
感染是肺移植术后的常见并发症,是肺移植受者围术期死亡的主要原因之一。本文将在如何做好围术期感染评估及制定感染救治策略方面讨论。
版权所有,未经授权,不得转载、摘编本刊文章,不得使用本刊的版式设计。
除非特别申明,本刊刊出的所有文章不代表中华医学会和本刊编辑委员会的观点。
本刊为电子杂志,以网刊形式出版。本册应读者需求按需印刷。
目前,肺移植术后中位生存期为5.8年,仍显著低于其他实体器官移植。感染性术后并发症的发病率和归因在移植术后的各个阶段占据首位,尤其是围术期的肺部感染[1]。
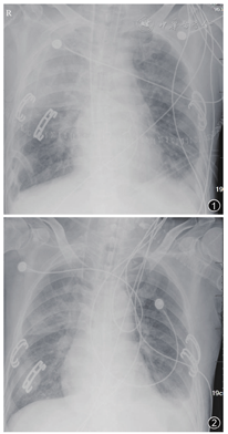
患者何某,男,68岁,因"反复咳嗽咳痰气促10年,加重1个月余",于2015年3月2日带经口气管插管接呼吸机辅助通气转入我科。转入诊断:(1)慢性阻塞性肺疾病(chronic obstructive pulmonary disease,COPD)急性加重期;(2)Ⅱ型呼吸衰竭 ;(3)双侧肺炎。入科后根据痰细菌培养(铜绿假单胞菌),予头胞哌酮钠舒巴坦钠治疗。5 d后患者病情改善,拔除气管插管后予无创通气辅助。无创通气5 d后因患者感染加重、呼吸衰竭,再次予插管行有创通气及继续抗感染等治疗。经多学科讨论,根据病史、临床表现,胸部CT等确定患者为终末期COPD,符合肺移植入选标准。肺功能(6个月前外院行肺功能检查,因患者气促明显无法完成肺功能检查)。于2015年3月24日行"蚌式切口双肺移植术"。术中见双肺呈灰黑色并过度膨胀,内部和表面充满散在肺大泡,全肺弹性和顺应性明显降低,局部有结节状表现,右中下胸膜粘连严重。受体切除肺组织病理:慢性支气管炎、肺大泡性肺气肿伴机化性肺炎。手术先左侧后右侧,供肺来源:公民逝世后器官捐献(donation after cardiac death,DCD)。术后体温38.2℃,右上肺纤支镜下可吸出大量脓血性分泌物,胸片示双肺渗出影,右上肺明显(图1),考虑与肺损伤及术后肺部感染进展有关。术后予美洛培南、万古霉素、卡泊芬净、更昔洛韦抗感染治疗,予甲泼尼龙、他克莫司、霉酚酸酯三联抗排斥治疗。术后第3天因病原学回报患者供体肺组织培养结果为耐甲氧西林金黄色葡萄球菌(meticillin-resistant Staphylococcus aureus,MRSA),表皮葡萄球菌、发酵乳杆菌,受体残肺组织培养为多耐药铜绿假单胞菌、粪肠球菌,予停万古霉素改用利奈唑胺抗球菌感染。术后第7天出现寒战发热,体温最高达40℃,血压100/50 mmHg[去甲肾上腺素0.6 μg/(kg•min),1 mmHg=0.133 kPa],诊断考虑:败血症、感染性休克,行血培养。血培养回报革兰阴性杆菌(鲍曼不动杆菌),使用美罗培南(6.0持续静脉输注)联合使用头胞哌酮钠舒巴坦钠(3.0静脉滴注q8 h)抗感染治疗,静脉免疫球蛋白治疗5d[剂量0.4 g/(kg•d)]及液体复苏、血管活性药物等抗休克治疗;同时,停用他克莫司、霉酚酸酯,予静脉甲基强的松龙(40 mg/d)抗排斥治疗。术后第17天患者体温逐渐下降至正常,循环稳定。根据病原学降级抗生素为头胞哌酮钠舒巴坦钠,加回他克莫司和霉酚酸酯抗排斥治疗(图2)。术后第22天拔出气管插管,予无创通气过度后转普通病房。术后3个月出院回家,胸部CT检查见肺部手术前后的影像学变化(图3,图4,图5,图6,图7,图8,图9,图10,图11),目前一般情况良好。




感染是肺移植术后的常见并发症,发病率60%以上,是肺移植受者围术期死亡的主要原因之一,并且影响其长期生存。文献报道[2,3],肺移植受者围术期死因构成中感染占50%以上,明显高于国际水平(20.1%)。做好围术期感染评估及制定感染控制策略尤为重要。
术前患者感染的评估:在ICU内等待肺移植的终末期肺病患者往往合并严重感染并引起相关并发症。本中心对等待肺移植患者均行各系统的评估,特别是加强移植前的感染控制及营养支持。本例患者术前接受抗感染治疗和有创通气治疗,感染局限于肺部,在感染控制之后进行双肺移植。呼吸道反复培养出铜绿假单胞菌的患者术后慢性排斥反应的风险明显增加[4],术前应予积极控制感染,制定其术后抗排斥药物的使用策略,密切监测患者的排斥反应。如果术前出现肺外感染特别是败血症,由于术后大剂量免疫抑制剂的使用易造成患者病情加重,应暂停手术,待感染控制后重新评估[5]。
供体肺感染的评估:在器官捐献过程中往往无法按照理想标准获取供肺,即便是捐献意识相对较高且肺移植技术相对较成熟的欧美国家,供肺利用率也仅20%~40%[6]。我国捐献供肺的主要来源是脑死亡及脑死亡撤除生命支持装置后心脏死亡的供肺。这些供肺在进入评估流程时,均接受气管插管机械通气,发生肺炎的风险明显增加。如果患者此前如有外伤史,存在创伤性湿肺,发生肺部感染并形成脓性分泌物的风险更大。本中心的肺供体标准:(1)年龄<50岁,吸烟史<20包/年;(2)无胸部外伤;(3)持续机械通气<5 d;(4)FiO2=1.0,PEEP=5 cmH2O,PaO2>300 mmHg;(5)胸片显示肺野相对清晰;(6)支气管镜检查气管相对干净。本中心在2015至2016年获取的符合上述肺供体标准的40例供肺的支气管残端和肺组织培养中,发现以肺炎克雷伯杆菌、鲍曼不动杆菌、金黄色葡萄球菌、屎肠球菌为主的细菌感染,细菌感染率达82.5%,其中12例可探及2种致病菌[7]。此类潜在感染的供肺较常见,在获取供肺前基本行抗感染治疗,但有病原学结果的较少,可根据供肺者的胸片、感染指标(血白细胞、降钙素原等)及纤支镜下分泌物的性状评估供肺感染的情况,在获取供肺后需行肺组织培养,肺泡灌洗液培养等检查;加强供肺的维护,并在术中及术后积极抗感染治疗,在无病原体检验结果之前,本中心在术中常规予碳青霉烯类联合糖肽类抗生素治疗,术后再预防性加用抗真菌药物治疗,其后再根据痰细菌涂片及培养结果进行调整。术前告知家属目前供体肺感染的流行病学情况及术后感染的高风险,并签署手术知情同意书。如果达不到上述肺供体标准的边缘供肺(边缘供肺是指年龄>55岁、有吸烟史>20包/年、胸部X线检查可见局部渗出、PaO2/FiO2<300 mmHg、气管镜下可见脓性分泌物的供肺),部分可考虑行体外肺灌注技术对供体肺进行修复,并行再次评估[8]。目前,我国对边缘肺的采用还是非常慎重的。本例患者的供肺达到供肺标准,肺组织培养出3种细菌,在评估供肺时已开始广谱抗生素使用并行组织培养、肺泡灌洗液等检查。术中及术后常规抗感染治疗,术后第3天根据病原学的结果将万古霉素改为肺组织药物浓度更高的利奈唑胺治疗。
术后感染控制:肺移植术后早期(≤ 30 d)为肺部感染发生的高峰,抗感染尤为重要和复杂,发生感染的来源主要是由供体来源、受体来源或者院内感染病原体引起,术后早期病原体中多耐药性细菌多见,其次为真菌和病毒[9,10,11]。术后患者肺部感染的高危因素主要有:移植的肺脏与外界相通,持续受到上呼吸道定植微生物的影响及暴露在外部的病原体环境中;术后气管插管、鼻胃管、支气管镜等技术的运用;供体肺携带的病原体;术后支气管循环中断引起的上皮细胞完整性被破坏、纤毛功能受损导致术后早期易并发感染;术后移植肺去神经化引起咳嗽发射功能抑制;淋巴管引流障碍;吻合口并发症,如病原体定植、气管裂开、支气管狭窄导致气道分泌物引流障碍及阻塞后感染;免疫抑制剂的运用等。
细菌性肺炎是肺移植术后最常见的并发症,革兰阴性菌与金黄色葡萄球菌是引起肺移植术后细菌性肺炎最常见的病原体。本例患者的供体肺及受体肺存在细菌感染,肺移植术后即常规予碳青霉烯类抗生素与糖肽类抗生素联合抗细菌治疗。术后1周出现鲍曼不动杆菌血流感染,考虑为院内获得性感染,可能与术前的供体肺存在鲍曼不动杆菌感染,术中出血量较大及免疫功能抑制有关;有文献报道[12],术中出血量,术后早期机械通气持续时间及免疫功能抑制增加感染的风险。加强院内感染控制,采用舒巴坦钠为基础联合碳青霉烯类的治疗方案,此方案能改善鲍曼不动杆菌血流感染患者的预后[13,14]。术后一旦发生重症感染需高度重视,尽早明确病原体、遏制过度免疫抑制状态和有效纠正低氧血症,积极采取强有力的综合治疗措施,及时有效地控制感染,提高重症感染的治愈率。同时,肺移植后重症感染患者本身免疫功能低下,有诱发急性排斥反应的风险但不高,应减少免疫抑制剂用量,适当恢复患者的免疫功能,提高抗感染能力。待患者免疫功能适当提升的同时应用强有力的抗感染治疗。本例患者考虑血流感染后果断停用霉酚酸酯和他克莫司,甲泼尼龙仍维持40 mg/d,静脉应用丙种球蛋白提高免疫功能。治疗期间未发生急性排斥反应,感染改善后逐步恢复三联抗排斥药。丙种免疫球蛋白能重建及修复机体细胞免疫功能,增加抗感染能力,减少急性排斥的风险[15]。
肺移植术后真菌感染以曲霉菌感染为主,高峰在术后的10 d到2个月内,发生率以及病死率较高。明确诊断通常较困难,因为在疾病的症状还没有出现之前,真菌已经在受者体内潜伏,主要累及肺实质以及支气管吻合口[16]。Weigt等[17]的研究更是证实曲霉菌的定值也会增加肺移植术后阻塞性细支气管炎(bronchiolitis obliterans syndrome,BOS)的发生。选择对所有术后患者的普遍性预防策略还是对高危患者术后展开连续性监测以进行抢先性预防策略,目前仍无公论[18,19]。目前,世界上大部分中心和指南仍推荐肺移植术后3个月内需预防性抗曲霉菌治疗[20,21,22]。而可供选择的药物包括两性霉素B吸入,伊曲康唑、伏立康唑或棘白菌素类药物的全身使用[19,20]。本中心在流行病学调查的基础上,在术后第1周因考虑发生急性肾功能不全的风险较高,采用"卡泊芬净",之后选择"伏立康唑"早期预防性抗真菌治疗。如果出现吻合口感染表现,加用"两性霉素B"雾化吸入治疗。
肺移植患者术后常发生病毒感染,其中巨细胞病毒(cytomegalovirus,CMV)是最常见的病毒病原体,与其他实体器官移植术后相比,肺移植患者术后CMV感染和疾病的发生率最高[23]。主要与肺是CMV的主要潜伏器官,高载量的CMV可以通过移植肺的传播,也可能是术前CMV的潜伏感染,或输血液制品获得;同时,移植患者术后大剂量免疫抑制剂的使用也是发病率较高的原因之一。CMV的感染分为原发感染和继发感染,有90%的原发性CMV感染发生在受体CMV阴性,供体CMV阳性的情况下,很大可能发展为器官侵袭性,尤其是CMV肺炎。继发感染多由于之前CMV潜伏感染的复发或感染不同的CMV株,一般没有原发性感染严重。目前,CMV感染的发病高峰在肺移植术后1~3个月,发病高峰近年来的逐渐推迟可能与CMV感染得到广泛重视,术后早期预防性使用更昔洛韦的策略有关,发病率也有所下降[24,25]。但Santos等[26]的研究发现肺移植术后晚期(>100 d)的CMV感染发病率仍高达13.7%,而其中大部分表现为CMV肺炎,具有极高的病死率。与曲霉菌定值相似,CMV感染同样会增加BOS的发生率[27],同时移植后CMV感染也是发生侵袭性肺曲霉菌感染的高危因素[28]。近年来,本中心对每例患者行血CMV-IgM、CMV-IgG、CMV-pp65抗原抗体定量检测以及血、气道分泌物、尿CMV-聚合酶链反应(polymerase chain reaction,PCR)的检测,有利于早期发现和诊断肺移植患者的CMV感染,及时调整抗病毒治疗方案。本中心患者在肺移植前后均监测CMV感染的情况,肺移植术后早期预防性使用更昔洛韦抗病毒策略,并取得较佳的效果。
肺移植患者术后常发生不同类型的肺部感染,对围术期患者行感染的规范化评估,及早诊断、采取有效的预防和治疗措施,以改善肺移植患者的预后,提高肺移植患者的长期生存率。





















