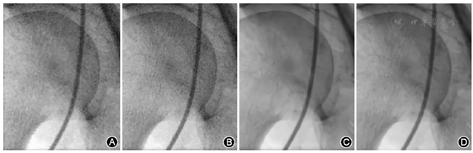
另外,该领域现有的方法大多只关注逐帧的二维图像去噪,在一定程度上丢失了图像序列的时间信息。为了同时处理血管造影成像中的时间与空间上的噪声,该系统提出一种新的三维/二维混合DnCNN方法。该模型以多帧为输入通道,综合各通道的信息得到最终结果。我们将该方法与一些业内最先进的算法进行比较,如在高斯分布噪声抑制方面取得良好效果的DnCNN算法[5,6],以及在传统透视中用于时域去噪的时间递归滤波器(temporal recursive filters,TRF)[7,8]。此外,我们实验中提出的网络和DnCNN使用的卷积层数目均为20层。与噪声图像相比,TRF的去噪效果有限。DnCNN和我们提出的方法可以有效地抑制背景噪声和椎体或血管图像中产生的噪声(图3, 图4)。




在降噪方面,DnCNN的降噪效果与我们提出的方法相当。但是在图4所示的感兴趣区域(region of interest,ROI)中,可以观察到DnCNN中的一些细节和边缘被过度平滑甚至出现模糊,从而导致细节信息的丢失,而我们提出的网络显示出可以更好地保留细节和精细结构的能力。
我们还评估了不同方法对低剂量血管造影图像的去噪效果(低剂量下曝光的剂量水平是正常剂量下的一半)。如图5和图6所示,我们还能够看到与正常剂量下的血管造影接近的图像效果。与TRF相比,DnCNN和我们提出的方法在噪声抑制方面显示出明显的优势。在TRF中,黄色矩形区域内的图像不易被识别。与DnCNN相比,我们提出的方法具有更好的细节保留和边缘锐化的能力(图6)。在低剂量血管造影中DnCNN还会出现过度平滑现象。另外,该患者AI优化前的普通参考剂量为0.25 mGy/s,优化后的辐射剂量为0.12 mGy/s,且经过本研究的AI优化后,图像质量不仅相比噪声图像得到显著改善,且与传统TRF相比,DnCNN去噪图像保留了更多的细节。TRF和DnCNN的去噪效果有限,我们提出的方法可以有效地抑制背景噪声,以及椎体或血管图像中产生的噪声[2,4]。




不同方法的平均峰值信噪比(peak-to-noise ratio, PSNR)和结构相似性(structural similarity, SSIM)结果如表1所示。PSNR和SSIM的计算需要干净图像,但在实际情况中,很难获取到临床图像的实测值。因此,我们对自行采集的体模图像进行定量评估。我们采用不同方法处理10张采集到的不同器官的静止体模图像序列。在这10张图像序列中,我们为每个序列随机选取一帧作为测试数据集。

10张体模图像在不同方法下的平均峰值信噪比(PSNR)和平均结构相似性(SSIM)结果
10张体模图像在不同方法下的平均峰值信噪比(PSNR)和平均结构相似性(SSIM)结果
| 测量方法 | 噪声 | 时间递归滤波器 | 深度卷积神经网络 | 本研究提出的方法 |
|---|---|---|---|---|
| PSNR | 45.695 12 | 47.117 51 | 50.843 26 | 51.530 01 |
| SSIM | 0.982 392 | 0.989 084 | 0.997 853 | 0.997 897 |
从定量分析上来说,我们提出的方法可得到最高的PSNR和SSIM,从而获取最佳的去噪效果。与TRF相比,我们提出的方法得到的PSNR增加约4.4。此外,我们提出的方法与DnCNN相比,PSNR增加约0.7。对于SSIM,我们也观察到同样的趋势。总之,我们提出的方法获取了更好的图像质量。
AI图像优化算法能够自动地将图像的信息层和背景层进行分离,对信息层包含的血管、导丝、支架等相关人体组织和介入器材的影像信息进行增强处理,而对其他的人体组织和外部装置影像信息等背景信息进行降噪处理,使得图像有用信息清晰锐利的同时,噪声得到明显抑制,同时解决传统去噪方式过度平滑等问题,有望适配各类主流DSA机型。
AI图像优化算法在保持图像结构性方面具有更好的性能,使得在低剂量情况下采集的图像也能满足介入诊疗的临床需求,有效降低患者和医师承受的辐射伤害,尤其在小儿先天性心脏病和敏感器官介入等手术中起到关键作用。
本研究提出了设备端、智能工作流和算法端全影像链的剂量控制系统。该系统能够降低DSA血管造影辐射剂量的同时,又能提升图像质量,使其更有效地去除伪影,达到更低的噪声,更好地保持图像对比度,对介入治疗诊断提供有力辅助。





















