
版权所有,未经授权,不得转载、摘编本刊文章,不得使用本刊的版式设计。
除非特别申明,本刊刊出的所有文章不代表中华医学会和本刊编辑委员会的观点。本刊为电子杂志,以光盘形式出版。本册应读者需求按需印刷,随光盘免费赠阅,光盘如有质量问题,请向编辑部调换
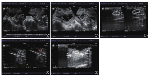
孕妇,28岁,孕1产0,孕18+4周,孕期未服药及接触有害物质,无遗传疾病家族史。产前超声检查示胎儿双顶径3.7 cm,头围13.7 cm,头颅环完整,无缺损变形,无脑积水;脊柱排列整齐,骶尾部未见异常;四肢可见(双手呈握拳状),股骨长度1.9 cm,肱骨长度2.0 cm;四腔心形态未见异常,胎心率168次/min。胎儿腹部明显膨隆,前腹壁菲薄,腹围15.2 cm(相当于孕20+1周);肝脏位置正常,胃泡及胆囊均可见;双肾可见(图1),右肾大小1.7 cm×0.9 cm,左肾大小2.0 cm×1.1 cm,双肾实质回声增强,左肾盂分离0.5 cm,右肾盂分离0.4 cm,双侧输尿管扩张,最宽处均为0.4 cm,胎儿下腹部及盆腔内可见一大小5.2 cm×4.6 cm×3.0 cm囊性包块(图2),边界清晰,形态不规整,内透声好,其两侧可见脐动脉通过。双侧输尿管均可见从两侧与下腹部盆腔内囊性包块相通,检查过程中双侧输尿管未见明显蠕动。胎盘位于前壁,羊水少。超声诊断:(1)中期妊娠,单活胎。(2)胎儿双肾实质回声增强,双肾轻度积水,双侧输尿管扩张,下腹部及盆腔内囊性包块,考虑为泌尿系统畸形:巨膀胱、下尿路梗阻。(3)考虑胎儿前腹壁发育不良。


注:RK为右肾;LK为左肾;BL为膀胱;R-UR为右侧输尿管;L-UR为左侧输尿管;ST为肾结石
超声检查后引产一男性胎儿,前腹壁菲薄,腹部塌陷,皮肤皱褶明显,外形无其他畸形。超声检查示胎儿双肾实质回声增强(图3),左肾中部可见一大小0.3 cm×0.2 cm结石强回声团(图4),后伴声影,双侧输尿管扩张,左侧为著,下腹部及盆腔内囊性包块(图5)无明显缩小,壁厚,较厚处厚度为0.3 cm,符合膀胱壁超声表现,腔内透声差可见密集点状回声。双侧输尿管均与下腹部及盆腔内囊性包块相通。胎儿标本解剖病理检查诊断为膀胱增大,与两侧输尿管相通;胎儿前腹壁发育不良,肌纤维缺如,仅见一层薄膜组织。综合本例胎儿前腹壁菲薄且皱褶明显、巨大膀胱、双侧输尿管扩张及双肾轻度积水考虑为梅干腹综合征(prune belly symdrome,PBS)。
梅干腹综合征又称腹壁肌肉缺如综合征、Triad综合征、Engle-Barret综合征,临床表现以腹壁发育不良、泌尿系畸形和隐睾三联畸形为主,病因不明,是一种罕见的先天性发育异常[1],发病率约为1/50 000,95%发生于男性[2]。因患者腹壁肌肉缺陷异常松弛,外形似"梅脯"而得名。常伴膀胱扩张、输尿管扩张及肾积水。为胎儿泌尿系梗阻的一种类型。主要特征是腹壁肌肉完全缺如或被一层薄而无功能的纤维组织替代,也可有单块肌肉缺如或一侧肌肉缺如,发病机制可能与胎儿发育早期腹壁肌肉的极度拉伸有关,最常见的原因是早期膀胱极度扩张,其次为肝肿大,卵巢囊肿,大量腹腔积液对腹壁的过度拉伸而致。本病预后不良,早期即发生羊水过少者常因肺部发育不良而死亡[3]。目前开展的早期宫内治疗膀胱羊膜腔分流术,对改善预后、提高围生儿生存率意义较大[4]。
梅干腹综合征需与后尿道瓣膜症,尿道闭锁引发的下尿路梗阻性疾病、腹腔积液、肠道梗阻等鉴别,后尿道瓣膜症的超声表现常为双肾及双侧输尿管积水、膀胱壁进行性增厚、后尿路扩张、羊水过少,但其腹壁膨隆程度远不及梅干腹综合征患儿;尿道闭锁超声表现可为膀胱明显增大、肾盂积水、羊水过少等,是早孕期出现的严重巨大膀胱的最常见原因,是梅干腹综合征常见的合并畸形之一,且预后较差。对于非典型病例诊断梅干腹综合征较困难,但梅干腹综合征胎儿腹壁表现是其他畸形所不具备的。腹腔积液时,积液形态不规则,内可见飘动的肠管、肝脏等脏器,且其周边不能探及脐血流包绕信号;肠道梗阻时,随梗阻部位不同,可出现大小不等异常的液性无回声区,有时可见液性无回声区随肠管蠕动而有变动,梅干腹综合征超声表现与腹腔积液和肠梗阻鉴别并不困难。
























