
间脑发作,又称阵发性交感神经过度兴奋,是一种以阵发性高热、高血压、心动过速、呼吸急促伴大汗、肌张力障碍等自主神经功能紊乱为主要临床表现的临床综合征,因其临床表现与癫痫类似常被误诊,加之目前临床医师对其认识不足,诊断率较低。间脑发作多发生于颅脑损伤后,其中创伤性脑损伤后多见,其次为脑缺氧、脑卒中后。间脑发作时采取镇静、抗癫痫治疗在止抽搐方面常有满意效果,但是不能完全改善交感兴奋。右美托咪定具有镇静、镇痛、解交感作用,本文首次以右美托咪定为主治疗昏迷患者间脑发作,治疗效果好,并脑复苏成功。
版权所有,未经授权,不得转载、摘编本刊文章,不得使用本刊的版式设计。
除非特别申明,本刊刊出的所有文章不代表中华医学会和本刊编辑委员会的观点。
本刊为电子杂志,以网刊形式出版。本册应读者需求按需印刷。
右美托咪定是一种高选择性α2受体激动剂,α2受体在体内广泛分布,因此右美托咪定可产生广泛的生理学特征,包括可产生类似生理睡眠的镇静而无呼吸抑制作用,它可以抗焦虑、解交感及镇痛[1,2],甚至右美托咪定被报道具有利尿[3]、抑制胰岛素分泌的作用[4]。然而,目前尚未见右美托咪定在癫痫治疗方面的报道。本文首次以右美托咪定为主治疗昏迷患者间脑发作,治疗效果好,并脑复苏成功。现总结如下。
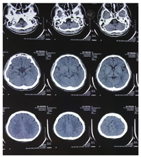
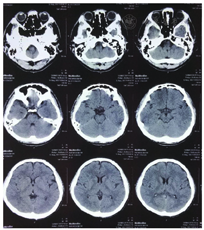
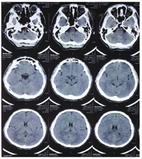
患者男,20岁,既往体健;车祸致双侧股骨干骨折,右侧胫腓骨骨折,左侧胫骨骨折,腹部闭合性损伤,乙状结肠断裂;就诊当地医院急诊科,呈失血性休克状态,皮肤、眼睑、口唇苍白,意识尚清,呈烦躁状态,对答切题,其余查体不详;当地医院给予急诊全麻气管插管下行乙状结肠造瘘术,术中情况不详,手术时长3 h,术后因意识不清,拔管困难进入重症医学科(intensive care unit,ICU)监护治疗,期间意识障碍进行性加重伴抽搐症状持续17 d,给予丙泊酚2 mg/(kg•h)持续泵入,当地ICU治疗17 d后,因家属要求,行气管切开术后转入我院治疗。入科时昏迷状态,体温36.5℃,呼吸频率:(respiratory rate,RR)22次/分,血压122/78 mmHg(1 mmHg=0.133 kPa),脉搏144次/分,瞳孔等大等圆,直径3 mm,直接及间接光反应灵敏;压眶反应(+),结膜反射(-),巴宾斯基征(-),霍夫曼征(-),奥本海姆征(-);间断无诱因抽搐发作伴呼吸急促,RR达40次/分,心率增快可达180次/分,面部潮红,鼻周苍白,头部及胸背部大汗,双下肢可见明显肌肉跳动,肌张力增强,每次发作持续1 min,每日发作可达10次;头颅CT(图1,图2,图3)未见异常,动态脑电图(图4)监测未见癫痫样波;丙戊酸钠片15 mg/(kg•d)鼻饲效果差,发作期间给予咪达唑仑效果可,持续泵入右美托咪啶1 μg/(kg•h)1周后观察到抽搐次数明显减少,时间缩短,记录到约4次/d;此时患者可睁眼,观察到眼球可向声源方向转动,欠灵敏,给予白天停止右美托咪啶泵入,序贯丙戊酸钠片15 mg/(kg•d)鼻饲,抽搐发作时咪达唑仑4 mg静推,观察到每日抽搐发作较前频繁,且发作时间延长,再次给予右美托咪啶1~2 μg/(kg•h)全天持续泵入,入科治疗20 d,患者意识清楚,有哭笑情绪表现,可行简单指令动作,如张口、吐舌,开始认识父母,仍间断有上述症状的突发突止,但发作次数逐渐减少,直至症状全部消失,患者完全清醒,受伤过程被其遗忘,康复出院;总住院30 d,治疗过程总结见图5。










间脑癫痫由Penfield于1929年首先提出,又称为自主神经性癫痫、内脏性癫痫等,属于一种周期性发作性自主神经功能紊乱综合征,在国际癫痫分类中属于单纯部分性发作,发病率低,其发病率约占癫痫患者的3.6%。间脑癫痫发病机制尚未统一,多数学者认为其发病与丘脑下部有关:下丘脑具有丰富的毛细血管网,其血脑屏障结构不够健全,因此在其受到缺氧、感染、中毒、外伤、颅内压增高等伤害性刺激时易导致癫痫发作。临床表现可分为交感神经性和副交感神经性两种:交感神经性表现可有剧烈头痛、头胀、头晕、心悸、颤抖、寒战等症状;副交感神经症状包括晕眩、胸闷、胸部压迫感、恶心、呕吐、流涎、大汗淋漓、脉缓、呼吸节律不规则等。间脑癫痫致痫灶位于脑深部,脑电图不易查出痫性电活动;本文患者临床表现复合间脑癫痫交感神经性表现,而动态脑电图无癫痫样放电,抗癫痫药物治疗效果差。
如前所述,右美托咪啶药理作用广泛,临床应用范围也在逐渐扩大:右美托咪啶较咪达唑仑和丙泊酚具有更可控的镇静效果和镇静安全性[5],此外右美托咪啶尚有镇痛以及预防和治疗老年患者术后谵妄及ICU相关性谵妄[1,6]的效果;近年来右美托咪啶器官保护方面研究较多,且有积极研究结果报道。周晨亮[7]在右美托咪啶心肌保护方面证实,脓毒症患者早期心脏舒张功能严重受损,而右美托咪啶可通过抑制炎症因子释放及抑制L型钙通道减轻钙超载,改善脓毒症患者早期心脏舒张功能不全。右美托咪啶在神经保护方面的优势是目前研究热点:Do等[8]认为右美托咪啶通过激活蛋白激酶C(protein kinase C,PKC)和磷酸肌醇-3-激酶(phosphatidylinositide 3-kinase,PI3K),使第3型兴奋性氨基酸转运体(type 3 excitatory amino acid transporter,EAAT3)活性增加,发挥神经保护和抗惊厥作用;阚敏宸[9]在右美托咪啶脑保护方面研究显示,在大鼠海马组织中,高剂量右美托咪啶可增加Bcl-2蛋白的表达,减少Bax蛋白的表达以及通过减少核转录因子(nuclear transcription factor,NF)-kB的表达,减轻癫痫发作严重程度和后放电持续时间,并通过抗癫痫、抗炎、抗凋亡途径保护癫痫大鼠脑组织;Luo等[10]提出右美托咪啶对急性缺血性神经损伤具有确切保护作用,并证实其保护机制为右美托咪啶通过诱导Bcl-、P62和缺氧诱导因子α(hypoxia-inducible factorα,HIF-α)的表达,抑制细胞凋亡及自噬;此外Ma等[11]实验证实激动α2受体具有缺血缺氧后神经、器官保护作用,因此右美托咪啶作为高选择性α2受体激动剂,在器官保护方面具有无限潜能。
综上所述,本文报道了1例间脑癫痫病例,结果示其对传统抗癫痫药物治疗效果差,而经持续输入右美托咪啶后抗癫痫治疗效果良好,提示或许抗癫痫存在新的治疗靶点。
























